medigraphic.com
ENGLISH

Revista ADM Órgano Oficial de la Asociación Dental Mexicana

ISSN 0001-0944 (Impreso)
Órgano Oficial de la Asociación Dental Mexicana
  • Mostrar índice
  • Números disponibles
  • Información
    • Información general        
    • Directorio
  • Publicar
    • Instrucciones para autores        
    • Envío de artículos
  • medigraphic.com
    • Inicio
    • Índice de revistas            
    • Registro / Acceso
  • Mi perfil

2025, Número 6

<< Anterior Siguiente >>

Rev ADM 2025; 82 (6)


Clasificación, diagnóstico, tratamientos y pronóstico de las lesiones de furcación: una revisión bibliográfica.

Villarreal-Arizpe, Karen Lissette1; Rodríguez-Pulido, Jesús 1; Martínez-Sandoval, Gloria1; de la Garza-Ramos, Myriam Angélica1; Chapa-Arizpe, María Gabriela1
Texto completo Cómo citar este artículo 10.35366/122113

DOI

DOI: 10.35366/122113
URL: https://dx.doi.org/10.35366/122113
Artículos similares

Idioma: Español
Referencias bibliográficas: 64
Paginas: 359-370
Archivo PDF: 1548.75 Kb.


PALABRAS CLAVE

defectos de furcación, periodontitis, tratamientos, clasificación, pronóstico.

RESUMEN

Introducción: en el 30-50% de los pacientes con periodontitis se puede encontrar involucramiento de la furcación, la cual es muy difícil de desbridar completamente debido a su morfología. Objetivo: presentar las distintas clasificaciones, los métodos diagnósticos, tratamientos de las lesiones en furcación y los pronósticos de los abordajes existentes. Material y métodos: se realizó una búsqueda en la base de datos de PubMed con el cruce de palabras "furcation", "etiology", "classification", "treatment", "scalling and root planning", "open flap debridement", "furcoplasty", "tunneling", "hemisection", "amputation", "extraction", y "prognosis". Resultados: el factor determinante para la afectación de la furcación es la placa bacteriana (biofilm) y es necesario realizar un análisis clínico y radiográfico para su correcto diagnóstico. Existen distintos tratamientos como por ejemplo el raspado y alisado radicular, colgajo por desbridación, plastia de la furcación, tunelización, hemisección, amputación, extracción y regenerativos, y su elección depende principalmente del grado de afectación de la furcación y su localización. El pronóstico de entre 4 y 30.8 años depende del abordaje utilizado y va desde un 35 a un 100%. Conclusiones: existen distintos tratamientos para las furcaciones involucradas. La correcta elección de éste puede mejorar el pronóstico a largo plazo del órgano dentario afectado.



ABREVIATURAS:

  • CBCT = tomografía computarizada de haz cónico
  • CR = resección de la corona
  • EMD = derivado de la matriz del esmalte
  • PDGF = factor de crecimiento derivado de plaquetas
  • PRF = fibrina rica en plaquetas (por sus siglas en inglés)
  • PRP = plasma rico en plaquetas
  • RR = resección de la raíz
  • RTG = regeneración tisular guiada



INTRODUCCIóN

La periodontitis es una enfermedad inflamatoria asociada a microorganismos y mediada por el huésped.1 Más de mil millones de personas en todo el mundo sufren de periodontitis grave (Organización Mundial de la Salud, WHO.int.) y genera considerables costos en la salud, esta patología es la sexta enfermedad más prevalente en el mundo2 en donde las formas más severas afectan aproximadamente al 10% de la población.3

La periodontitis se caracteriza por la destrucción irreversible de los tejidos, dando como resultado una pérdida progresiva de inserción periodontal.2 Si se permite que la enfermedad periodontal continúe, la pérdida de los tejidos periodontales causa resorción ósea y, en el caso de órganos dentarios multirradiculares, puede afectar el tronco radicular y la zona de separación radicular o furcación.4 Cuando los microorganismos colonizan esta zona, se le denomina "involucración de furca".5

Es muy común encontrar involucramiento de furcación en los pacientes con periodontitis. Se ha reportado una prevalencia del 13.7% en la población general de EE. UU. y en el 30-50% de los pacientes con periodontitis.5 La importancia de este tema radica en que aquellos molares con furca involucrada tienen un mayor riesgo de pérdida de inserción futura en comparación con órganos dentales sin involucración de furca. Asimismo, tienen un mayor riesgo de que se pierdan en comparación con órganos dentarios unirradiculares.6

La literatura demuestra que los molares con presencia de furcación involucrada grado II y III de Hamp7 tienen una mayor probabilidad de perderse en presencia o ausencia de terapia periodontal de soporte.8 De igual manera, en un estudio publicado por Nibali y colaboradores5 demostraron que en 10 a 15 años aquellos órganos dentarios con furca involucrada grado I de la clasificación de Hamp,7 el riesgo se aumenta al doble en la pérdida en molares aun en terapia periodontal.

