medigraphic.com
ENGLISH

Acta Médica Grupo Angeles

Órgano Oficial del Hospital Angeles Health System
  • Mostrar índice
  • Números disponibles
  • Información
    • Información general        
    • Directorio
  • Publicar
    • Instrucciones para autores        
    • Envío de artículos
    • Nombre y afiliación del Comité Editorial
  • Políticas
  • Nosotros
    • Plan de gestión e intercambio de datos
    • Objetivos declarados y alcance
  • medigraphic.com
    • Inicio
    • Índice de revistas            
    • Registro / Acceso
  • Mi perfil

2026, Número 1

<< Anterior Siguiente >>

Acta Med 2026; 24 (1)


Absceso intraabdominal. Papel del médico radiólogo en su identificación y manejo independientemente del método de imagen utilizado

Motta Ramírez, Gaspar Alberto1,3; Córdova Galván, Daniel Eduardo2,4; Cerda Sánchez, Ana Paola2,5
Texto completo Cómo citar este artículo 10.35366/122157

DOI

DOI: 10.35366/122157
URL: https://dx.doi.org/10.35366/122157
Artículos similares

Idioma: Español
Referencias bibliográficas: 17
Paginas: 36-42
Archivo PDF: 825.39 Kb.


PALABRAS CLAVE

absceso intraabdominal, tomografía computarizada, complicaciones quirúrgicas.

RESUMEN

Los abscesos intraabdominales (AIA) son colecciones localizadas de tejido inflamatorio purulento causado por una mezcla de bacterias, incluyendo anaerobias y de la flora habitual, caracterizados por ser una colección necrótica central con leucocitos y tejido. Las causas más comunes incluyen trauma, cirugía abdominal reciente y perforación del tracto gastrointestinal, ya sea por enfermedad ácido péptica o diverticular. Los AIA y retroperitoneales pueden producirse adyacentes a focos de infección (diverticulitis, apendicitis, etcétera), como resultado de una contaminación externa o interna (postquirúrgica o una colangiopancreatografi?a), como consecuencia de una peritonitis generalizada o diseminación hematógena. Menos comunes son las lesiones del tracto genital que condicionan la formación del AIA. El conocimiento anatómico de los espacios abdominales, incluyendo los retroperitoneales, permite anticipar los sitios más probables a los cuales se extenderá un AIA. La tomografía computarizada (TC) es el método de elección para definir y evaluar al AIA, con posibilidades de ofrecer una alternativa terapéutica no quirúrgica. Todo abordaje percutáneo del AIA deberá hacerse a través de una ruta de acceso segura para alcanzar los altos rangos de curación, paliación y adecuación en tiempos quirúrgicos requeridos en forma integral en el manejo del paciente.



ABREVIATURAS:

  • AIA = abscesos intraabdominales
  • IV = intravascular
  • TC = tomografía computarizada
  • US = ultrasonido



INTRODUCCIóN

Los abscesos intraabdominales (AIA) resultan ser intraperitoneales hasta en un 75%. Las causas más comunes incluyen trauma, cirugía abdominal reciente y perforación del tracto gastrointestinal, ya sea por enfermedad ácido péptica o diverticular.1 Los AIA y retroperitoneales pueden producirse adyacentes a focos de infección (diverticulitis, apendicitis, etcétera), como resultado de una contaminación externa o interna (postquirúrgica o una colangiopancreatografi?a), como consecuencia de una peritonitis generalizada o diseminación hematógena.2 Menos comunes son las lesiones del tracto genital que condicionan la formación del AIA.

