medigraphic.com
ENGLISH

Acta Médica Grupo Ángeles

Órgano Oficial del Hospital Ángeles Health System
  • Mostrar índice
  • Números disponibles
  • Información
    • Información general        
    • Directorio
  • Publicar
    • Instrucciones para autores        
    • Envío de artículos
    • Políticas
    • Nombre y afiliación del Comité Editorial
  • Nosotros
    • Plan de gestión e intercambio de datos
    • Objetivos declarados y alcance
  • medigraphic.com
    • Inicio
    • Índice de revistas            
    • Registro / Acceso
  • Mi perfil

2026, Número 1

<< Anterior Siguiente >>

Acta Med 2026; 24 (1)


Reparación robótica de una hernia intercostal izquierda con bloqueo del plano transverso del abdomen bajo visualización directa: reporte de caso

Ruiz Sañudo, Regina1,2; Minutti Palacios, Marissa1; Yoshikai Urbina, Kuniko1
Texto completo Cómo citar este artículo 10.35366/122160

DOI

DOI: 10.35366/122160
URL: https://dx.doi.org/10.35366/122160
Artículos similares

Idioma: Español
Referencias bibliográficas: 5
Paginas: 54-55
Archivo PDF: 443.99 Kb.


PALABRAS CLAVE

hernia intercostal, cirugía robótica, bloqueo TAP, analgesia.

RESUMEN

La reparación robótica de hernias intercostales abdominales (HIA) es un reto anestésico debido a su localización y alto riesgo de dolor postoperatorio. Se presenta el caso de un hombre de 59 años con diagnóstico de HIA, sometido a reparación robótica con anestesia general balanceada. Para optimizar la analgesia postoperatoria, se administró un bloqueo del plano transverso del abdomen bajo visión directa (TAP-DV) con 75 mg de ropivacaína a 0.75% y 250 mg de lidocaína con epinefrina a 1%. Este caso destaca la seguridad y eficacia del TAP-DV como estrategia analgésica en cirugía robótica de HIA.



ABREVIATURAS:

  • HIA = hernias intercostales abdominales
  • TAP-DV = plano transverso del abdomen bajo visión directa



INTRODUCCIóN

La reparación robótica de hernias intercostales abdominales (HIA) representa un desafío anestésico por su compleja localización y alto riesgo de dolor postoperatorio.1 El bloqueo del plano transverso del abdomen bajo visión directa (TAP-DV) ofrece una analgesia precisa y reduce complicaciones, minimizando el uso de opioides.2 La integración de técnicas regionales mejoran el control del dolor y aceleran la recuperación.3 Las HIA son poco frecuentes, con menos de 30 casos descritos en la literatura, resaltando la importancia de este reporte.



PRESENTACIóN DEL CASO

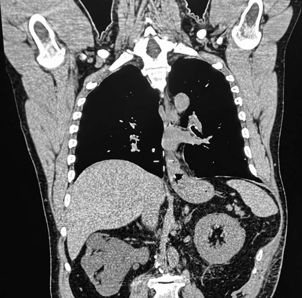
Hombre de 59 años con miocardiopatía dilatada (FEVI 59%, > 8 METS) y fracturas costales izquierdas tratadas conservadoramente en 2020. En 2024 consultó por aumento de volumen en la región intercostal izquierda al realizar esfuerzos físicos. La exploración evidenció un defecto reducible entre la novena y décima costillas izquierdas, y la tomografía confirmó la protrusión esplénica, diagnosticándose HIA (Figura 1).

Se realizó anestesia general balanceada con sevoflurano (2-3 vol%), lidocaína (1-2 mg/kg/h), fentanilo (1-2 μg/kg/h) y bolos de rocuronio guiados por monitorización neuromuscular.

Para optimizar el control del dolor postoperatorio, se realizó un bloqueo TAP-DV tras la reparación de la hernia. Se infiltraron 25 mL de anestésico local, utilizando 75 mg de ropivacaína a 0.75% (diluida a 0.37%) y 250 mg de lidocaína con epinefrina a 1%, logrando analgesia efectiva.