La afectación de la furcación representa un desafío en el tratamiento de los molares con compromiso periodontal.8 Esto se debe a que esta área tiene una morfología que puede ser muy difícil o imposible de desbridar por medio de una instrumentación periodontal de rutina.9 Debido a lo anterior, para asegurar una estabilidad a largo plazo de los molares con furcación involucrada, es necesario crear una topografía que permita un control ideal de placa bacteriana.10 Dependiendo del sitio y el grado de involucración de furcación, existen distintos tratamientos que buscan mejorar el pronóstico de los órganos dentarios afectados, por ejemplo, el mantenimiento no quirúrgico, cirugía resectiva y los tratamientos regenerativos.8

El tipo de órgano dentario y el grado de involucración de la furcación se definieron como los factores más importantes en la toma de decisiones acerca del tratamiento que se realizará.9 Asimismo, el diagnóstico y tratamiento inicial de las lesiones de furcación favorece el pronóstico y, por consiguiente, la permanencia del órgano dental en el arco maxilar.4

Debido a lo anterior, el objetivo del presente artículo es presentar las distintas clasificaciones, los métodos diagnósticos, tratamientos de las lesiones en la furcación, y el pronóstico con los distintos abordajes, con la finalidad de que el periodoncista considere la elección de los distintos abordajes posibles y elija el más adecuado para mejorar el pronóstico de aquellos órganos dentales afectados.



MATERIAL Y MéTODOS

Se realizó una búsqueda en la base de datos de PubMed con el cruce de palabras "furcation", "etiology", "classification", "treatment", "scalling and root planning", "open flap debridement", "furcplasty", "tunneling", "hemisection", "amputation", "extraction" y "prognosis".



RESULTADOS



ETIOLOGÍA

La furcación se puede ver involucrada por distintos factores. El factor determinante de estas lesiones es la acumulación de placa bacteriana (biofilm) como resultado de una higiene oral deficiente.

Por otra parte, los factores predisponentes incluyen: morfología radicular aberrante, proyecciones de esmalte, perlas de esmalte, presencia de conductos accesorios en la raíz, dimensión del tronco radicular, localización de la furcación en relación con el tronco radicular, perforación iatrogénica de la furca, entre otros.11-13

También existen factores modificantes, como por ejemplo el trauma oclusal que puede aumentar la pérdida ósea en presencia de placa bacteriana y empeorar la condición del paciente.14



CLASIFICACIONES

A lo largo del tiempo se han establecido distintas clasificaciones en la involucración de la furcación, las cuales se encuentran resumidas en la Tabla 1.



DIAGNÓSTICO

La correcta determinación de la extensión del defecto, así como de la posición del tejido marginal en relación con la furcación, son de gran importancia debido a que proporciona información clínica necesaria para un diagnóstico más preciso y confiable.34 De igual manera, el examen diagnóstico permite determinar los factores anatómicos locales que pueden afectar el resultado de la terapia, como por ejemplo la longitud del tronco radicular, longitud y forma de la raíz, dimensión interradicular, anatomía de la furcación, proyecciones cervicales de esmalte, entre otros. De modo que sea posible elegir la opción más adecuada de tratamiento.35

La literatura concluye que el diagnóstico de la extensión de la involucración de furca se realiza mediante una exploración clínica y un análisis radiográfico. El primero se lleva a cabo midiendo la profundidad de sondeo, nivel de inserción clínica y el sondeo de la entrada a la furcación por medio de la sonda curva de Nabers.34,36-38 Un sondeo cuidadoso permite determinar la presencia, extensión y configuración del defecto de la furcación, así como la posición de la inserción periodontal en relación con ésta.35

Comúnmente, la exploración clínica se complementa con radiografías periapicales, sin embargo, estudios recientes reportan que el uso de tomografía computarizada de haz cónico (CBCT por sus siglas en inglés) mejora la precisión diagnóstica de estas lesiones, por lo que se ha sugerido como una herramienta de evaluación adjunta a los métodos convencionales.34,36-38



TRATAMIENTOS

Para elegir el abordaje más apropiado para cada grado de furcación involucrada es necesario que el profesional tome en cuenta las características clínicas y radiográficas como la altura del tronco radicular, el ancho de la entrada de la furca y la distancia entre el techo de la furca y la cresta ósea.39 Los tipos de tratamientos para los defectos de furcación se resumen en la Figura 1.