Por lo general son de origen polimicrobiano, con predominio enterobacteriano, principalmente Escherichia coli y, en menor medida, anaerobios. De origen hematógeno, el germen aislado más frecuente es Staphylococcus aureus. Su localización estará dada por la configuración de la cavidad peritoneal: subfrénicos, paracólicos, pélvicos, subhepáticos, en epiplón menor o entre asas intestinales.2

La tomografía computarizada (TC) es el examen inicial ante la sospecha del AIA posterior a una cirugía abdominopélvica. Los hallazgos por TC deberán correlacionarse con la historia clínica, la exploración física y los resultados de laboratorio. Además de la vital e importante información que la TC provee, ésta muy frecuentemente facilita y guía al tratamiento.3,4

Lo más importante en el diagnóstico del AIA es tenerlo siempre en consideración. El diagnóstico clínico del AIA es difícil y el tratamiento con frecuencia es postergado, lo que repercute en el tiempo de hospitalización e internamiento del paciente, al igual que en su mortalidad, llegando a cerca del 80% sin tratamiento. Sin embargo, el manejo quirúrgico temprano, el drenaje percutáneo y la antibioticoterapia reducen la mortalidad en un 20-30%.5



POR SU LOCALIZACIóN

Los AIA subfrénicos y del hemiabdomen superior están asociados con una elevada mortalidad. La mayoría de ellos son producto de la cirugía, con clínica sutil e inespecífica, dando al médico radiólogo un papel protagónico en el diagnóstico temprano de tales complicaciones.4

Los AIA localizados en el hemiabdomen superior izquierdo pueden presentarse en dos sitios: el espacio subfrénico o en el saco menor. Los primeros pueden extenderse desde el compartimento subfrénico anterior izquierdo a través de la línea media al cuadrante superior derecho y el diagnóstico se logra con un elevado nivel de sospecha clínica. Mientras que los localizados en el saco menor cruzan la línea media hacia la derecha, sin extenderse al espacio subdiafragmático. Se debe tener en cuenta que el hallazgo de radiopacidad, con densidad de partes blandas, que semeja una masa o bien, un nivel hidroaéreo en esa localización, es altamente sugerente de AIA.6

HALLAZGOS RADIOLóGICOS DEL AIA1,4

Los hallazgos radiológicos del AIA son sutiles. La radiografía simple de abdomen puede mostrar gas extraintestinal en el absceso, desplazamiento de órganos adyacentes, densidad de partes blandas que representa el absceso o pérdida de la sombra del músculo psoas.

Los abscesos cercanos al diafragma pueden provocar anormalidades de la radiografía de tórax, como derrame pleural homolateral, hemidiafragma elevado o inmóvil, infiltrados y atelectasia del lóbulo inferior. Es probable que condicionen una obliteración sutil de las interfaces grasas del músculo psoas o bien un desplazamiento de órganos intraabdominales y/o retroperitoneales.

Otros hallazgos son: íleo adinámico, gas extraluminal, neumoperitoneo, extravasación del medio de contraste hacia una "bolsa" aérea extraluminal, o gas intramural, que, en un paciente con estatus postoperatorio, condiciona aún mayor dificultad para su identificación.

En el estudio radiológico simple, el hallazgo cardinal del AIA es la colección extraluminal extraintestinal de gas, pudiendo tener una o dos apariencias: 1) una colección aérea única que asemeja un asa intestinal, observándose como una colección de burbujas aéreas de localización difícil de diferenciar del contenido intraabdominal intraluminal intestinal y 2) un patrón moteado, mezcla de gas y de líquido que asemeja al contenido gástrico y/o colónico.1,4

El signo del migajón representa la suma de pequeñas cantidades de gas –radiolúcidas– atrapadas, entremezcladas con imágenes de radiodensidad de partes blandas, con efecto ocupativo y expansivo. Representa un hallazgo altamente sospechoso de la formación de absceso y/o colección intraabdominal. Su identificación condiciona una estrecha evaluación clínica exhaustiva, que, en concordancia con el estado clínico del paciente, favorece el establecimiento del diagnóstico clínico preciso. El signo del migajón tiene su diagnóstico diferencial (Figura 1), condicionado por la sobredistensión gástrica por material alimenticio. El bezoar consiste en el acúmulo de diferentes sustancias indigeribles en el tubo digestivo –intestinal o estomacal–, capaces de formar masas de volumen variable.

