medigraphic.com
ENGLISH

Revista Mexicana de Pediatría

ISSN 0035-0052 (Impreso)
  • Mostrar índice
  • Números disponibles
  • Información
    • Información general        
    • Directorio
  • Publicar
    • Instrucciones para autores        
    • Envío de artículos
  • medigraphic.com
    • Inicio
    • Índice de revistas            
    • Registro / Acceso
  • Mi perfil

2025, Número 5

<< Anterior Siguiente >>

Rev Mex Pediatr 2025; 92 (5)


Utilidad de alfa-dornasa en el tratamiento de atelectasias en recién nacidos en estado crítico

Fernández-Méndez, Jacqueline1; Berumen-Lechuga, María Guadalupe2; Moreno-Álvarez, Óscar3; Ramírez-Valenzuela, Karla Leticia4; Molina-Pérez, Carlos José5
Texto completo Cómo citar este artículo 10.35366/122096

DOI

DOI: 10.35366/122096
URL: https://dx.doi.org/10.35366/122096
Artículos similares

Idioma: Español
Referencias bibliográficas: 23
Paginas: 174-179
Archivo PDF: 567.76 Kb.


PALABRAS CLAVE

atelectasia pulmonar, alfa-dornasa, recién nacido, UCIN, ventilación mecánica.

RESUMEN

Introducción: los recién nacidos (RN) críticamente enfermos bajo ventilación mecánica tienen alto riesgo de desarrollar atelectasias debido a la acumulación de secreciones viscosas. La alfa-dornasa ha surgido como terapia coadyuvante para reducir la viscosidad de las secreciones y mejorar la función pulmonar. Objetivo: evaluar el efecto clínico de la alfa-dornasa administrada por vía intratraqueal en RN con atelectasias refractarias, que se encuentran asistidos con ventilación mecánica. Material y métodos: estudio observacional y retrospectivo en 29 neonatos. Se incluyeron pacientes con atelectasias persistentes > 48 horas, a pesar de fisioterapia. La alfa-dornasa se administró en dosis de 1 mg/m2 cada 12 horas. Se evaluó la fracción inspirada de oxígeno (FiO2), presión arterial de dióxido de carbono (PaCO2), resolución radiológica de atelectasias y los efectos adversos. Resultados: la mediana de edad al inicio del tratamiento fue de ocho días, predominaron pacientes masculinos (58.6%). Se observó mejoría significativa en FiO2 (62.7 vs 24.3%, p < 0.001), PaCO2 (64.2 vs 49.3 mmHg, p < 0.001) y presión inspiratoria pico (17 vs 12 cmH2O, p < 0.001). En la mayoría hubo resolución radiológica al quinto día del tratamiento. No se registraron muertes. Conclusión: la alfa-dornasa intratraqueal parece mejorar la oxigenación en neonatos críticamente enfermos con atelectasias refractarias. Se requieren estudios prospectivos aleatorizados para confirmar estos hallazgos.



ABREVIATURAS:

  • IMSS = Instituto Mexicano del Seguro Social
  • RN = recién nacidos
  • SDR = síndrome de dificultad respiratoria
  • UCIN = Unidad de Cuidados Intensivos Neonatales



INTRODUCCIóN

Los recién nacidos (RN) críticamente enfermos, especialmente aquellos bajo ventilación mecánica, presentan un alto riesgo de desarrollar atelectasias debido a la acumulación de secreciones viscosas en las vías respiratorias.1,2 Esta complicación puede agravar condiciones como el síndrome de dificultad respiratoria (SDR), aumentar el riesgo de neumonía asociada a la ventilación y prolongar la estancia hospitalaria en la Unidad de Cuidados Intensivos Neonatales (UCIN).3-5

El SDR se define como la presencia de hipoxemia (PaO2 < 50 mmHg en aire ambiente), cianosis central o necesidad de oxígeno suplementario, junto con hallazgos radiológicos característicos.6-8 Su manejo incluye oxigenoterapia, surfactante pulmonar y soporte ventilatorio; mientras que dentro de las complicaciones resalta la obstrucción de la vía aérea por tapones mucosos, lo que favorece la formación de atelectasias.9

En este contexto, la alfa-dornasa (desoxirribonucleasa humana recombinante, DNasa) ha surgido como una terapia alternativa para mejorar la limpieza mucociliar al degradar el ADN extracelular presente en las secreciones espesas, reduciendo su viscosidad y facilitando su eliminación.10 Este fármaco se aprobó originalmente para el tratamiento de la fibrosis quística, pero su uso se ha extendido a otras condiciones respiratorias, incluyendo atelectasias en los casos que hay poca respuesta a las terapias convencionales en los RN en estado crítico.