NO QUIRÚRGICOS

Raspado y alisado radicular

La meta del tratamiento de la involucración de furca es poder limpiarla y facilitar la higiene oral del paciente.7 Posterior a su diagnóstico, el raspado y alisado radicular es el primer paso en la terapia de estas, sin embargo, es necesario confirmarlo seis meses posteriores a este tratamiento.40

La readaptación de los tejidos en la superficie radicular posterior a la periodontitis depende en la preparación de la superficie dental. Debido a lo anterior es de gran importancia remover la placa bacteriana, cálculo y cemento contaminado con la finalidad de producir una superficie lisa y biológicamente aceptable.41

Bower41 analizó la morfología de las furcaciones maxilares y mandibulares para investigar si ésta influenciaba en la instrumentación con curetas. Encontró que en el 81% de las furcas, la entrada medía menos de 1 mm y en el 58% medía 0.7 mm. La relevancia de este dato recae en que la parte activa de las curetas tienen un ancho de entre 0.75 y 1.10 mm impidiendo la correcta instrumentación de las furcaciones. Debido a lo anterior, se recomienda utilizar curetas especiales para furca como la Quentin, DeMarco, Mini Five Gracey, entre otras.35

A pesar de esto, existen diversos estudios que demuestran la eficacia del tratamiento no quirúrgico en los defectos de furcación. Ribeiro y colegas42 encontraron que la terapia no quirúrgica puede tratar eficazmente las afecciones de furca clase II. De igual manera, Svärdström y Wennström ilustraron que, en pacientes que participaron en un mantenimiento constante durante 10 años, las bifurcaciones podrían mantenerse utilizando técnicas no agresivas.43 Si el área es accesible para la higiene oral, la furcación se puede mantener con terapia no quirúrgica.40



QUIRÚRGICOS

Conservadores

Colgajo por desbridación

Si el objetivo del tratamiento va enfocado a mejorar la higiene del paciente y a obtener acceso para desbridación, se sugiere realizar un colgajo y realizar una plastia de la furcación para remover irregularidades en la raíz y aumentar el tamaño de la entrada a ésta.40

Graziani y su grupo44 realizaron una revisión sistemática con metaanálisis de ensayos de control aleatorio para el tratamiento de furcas grado II con colgajo por desbridación, y encontraron que este tratamiento presenta mejoras clínicas significativas a los seis meses.

Bajaj y colaboradores45 encontraron un cambio de 1.58 ± 1.02 mm en la profundidad promedio de sondeo después de nueve meses de realizar este tratamiento en furcas grado II. Asimismo, hubo un cambio en el nivel de inserción clínico vertical y horizontal de 1.37 ± 0.58 y 1.08 ± 0.50 mm respectivamente, con un porcentaje de llenado óseo del defecto de 2.78 ± 0.68.

Kanoriya y su equipo46 realizaron un ensayo clínico controlado en furcas grado II y, a los nueve meses del colgajo por desbridación, obtuvieron como resultado una disminución en la profundidad de sondaje de 2.41 ± 0.77 mm, un cambio en el nivel de inserción vertical y horizontal de 2.33 ± 0.48 y 2.04 ± 0.35 mm, respectivamente, y un porcentaje de llenado óseo del defecto de 10.25 ± 3.66.



RESECTIVOS

Plastia de la furca

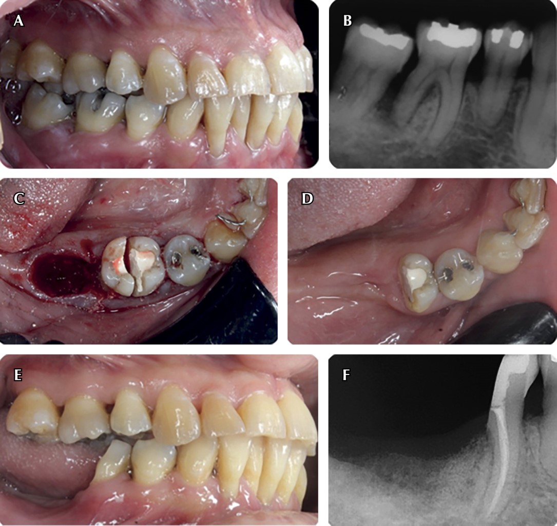
Este procedimiento consiste en la reducción horizontal de la bifurcación mediante la osteoplastia y la odontoplastia creando así una confluencia suave entre el hueso y el diente.7,47 Este tratamiento se utiliza cuando la destrucción horizontal no excede los 3 mm y es de mayor valor en los molares mandibulares.47

Para este procedimiento es necesario realizar una elevación de colgajo para tener acceso al área interradicular, remoción del tejido inflamatorio por medio de un raspado y alisado radicular y la posterior odontoplastia y osteoplastia para reducir el componente horizontal del defecto y aumentar el tamaño de la entrada a la furca. Es necesario que la sutura quede a nivel de la cresta alveolar, cubriendo la entrada a la bifurcación. La cicatrización en esta zona debe ser "como una papila"48 (Figura 2).

