medigraphic.com
ENGLISH

Acta Médica Grupo Angeles

Órgano Oficial del Hospital Angeles Health System
  • Mostrar índice
  • Números disponibles
  • Información
    • Información general        
    • Directorio
  • Publicar
    • Instrucciones para autores        
    • Envío de artículos
    • Políticas
    • Nombre y afiliación del Comité Editorial
  • Nosotros
    • Plan de gestión e intercambio de datos
    • Objetivos declarados y alcance
  • medigraphic.com
    • Inicio
    • Índice de revistas            
    • Registro / Acceso
  • Mi perfil

2026, Número 2

<< Anterior Siguiente >>

Acta Med 2026; 24 (2)


Embolización de arterias uterinas: una estrategia exitosa para el manejo del sangrado uterino en cáncer cervicouterino avanzado

Hernández Juárez, Roberto1; Ríos Reina, José Luis2; Alvarado Estrada, Eliel Anastasio3; Arias Renteria, Marcel4
Texto completo Cómo citar este artículo 10.35366/122622

DOI

DOI: 10.35366/122622
URL: https://dx.doi.org/10.35366/122622
Artículos similares

Idioma: Español
Referencias bibliográficas: 5
Paginas: 153-156
Archivo PDF: 2364.69 Kb.


PALABRAS CLAVE

radiología intervencionista, embolización de la arteria uterina, cáncer cérvico uterino, hemorragia vaginal.

RESUMEN

El carcinoma cervicouterino sigue siendo una de las principales causas de morbilidad y mortalidad mundial. En etapas avanzadas, el sangrado transvaginal es una complicación grave que afecta la calidad de vida y el pronóstico. Este reporte presenta el caso de una paciente de 39 años con carcinoma cervicouterino epidermoide estadio IV A, quien presentó sangrado transvaginal intenso, anemia y choque hipovolémico. Se realizó una embolización de arterias uterinas (EAU) exitosa para controlar el sangrado. Aunque los resultados fueron positivos, se necesita más investigación clínica para establecer protocolos y evaluar su aplicabilidad en carcinoma cervicouterino avanzado.



INTRODUCCIóN

Una de las principales complicaciones del cáncer cervicouterino es el sangrado, que afecta hasta al 70% de los casos con diagnóstico avanzado y es la causa inmediata de muerte en el 6% de estos.1-3 En este contexto, la embolización de arterias uterinas (EAU) ha surgido como una opción eficaz para controlar las hemorragias pélvicas, especialmente cuando las opciones quirúrgicas son limitadas.

Este trabajo muestra la efectividad de la EAU como una estrategia mínimamente invasiva que mejora la calidad de vida de las pacientes, posicionándose como una valiosa herramienta en el manejo paliativo del carcinoma cervicouterino avanzado.3-5



PRESENTACIóN DEL CASO

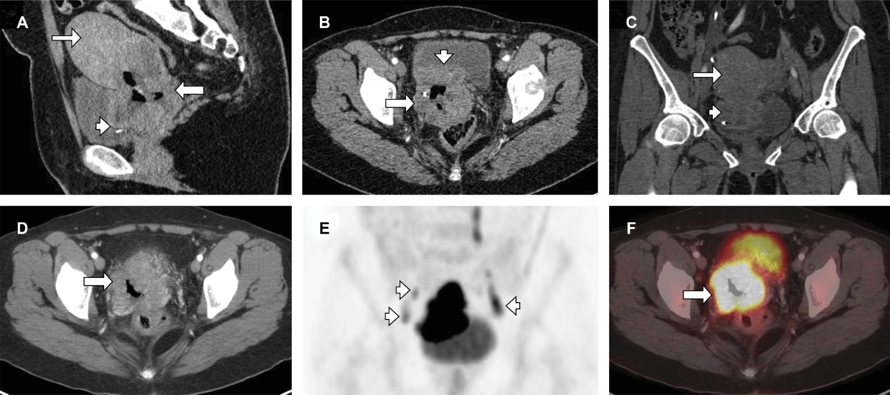
Paciente femenino de 39 años, sin antecedentes personales ni familiares relevantes, diagnosticada con carcinoma cervicouterino epidermoide hace seis meses; presenta datos de choque hemorrágico. En la exploración física dirigida, se identifica una tumoración ulcerada de 7 cm en el cuello uterino con invasión vaginal y sangrado activo. Los estudios de laboratorio e imagen muestran: hemoglobina (Hb) 5.9 y tumoración dependiente del cérvix con infiltración hacia la vejiga, estadio IV A (Figura 1). Dadas las opciones terapéuticas limitadas, se realiza una embolización de arterias uterinas (Figuras 2 y 3), que resultó exitosa en el control del sangrado.