La evidencia sugiere que la administración de alfa-dornasa nebulizada (1.25 mg cada 12 horas) o intratraqueal directa (1.25 mL) puede mejorar la función pulmonar en neonatos con atelectasias refractarias, disminuyendo la necesidad de ventilación mecánica prolongada y reduciendo complicaciones infecciosas.11-15

El objetivo de este estudio es evaluar el efecto clínico de la administración directa de alfa-dornasa en RN en estado crítico que presentan atelectasias secundarias a ventilación mecánica en un hospital materno-infantil de tercer nivel.



MATERIAL Y MéTODOS



DISEÑO DE ESTUDIO

Estudio observacional y retrospectivo realizado en la UCIN en la Unidad Médica de Alta Especialidad Hospital de Gineco-Obstetricia No. 4 "Luís Castelazo Ayala" del IMSS, entre enero del 2024 y enero del 2025.

Se incluyeron RN con diagnóstico de dificultad respiratoria que estaban bajo ventilación mecánica invasiva y que habían desarrollado atelectasias refractarias (definido como la persistencia > 48 horas, a pesar de fisioterapia pulmonar y aspiraciones programadas), a quienes se administró tratamiento con alfa-dornasa endotraqueal. Se excluyeron neonatos con malformaciones congénitas mayores o registros clínicos incompletos.

Los datos fueron recolectados de los expedientes electrónicos. De cada paciente, se registró el sexo, peso, edad gestacional, diagnóstico de ingreso, tiempo de tratamiento, de ventilación mecánica y de estancia en la UCIN. En cuanto a las variables ventilatorias, se incluyó fracción inspirada de oxígeno (FiO2), presión arterial de dióxido de carbono (PaCO2) y presión inspiratoria pico (PIP), tanto al inicio como al quinto día de tratamiento. También se registraron los hallazgos de radiografía de tórax antes y después del tratamiento; cada radiografía fue interpretada de manera independiente por radiólogo y neonatólogo (concordancia κ = 0.82), en donde se documentó la presencia de atelectasias, hiperinsuflación y gas mediastinal.

La alfa-dornasa (1 mg/m2/dosis) se administró mediante nebulizador conectado al circuito del ventilador (sistema Aerogen®) cada 12 horas. El tratamiento terminó si hubo mejoría después de tres días; cuando no hubo mejoría, se administraron dosis extras de 1.25 mg en forma líquida vía endotraqueal cada 12 horas.16 Además, todos los pacientes recibieron fisioterapia pulmonar cada seis horas y aspiración endotraqueal después de la administración. La radiografía de tórax se realizó posterior a la segunda dosis para evaluar la eficacia del medicamento.

Por último, también fueron registrados los posibles efectos adversos de la alfa-dornasa, como faringitis, laringitis, erupción cutánea, alteraciones hematológicas, problemas de la coagulación o anafilaxia.



ANÁLISIS ESTADÍSTICO

Las variables cualitativas se presentan con frecuencias simples y porcentajes; mientras que las cuantitativas de acuerdo con el tipo de distribución, tanto para las medidas de tendencia central (media o mediana), como de dispersión (desviación estándar y rango intercuartílico) basado en la prueba Shapiro-Wilks. Para comparar las variables cualitativas antes y después de la intervención se utilizó la prueba t de Student pareada o U de Mann-Whitney. Se utilizaron las pruebas de Wilcoxon para comparaciones pre/post y coeficiente κ para concordancia radiológica. Se consideraron como diferencias estadísticamente significativas cuando el valor de p < 0.05. Los análisis estadísticos se realizaron con el programa IBM-SPSS versión 27.0



ASPECTOS ÉTICOS

Esta investigación fue autorizada por el Comité Local de Investigación en Salud Número 1503 del IMSS con el Número de Registro R-2024-1503-015. Por ser un estudio retrospectivo, no se requirió carta de consentimiento informado.