Tunelización

Los molares con furca grado III están en mayor riesgo de extraerse en comparación con aquellas con grado I y II, por lo que son consideradas un desafío desde el punto de vista terapéutico. La tunelización de una furca busca facilitar la higiene por parte del paciente por medio de la creación quirúrgica de un "túnel" accesible para los cepillos interdentales.49

Para que la cirugía sea exitosa es necesario que se cumplan los siguientes requisitos: divergencia entre raíces mesial y distal de manera que permita una correcta limpieza postquirúrgica, un tronco radicular corto, soporte óseo en interproximal que compense la ostectomía en el área de la furca, una proporción corono:radicular mayor a 1:1 y ausencia o mínima movilidad dental.50

El procedimiento quirúrgico consiste en la elevación de un colgajo de espesor parcial por lingual y vestibular con la subsecuente remoción del tejido de granulación. Posteriormente, se realiza la ostectomía por medio de fresas de diamante o insertos piezoeléctricos, dejando una distancia entre 5-6 mm entre el fórnix y la cresta ósea. Se realiza el raspado y alisado radicular y se posiciona apicalmente el colgajo cubriendo el hueso y fijándolo con suturas.49

La ventaja de este tratamiento sobre la amputación o hemisección es que no es necesario realizar un tratamiento de endodoncia con reconstrucción de la corona, siendo así más económico para el paciente. Sin embargo, existe un aumento en la probabilidad de caries radicular, sensibilidad, exposición de conductos laterales que requerirían el tratamiento de endodoncia y la necesidad de que el paciente se comprometa a tener una buena higiene para que el tratamiento sea exitoso.50

Resección radicular

Los términos "amputación radicular" y "hemisección" se conocen colectivamente como "resección radicular".51 Es necesario realizar una distinción entre los procedimientos de resección de la raíz (RR) y resección de la corona (CR). El primero consiste en la amputación de la raíz o cualquier RR a nivel de la unión amelocementaria sin remover partes de la corona. Mientras que la resección de la corona incluye la hemisección, trisección y premolarización (bicuspidación). Asimismo, ésta abarca todos los tratamientos en los que la separación atraviesa la bifurcación y la corona de un diente multirradicular, de tal manera que se puede extraer una raíz y su porción asociada de la corona (hemisección o trisección) (Figura 3) o se conservan todas las secciones de la raíz/corona (premolarización o bicuspidación).52

El objetivo de este tratamiento es conseguir un ambiente favorable para el mantenimiento de la higiene oral al eliminar la morfología retentiva y las raíces afectadas severamente.53 Por lo tanto, está indicado principalmente en furcas grado II o grado III muy afectadas. De igual manera, se puede considerar en casos con pérdida ósea severa localizada que afecta a una raíz individual, fracturas radiculares verticales, caries radicular subgingival, patología periapical persistente, resorciones radiculares, perforaciones radiculares iatrogénicas o cuando las situaciones anatómicas impidan la colocación del implante.52

El éxito de los tratamientos resectivos depende, en gran medida, de la selección del caso y de seguir pautas específicas de endodoncia, cirugía y restauración. Desde el punto de vista periodontal, la cantidad de soporte óseo y el grado de afectación de la furcación son determinantes importantes para la selección de casos y el pronóstico. Por lo tanto, es más probable que la resección o hemisección de la raíz realizada en la etapa incipiente de la invasión de la furca tenga un resultado exitoso. Por otra parte, desde el punto de vista endodóncico, los factores como conductos no tratables, debilitamiento de las paredes laterales de las raíces restantes durante la instrumentación endodóncica y un mal diseño posterior son las causas del fracaso de los molares seccionados.54

Extracción

Este tratamiento debe considerarse en los siguientes escenarios: cuando la pérdida de inserción es tan extensa que resulta imposible mantener la raíz; si otros abordajes no permitirán obtener una anatomía dental o gingival que facilite una adecuada higiene por parte del paciente; cuando conservar el diente afectado no contribuya al plan de tratamiento integral; en presencia de lesiones endodóncicas o asociadas a caries; o si la preservación del diente representa un factor de riesgo a largo plazo. Es fundamental que, al decidir el manejo de la furca, se evalúe siempre el pronóstico del tratamiento global y no únicamente el del órgano dentario involucrado.48

Regenerativos

El objetivo final del tratamiento de defectos de furcación es el cierre de ésta mediante regeneración periodontal, es decir, formación de cemento radicular, ligamento periodontal y hueso alveolar que abarca toda el área de la furca involucrada.55

