medigraphic.com
ENGLISH

Cirugía Cardiaca en México

ISSN 2448-5640 (Impreso)
Diario Oficial de la Sociedad Mexicana de Cirugía Cardiaca, A.C., y del Colegio Mexicano de Cirugía Cardiovascular y Torácica, A.C.
  • Mostrar índice
  • Números disponibles
  • Información
    • Información general        
    • Directorio
  • Publicar
    • Instrucciones para autores        
    • Envío de artículos
  • medigraphic.com
    • Inicio
    • Índice de revistas            
    • Registro / Acceso
  • Mi perfil

2026, Número 1

<< Anterior

Cir Card Mex 2026; 11 (1)


Tratamiento de las bullas pulmonares mediante toracotomía frente a abordaje mínimamente invasivo

Jiménez-González RJ, Ogaz-Escarpita MC, Carrera-Baca M, Castañón-Colunga EA, Guillén-Ramírez RM, Marmolejo-Rivera R, García-Villarreal OA
Texto completo Cómo citar este artículo 10.35366/122235

DOI

DOI: 10.35366/122235
URL: https://dx.doi.org/10.35366/122235
Artículos similares

Idioma: Portugués
Referencias bibliográficas: 26
Paginas: 35-38
Archivo PDF: 1516.41 Kb.


PALABRAS CLAVE

bullas pulmonares, enfisema bulloso, enfermedad pulmonar obstructiva crónica, toracotomía, toracoscopia videoasistida.

RESUMEN

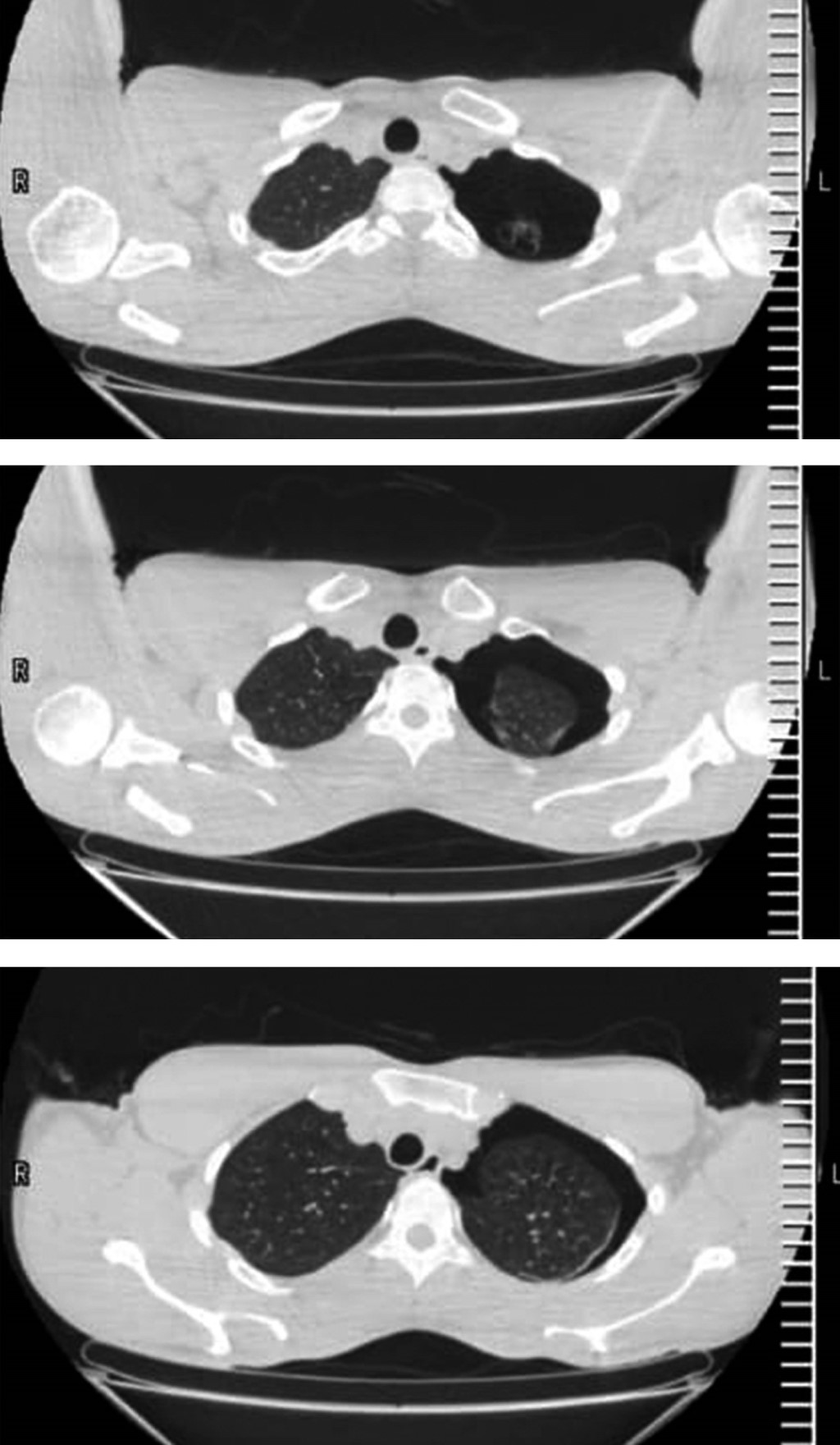
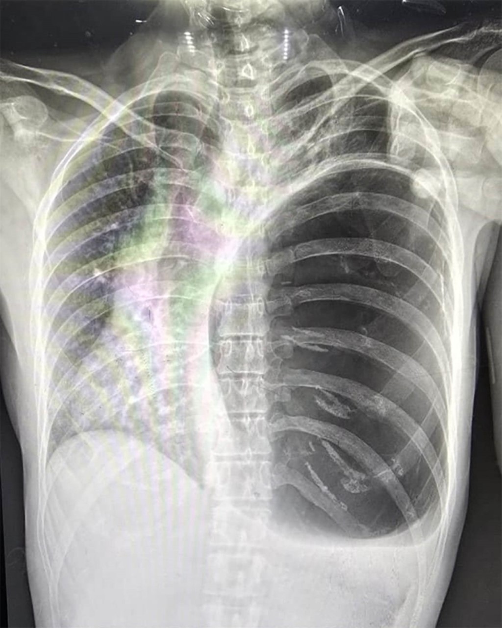
Las causas más comunes de enfisema bulloso incluyen el tabaquismo, la exposición a biomasa y la deficiencia de α-1 antitripsina. Los síntomas incluyen disnea progresiva, tos productiva, disminución de la tolerancia al ejercicio y sibilancias. Las opciones de tratamiento quirúrgico incluyen toracotomía o videotoracoscopia. Al elegir el abordaje ideal para cada paciente, se deben considerar la extensión y la ubicación de las bullas, las comorbilidades y el riesgo de recurrencia, entre otros factores. Presentamos dos casos quirúrgicos: una mujer de 45 años con antecedentes de exposición a biomasa y una bulla gigante que le causó dificultad respiratoria aguda, tratada con éxito mediante toracotomía; y un hombre de 25 años que desarrolló un neumotórax espontáneo con quistes subpleurales asociados con gran altitud, tratado mediante bullectomía videotoracoscópica.