RESULTADOS



CARACTERÍSTICAS CLÍNICAS DE LOS RN INCLUIDOS

Se analizaron 29 RN, con una mediana de edad de ocho días (mínimo, 5; máximo 21), con predominio del sexo masculino (n = 17, 58.6%). El peso promedio al ingreso fue de 2,240 ± 548 g, y la mediana de edad gestacional fue de 34 semanas (mínimo, 29; máximo 38). El diagnóstico principal fue prematurez (79%), seguido de sepsis neonatal (55.2%, n = 16). La mediana de duración del tratamiento con alfa-dornasa fue tres días; de 10 días, el tiempo de intubación, y de 14 días la estancia hospitalaria en UCIN. Ningún RN falleció durante el estudio (Tabla 1).



VARIABLES DE VENTILACIÓN ANTES Y DESPUÉS DEL TRATAMIENTO CON ALFA-DORNASA

Al comparar los datos de la ventilación previo al tratamiento (basal) y al quinto día de terapia, se identificó reducción significativa en la frecuencia respiratoria, PaCO2, FiO2 y PIP. Cabe destacar que la FiO2 fue la variable con la mejor respuesta (62.7 ± 8.4 vs 24.3 ± 2.6%, p < 0.001), en comparación al resto de las variables (Tabla 2) (Figura 1).



CAMBIOS RADIOGRÁFICOS Y EFECTOS ADVERSOS

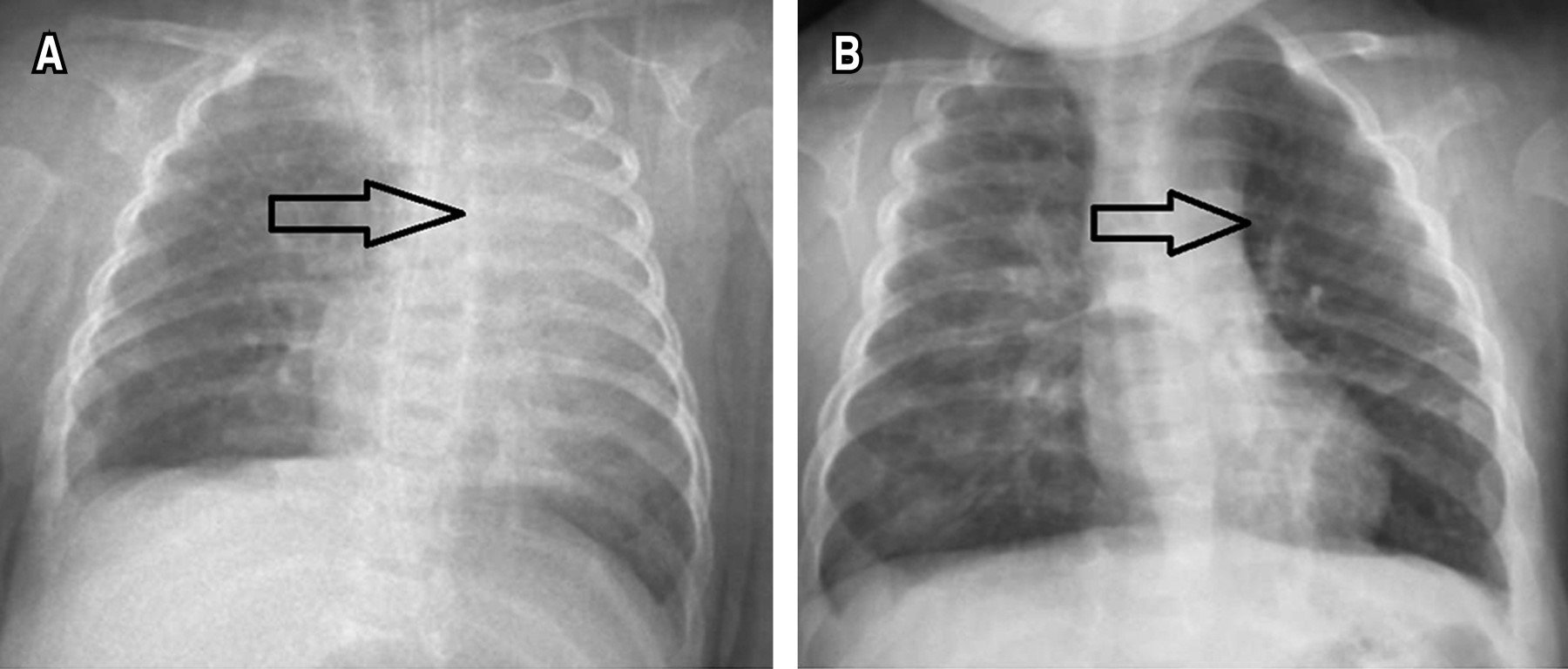
En los pacientes que se tomaron radiografías antes y después del tratamiento, se documentó mejoría. Los cambios más significativos al quinto día de tratamiento fueron la reexpansión parcial o total del pulmón colapsado, desaparición o reducción de los signos de opacidad pulmonar, y el posible desplazamiento de las fisuras interlobares y el mediastino hacia su posición normal (Figura 2). Sólo dos RN (6.9%) presentaron efectos adversos (broncoespasmo transitorio), pero no requirieron suspensión de la terapia.



