medigraphic.com
ENGLISH

Acta Médica Grupo Ángeles

Órgano Oficial del Hospital Ángeles Health System
  • Mostrar índice
  • Números disponibles
  • Información
    • Información general        
    • Directorio
  • Publicar
    • Instrucciones para autores        
    • Envío de artículos
    • Políticas
    • Nombre y afiliación del Comité Editorial
  • Nosotros
    • Plan de gestión e intercambio de datos
    • Objetivos declarados y alcance
  • medigraphic.com
    • Inicio
    • Índice de revistas            
    • Registro / Acceso
  • Mi perfil

2026, Número 1

<< Anterior Siguiente >>

Acta Med 2026; 24 (1)


Exanguinotransfusión como alternativa terapéutica de rescate en un lactante con hiperleucocitosis

Félix Ramos, Gerardo1,2; Bojórquez Bustamante, Andrea1,3
Texto completo Cómo citar este artículo 10.35366/122161

DOI

DOI: 10.35366/122161
URL: https://dx.doi.org/10.35366/122161
Artículos similares

Idioma: Español
Referencias bibliográficas: 5
Paginas: 56-58
Archivo PDF: 535.08 Kb.


PALABRAS CLAVE

leucemia, neoplasias hematológicas, recambio total de sangre, síndrome de lisis tumoral, lactante.

RESUMEN

Introducción: la hiperleucocitosis es una urgencia oncológica que compromete la vida al ocasionar leucostasis pulmonar, cerebral y renal. La terapia de citorreducción con leucoaféresis o exanguinotransfusión puede emplearse para reducir la morbimortalidad. Caso clínico: paciente de dos meses con leucemia linfoblástica aguda e hiperleucocitosis con síntomas respiratorios y neurológicos. Se utilizó exanguinotransfusión de forma exitosa con la remisión de los síntomas respiratorios y anemia severa. Conclusión: la exanguinotransfusión se realizó sin ninguna complicación, aunque aún se requiere consenso para homogenizar las indicaciones terapéuticas y consideraciones técnicas.



INTRODUCCIóN

La hiperleucocitosis (leucocitos en sangre > 100,000/mm3) es una condición que acompaña al 20% de las leucemias pediátricas al debut. El riesgo de esta enfermedad es mayor en hombres, inmunofenotipo de células T, pacientes con hepatoesplenomegalia masiva y deshidrogenasa láctica elevada.1

La hiperleucocitosis puede provocar complicaciones que aumentan la morbimortalidad como síndrome de lisis tumoral, coagulopatía y leucostasis.2 Esta última ocurre cuando los leucocitos en sangre son > 200,000/mm3. El aumento en la viscosidad sanguínea provoca cambios microcirculatorios, hipoxia tisular y daño multiorgánico.1,2

La exanguinotransfusión permite reducción del conteo leucocitario con mejoría de la afección orgánica, pero la experiencia es limitada a series de casos y no está consensado su uso. Por lo que el objetivo de este trabajo es describir un caso de citorreducción exitosa con exanguinotransfusión.1,2



