medigraphic.com
ENGLISH

Revista ADM Órgano Oficial de la Asociación Dental Mexicana

ISSN 0001-0944 (Impreso)
Órgano Oficial de la Asociación Dental Mexicana
  • Mostrar índice
  • Números disponibles
  • Información
    • Información general        
    • Directorio
  • Publicar
    • Instrucciones para autores        
    • Envío de artículos
  • medigraphic.com
    • Inicio
    • Índice de revistas            
    • Registro / Acceso
  • Mi perfil

2025, Número 6

<< Anterior Siguiente >>

Rev ADM 2025; 82 (6)


Cómo diagnosticar placa neurogénica subgemal: relato de cuatro casos y revisión cronológica de la literatura.

Delgado-Camacho, Said Sebastián1; Zeta-Castañeda, Eric2; Lara-Carillo, Edith3; Morales-Valenzuela, Adriana Alejandra2; Salmerón-Valdés, Elías Nahum2; Delgado-Campoy, Miguel4; Toral-Rizo, Víctor Hugo2
Texto completo Cómo citar este artículo 10.35366/122114

DOI

DOI: 10.35366/122114
URL: https://dx.doi.org/10.35366/122114
Artículos similares

Idioma: Español
Referencias bibliográficas: 20
Paginas: 371-377
Archivo PDF: 4188.10 Kb.


PALABRAS CLAVE

estructura neurosensorial, trauma, VPH, cirugía.

RESUMEN

Introducción: la placa neurogénica subgemal (PNS) es una estructura anatómica neurosensorial normal, localizada en bordes laterales posteriores de la lengua, que puede causar sintomatología dolorosa o ardorosa ante la presencia de trauma en la zona. Se revisó literatura en inglés y portugués en PubMed y Google-Scholar. Presentación de los casos: se seleccionaron cuatro casos de PNS que llegaron a nuestra clínica, tres mujeres y un hombre, de 33, 43, 44 y 58 años, respectivamente. Tres pacientes presentan pápula en el borde posterolateral derecho de la lengua. Dentro de los diagnósticos clínicos por los cuales llegaron: en dos había sospecha de virus del papiloma humano (VPH) y los dos restantes sin diagnóstico clínico definido. Dos pacientes presentaban ardor, uno dolor y uno estaba asintomático. El plan de tratamiento fue diferente de acuerdo con cada caso y fue basado en terapia láser de baja potencia y cirugía. Resultados: los pacientes asintomáticos fueron informados de la PNS. En las citas de seguimiento, los casos sintomáticos refirieron remisión de la sintomatología. Conclusiones: comprender la PNS es crucial para evitar biopsias innecesarias y conocer tratamientos adecuados para la sintomatología asociada. Es imperativo que el odontólogo identifique esta región y pueda informar al paciente adecuadamente respecto a su manejo.



ABREVIATURAS:

  • CG = corpúsculos gustativos
  • CK14 = citoqueratina 14
  • CK20 = citoqueratina 20
  • CK7 = citoqueratina 7
  • CK8 = citoqueratina 8
  • EMA = antígeno epitelial de membrana
  • NSE = enolasa
  • PNS = placa neurogénica subgemal
  • VPH = virus del papiloma humano



INTRODUCCIóN

La placa neurogénica subgemal (PNS) consiste en estructuras normales localizadas en el tercio posterior de los bordes laterales de la lengua, se asocia con los folículos linfoides y forman un complejo morfológico y fisiológico con las papilas gustativas.1 Los casos reportados de PNS muestran ligera predilección en mujeres.2,3

Clínicamente se presenta como pápula o nódulo con sintomatología dolorosa o ardorosa, por lo general posterior a un trauma en la zona. El tratamiento varía desde remover el estímulo (trauma) hasta la aplicación de láser de baja potencia o remoción quirúrgica de la zona afectada.2 Es importante reconocer esta estructura anatómica, ya que existen patologías que se pueden manifestar en esta zona y que podrían ser confundidas, un ejemplo sería el carcinoma de células escamosas, el cual tiene predilección por estas zonas, o bien patologías como alergias por contacto, papilitis lingual transitoria o síndrome de boca ardiente, que requieren manejo específico.

Se realizó la búsqueda de artículos científicos en las bases de PubMed y Google Scholar con las palabras "subgemmal neurogenous plaque", "neuroepithelial structure/tongue", "posterolateral tongue", "subepithelial nerve plexus", "burning tongue/plaque", con un resultado de 32 artículos, de los cuales, 18 fueron aceptados para tomarlos como fuentes bibliográficas al cumplir con la información completa de los casos clínicos.