Bajo anestesia general endovenosa y guiada por fluoroscopia, se punciona la arteria femoral común derecha mediante la técnica de Seldinger. Se cateteriza la arteria iliaca interna izquierda con un catéter hidrofílico Cobra de 5 Fr y microcatéter de 2.8 Fr, identificando una arteria uterina tortuosa, con aumento de vascularización y áreas de sangrado activo. Se realiza la embolización con emboesferas de 300-500 micras y un coil de 2 mm × 4 cm en el tronco de la arteria uterina izquierda (Figura 2).

En el lado derecho, el procedimiento se repite con un catéter Simmons de 5 Fr, utilizando emboesferas de 300-500 y 500-700 micras debido al aumento de vascularización en el fondo uterino. Se coloca un coil de 3 mm × 8 cm en el tronco de la arteria uterina y se confirma la embolización completa, así como la preservación de la vascularidad pélvica (Figura 3).



DISCUSIóN

La embolización de arterias uterinas (EAU) ha demostrado ser efectiva en el tratamiento de hemorragias en pacientes con cáncer endometrial o tumores metastásicos pélvicos, aunque la evidencia sobre su uso en carcinoma cervicouterino es aún limitada. Algunos estudios sugieren que esta técnica podría ser útil para controlar el sangrado, pero no existen protocolos establecidos ni evidencia suficiente para generalizar su uso en estos casos.1-5

Este reporte destaca la efectividad de la EAU en el control de una hemorragia persistente, lo que respalda su utilidad como una alternativa mínimamente invasiva en un contexto paliativo, cuando las opciones quirúrgicas son limitadas. Sin embargo, se necesitan más estudios, con muestras más grandes y seguimientos prolongados, para evaluar los beneficios y riesgos de esta técnica.



CONCLUSIONES

La EAU es una opción terapéutica eficaz en el manejo de sangrados en pacientes con carcinoma cervicouterino avanzado. Su uso debe considerarse dentro de un enfoque multidisciplinario y continúa siendo un área relevante para futuras investigaciones.


REFERENCIAS (EN ESTE ARTÍCULO)

  1. Sung H, Ferlay J, Siegel RL, Laversanne M, Soerjomataram I, Jemal A et al. GLOBOCAN estimates of incidence and mortality worldwide for 36 cancers in 185 countries. CA Cancer J Clin. 2021; 71 (3): 209–249. doi: 10.3322/caac.21660.

  2. Bhatla N, Aoki D, Sharma DN, Sankaranarayanan R. Cancer of the cervix uteri: 2021 update. Int J Gynecol Obstet. 2021; 155 (Suppl 1): 28-44. doi: 10.1002/ijgo.13865

  3. Munteanu O, Secara D, Neamtu MN, Baros A, Dimitriade A, Dorobat B et al. Our experience in using the endovascular therapy in the management of hemorrhages in obstetrics and gynecology. Diagnostics (Basel). 2022; 12 (6): 1436. doi: 10.3390/diagnostics12061436.

  4. Dariushnia SR, Nikolic B, Stokes LS, Spies JB, Society of Interventional Radiology Standards of Practice Committee. Quality improvement guidelines for uterine artery embolization for symptomatic leiomyomata. J Vasc Interv Radiol. 2014; 25 (11): 1737-1747. doi: 10.1016/j.jvir.2014.08.029.

  5. Lipman J. Uterine artery embolization in the office-based lab. Tech Vasc Interv Radiol. 2024; 27(1). doi: 10.1016/j.tvir.2024.100954



AFILIACIONES

1 Médico residente de tercer año. Departamento de Radiología e Imagen. Facultad Mexicana de Medicina. Universidad la Salle. Hospital Angeles León. León, Guanajuato, México. ORCID: 0009-0005-2475-3159

2 Radiólogo intervencionista. Jefe de departamento y profesor titular de la especialidad en radiología e imagen del Hospital Angeles Mocel. Ciudad de México, México. ORCID: 0009-0001-9932-1044

3 Médico residente de segundo año. Departamento de Radiología e Imagen. Facultad Mexicana de Medicina. Universidad la Salle. Hospital Angeles Mocel. Ciudad de México, México. ORCID: 0009-0008-0957-4867

4 Departamento de Anestesiología, Centro Médico Nacional Siglo XXI. Facultad de Medicina de la Universidad de Guadalajara. Guadalajara, Jalisco, México. ORCID: 0009-0005-2234-9645



Si desea consultar los datos complementarios de este artículo, favor de dirigirse a editorial.actamedica@saludangeles.mx



CORRESPONDENCIA

Dr. Roberto Hernández Juárez. Correo electrónico: Dr.robertto2021@gmail.com




Recibido: 21-03-2025. Aceptado: 04-04-2025.

Figura 1
Figura 2
Figura 3

2020     |     www.medigraphic.com

Mi perfil

C?MO CITAR (Vancouver)

Acta Med. 2026;24

ARTíCULOS SIMILARES

CARGANDO ...