DISCUSIóN

En este estudio se describen los beneficios de la administración intratraqueal directa de alfa-dornasa en RN críticamente enfermos, bajo ventilación mecánica y que desarrollaron atelectasias persistentes. Nuestros hallazgos demuestran mejoría significativa en las variables de oxigenación (FiO2, PaO2/FiO2) y ventilación mecánica (PIP) tras la administración del fármaco, lo que se correlacionó con una evolución clínica favorable. Por la falta de efectos adversos graves, se apoya su seguridad en neonatos.

Estos resultados concuerdan con lo reportado en otros estudios similares. Por ejemplo, Riethmueller y colaboradores17 observaron una reducción en la viscosidad de las secreciones y mejoría radiológica en atelectasias tras el uso de alfa-dornasa en prematuros; mientras que Gupta y cols.18 demostraron su eficacia en la reducción de la resistencia de la vía aérea en RN sometidos a ventilación mecánica. Sin embargo, a diferencia de esos trabajos, en el presente estudio se incluyeron neonatos más graves (prematuros con sepsis y SDR grave), lo que refuerza la utilidad del fármaco en escenarios complejos.

La alfa-dornasa es una enzima que hidroliza el ADN extracelular presente en las secreciones, lo cual explica la mejoría, ya que reduce la viscosidad del moco y facilita la remoción de tapones mucosos, disminuyendo así la obstrucción bronquial.18,19 Por la naturaleza retrospectiva del estudio, no se dispuso de la evaluación radiográfica pre y postratamiento en todos los pacientes. Sin embargo, en el subgrupo que sí se dispuso de la información, la mejoría en los parámetros de oxigenación se asoció con mejoría radiológica evidente. Pero ante la falta de una evaluación radiológica sistemática en todos los pacientes, no se puede afirmar de manera concluyente que hubo resolución anatómica completa de las atelectasias en todos los casos. Futuros estudios deberán incluir la evaluación por imágenes seriadas, a fin de comprobar nuestros hallazgos.

La administración intratraqueal de alfa-dornasa directa permite disponer de altas concentraciones locales, con mínima toxicidad sistémica; esta ya ha sido señalado en estudios para fármacos pulmonares en neonatos.20,21 Este enfoque es particularmente relevante en atelectasias persistentes, donde terapias convencionales, como la fisioterapia o broncodilatadores, suelen ser insuficientes.22,23

Reconocemos las limitaciones de este estudio, como el ser retrospectivo, la falta de grupo control y el tamaño muestral reducido. Estas restricciones dificultan la generalización de los resultados, pero aportan datos valiosos para guiar estudios prospectivos. Sugerimos la realización de ensayos clínicos aleatorizados que comparen alfa-dornasa con placebo, incorporando evaluaciones radiológicas y biomarcadores de inflamación (como la IL-6) en secreciones traqueales.