Asimismo, a través de la base de pacientes de la Clínica de Orocentro de la Facultad de Odontología de la UAEMex se revisaron los casos diagnosticados con PNS, de los cuales se seleccionaron cuatro casos.

El objetivo de este trabajo es relatar cuatro casos con la finalidad de realizar una guía práctica sobre cómo diagnosticar la PNS.



PRESENTACIóN DE LOS CASOS

Caso 1. Hombre de 58 años que acude a la clínica de Orocentro por probable lesión por virus del papiloma humano (VPH). A la inspección clínica intraoral se detectó una pápula en borde lateral posterior derecho de la lengua, de 4 mm de diámetro, de color ligeramente blanco amarillento, consistencia blanda, superficie lisa, forma circular, bordes poco definidos, base sésil, sin antecedentes de sintomatología (Figura 1A). Al analizar a este paciente se concluyó que se trataba de la PNS asintomática, por lo que se informó al paciente que dicha estructura es normal y no representa una entidad patológica, por lo tanto, no se debía tomar biopsia. El paciente aceptó la explicación y se dio seguimiento a tres meses sin mostrar cambios ni sintomatología en la zona.

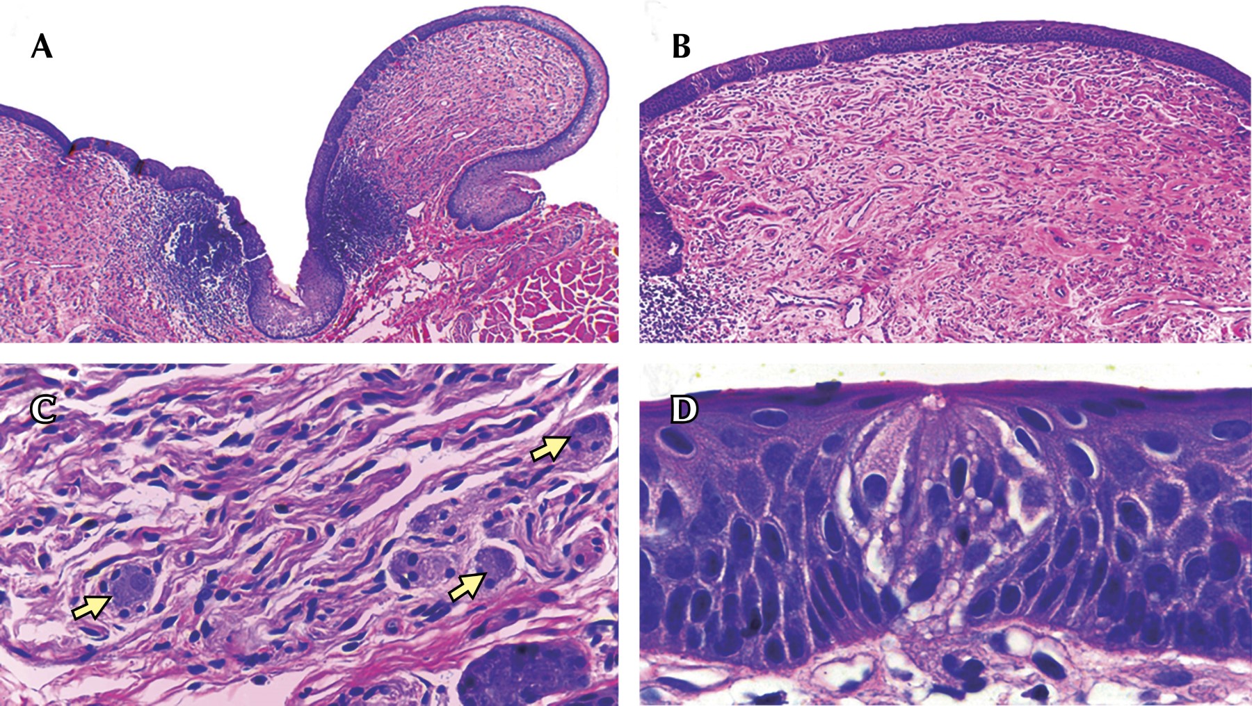
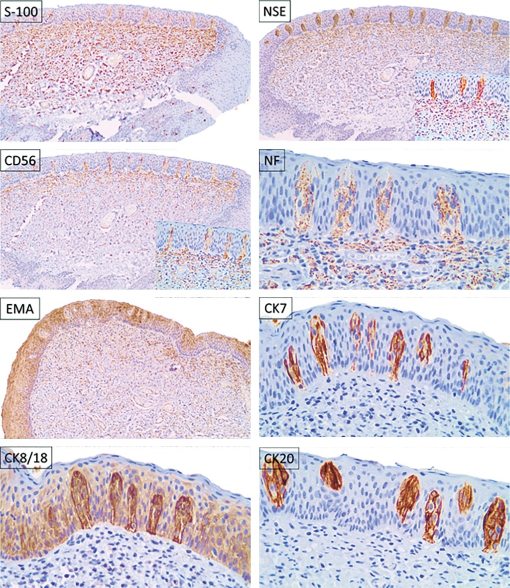
Caso 2. Mujer de 43 de años que acude a la clínica con sensación de ardor. Clínicamente se observa una pápula en el borde lateral derecho de lengua a nivel del tercio posterior, de 5 mm de diámetro, de color discretamente eritematoso, consistencia blanda, superficie lisa, forma ovalada, de bordes regulares bien definidos, de base sésil (Figura 1B). La paciente refiere haber realizado una restauración en el molar adyacente en la zona, previo a la sintomatología, indica tiempo de evolución de más de un año. Se concluye clínicamente que se trata de irritación en la zona de la PNS. Se realiza tratamiento conservador con agentes paliativos, los cuales consistieron en verificación de restauraciones, eliminando zonas de irritación. Al cabo de un mes más, no se obtiene mejoría en la sintomatología, por lo que la paciente opta por la toma de biopsia excisional. El estudio de patología diagnostica proceso inflamatorio inespecífico, en zona de placa neurógena subgemal (Figura 2); se realizan estudios de inmunohistoquímica para caracterizar las estructuras de la PNS (Figura 3). En el seguimiento a seis meses la paciente no presenta sintomatología.