Existen distintas técnicas quirúrgicas regenerativas para tratar los defectos de furcación. Entre ellos se encuentran la regeneración tisular guiada (RTG) haciendo uso de membranas absorbibles y no absorbibles, injertos óseos (autoinjertos, aloinjertos o xenoinjertos), agentes bioactivos como derivado de la matriz del esmalte (EMD), factor de crecimiento derivado de plaquetas (PDGF), plasma rico en plaquetas, fibrina rica en plaquetas (PRP/PRF) y combinaciones de ellos.56

Los beneficios del tratamiento regenerativo en furcaciones incluyen la mejora de los niveles de inserción clínica vertical, la disminución en la profundidad sondeable de las bolsas y la mejora de la afectación de la furcación involucrada de forma horizontal y vertical.56,57 También, se ha encontrado que, aunque el cierre completo de la furcación afectada es raro, este tratamiento puede convertir una furca grado II en una grado I, mejorando el pronóstico a largo plazo del órgano dentario afectado.55,56 Esto es debido a que la regeneración periodontal se debe considerar como el tratamiento de elección cuando sea posible, especialmente en defectos clase II y cuando el hueso interproximal es coronal al defecto de furcación.40,58,59



PRONÓSTICO

El pronóstico de los órganos dentarios afectados está determinado por el grado de involucración de la furcación y el nivel de inserción clínica. Las furcas clase I de Hamp muestran un pronóstico similar a los molares sin involucración de furca, mientras que los molares afectados de clase II y III tienen un riesgo significativamente mayor y clínicamente relevante de pérdida de dientes.60-62

Domminisch y colegas6 publicaron una revisión sistemática del pronóstico entre 4 y 30.8 años de diferentes tratamientos realizados en los tres tipos de clases de furca (Tabla 2). Los autores encontraron que, dentro de sus límites, los datos indican que en las clases II y III, el raspado y alisado radicular y el colgajo por desbridación pueden resultar en tasas de supervivencia similares a las de amputación/resección de raíces, separación de raíces o tunelización.

Asimismo, Huynh-Ba y colaboradores63 encontraron que la regeneración tisular guiada tiene un pronóstico de entre 83.3 a 100% de supervivencia de 5-12 años. Es importante recordar que el éxito de este tratamiento depende no sólo del grado de involucración de la furca, sino también de si es un molar maxilar o mandibular, siendo el primero el que tiene un peor pronóstico.64



¿QUÉ TRATAMIENTO ELEGIR?

En el 2020, Sanz y su equipo64 publicaron unas guías para el tratamiento de la periodontitis en las que se mencionan las recomendaciones para la elección de la terapia de las distintas clases de involucración de la furcación. Los autores mencionan que para los molares con furca clase II mandibular con bolsas residuales, recomiendan realizar regeneración empleando proteínas derivadas de la matriz del esmalte o un injerto óseo con o sin membrana absorbible. En cuanto a la furca clase II maxilar se recomienda una instrumentación no quirúrgica, colgajo por desbridación, regeneración o separación/amputación radicular. Para la clase III maxilar y mandibular, además de la tunelización, se mencionan los mismos tratamientos que para la clase II maxilar, excepto la regeneración.



CONCLUSIONES

La periodontitis se caracteriza por la destrucción irreversible de los tejidos con pérdida progresiva de inserción causada por la presencia de microorganismos. Este daño a los tejidos periodontales puede incluir a la furcación que, debido a su morfología, es muy difícil desbridar completamente por medio de instrumentación periodontal de rutina. Dependiendo del sitio y el grado de involucración de furca, existen distintos tratamientos que buscan mejorar el pronóstico de estos órganos dentales, como por ejemplo el mantenimiento no quirúrgico, cirugía resectiva y los tratamientos regenerativos.



AGRADECIMIENTOS

A CONAHCYT por la beca otorgada y a Diana Lorena Curiel Velázquez y Alejandra Elí Bustamante Whitney por su colaboración con los casos clínicos.


REFERENCIAS (EN ESTE ARTÍCULO)

  1. Tonetti MS, Greenwell H, Kornman KS. Staging and grading of periodontitis: framework and proposal of a new classification and case definition. J Clin Periodontol. 2018; 89 Suppl 1: S159-S172.

  2. Helal O, Gostemeyer G, Krois J, Fawzy El Sayed K, Graetz C, Schwendicke F. Predictors for tooth loss in periodontitis patients: systematic review and meta-analysis. J Clin Periodontol. 2019; 46 (7): 699-712.

  3. Needleman I, Garcia R, Gkranias N, Kirkwood KL, Kocher T, Iorio AD et al. Mean annual attachment, bone level, and tooth loss: a systematic review. J Periodontol. 2018; 89 Suppl 1: S120-S139.