Aun con la identificación positiva de los hallazgos radiológicos en proyecciones abdominopélvicas simples, es indispensable realizar una evaluación más exhaustiva, determinando no solo que efectivamente hay un AIA, sino precisando su extensión y relación con otras estructuras, apoyando al médico precavido en su plan terapéutico y abordaje quirúrgico para un drenaje adecuado en pacientes críticamente enfermos.1,4



APARIENCIA POR ULTRASONIDO (US) DEL AIA

La apariencia ultrasonográfica "clásica" del AIA es el de una masa sonolucente, ecolúcida con ecos internos escasos, anecoica de contornos irregulares y gruesos, siendo menos común su aspecto de masa compleja y hasta sólida.7

La identificación por US y/o TC de un efecto de masa asociado con cúmulo de gas debe alertar al médico radiólogo para sospechar la presencia del AIA.

Un AIA también debe ser considerado en el diagnóstico diferencial por US y/o TC ante una masa de contenido líquido, que esté loculado o una masa compleja de componente líquido/sólido de localización inusual o en circunstancias inusuales.1

El AIA que contiene gas es fácilmente detectado si se localiza en aquellas áreas donde las estructuras normalmente presentes no tienen gas. Dentro de la cavidad peritoneal, las asas de intestino delgado o grueso que normalmente tienen gas en su interior condicionan dificultad para definir al AIA con gas en su interior.

Por el contrario, la presencia de una colección de gas en el retroperitoneo, en el hígado o en la pared abdominal en su porción anterior son sugerentes de la presencia de un absceso.7

Puesto que la presencia de gas es el único criterio radiológico de AIA, puede llegar a ser imposible el establecer específicamente el diagnóstico en algunos pacientes. Debido a la variación en la extensión y apariencia temporal del gas intraabdominal o del que se pueda detectar en un AIA, es difícil establecer un algoritmo en la evaluación radiológica basado en tan solo la identificación del gas/aire intraabdominal.8

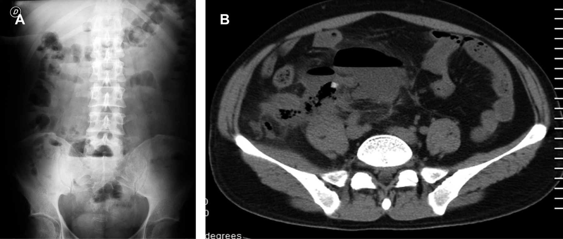
APARIENCIA POR TOMOGRAFíA COMPUTARIZADA (TC) DEL AIA (Figuras 2 y 3)

La TC abdominopélvica para la búsqueda del AIA postoperatorio es diagnóstica en una proporción importante de casos en la primera semana, la mayoría de los cuales son manejados por drenaje percutáneo o quirúrgico; sin embargo, se debe realizar el estudio sin importar el tiempo que haya pasado del evento quirúrgico si la clínica así lo indica.3

La TC abdominopélvica con contraste oral es la prueba de imagen de elección cuando se sospecha un absceso, permitiendo localizarlo entre asas y definir fístulas, mientras que el contraste intravascular (IV) se concentra en su pared, delimitando su localización, con un 10% de falsos positivos negativos.

Los AIA son colecciones localizadas de tejido inflamatorio purulento causado por una mezcla de bacterias incluyendo anaerobias y de la flora habitual, caracterizados por ser una colección necrótica central con leucocitos y tejido circundante que, por TC, se demuestra como una región de baja atenuación. Por fuera de ella, hay dilatación vascular, afección parenquimatosa y proliferación fibroblástica. Este tejido conectivo vascularizado aparece en TC como un anillo bien definido, reforzado generalmente posterior al contraste IV. El signo más específico del AIA en TC es la identificación de aire extraluminal dentro de una colección líquida resultante de la formación bacteriana de gas, observado en solo el 50%.