Caso 3. Mujer de 33 años que acude a consulta odontológica por lesión dolorosa en borde posterolateral derecho de la lengua con dos meses de evolución, cuenta con antecedentes de tratamiento dental en los molares adyacentes previo al inicio de la sintomatología. Se realiza tratamiento conservador con agentes paliativos (iguales al caso 2). Al no mejorar la sintomatología se toma biopsia excisional. El estudio de patología diagnostica proceso inflamatorio inespecífico, en zona de placa neurógena subgemal (Figura 2), se realizan estudios de inmunohistoquímica para caracterizar las estructuras de la PNS (Figura 3).

Caso 4. Mujer de 44 años que acude a consulta dental por ardor en la lengua, clínicamente se observa una pápula en borde posterolateral derecho de la lengua de 4 mm de diámetro, de color similar a la mucosa adyacente, de consistencia blanda, superficie lisa, forma irregular, bordes uniformes y de base móvil (Figura 1C) y en el borde posterolateral izquierdo se observa otra pápula, con características similares a la de lado derecho (Figura 1D). Se le menciona las opciones de tratamiento a la paciente, y opta aplicar láser de baja potencia obteniendo mejoría en la sintomatología. En cita de seguimiento a los dos meses no hay recidiva de los síntomas.



RESULTADOS

En la literatura encontramos diferentes definiciones de la PNS como "estructuras neurales normales ubicadas en el borde posterior de la lengua que presenta una variación anatómica regional no neoplásica"1 o "estructura morfológica normal que se encuentra en las papilas foliadas, fungiformes y circunvaladas de la lengua humana".4

Epidemiológicamente Katarinny Gonzaga y colaboradores3 en 2017 y Pareira Meirelles2 en 2024 reportaron una ligera predilección de casos en mujeres.

En la actualidad, se desconoce el factor etiológico que puede causar dolor o ardor de la PNS; sin embargo, se ha descrito que puede inflamarse por un procedimiento quirúrgico como la extracción de un diente, una inyección de anestésico local o por un traumatismo.5

Los aspectos clínicos de la PNS no están bien definidos,2 clínicamente se puede presentar como área eritematosa (atrófica), úlcera, mancha blanca6 o pápulas o nódulos hiperplásicos.4,7,8 Se ha relatado que la morfología de la PNS es nodular o papular.2 Estas pápulas o nódulos de la PNS varían de 2 hasta 10 mm, según observaciones en serie de casos.5

En cuanto a la sintomatología, la placa es asintomática en condiciones normales. Los casos sintomáticos típicamente se manifiestan como sensación de dolor o ardor asociada al sitio de lesión8,9 pudiendo ser uni o bilateral.