  4. Soares DM, Melo JGA, Barboza CAG, Alves R de V. The use of enamel matrix derivative in the treatment of class II furcation defects: systematic review and meta-analysis. Aust Dent J. 2020; 65 (4): 241-251.

  5. Nibali L, Zavattini A, Nagata K, Di Iorio A, Lin G-H, Needleman I, et al. Tooth loss in molars with and without furcation involvement - a systematic review and meta-analysis. J Clin Periodontol. 2016; 43 (2): 156-166.

  6. Dommisch H, Walter C, Dannewitz B, Eickholz P. Resective surgery for the treatment of furcation involvement: a systematic review. J Clin Periodontol. 2020; 47 (S22): 375-391.

  7. Hamp S-E, Nyman S, Lindhe J. Periodontal treatment of multi rooted teeth. Results after 5 years. J Clin Periodontol. 1975; 2 (3): 126-135.

  8. Nibali L, Krajewski A, Donos N, Volzke H, Pink C, Kocher T, et al. The effect of furcation involvement on tooth loss in a population without regular periodontal therapy. J Clin Periodontol. 2017; 44 (8): 813-821.

  9. Pilloni A, Rojas M. Furcation involvement classification: a comprehensive review and a new system proposal. Dent J. 2018; 6 (3): 34.

  10. Alassadi M, Qazi M, Ravidà A, Siqueira R, Garaicoa-Pazmiño C, Wang H. Outcomes of root resection therapy up to 16.8 years: A retrospective study in an academic setting. J Periodontol. 2020; 91 (4): 493-500.

  11. Desanctis M, Murphy KG. The role of resective periodontal surgery in the treatment of furcation defects: resective periodontal surgery in furcation defects. Periodontol 2000. 2000; 22 (1): 154-168.

  12. Azim AA, Lloyd A, Huang GT-J. Management of longstanding furcation perforation using a novel approach. J Endod. 2014; 40 (8): 1255-1259.

  13. Parihar AS, Katoch V. Parihar AS, Katoch V. Furcation involvement & its treatment: a review. J Adv Med Dent Sci Res. 2015; 3 (1): 81-87.

  14. Cimoes R, Gusmao E, Picarte ACC, Bené Barbosa MB, Rosing C. Correlation between clinical and radiographic findings on the occurrence of furcation involvement in patients with periodontitis. Indian J Dent Res. 2014; 25 (5): 572.

  15. Goldman HM. Therapy of the Incipient Bifurcation Involvement. J Periodontol. 1958; 29 (2): 112-116.

  16. Easley JR, Drennan GA. Morphological classification of the furca. J Can Dent Assoc. 1969; 35 (2): 104-107.

  17. Staffileno HJ. Surgical management of the furca invasion. Dent Clin North Am. 1969; 13 (1): 103-119.

  18. Glickman I. Clinical periodontology; prevention, diagnosis, and treatment of periodontal disease in the practice of general dentistry. 4th ed. Philadelphia: Saunders; 1972.

  19. Ramfjord SP, Ash MM. Periodontology and periodontics. Saunders: Philadelphia, PA, USA, 1979. pp. 247-309.

  20. Ricchetti PA. A furcation classification based on pulp chamber-furcation relationships and vertical radiographic bone loss. Int J Periodontics Restorative Dent. 1982; 2 (5): 50-59.

  21. Tal H, Lemmer J. Furcal defects in dry mandibles: part II: severity of furcal defects. J Periodontol. 1982; 53 (6): 364-367.

  22. Eskow RN, Kapin SH. Furcation invasions: correlating a classification system with therapeutic considerations. Part I. Examination, diagnosis, and classification. Compend Contin Educ Dent. 1984; 5 (6): 479-83, 487.

  23. Tarnow D, Fletcher P. Classification of the vertical component of furcation involvement. J Periodontol. 1984; 55 (5): 283-284.

  24. Fedi PF. The Periodontal syllabus. 2nd ed. Lea and Febiger: Philadelphia, PA, USA; 1985, pp. 169-170.

  25. Rosenberg, MM. Management of osseous defects, furcation involvements, and periodontal-pulpal lesions. In: Clark JW, ed. Clinical dentistry, periodontal and oral surgery. Harper and Row: Philadelphia, PA, USA, 1986.

  26. Grant DA, Stern IB, Lisgarten MA. Periodontics. 6th ed. C.V. Mosby: St. Louis, IL, USA; 1988, p. 931.

  27. Goldman HM, Cohen DW. Periodontal Therapy. 6th ed. C.V. Mosby: St. Louis, IL, USA; 1988, p. 921.

  28. Basaraba N. Furcation invasions. In: Schluger S, Yuodelis R, Page RC, Johnson RH, eds.; Periodontal diseases. Lea and Febiger: Philadelphia, PA, USA, 1990.