El antecedente quiru?rgico es comu?n ante un AIA y es diagnosticado con precisión por TC. Adema?s, las imágenes tomográficas obtenidas tienen un papel importante en el manejo efectivo de esta complicacio?n al guiar el drenaje percuta?neo, que es el tratamiento de eleccio?n en la mayori?a de los AIA postoperatorios. Las caracteri?sticas que permiten diferenciar a un AIA organizado de un acúmulo de líquido libre postoperatorio ocurren en cuestio?n de un tiempo, siendo factible su identificacio?n en un porcentaje bajo hasta antes de la segunda semana postoperatoria.3

Aquellos pacientes sometidos a procedimientos quirúrgicos mayores, presumiblemente tendrán colecciones líquidas no supurativas cuyo contenido es sangre, suero y líquido. Para permitir que un AIA madure, se difiere el estudio hasta después de la primera semana postoperatoria, intentando dar tiempo al tiempo y permitir que estas colecciones benignas se resuelvan.3

La TC es el método de elección para estudiar el retroperitoneo, con posibilidades de ofrecer una alternativa terapéutica no quirúrgica. La localización primaria de la colección más frecuente fue el espacio pararrenal anterior izquierdo y la corredera parietocólica izquierda en los casos de pancreatitis aguda. El absceso periapendicular o el flemón ocurren en el 2-7% de todos los pacientes con apendicitis aguda (Figura 2). La TC posee el potencial de identificar al área apendicular, facilita la identificación del flemón del absceso con licuefacción, define la extensión periapendicular hacia fondos de saco o bien retroperitoneal y permite la guía del drenaje del absceso periapendicular como alternativa del drenaje quirúrgico.

La clave histórica que ha mejorado y resuelto la morbimortalidad asociada al AIA ha sido definitivamente su identificación y tratamiento temprano. Si no se trata el AIA, la mortalidad asociada alcanza más del 80%. Si no es posible abordarlo vía percutánea, entonces el tiempo ideal para el abordaje quirúrgico es antes de la segunda semana del evento quirúrgico.3 Esto debido a que la cicatriz es completa dentro de los ocho días posteriores a la cirugía, formando adherencias de tejido denso y vascularizado que provoca que la cirugía después de la primera semana sea difícil o peligrosa. Además, estudios recientes demuestran que el éxito del drenaje percutáneo del AIA no dependen del tiempo. La realización de la TC ante la sospecha de AIA postoperatorio deberá hacerse tan pronto como sea posible y acorde a su disponibilidad.9

De tal manera que el médico radiólogo desempeña un papel fundamental en el diagnóstico y tratamiento del AIA, labor que actualmente se ve facilitada por el uso de métodos de imagen seccional, ultrasonido y el perfeccionamiento de las técnicas de radiología invasiva. Como se mencionó previamente, cualquier retraso en el tratamiento incrementa la morbimortalidad, por lo que un diagnóstico y abordaje tempranos son esenciales.9

La mortalidad puede alcanzar entre 80 y 100% en pacientes con AIA no drenado, y entre 30 y 43% en aquellos sometidos a drenaje quirúrgico. En la actualidad, el estándar de atención para el AIA es el drenaje percutáneo guiado por imagen, técnica asociada con un rango de complicaciones considerablemente menor.

El drenaje percutáneo evita la anestesia general, genera una buena tolerancia y aceptacio?n por los pacientes y ofrece facilidad te?cnica, seguridad, efectividad, menor tiempo de estancia hospitalaria y una muy baja morbimortalidad. Es considerado el tratamiento de primera eleccio?n y, en algunos casos, incluso se utiliza como medida temporal antes de realizar un drenaje quiru?rgico.10

Todo abordaje percutáneo del AIA deberá hacerse a través de una ruta de acceso segura para alcanzar los altos rangos de curación, paliación y adecuación en tiempos quirúrgicos requeridos en forma integral en el manejo del paciente (Tablas 1 y 2).9

La aspiración y el lavado percutáneo con aguja son seguros y representan una alternativa efectiva al manejo con drenaje percutáneo con catéter. En pacientes seleccionados e incluso en aquellos con AIA multiloculado, con la aspiración y lavado del AIA deberán lograrse resultados satisfactorios como método terapéutico inicial.11

El AIA menor de 3 cm de diámetro se resuelve frecuentemente con manejo conservador y antibioticoterapia (Figuras 2 y 3).