CONCLUSIONES

La administración de alfa-dornasa parece ser efectiva para el tratamiento de atelectasias en RN en estado crítico; estos hallazgos deberán de comprobarse en estudios prospectivos.



AGRADECIMIENTOS

A la Secretaría de Ciencia, Humanidades, Tecnología e Innovación (SECIHTI) por el apoyo al investigador CJMP, con CVU número 278767.


REFERENCIAS (EN ESTE ARTÍCULO)

  1. Wandile S, Waghmode M, Uke P, Vagha JD, Javvaji CK, Wazurkar A. The impact of maternal risk factors on neonatal morbidity and mortality in a tertiary care Neonatal Intensive Care Unit (NICU): an observational study. Cureus. 2024; 16(7): e65714. doi: 10.7759/cureus.65714.

  2. Purisch SE, Gyamfi-Bannerman C. Epidemiology of preterm birth. Semin Perinatol. 2017; 41(7): 387-391. doi: 10.1053/j.semperi.2017.07.009.

  3. Hogden L, Munger K, Duffek S. Neonatal respiratory distress. S D Med. 2021; 74(1): 28-35.

  4. Ali ME, Hassan YO, Ahmed MAM, Mohamud LB. Neonatal mortality and associated factors at a tertiary-level neonatal intensive care unit in Mogadishu, Somalia: a retrospective study. Pediatric Health Med Ther. 2025; 16: 93-102. doi: 10.2147/phmt.S500093.

  5. Huppert LA, Matthay MA, Ware LB. Pathogenesis of acute respiratory distress syndrome. Semin Respir Crit Care Med. 2019; 40(1): 31-39. doi: 10.1055/s-0039-1683996.

  6. Sweet DG, Carnielli V, Greisen G, Hallman M, Ozek E, Te Pas A et al. European consensus guidelines on the management of respiratory distress syndrome-2019 update. Neonatology. 2019; 115(4): 432-450. doi: 10.1159/000499361.

  7. Saguil A, Fargo MV. Acute respiratory distress syndrome: diagnosis and management. Am Fam Physician. 2020; 101(12): 730-738.

  8. Reuter S, Moser C, Baack M. Respiratory distress in the newborn. Pediatr Rev. 2014; 35(10): 417-428; quiz 429. doi: 10.1542/pir.35-10-417.

  9. Gien J, Kinsella JP. Pathogenesis and treatment of bronchopulmonary dysplasia. Curr Opin Pediatr. 2011; 23(3): 305-313. doi: 10.1097/MOP.0b013e328346577f.

  10. Yang C, Montgomery M. Dornase alfa for cystic fibrosis. Cochrane Database Syst Rev. 2021; 3(3): CD001127. doi: 10.1002/14651858.CD001127.pub5.

  11. Youness HA, Mathews K, Elya MK, Kinasewitz GT, Keddissi JI. Dornase alpha compared to hypertonic saline for lung atelectasis in critically ill patients. J Aerosol Med Pulm Drug Deliv. 2012; 25(6): 342-348. doi: 10.1089/jamp.2011.0954.

  12. Claudius C, Perner A, Moller MH. Nebulised dornase alfa versus placebo or hypertonic saline in adult critically ill patients: a systematic review of randomised clinical trials with meta-analysis and trial sequential analysis. Syst Rev. 2015; 4: 153. doi: 10.1186/s13643-015-0142-z.

  13. MacKinnon R, Wheeler KI, Sokol J. Endotracheal DNase for atelectasis in ventilated neonates. J Perinatol. 2011; 31(12): 799-801. doi: 10.1038/jp.2011.38.

  14. Fedakar A, Aydogdu C, Fedakar A, Ugurlucan M, Bolu S, Iskender M. Safety of recombinant human deoxyribonuclease as a rescue treatment for persistent atelectasis in newborns. Ann Saudi Med. 2012; 32(2): 131-136.