PRESENTACIóN DEL CASO

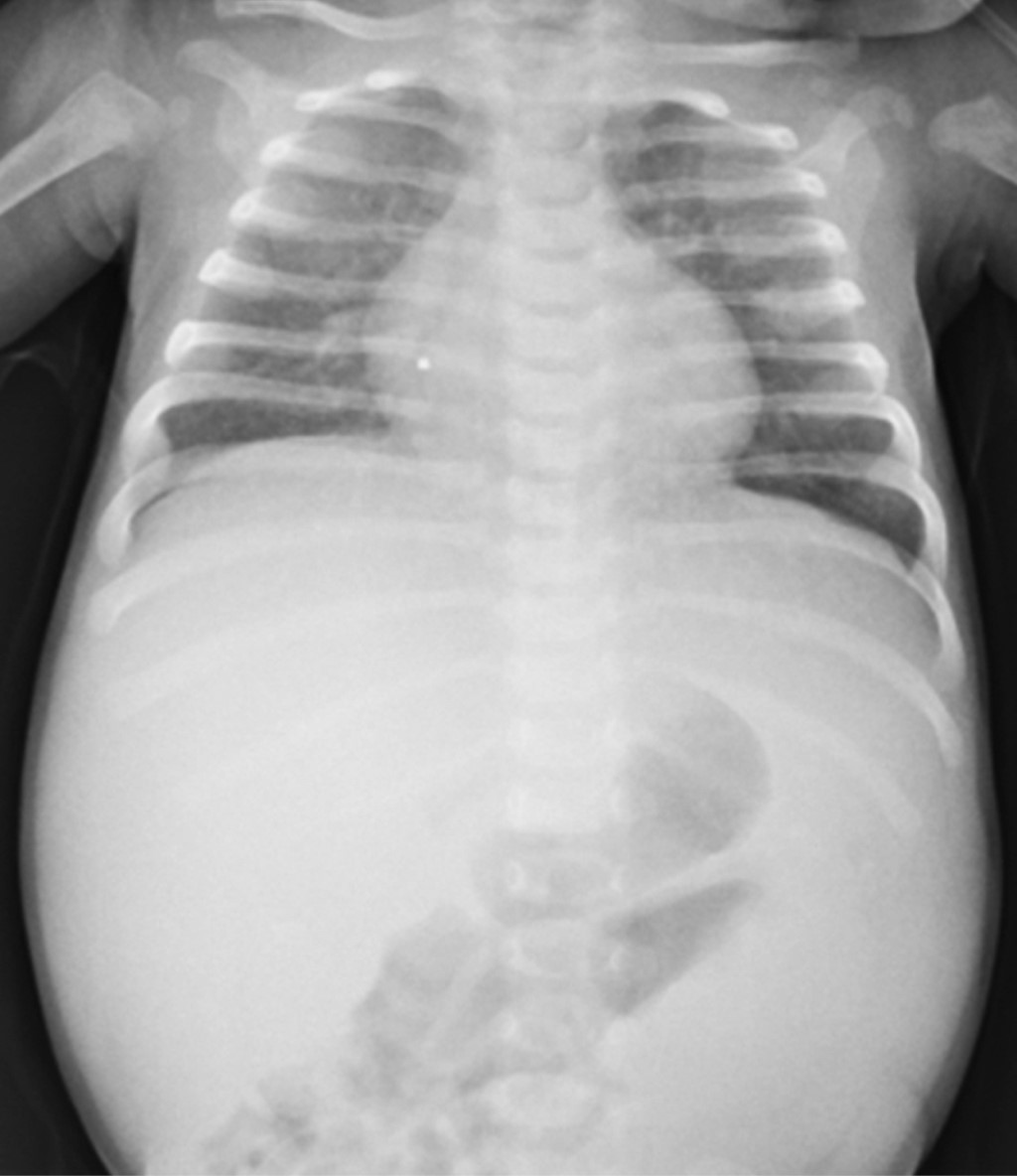
Femenino de dos meses de edad previamente sana. Acude a nuestro hospital por un mes de evolución con distensión abdominal, palidez y petequias en extremidades. A su valoración estaba irritable, pálida, con petequias generalizadas, dificultad respiratoria moderada, hepatoesplenomegalia, taquicardia y SatO2 ambiental en 89%. Sus exámenes reportaron bicitopenia e hiperleucocitosis, sin hallazgos de síndrome de lisis tumoral (Tabla 1). La radiografía de tórax (Figura 1) tenía infiltrados bilaterales. El aspirado de médula ósea reportó blastos 95.5% tipo morfológico L1 (Figura 2) y el inmunofenotipo leucemia linfoblástica aguda Pro-B con translocación cromosomal 12;21.