Tanto el US y la TC permiten diagnosticar, localizar y establecer la guía en el drenaje percutáneo. La accesibilidad de un AIA es determinada por su tamaño y su localización, mientras más grande y más superficial es el absceso, más fácil será el drenaje percutáneo. Finalmente, es necesario recordar que la aspiración y drenaje percutáneo del AIA satisface completamente los criterios quirúrgicos clásicos establecidos hace 40 años por los doctores Ochsner y DeBakey,11 que establecieron: "El drenaje ideal es aquel que es directo, simple, y evita ante todo y sobre todo el contaminar en forma innecesaria áreas que no están afectadas". Así, son el médico radiólogo el que sugiere la posibilidad diagnóstica del AIA al detectarlo por cualquier método de imagen y el radiólogo intervencionista el que tiene una de las herramientas más seguras para su solución.12,13



AIA RECURRENTE Y AIA PéLVICO

El drenaje percuta?neo es el tratamiento estándar para los AIA abdominales y pe?lvicos, es curativo en 80-90% de los casos. En aproximadamente 10% de los casos, el drenaje percuta?neo del AIA permite posponer la cirugi?a en un paciente en estado crítico y permite que cuando ello suceda se logre una cavidad limpia.

El rango de recurrencia del AIA es estimado entre 5-10%. La mayori?a de los casos que requieren un segundo drenaje corresponden a complicaciones postoperatorias; en la serie publicada por Gervais y colegas14 hasta un 4.9% de los pacientes requirieron un drenaje secundario percuta?neo del absceso. Después de un segundo drenaje, los pacientes con AIA postoperatorios generalmente evitaron la cirugía, a diferencia de aquellos con abscesos pancreáticos, en quienes la probabilidad de intervención quirúrgica aumentó incluso tras un segundo drenaje.14

OTRAS CONSIDERACIONES15-17

Los selladores tópicos de tejido y los agentes hemostáticos, que pueden observarse en estudios postoperatorios en diversas regiones intraabdominales y pélvicas, tienen el potencial de confundirse con anomalías abdominales, especialmente cuando el radiólogo no conoce la historia quirúrgica del paciente.15-17

El Gelfoam puede imitar la apariencia de un absceso postoperatorio por TC. Los hallazgos que pueden ayudar a diferenciar y a identificar a ese agente hemosta?tico de un AIA son su morfologi?a, la disposición lineal y compacta de las burbujas ae?reas, la posicio?n fija de la imagen en estudios subsecuentes, el que no se identifique al nivel hidroaéreo, el que no se defina pared y que al contraste IV no haya reforzamiento perife?rico alguno.12-14



CONCLUSIONES

El conocimiento anatómico de los espacios, incluyendo los retroperitoneales, permite anticipar los sitios más probables a los cuales se extenderá un AIA.

La TC es el método de elección para definir y evaluar al AIA, con posibilidades de ofrecer una alternativa terapéutica no quirúrgica.


REFERENCIAS (EN ESTE ARTÍCULO)

  1. Goldman R, Hunter TB, Haber K. The silent abdominal abscess: role of the radiologist. AJR Am J Roentgenol. 1983; 141 (1): 21-25.

  2. González-Rodríguez FJ. Protocolo de diagnóstico y tratamiento de los abscesos intraabdominales. Medicine - Programa de Formación Médica Continuada Acreditado. 2020; 13 (10): 587-589.

  3. Antevil JL, Egan JC, Woodbury RO, Rivera L, Oreilly EB, Brown CV. Abdominal computed tomography for postoperative abscess: is it useful during the first week? J Gastrointest Surg. 2006; 10 (6): 901-905.

  4. Halber MD, Daffner RH, Morgan CL, Trought WS, Thompson WM, Rice RP et al. Intraabdominal abscess: current concepts in radiologic evaluation. AJR Am J Roentgenol. 1979; 133 (1): 9-13.

  5. Gronvall S, Gammelgaard J, Haubek A, Holm HH. Drainage of abdominal abscesses guided by sonography. AJR Am J Roentgenol. 1982; 138 (3): 527-529.