  29. Hou GL, Chen YM, Tsai CC, Weisgold AS. A new classification of molar furcation involvement based on the root trunk and horizontal and vertical bone loss. Int J Periodontics Restorative Dent. 1998; 18 (3): 257-265.

  30. Nevis M, Cappetta EG. Treatment of maxillary furcations. In: Nevins M, Mellonig JT. eds.; Periodontal therapy-clinical approaches and evidence of success. Quintessence: Chicago, IL, USA, 1998.

  31. American Academy of Periodontology. Glossary of Periodontal Terms, 4th ed.; American Academy of Periodontology: Chicago, LA, USA, 2001.

  32. Walter C, Kaner D, Berndt DC, Weiger R, Zitzmann NU. Three-dimensional imaging as a pre-operative tool in decision making for furcation surgery. J Clin Periodontol. 2009; 36 (3): 250-257.

  33. Carnevale G, Pontoriero R, Lindhe J. Treatment of furcation—involved teeth. In: Lindhe J, Lang NP, Karring T, eds. Clinical periodontology and implant dentistry, 5th ed.; Munksgaard: Copenhagen, Denmark, 2012; pp. 823-847.

  34. Komsic S, Plancak D, Kasaj A, Puhar I. A comparison of clinical and radiological parameters in the evaluation of molar furcation involvement in periodontitis. Acta Stomatol Croat. 2019; 53 (4): 326-336.

  35. Newman MG. Newman and carranza's clinical periodontology. 13th edition. Philadelphia, PA: Elsevier, Inc; 2018.

  36. Yusof NAM, Noor E, Reduwan NH, Yusof MYPM. Diagnostic accuracy of periapical radiograph, cone beam computed tomography, and intrasurgical linear measurement techniques for assessing furcation defects: a longitudinal randomised controlled trial. Clin Oral Investig. 2021; 25 (3): 923-932.

  37. Pajnigara N, Kolte A, Kolte R, Pajnigara N, Lathiya V. Diagnostic accuracy of cone beam computed tomography in identification and postoperative evaluation of furcation defects. J Indian Soc Periodontol. 2016; 20 (4): 386.

  38. Padmanabhan S, Dommy A, Guru S, Joseph A. Comparative evaluation of cone-beam computed tomography versus direct surgical measurements in the diagnosis of mandibular molar furcation involvement. Contemp Clin Dent. 2017; 8 (3): 439.

  39. Bevilacqua L, Fonzar A, Olivier S, De Biasi M, Visintin M, Angerame D et al. Outcome of different surgical approaches in the treatment of class II furcation defects in mandibular molars: a randomized clinical trial. Int J Periodontics Restorative Dent. 2020; 40 (5): 693-701.

  40. Rasperini G, Majzoub J, Tavelli L, Limiroli E, Katayama A, Barootchi S et al. Management of furcation-involved molars: recommendation for treatment and regeneration. Int J Periodontics Restorative Dent. 2020; 40 (4): e137-146.

  41. Bower RC. Furcation morphology relative to periodontal treatment: furcation entrance architecture. J Periodontol. 1979; 50 (1): 23-27.

  42. Del Peloso Ribeiro É, Bittencourt S, Ambrosano GMB, Nociti FH, Sallum EA, Sallum AW, et al. Povidone-iodine used as an adjunct to non-surgical treatment of furcation involvements. J Periodontol. 2006; 77 (2): 211-217.

  43. Svardstrom G, Wennstrom JL. Periodontal treatment decisions for molars: an analysis of influencing factors and long-term outcome. J Periodontol. 2000; 71 (4): 579-585.

  44. Graziani F, Gennai S, Karapetsa D, Rosini S, Filice N, Gabriele M, et al. Clinical performance of access flap in the treatment of class II furcation defects. A systematic review and meta-analysis of randomized clinical trials. J Clin Periodontol. 2015; 42 (2): 169-181.

  45. Bajaj P, Pradeep AR, Agarwal E, Rao NS, Naik SB, Priyanka N et al. Comparative evaluation of autologous platelet-rich fibrin and platelet-rich plasma in the treatment of mandibular degree II furcation defects: a randomized controlled clinical trial. J Periodontal Res. 2013; 48 (5): 573-581.

  46. Kanoriya D, Pradeep AR, Garg V, Singhal S. Mandibular degree ii furcation defects treatment with platelet-rich fibrin and 1% alendronate gel combination: a randomized controlled clinical trial. J Periodontol. 2017; 88 (3): 250-258.

  47. Highfield JE. Periodontal treatment of multirooted teeth. Aust Dent J. 1978; 23 (1): 91-98.

  48. Lindhe J, Lang NP, Berglundh T, Giannobile WV, Sanz M, editors. Clinical periodontology and implant dentistry. 6th ed. Chichester, West Sussex?; Ames, Iowa: Wiley Blackwell; 2015, p. 1.