Durante la disección de los planos abdominales y pleurales, se presentó un aumento del EtCO2 hasta 50 mmHg. La gasometría arterial mostró acidosis respiratoria (pH 7.25, pCO2 48 mmHg, HCO2 23 mEq/L), manejándose con ajustes en la ventilación mecánica. Al finalizar el procedimiento, los niveles de CO2 se normalizaron y, posterior a la reversión neuromuscular, el paciente en ventilación espontánea mantuvo niveles adecuados de CO2 (32-35 mmHg), por lo que se extubó sin incidentes.

Posteriormente, la gasometría evidenció mejoría (pH 7.35, pCO2 38 mmHg, HCO2 19.5 mEq/L). El dolor en hombro (7/10) secundario al neumoperitoneo se manejó con compresas calientes. A las 24 horas, el dolor disminuyó a 2/10, permitiendo su egreso.



DISCUSIóN

El manejo del dolor en la reparación robótica de HIA es complejo debido a la inervación toracoabdominal. Dado los efectos adversos de los opioides, la anestesia regional ha cobrado relevancia en un enfoque multimodal.4

Se optó por el bloqueo TAP-DV por su eficacia en la analgesia postoperatoria y su capacidad para bloquear los nervios intercostales (T9-T11) y subcostal (T12). Esta técnica ha demostrado ser superior al TAP guiado por ultrasonido, proporcionando un mejor control del dolor.5

Si bien otras opciones como el bloqueo paravertebral torácico (TPVB), el bloqueo del músculo serrato anterior y el bloqueo del plano erector de la espina (ESP) han demostrado efectividad,3,4 en este caso el TAP fue la elección óptima por su seguridad y precisión.

Este caso refuerza la importancia de la anestesia regional en la recuperación postoperatoria, mejorando el control del dolor y facilitando una recuperación más rápida.



CONCLUSIONES

La reparación robótica de hernias intercostales con bloqueo TAP bajo visión directa es segura y eficaz, aportando ventajas en control del dolor y resultados postoperatorios.1,3,5


REFERENCIAS (EN ESTE ARTÍCULO)

  1. Bergholz D, Obi JR, Grossman R, Rasul TF. Robotic repair of an acquired abdominal intercostal hernia. CRSLS. 2021; 8 (4): e2021.00061.

  2. Prabhakar P, Ganapathi HP, Suresh V, Farias A, Manoharan M. Surgeon administered transversus abdominis plane block: anatomic principles and technique. J Robot Surg. 2023; 17 (4): 1193-1205.

  3. May PL, Wojcikiewicz T. Regional anaesthesia and fascial plane blocks for abdominal surgery: a narrative review. Dig Med Res. 2022; 5: 42. doi: 10.21037/dmr-21-83.

  4. Sertcakacilar G, Tire Y, Kelava M, Nair HK, Lawin-O'Brien ROC, Turan A et al. Regional anesthesia for thoracic surgery: a narrative review of indications and clinical considerations. J Thorac Dis. 2022; 14 (12): 5012-5028. doi: 10.21037/jtd-22-599.

  5. Doble JA, Winder JS, Witte SR, Pauli EM. Direct visualization transversus abdominis plane blocks offer superior pain control compared to ultrasound guided blocks following open posterior component separation hernia repairs. Hernia. 2018; 22 (4): 627-635. doi: 10.1007/s10029-018-1775-3.



AFILIACIONES

1 Hospital Angeles Pedregal. Ciudad de México, México.

2 Médico residente de Anestesiología. Facultad Mexicana de Medicina Universidad La Salle. Ciudad de México, México. ORCID: 0009-0002-0067-5641



Si desea consultar los datos complementarios de este artículo, favor de dirigirse a editorial.actamedica@saludangeles.mx



CORRESPONDENCIA

Dra. Regina Ruiz Sañudo. Correo electrónico: regina.ruiz.sa@gmail.com




Recibido: 07-01-2025. Aceptado: 26-02-2025.

Figura 1

2020     |     www.medigraphic.com

Mi perfil

C?MO CITAR (Vancouver)

Acta Med. 2026;24

ARTíCULOS SIMILARES

CARGANDO ...