REFERENCIAS (EN ESTE ARTÍCULO)

  1. Park JH, Kim J, Lee JK, et al. A case of bilateral giant bullae in young adult. Tuberc Respir Dis (Seoul). 2013;75(5):222-224. doi: 10.4046/trd.2013.75.5.222.

  2. Bajaj T, Malik B, Thangarasu S. Tension bullae with peripheral pneumothorax. J Investig Med High Impact Case Rep. 2020;8:2324709620963646. doi: 10.1177/2324709620963646.

  3. Siddiqui NA, Sankari A, Mansour MK, Nookala V. Bullous emphysema. In: StatPearls [Internet]. Treasure Island (FL): StatPearls Publishing; 2025. Available in: http://www.ncbi.nlm.nih.gov/books/NBK537243/

  4. Negussie T, Haile L, GebreSelassie HA, Temesgen F, Tizazu A. Giant pulmonary bullae in children. J Pediatr Surg Case Rep. 2020;60:101569. doi: 10.1016/j.epsc.2020.101569.

  5. Ferreira Junior EG, Costa PA, Silveira LMFG, Almeida LEM, Salvioni NCP, Loureiro BM. Giant bullous emphysema mistaken for traumatic pneumothorax. Int J Surg Case Rep. 2019;56:50-54. doi: 10.1016/j.ijscr.2019.02.005.

  6. Raoof S, Bondalapati P, Vydyula R, et al. Cystic lung diseases. Chest. 2016;150(4):945-965. doi: 10.1016/j.chest.2016.04.026.

  7. Capistrano S, Van Reyk D, Chen H, Oliver B. Evidence of biomass smoke exposure as a causative factor for the development of COPD. Toxics. 2017;5(4):36. doi: 10.3390/toxics5040036.

  8. Centers for Disease Control and Prevention (US), National Center for Chronic Disease Prevention and Health Promotion (US), Office on Smoking and Health (US). How Tobacco Smoke Causes Disease: The Biology and Behavioral Basis for Smoking-Attributable Disease: A Report of the Surgeon General [Internet]. Atlanta (GA): Centers for Disease Control and Prevention (US); 2010. Available in: https://www.ncbi.nlm.nih.gov/books/NBK53017/

  9. López-Campos JL, Fernández-Villar A, Calero-Acuña C, et al. Exposición laboral y a biomasa en la enfermedad pulmonar obstructiva crónica: resultados de un análisis transversal del estudio On-Sint. Arch Bronconeumol. 2017;53(1):7-12. doi: 10.1016/j.arbres.2016.04.013.