Histológicamente, la PNS presenta un patrón bifásico, compuesto por una red neuronal circunscrita superficial, un plexo paralelo al epitelio superficial. El epitelio que recubre esta zona presenta frecuentes corpúsculos gustativos (CG). La porción más profunda está formada por pequeños fascículos nerviosos entrelazados con escasas células ganglionares maduras, las cuales en su mayoría estarán rodeadas de células satélite.1,7 La parte superficial consiste en células alargadas y fusiformes, con una cantidad variable de colágeno en un patrón similar a un neurofibroma.5 Se presentaron glándulas de Von Ebner y una cantidad discreta a moderada de infiltrado linfoide inflamatorio subepitelial.1-4,7 La parte profunda se compone de frecuentes células ganglionares dispersas.6 Ocasionalmente se pueden identificar estructuras similares al órgano yuxtaoral de Chievitz sobre la PNS.10-12

El inmunoperfil de la PNS se caracteriza por la positividad para S-100,1,6 enolasa (NSE), CD56, antígeno epitelial de membrana (EMA) en la vaina de los fascículos nerviosos, citoqueratina 7 (CK7) en las células basales de las papilas gustativas. Una ligera tinción de citoqueratina 8 (CK8) en las células basales del epitelio estratificado y una tinción intensa sobre las papilas gustativas. Citoqueratina 14 (CK14) en el epitelio estratificado, pero ausente sobre las papilas gustativas. Así mismo se observó numerosas papilas gustativas adyacentes al cuerpo de la PNS positivas con citoqueratina 20 (CK20) mostrando intensa marcación.7-11

El diagnóstico clínico diferencial relatado en la literatura es muy variado e incluye: quistes linfoepiteliales,4 hiperplasia fibrosa,4,6,13 carcinoma de células escamosas,4 ganglioneuroma,3,7,14 pseudoganglioneurofibroma,7 neurofibroma,3,6,7,13,14 neuroma traumático,3,7,14 neuroma mucoso,7,13 lesión reactiva de tiroides lingual,6 candidosis,10 leucoplasia3 e hiperplasia pseudoepiteliomatosa.15 Con base en la sintomatología de dolor/ardor que se puede presentar en la PNS encontramos como diagnóstico diferencial a las alergias de contacto, papilitis lingual transitoria,7 papilitis foliada,16 úlcera,10 síndrome de boca ardiente, la glositis atrófica,7 infecciones fúngicas, deficiencias vitamínicas, efecto secundario a medicamentos, alteraciones orales, estrés psicológico, diabetes, sequedad de bocas, galvanismo, hábitos parafuncionales o lesiones de nervios craneales.9

Al consultar la literatura se observó que el tratamiento que en la actualidad más se realiza sobre la PNS es la extirpación quirúrgica, ya que normalmente su diagnóstico fue histológico; sin embargo, como primera opción tenemos a los tratamientos convencionales locales para controlar el dolor focal, como revisión de restauraciones mal ajustadas, uso de fotobiomodulación, indicaciones de higiene y dieta. De no obtener una mejora, la extirpación puede ser útil para detener completamente los síntomas y obtener un diagnóstico confirmatorio.8 Se cree que la cirugía funciona porque al extirpar el área expuesta al traumatismo crónico, ya no habrá área que genere un estímulo de dolor/ardor provocado por los mediadores químicos de las células inflamatorias, dejando de estimular directamente los elementos neurales de la placa neurogénica subgemal.8,10

Heguedusch y colegas10 mencionan que se recomienda la extirpación quirúrgica de la PNS sintomática, aunque se desconoce la afección que la extirpación de la PNS pueda representar en la calidad de vida del paciente.

En cuanto al pronóstico, se considera favorable si posterior a la biopsia, la sintomatología cesa. Se catalogará reservado si y solo si los síntomas tardan en remitir.

En la Tabla 1 se presentan los hallazgos encontrados en la literatura expuestos de forma cronológica.



DISCUSIóN

La PNS es una estructura normal de la lengua localizada en los bordes laterales a nivel posterior, que ocasionalmente puede extenderse al dorso lingual.6 Hasta el momento se han relatado 116 casos de pacientes con PNS, en donde las mujeres han predominado y se ha identificado una prevalencia en la quinta y séptima década de la vida.2 En este estudio, las manifestaciones clínicas coinciden con las relatadas en la literatura,1,7,9 que consisten en pápulas de 2 a 10 mm, el color puede ser normal o eritematoso (atrófico), la superficie es lisa y la base varía de sésil a pediculada, mostrando consistencia blanda. Por lo tanto, estas características deben ser consideradas normales en el examen clínico de rutina.

