medigraphic.com
ENGLISH

Cirugía Cardiaca en México

ISSN 2448-5640 (Impreso)
Diario Oficial de la Sociedad Mexicana de Cirugía Cardiaca, A.C., y del Colegio Mexicano de Cirugía Cardiovascular y Torácica, A.C.
  • Mostrar índice
  • Números disponibles
  • Información
    • Información general        
    • Directorio
  • Publicar
    • Instrucciones para autores        
    • Envío de artículos
  • medigraphic.com
    • Inicio
    • Índice de revistas            
    • Registro / Acceso
  • Mi perfil

2026, Número 1

<< Anterior Siguiente >>

Cir Card Mex 2026; 11 (1)


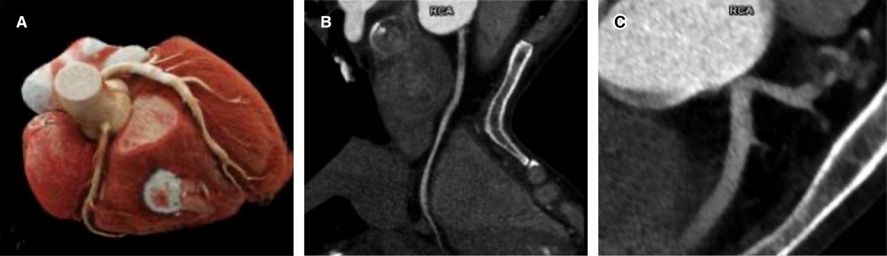
Síndrome de robo coronario por agenesia del ostium derecho: reporte de caso

Calderón-Abbo M, Gómez-Peña F, Zonana-Schatz E, Carrillo-Cornejo M, Lara-Calvillo AL, Pérez-Bañuelos A
Texto completo Cómo citar este artículo 10.35366/122234

DOI

DOI: 10.35366/122234
URL: https://dx.doi.org/10.35366/122234
Artículos similares

Idioma: Portugués
Referencias bibliográficas: 7
Paginas: 31-34
Archivo PDF: 1322.43 Kb.


PALABRAS CLAVE

vasos coronarios, anomalía de las arterias coronarias, arteria coronaria única, síndrome de robo coronario, circulación colateral.

RESUMEN

Un ostium coronario único con origen anómalo de la arteria coronaria derecha (CD) a partir de la circulación colateral de la arteria descendente anterior izquierda (DA) es una variante rara asociada con infarto del miocardio con elevación del segmento ST multiterritorial y elevada complejidad quirúrgica. Presentamos el caso de un hombre de 54 años que sufrió paro cardiaco secundario a miocarditis inducida por neumonía. La angiotomografía coronaria reveló una fístula DA-CD de 2.6 mm. La prueba de esfuerzo mostró isquemia anterior con síndrome de robo, y la angiografía coronaria confirmó la anomalía. El paciente fue sometido a revascularización exitosa de la arteria CD.


REFERENCIAS (EN ESTE ARTÍCULO)

  1. Mahmoud A, Saadeh M, Alfawara MS, et al. Absence of right coronary ostium with single coronary artery: a rare anomaly. Methodist Debakey Cardiovasc J. 2024;20(1):94-97. doi: 10.14797/mdcvj.1458.

  2. Sarikaya S. Anomalous origin of right coronary artery from mid-left anterior descending artery leading to coronary steal phenomenon and ischemia. Postepy Kardiol Interwencyjnej. 2016;12(1):55-56. doi: 10.5114/pwki.2016.56950.

  3. Ho JS, Strickman NE. Anomalous origin of the right coronary artery from the left coronary sinus: case report and literature review. Tex Heart Inst J. 2002;29(1):37-39.

  4. Rudan D, Todorovic N, Starcevic B, Raguz M, Bergovec M. Percutaneous coronary intervention of an anomalous right coronary artery originating from the left coronary artery. Wien Klin Wochenschr. 2010;122(15-16):508-10. doi: 10.1007/s00508-010-1420-3.

  5. Malik MK, Suryadevara R, Malik MF. Anomalous origin of the right coronary artery. Radiol Case Rep. 2023;18(12):4338-4340. doi: 10.1016/j.radcr.2023.09.017.

  6. Frommelt P, Lopez L, Dimas VV, et al. Recommendations for multimodality assessment of congenital coronary anomalies: a guide from the American Society of Echocardiography: developed in collaboration with the society for cardiovascular angiography and interventions, Japanese Society of Echocardiography, and society for cardiovascular magnetic resonance. J Am Soc Echocardiogr. 2020;33(3):259-294. doi: 10.1016/j.echo.2019.10.011.

  7. Law T, Dunne B, Stamp N, Ho KM, Andrews D. Surgical results and outcomes after reimplantation for the management of anomalous aortic origin of the right coronary artery. Ann Thorac Surg. 2016;102(1):192-198. doi: 10.1016/j.athoracsur.2016.02.002.




Figura 1
Figura 2
Figura 3

2020     |     www.medigraphic.com

Mi perfil

C?MO CITAR (Vancouver)

Cir Card Mex. 2026;11

ARTíCULOS SIMILARES

CARGANDO ...