  6. Halvorsen RA, Jones MA, Rice RP, Thompson WM. Anterior left subphrenic abscess: characteristic plain film and CT appearance. AJR Am J Roentgenol. 1982; 139 (2): 283-289.

  7. Kressel HY, Filly RA. Ultrasonographic appearance of gas-containing abscesses in the abdomen. AJR Am J Roentgenol. 1978; 130 (1): 71-73.

  8. Woodard S, Kelvin FM, Rice RP, Thompson WM. Pancreatic abscess: importance of conventional radiology. AJR Am J Roentgenol. 1981; 136 (5): 871-878.

  9. Akinci D, Akhan O, Ozmen MN, Karabulut N, Ozkan O, Cil BE, Karcaaltincaba M. Percutaneous drainage of 300 intraperitoneal abscesses with long-term follow-up. Cardiovasc Intervent Radiol. 2005; 28 (6): 744-450.

  10. Jaffe TA, Nelson RC. Image-guided percutaneous drainage: a review. Abdom Radiol (NY). 2016; 41 (4): 629-636.

  11. Wroblicka JT, Kuligowska E. One-step needle aspiration and lavage for the treatment of abdominal and pelvic abscesses. AJR Am J Roentgenol. 1998; 170 (5): 1197-1203.

  12. Politano AD, Hranjec T, Rosenberger LH, Sawyer RG, Tache Leon CA. Differences in morbidity and mortality with percutaneous versus open surgical drainage of postoperative intra-abdominal infections: a review of 686 cases. Am Surg. 2011; 77 (7): 862-867.

  13. Goletti O, Lippolis PV, Chiarugi M, Ghiselli G, De Negri F, Conte M et al. Percutaneous ultrasound-guided drainage of intra-abdominal abscesses. Br J Surg. 1993; 80 (3): 336-339.

  14. Gervais DA, Ho CH, O'Neill MJ, Arellano RS, Hahn PF, Mueller PR. Recurrent abdominal and pelvic abscesses: incidence, results of repeated percutaneous drainage, and underlying causes in 956 drainages. AJR Am J Roentgenol. 2004; 182 (2): 463-466.

  15. Young ST, Paulson EK, McCann RL, Baker ME. Appearance of oxidized cellulose (Surgicel) on postoperative CT scans: similarity to postoperative abscess. AJR Am J Roentgenol. 1993; 160 (2): 275-277.

  16. Sandrasegaran K, Lall C, Rajesh A, Maglinte DT. Distinguishing gelatin bioabsorbable sponge and postoperative abdominal abscess on CT. AJR Am J Roentgenol. 2005; 184 (2): 475-480.

  17. Morani AC, Platt JF, Thomas AJ, Kaza RK, Al-Hawary MM, Cohan RH et al. Hemostatic agents and tissue sealants: potential mimics of abdominal abnormalities. AJR Am J Roentgenol. 2018; 211 (4): 760-766.



AFILIACIONES

1 Médico radiólogo, adscrito al Departamento de Radiología e Imagen del Hospital Angeles Pedregal (HAP). Ciudad de México.

2 Médico residente de tercer año del Curso de Especialización y Residencia en Radiodiagnóstico del HAP. Ciudad de México.
ORCID:

3 0000-0001-9449-4600

4 0000-0002-3540-2945

5 0000-0002-0375-9974



Conflicto de intereses: los autores declaran que no tienen ningún conflicto de intereses.

Consideraciones éticas: este artículo no contiene ningún estudio con sujetos humanos o animales realizado por ninguno de los autores.

Si desea consultar los datos complementarios de este artículo, favor de dirigirse a editorial.actamedica@saludangeles.mx



CORRESPONDENCIA

Dr. Gaspar Alberto Motta Ramírez. Correo electrónico: radbody2013@yahoo.com.mx




Recibido: 12-12-2024. Aceptado: 20-12-2024.

Figura 1
Figura 2
Figura 3
Tabla 1
Tabla 2

2020     |     www.medigraphic.com

Mi perfil

C?MO CITAR (Vancouver)

Acta Med. 2026;24

ARTíCULOS SIMILARES

CARGANDO ...