La mayoría de los artículos encontrados en esta revisión corresponden a PNS con sintomatología,7-10 es decir, que la PNS en condiciones normales no causa dolor o ardor. Se atribuye la causa de sintomatología a traumas2 que pueden ser crónicas o únicas y provoquen inflamación en esta estructural neural generando dolor o ardor.

El tratamiento propuesto es único para casos con sintomatología. Algunas opciones terapéuticas incluyen eliminar factores irritantes locales y/o aplicación de láser de baja potencia. Si estos tratamientos conservadores no alivian las molestias, entonces se puede realizar remoción quirúrgica de la zona afectada.5,9,10

El odontólogo y profesionales de la salud pueden identificar la presencia de la PNS identificando las características clínicas mostradas en los casos presentados y enlistadas a continuación:

  • 1. Crecimientos papulares o nodulares.
  • 2. Localizados en bordes laterales (uni o bilaterales) a nivel de las papilas circunvaladas, fungiformes y foliadas de la lengua.
  • 3. Tamaño de 2 a 10 mm.
  • 4. La coloración de estas estructuras puede variar de rosa pálido o discretamente eritematoso.
  • 5. Presentan consistencia blanda.
  • 6. Superficie lisa.
  • 7. Pueden presentar forma ovoide o esférica.
  • 8. Pueden tener una base sésil o pediculada.

En ausencia de sintomatología no debe realizarse ningún tipo de manipulación o tratamiento. En caso de realizar algún procedimiento odontológico en esa zona, se debe llevar a cabo sin lesionar la PNS para evitar la aparición de dolor o ardor.



CONCLUSIóN

Identificar y comprender la PNS es crucial para evitar lesionar esta zona y no llevar a cabo biopsias innecesarias. Es imperativo que el odontólogo identifique esta región y pueda informar al paciente adecuadamente respecto a su manejo.


REFERENCIAS (EN ESTE ARTÍCULO)

  1. Pellicioli ACA, Fonseca FP, Silva RN, Gueiros LAM, de Almeida OP, Vargas PA et al. Histomorphometric characterization of subgemmal neurogenous plaques. Oral Surg Oral Med Oral Pathol Oral Radiol. 2017; 123 (4): 477-481.

  2. Meirelles DP, Felix FA, de Sousa SF, de Aguiar MCF. Subgemmal neurogenous plaque: a series of six cases and a literature overview. Oral Maxillofac Surg. 2024; 28 (2): 975-983.

  3. Gonzaga AKG, Moreira DGL, Sena DAC, Lopes MLDS, de Souza LB, Queiroz LMG. Subgemmal neurogenous plaque of the tongue: a report of three cases. Oral Maxillofac Surg. 2017; 21 (3): 351-355.

  4. Lopes-Santos G, Cardoso CL, Oliveira DT. Subgemmal neurogenous plaque of posterolateral region in tongue: A case report and review of literature. Int J Surg Case Rep. 2022; 94: 107086.

  5. Alnajar H, O'Toole TR, Lin DM, Al-Khudari S, Gattuso P. Subgemmal neurogenous plaque: a clinical and pathologic review with comparison to common head and neck neural tumors. Clin Pathol. 2019; 12: 2632010X19830180.

  6. Brito JA, de Souza FT, de Lacerda JC, Bernardes VF, Gomes CC, Gomez RS. Asymptomatic nodule in the tongue. Oral Surg Oral Med Oral Pathol Oral Radiol. 2012; 114 (3): 281-283.

  7. Gueiros LA, León JE, Leao JC, Lopes MA, Jorge J, de Almeida OP. Subgemmal neurogenous plaque: clinical and microscopic evaluation of 7 cases. Oral Surg Oral Med Oral Pathol Oral Radiol Endod. 2009; 108 (6): 920-924.

  8. Rodrigues GGN, Zanon CF, Hespanhol W, Cavalcante MAA, Romañach M. Placa neurogênica sub-geminal. Relatos Casos Cir. 2009; (3): 1-4.

  9. Gueiros LA, Leon JE, Lopes MA, de Almeida OP, Jorge J. Subgemmal neurogenous plaque associated with burning tongue: report of two cases and review of the literature. Int J Oral Maxillofac Surg. 2008; 37 (8): 773-776.