  15. Dilmen U, Karagol BS, Oguz SS. Nebulized hypertonic saline and recombinant human DNase in the treatment of pulmonary atelectasis in newborns. Pediatr Int. 2011; 53(3): 328-331. doi: 10.1111/j.1442-200X.2010.03245.x.

  16. Erdeve O, Uras N, Atasay B, Arsan S. Efficacy and safety of nebulized recombinant human DNase as rescue treatment for persistent atelectasis in newborns: case-series. Croat Med J. 2007; 48(2): 234-239.

  17. Riethmueller J, Borth-Bruhns T, Kumpf M, Vonthein R, Wiskirchen J, Stern M et al. Recombinant human deoxyribonuclease shortens ventilation time in young, mechanically ventilated children. Pediatr Pulmonol. 2006; 41(1): 61-66. doi: 10.1002/ppul.20298.

  18. Gupta S, Sinha SK, Tin W, Donn SM. A randomized controlled trial of post-extubation bubble continuous positive airway pressure versus infant flow driver continuous positive airway pressure in preterm infants with respiratory distress syndrome. J Pediatr. 2009; 154(5): 645-650. doi: 10.1016/j.jpeds.2008.12.034.

  19. Altunhan H, Annagür A, Pekcan S, Ors R, Koc H. Comparing the efficacy of nebulizer recombinant human DNase and hypertonic saline as monotherapy and combined treatment in the treatment of persistent atelectasis in mechanically ventilated newborns. Pediatr Int. 2012; 54(1): 131-136. doi: 10.1111/j.1442-200X.2011.03519.x.

  20. Gipsman AI, Bhandari A, Bhandari V. Use of mucolytics and inhaled antibiotics in the NICU. J Perinatol. 2025; 45(1): 5-12. doi: 10.1038/s41372-024-02178-w.

  21. McGovern M, Gupta N, Piyasena C. Is DNase safe and effective in the treatment of refractory atelectasis among preterm neonates? Arch Dis Child. 2022; 107(4): 411-413. doi: 10.1136/archdischild-2021-323395.

  22. Hendriks T, de Hoog M, Lequin MH, Devos AS, Merkus PJ. DNase and atelectasis in non-cystic fibrosis pediatric patients. Crit Care. 2005; 9(4): R351-R356. doi: 10.1186/cc3544.

  23. El Hassan NO, Chess PR, Huysman MW, Merkus PJ, de Jongste JC. Rescue use of DNase in critical lung atelectasis and mucus retention in premature neonates. Pediatrics. 2001; 108(2): 468-470. doi: 10.1542/peds.108.2.468.



AFILIACIONES

1 Unidad Médica de Alta Especialidad Hospital de Gineco-Obstetricia No. 4 "Luís Castelazo Ayala" (UMAE HGO4 LCA), Instituto Mexicano del Seguro Social (IMSS), Ciudad de México. ORCID: 0009-0002-0787-335X

2 Coordinación Auxiliar Médica de Investigación en Salud, Órgano de Operación Administrativa Desconcentrada Regional México Poniente, IMSS, Toluca, Estado de México. ORCID: 0000-0002-0094-1308

3 Director General, UMAE HG4 LCA, IMSS, Ciudad de México. ORCID: 0000-0001-6386-2001

4 División de Obstetricia, UMAE HG4 LCA, IMSS, Ciudad de México. ORCID: 0009-0003-0219-5518

5 Jefatura de División de Investigación, UMAE HG4 LCA, IMSS, Ciudad de México. ORCID: 0000-0002-5743-9706



CORRESPONDENCIA

Dr. Carlos José Molina Pérez. E-mail: carlos.molinap@imss.gob.mx; carlosjosem@hotmail.com




Recibido: 06/05/2025. Aceptado: 06/10/2025

Figura 1
Figura 2
Tabla 1
Tabla 2

2020     |     www.medigraphic.com

Mi perfil

C?MO CITAR (Vancouver)

Rev Mex Pediatr. 2025;92

ARTíCULOS SIMILARES

CARGANDO ...