  49. Nibali L, Akcali A, Rüdiger SG. The importance of supportive periodontal therapy for molars treated with furcation tunnelling. J Clin Periodontol. 2019; 46 (12): 1228-1235.

  50. Vandersall DC, Detamore RJ. The mandibular molar class III furcation invasion. J Am Dent Assoc. 2002; 133 (1): 55-60.

  51. Joshipura V. Hemisection- A relevant, practical and successful treatment option. 2011; 3 (6): 6.

  52. Setzer FC, Shou H, Kulwattanaporn P, Kohli MR, Karabucak B. Outcome of crown and root resection: a systematic review and meta-analysis of the literature. J Endod. 2019; 45 (1): 6-19.

  53. Mokbel N, Kassir A, Naaman N, Megarbane J-M. Root resection and hemisection revisited. Part I: a systematic review. int j periodontics restorative dent. 2019; 39 (1): e11-31.

  54. Sharma S, Sharma R, Ahad A, Gupta N, Mishra S. Hemisection as a conservative management of grossly carious permanent mandibular first molar. J Nat Sci Biol Med. 2018; 9 (1): 97.

  55. Laugisch O, Cosgarea R, Nikou G, Nikolidakis D, Donos N, Salvi GE et al. Histologic evidence of periodontal regeneration in furcation defects: a systematic review. Clin Oral Investig. 2019; 23 (7): 2861-906.

  56. Jepsen S, Gennai S, Hirschfeld J, Kalemaj Z, Buti J, Graziani F. Regenerative surgical treatment of furcation defects: a systematic review and Bayesian network meta-analysis of randomized clinical trials. J Clin Periodontol. 2020; 47 (S22): 352-374.

  57. Cortellini P, Cortellini S, Tonetti MS. Papilla preservation flaps for periodontal regeneration of molars severely compromised by combined furcation and intrabony defects: Retrospective analysis of a registry-based cohort. J Periodontol. 2020; 91 (2): 165-173.

  58. Avila-Ortiz G, De Buitrago JG, Reddy MS. Periodontal regeneration-furcation defects: a systematic review from the AAP regeneration workshop. J Periodontol. 2015; 86 (2-s): S108-130.

  59. Reddy MS, Aichelmann-Reidy ME, Avila-Ortiz G, Klokkevold PR, Murphy KG, Rosen PS, et al. Periodontal regeneration – furcation defects: a consensus report from the AAP regeneration workshop. J Periodontol. 2015; 86 (2-s): S131-133.

  60. Eickholz P, Walter C. Clinical and radiographic diagnosis and epidemiology of furcation involvement. In: Nibali L, editor. Diagnosis and treatment of furcation-involved teeth. Chichester, UK: John Wiley & Sons, Ltd; 2018. pp. 15-31.

  61. Dannewitz B, Zeidler A, Hüsing J, Saure D, Pfefferle T, Eickholz P et al. Loss of molars in periodontally treated patients: results 10 years and more after active periodontal therapy. J Clin Periodontol. 2016; 43 (1): 53-62.

  62. Graetz C, Schützhold S, Plaumann A, Kahl M, Springer C, Salzer S et al. Prognostic factors for the loss of molars - an 18-years retrospective cohort study. J Clin Periodontol. 2015; 42 (10): 943-950.

  63. Huynh-Ba G, Kuonen P, Hofer D, Schmid J, Lang NP, Salvi GE. The effect of periodontal therapy on the survival rate and incidence of complications of multirooted teeth with furcation involvement after an observation period of at least 5 years: a systematic review. J Clin Periodontol. 2009; 36 (2): 164-176.

  64. Sanz M, Herrera D, Kebschull M, Chapple I, Jepsen S, Berglundh T et al. Treatment of stage I-III periodontitis-The EFP S3 level clinical practice guideline. J Clin Periodontol. 2020; 47 (S22): 4-60.



AFILIACIONES

1 Postgrado de Periodoncia, Facultad de Odontología, Universidad Autónoma de Nuevo León, México.



Conflicto de intereses: no hay conflicto de intereses.

Aspectos éticos: sin conflictos éticos.

Financiamiento: CONAHCYT.



CORRESPONDENCIA

Dra. Karen Lissette Villarreal Arizpe. E-mail: karenl.villarreal@hotmail.com




Recibido: 18 de junio de 2021. Aceptado: 15 de octubre de 2025.

Figura 1
Figura 2
Figura 3
Tabla 1
Tabla 2

2020     |     www.medigraphic.com

Mi perfil

C?MO CITAR (Vancouver)

Rev ADM. 2025;82

ARTíCULOS SIMILARES

CARGANDO ...