medigraphic.com
ENGLISH

Cirugía Cardiaca en México

ISSN 2448-5640 (Impreso)
Diario Oficial de la Sociedad Mexicana de Cirugía Cardiaca, A.C., y del Colegio Mexicano de Cirugía Cardiovascular y Torácica, A.C.
  • Mostrar índice
  • Números disponibles
  • Información
    • Información general        
    • Directorio
  • Publicar
    • Instrucciones para autores        
    • Envío de artículos
  • medigraphic.com
    • Inicio
    • Índice de revistas            
    • Registro / Acceso
  • Mi perfil

2026, Número 1

<< Anterior Siguiente >>

Cir Card Mex 2026; 11 (1)


Procedimiento de Bentall y de Bono en el contexto de doble lesión aórtica con aneurisma de seno de Valsalva derecho y miocardiopatía isquémica: a propósito de un caso

García-López EE, Soule-Egea M, Santibáñez-Escobar F, Hernández-Mejía BI
Texto completo Cómo citar este artículo 10.35366/122233

DOI

DOI: 10.35366/122233
URL: https://dx.doi.org/10.35366/122233
Artículos similares

Idioma: Portugués
Referencias bibliográficas: 8
Paginas: 26-30
Archivo PDF: 1285.31 Kb.


PALABRAS CLAVE

aorta, senos aórticos, válvula aórtica, procedimiento de Bentall, revascularización coronaria, seno de Valsalva.

RESUMEN

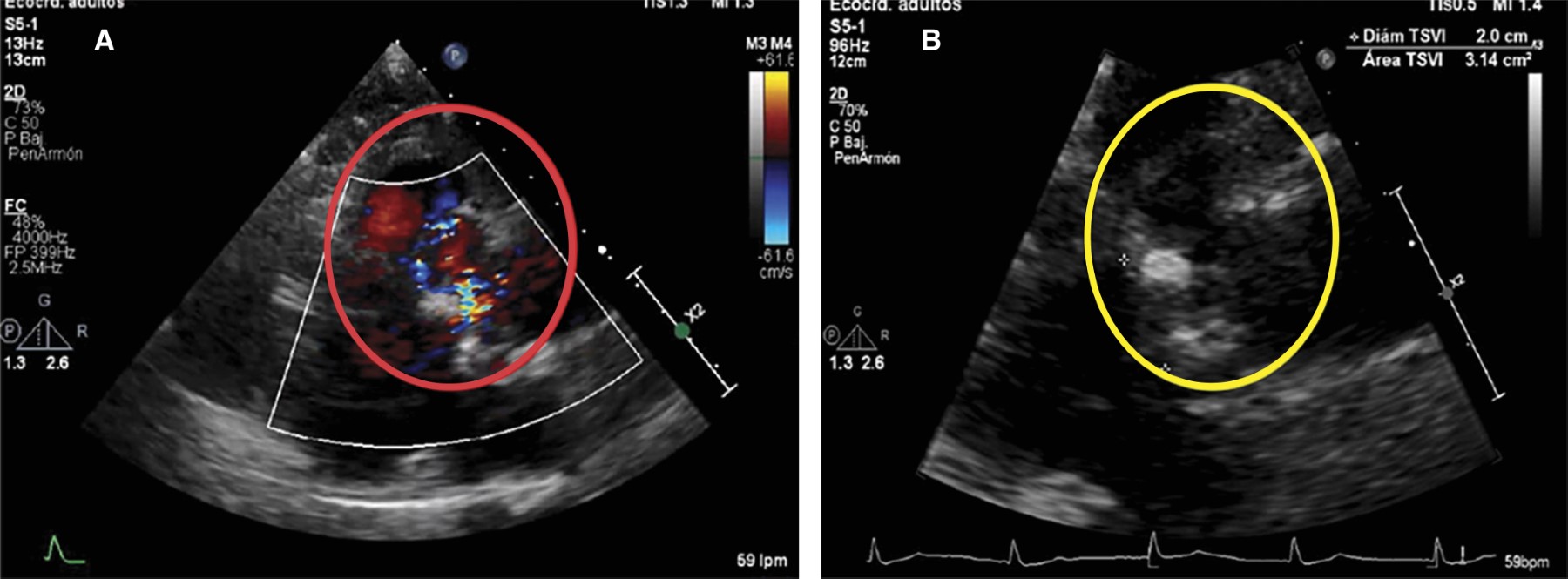
Los senos de Valsalva son ligeras dilataciones de la aorta ascendente y corresponden a la porción anatómica del tracto de salida ventricular izquierdo que se localiza entre el anillo de la válvula aórtica y la unión sinotubular. Se presenta un caso de un aneurisma de seno de Valsalva derecho, asociado a miocardiopatía isquémica, con presencia de aproximadamente 15 años de síntomas cardiovasculares que es referido a nuestro centro asistencial en enero de 2024 debido al hallazgo de un soplo cardíaco en una evaluación preoperatoria. Se discute su etiología, anatomía, histología y pautas para el diagnóstico y tratamiento quirúrgico.


REFERENCIAS (EN ESTE ARTÍCULO)

  1. Arenaza PH. Aneurisma de seno de Valsalva izquierdo. Cir Cardiovasc. 2021;28(5):280-286. doi: 10.1016/j.circv.2020.12.005.

  2. López J, Climent V, Yen-Ho S, González R, Nogales J, Sánchez D. Características estructurales de los senos de Valsalva y porción proximal de las arterias coronarias: su relevancia durante la disección retrógrada aortocoronaria. Rev Esp Cardiol. 2006;59(6):620-626. doi: 10.1157/13089279.

  3. Carrel T. Sinus of Valsalva aneurysm: different modes of presentation and techniques of repair. J Cardiovasc Dev Dis. 2024;11(100):1-7. doi: 10.3390/jcdd11100100.

  4. Sociedad Española de Cardiología. Guía ESC 2024 sobre el diagnóstico y el tratamiento de la enfermedad arterial periférica y aórtica. Disponible en: https://secardiologia.es/publicaciones/catalogo/guias/15681-guia-esc-2024-sobre-el-diagnostico-y-el-tratamiento-de-la-enfermedad-arterial-periferica-y-aortica

  5. Malca F, Sanabria J, Fuentes E. Aneurisma del seno de Valsalva sin ruptura en un paciente adulto. Rev Peru Med Exp Salud Publica. 2014;16(2):25-31.

  6. Bass D, Sharma S, Tivakaran V. Sinus of Valsalva aneurysm. StatPearls. Treasure Island (FL): StatPearls Publishing; 2024.

  7. Weinreich M, Yu P, Trost B. Sinus of Valsalva aneurysm: review of the literature and an update on management. Clin Cardiol. 2015;38(3):185-189. doi: 10.1002/clc.22359.

  8. Galicia-Tornell MM, Marín-Solís B, Mercado-Astorga O, Espinoza-Anguiano S, Martínez-Martínez M, Villalpando-Mendoza E. Aneurisma del seno de Valsalva roto: informe de casos y revisión de literatura. Cir Cir. 2009;77(6):473-477.




Figura 1
Figura 2
Tabla 1

2020     |     www.medigraphic.com

Mi perfil

C?MO CITAR (Vancouver)

Cir Card Mex. 2026;11

ARTíCULOS SIMILARES

CARGANDO ...