Se otorgó manejo de soporte y por síntomas de leucostasis (irritabilidad e insuficiencia respiratoria) con anemia severa se decidió realizar exanguinotransfusión. Se empleó volumen a 80 mL/kg con sangre total reconstituida, dividido en 25 alícuotas con un minuto de entrada y salida a través de un catéter central bilumen, de forma manual, sin presentar eventualidades. Posterior a la exanguinotransfusión tuvo descenso de leucocitos en un 27% con lo que cedieron los síntomas respiratorios y neurológicos.



DISCUSIóN

La leucostasis requiere citorreducción urgente para disminuir la posibilidad de daño orgánico. Ésta puede llevarse a cabo mediante quimioterapéuticos, leucoaféresis o una combinación de ambos. El objetivo terapéutico es llevar la cuenta de leucocitos a < 100,000/mm3.

La leucoaféresis ha demostrado ser segura y eficaz, pero tiene limitantes como son la falta de disponibilidad en escenarios de bajos recursos, requerir 2-3 veces la volemia del paciente, lo que aumenta el riesgo de colapso circulatorio. Además, el uso de anticoagulación para la leucoaféresis aumenta el riesgo de sangrado.3,4

La utilidad de la exanguinotransfusión ha sido descrita en algunas series de caso y con evidencia en aumento, aunque faltan consensos sobre en quién y cuándo usarlo, tipo de acceso venoso y hemoderivado a utilizar. La exanguinotransfusión provee mayor estabilidad en niños pequeños, en anemia grave o cuando existen alteraciones hidroelectrolíticas. Se ha descrito su uso para el tratamiento de hiperleucocitosis en leucemias neonatales; recientemente, Zhang reportó su uso en 47 niños con edades entre 32 a 88 meses de edad con resultados favorables.3-5



CONCLUSIóN

El empleo de esta técnica requiere individualización. El aumento en la evidencia de la utilidad de este procedimiento es necesario para elaborar guías de tratamiento.


REFERENCIAS (EN ESTE ARTÍCULO)

  1. Kittivisuit S, Jongthitinon N, Sripornsawan P, Songthawee N, Chavananon S, Limratchapong C et al. Hyperleukocytosis in childhood acute leukemia: early complications and survival outcomes. Cancers (Basel). 2023; 15 (12): 3072.

  2. Park KM, Yang EJ, Lee JM, Hah JO, Park SK, Park ES et al. Treatment outcome in pediatric acute lymphoblastic leukemia with hyperleukocytosis in the Yeungnam region of Korea: a multicenter retrospective study. J Pediatr Hematol Oncol. 2020; 42 (4): 275-280.

  3. Lazuwardi R, Andarsini M, Hernaningsih Y. Clinical and laboratory effects of exchange transfusion in pediatric acute lymphoblastic leukemia with hyperleukocytosis. PI. 2023; 63 (6): 464-471.

  4. Runco DV, Josephson CD, Raikar SS, Oldsmith KC, Lew G, Pauly M et al. Hyperleukocytosis in infant acute leukemia: a role for manual exchange transfusion for leukoreduction. Transfusion. 2018; 58 (5): 1149-1156.

  5. Zhang D, Lin H, Huang L. Repeated small-volume exchange transfusion for hyperleukocytosis in pediatric acute leukemia: a retrospective analysis. Front Pediatr. 2023; 11: 1155481.



AFILIACIONES

1 Hospital Infantil del Estado de Sonora. Hermosillo, Sonora, México.

2 Intensivista Pediatra. Servicio de Urgencias.

3 Residente de Pediatría. ORCID: 0009-0008-4037-7378



Si desea consultar los datos complementarios de este artículo, favor de dirigirse a editorial.actamedica@saludangeles.mx



CORRESPONDENCIA

Gerardo Félix Ramos. Correo electrónico: pediatragerardofelix@gmail.com




Recibido: 22-12-2024. Aceptado: 16-01-2025.

Figura 1
Figura 2
Tabla 1

2020     |     www.medigraphic.com

Mi perfil

C?MO CITAR (Vancouver)

Acta Med. 2026;24

ARTíCULOS SIMILARES

CARGANDO ...