  10. Heguedusch D, Maciel LFO, Oliveira SV, Custódio M, Nunes FD, Lemos-Junior CA et al. Clinical aspects of tongue subgemmal neurogenous plaque: Surgical treatment of two symptomatic cases. J Oral Diagn. 2019; 4: 1-4.

  11. Palazzolo MJ, Fowler CB, Magliocca KR, Gnepp DR. Neuroepithelial structures associated with the subepithelial nerve plexus of taste buds: a fortuitous finding resembling the juxtaoral organ of Chievitz. Oral Surg Oral Med Oral Pathol Oral Radiol. 2014; 117 (4): 497-501.

  12. Bommanavar SB, Hema KN, Baad R. Juxtaoral organ of Chievitz: An innocuous organ to be known. J Oral Maxillofac Pathol. 2017; 21 (1): 162-164.

  13. Agrawal M, Sonthalia S, Jha AK, Goldust M. Asymptomatic pinkish-red nodule over the posterolateral tongue. J Cutan Aesthet Surg. 2018; 11 (4): 245-247.

  14. Fonseca FP, Latta Moreira JP, Almeida OP, Vargas PA, Mauad T. Neuroepithelial structures associated with neurogenous subgemmal plaque of the tongue: an autopsy finding. Oral Surg Oral Med Oral Pathol Oral Radiol. 2015; 120 (1): 94-96.

  15. Val-Bernal JF, Rivadulla I, Garijo MF. Lingual subgemmal neurogenous plaques with pseudoepitheliomatous hyperplasia: incidental pseudomalignant condition. Pathol Int. 2006; 56 (8): 462-465.

  16. Triantafyllou A, Coulter P. Structural organization of subgemmal neurogenous plaques in foliate papillae of tongue. Hum Pathol. 2004; 35 (8): 991-999.

  17. McDaniel RK. Subepithelial nerve plexus (with ganglion cells) associated with taste buds. Oral Surg Oral Med Oral Pathol Oral Radiol Endod. 1999; 87 (5): 605-609.

  18. Ide F, Ito Y, Nishimura M, Kusama K, Kikuchi K. So-called neuroepithelial structures in the posterolateral tongue: what can be learned from former studies? Head and Neck Pathology. 2020; 14: 1092-1093.

  19. Val-Bernal JF, Garijo MF, Fontanil N. Subgemmal neurogenous plaques of the tongue: a systematic autopsy study. Rom J Morphol Embryol. 2022; 63 (3): 545-553.

  20. Soares CD, de Souza LL, Laffitte CM, Pontes HAR, de Almeida OP, Mosqueda-Taylor A, Hernandez-Guerrero JC et al. Symptomatic subgemmal neurogenous plaque in patients with COVID-19: Is there an association? J Oral Pathol Med. 2023; 52 (6): 514-520.



AFILIACIONES

1 Alumno de la Facultad de Odontología de la Universidad Autónoma del Estado de México.

2 Profesor. Clínica Orocentro. Facultad de Odontología de la Universidad Autónoma del Estado de México.

3 Profesor investigador del Centro de Investigación y Estudios Avanzados en Odontología. Facultad de Odontología de la Universidad Autónoma del Estado de México.

4 Alumno de Patología Oral y Maxilofacial, ENES, Unidad León, Universidad Nacional Autónoma de México.



Conflicto de intereses: los autores declaran no tener conflicto de intereses.

Aspectos éticos: todos los procedimientos realizados en humanos se ajustaron a los principios establecidos en la Declaración de Helsinki de la Asociación Médica Mundial (AMM), así como lo establecido en la Ley General de Salud Título Quinto y el Reglamento de la Ley General de Salud en Materia de Investigación para la Salud, y NOM-012-SSA3-2012, que establece los criterios para la ejecución de proyectos de investigación para la salud en seres humanos.

Financiamiento: este trabajo no cuenta con financiamiento.



CORRESPONDENCIA

Víctor Hugo Toral-Rizo. E-mail: vhtoralr@uaemex.mx




Recibido: 15 de enero de 2025. Aceptado: 14 de noviembre de 2025.

Figura 1
Figura 2
Figura 3
Tabla 1

2020     |     www.medigraphic.com

Mi perfil

C?MO CITAR (Vancouver)

Rev ADM. 2025;82

ARTíCULOS SIMILARES

CARGANDO ...