  10. Avalos-Navarro G, Ramírez-Patiño R, Jave-Suárez LF, Reyes-Uribe E. La proteína Alfa-1 antitripsina y su papel en la fisiopatología del cáncer. Biotecnia. 2024;26:393-400. doi: 10.18633/biotecnia.v26.2287.

  11. Garvey S, Faul J, Cormican L, Eaton D, Judge EP. Symptomatic unilateral idiopathic giant bullous emphysema: a case report. BMC Pulm Med. 2022;22(1):341. doi: 10.1186/s12890-022-02135-3.

  12. Germán Brito-Sosa G, Iraizoz Barrios AM. Neumotórax espontáneo y enfisema bulloso bilateral. Rev Colomb Cir. 2021;36(1):155-160. doi: 10.30944/20117582.122.

  13. Chen CT, Chang SY. Giant pulmonary bullae mimicking spontaneous pneumothorax. QJM. 2014;107(8):681-682. doi: 10.1093/qjmed/hcu002.

  14. Córdoba Alonso AI, Arlabán Carpintero M, Olmos Martínez JM. Bulla pulmonar gigante sobreinfectada. Arch Bronconeumol. 2017;53(7):395. doi: 10.1016/j.arbres.2016.12.010.

  15. Ascano MP, Kramer N, Le K. Differentiating giant bullous emphysema from tension pneumothorax: a case report. Cureus. 2024;16(3):e55988. doi: 10.7759/cureus.55988.

  16. Hernández-Estefanía R. Toracotomía de urgencia. Indicaciones, técnica quirúrgica y resultados. Cir Esp. 2011;89(6):340-347. doi: 10.1016/j.ciresp.2011.02.001.

  17. Issoufou I, Sani R, Amadou D, Alio K, Adamou-Nouhou K, Lakranbi M, et al. Which role for muscle-sparing posterolateral thoracotomy in the treatment of spontaneous pneumothorax? Surg J (N Y). 2023;9(4):e149-e155. doi: 10.1055/s-0043-1770954.

  18. Preston G, Singh A, Negrine RJ. Selective right lung intubation-ventilation strategy in persistent left pneumothorax. Pediatr Neonatol. 2023;64(5):613-614. doi: 10.1016/j.pedneo.2022.08.008.

  19. Ramírez Giraldo C, Vásquez Montañez FL, Peláez-Arango M. Toracostomía abierta: en ocasiones la mejor opción. Rev Colomb Cir. 2021;36(1):60-65. doi: 10.30944/20117582.638.

  20. Vásquez-Revilla HR, Revilla-Rodríguez E. Neumotórax y bulla como complicación tardía en un paciente con neumonía por COVID-19. Reporte de un caso y revisión de la literatura. Med Crít. 2022;36(2):112-115. doi: 10.35366/104874.

  21. Xu W, Luo X, Wang H, et al. Pulmonary emphysema, bullae, and pneumothorax in COVID-19 pneumonia. Radiol Case Rep. 2021;16(5):995-998. doi: 10.1016/j.radcr.2021.01.055.

  22. Durán Muñoz-Cruzado VM, Peñuela Arredondo JD, Meneses Freitte IA, Gonzálaez Haddad A, Herrera Tobon MA. Toracoscopia como alternativa a esternotomía en herida por empalamiento en opérculo torácico en paciente hemodinámicamente estable. Cir Esp. 2019;97(7):414-416. doi: 10.1016/j.ciresp.2018.11.003

  23. Mohajerzadeh L, Lotfollahzadeh S, Vosoughi A, et al. Thoracotomy versus video-assisted thoracoscopy in pediatric empyema. Korean J Thorac Cardiovasc Surg. 2019;52(3):125-130. doi: 10.5090/kjtcs.2019.52.3.125.

  24. Di Fabrizio D, Mastroberti F, Cruccetti A, Bindi E, Cobellis G. Thoracotomy vs. thoracoscopy for esophageal atresia with tracheoesophageal fistula repair: is there a difference in quality of life? Children. 2024;11(11):1340. doi: 10.3390/children11111340.

  25. Dogusoy I, Yildirim M, Ustaalioglu R, Demirbag H. A comparison of axillary thoracotomy versus video-assisted thoracoscopic surgery in the surgical treatment of primary spontaneous pneumothorax. Turk Gogus Kalp Damar Cerrahisi Derg. 2018;26(1):132-137. doi: 10.5606/tgkdc.dergisi.2018.15279.

  26. Soilly AL, Aho Glélé LS, Bernard A, Abou Hanna H, Filaire M, Magdaleinat P, et al. Medico-economic impact of thoracoscopy versus thoracotomy in lung cancer: multicentre randomised controlled trial (Lungsco01). BMC Health Serv Res. 2023;23(1):1004. doi: 10.1186/s12913-023-09962-y.




Figura 1
Figura 2
Figura 3
Figura 4

2020     |     www.medigraphic.com

Mi perfil

C?MO CITAR (Vancouver)

Cir Card Mex. 2026;11

ARTíCULOS SIMILARES

CARGANDO ...