medigraphic.com
ENGLISH

Acta Médica Grupo Angeles

Órgano Oficial del Hospital Angeles Health System
  • Mostrar índice
  • Números disponibles
  • Información
    • Información general        
    • Directorio
  • Publicar
    • Instrucciones para autores        
    • Envío de artículos
    • Políticas
    • Nombre y afiliación del Comité Editorial
  • Nosotros
    • Plan de gestión e intercambio de datos
    • Objetivos declarados y alcance
  • medigraphic.com
    • Inicio
    • Índice de revistas            
    • Registro / Acceso
  • Mi perfil

2026, Número 2

<< Anterior Siguiente >>

Acta Med 2026; 24 (2)


Tromboembolia pulmonar incidental en un estudio de TC sin contraste: imagen de relleno hiperatenuante, signo intraluminal del defecto hiperdenso

Motta Ramírez, Gaspar Alberto1,2; Valdés Gómez, Alejandra1,3; Cerda Sánchez, Ana Paola1,4; García Barrios, Grecia Ivonne1,5; Vaca Reyes, María Isabel1,5
Texto completo Cómo citar este artículo 10.35366/122624

DOI

DOI: 10.35366/122624
URL: https://dx.doi.org/10.35366/122624

Idioma: Español
Referencias bibliográficas: 4
Paginas: 159-160
Archivo PDF: 729.66 Kb.


PALABRAS CLAVE

Sin palabras Clave

RESUMEN

     

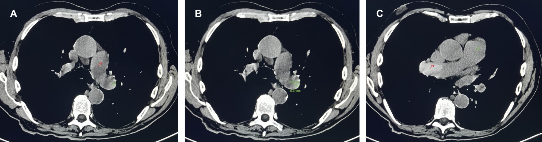
Un criterio fiable para el diagnóstico de tromboembolismo pulmonar (TEP) agudo es la visualización de un defecto de llenado intraluminal en una tomografía computarizada (TC) con contraste.1,2

En algunos casos, la TC sin contraste puede mostrar émbolos densos en la arteria pulmonar, el signo intraluminal del defecto hiperdenso. Este signo es importante porque puede identificarse TEP en una TC simple, lo que ayuda a guiar imágenes adicionales para el inicio oportuno de la terapia adecuada (Figura 1).

Este signo depende de la diferencia en el patrón de atenuación entre el coágulo y la sangre.3 Los coágulos de alta densidad en la arteria pulmonar exhibieron un valor de atenuación significativamente mayor y probablemente esté relacionada con la edad del coágulo en el momento de la obtención de imágenes.

Este signo tuvo una sensibilidad del 30% y una especificidad del 97.6% para detectar TEP agudo. La sensibilidad y especificidad del signo para detectar TEP central fueron del 57.1 y 97.6%, respectivamente, mientras que los porcentajes para detectar TEP periférica fueron del 8.2 y 97.6%, respectivamente.3 Por lo tanto, es un indicador útil de TEP agudo en TC de tórax simple, particularmente en casos que afectan a las arterias pulmonares centrales (Figura 2).4


REFERENCIAS (EN ESTE ARTÍCULO)

  1. Morita S, Ueno E, Masukawa A, Suzuki K, Machida H, Fujimura M. Hyperattenuating signs at unenhanced CT indicating acute vascular disease. Radiographics. 2010; 30 (1): 111-125.

  2. Motta-Ramírez GA. Diagnóstico de tromboembolia pulmonar mediante angiotomografía computada. An Radiol Méx. 2017; 16 (3): 227-250.

  3. Guo R, Deng M, Xi L, Zhang S, Xu W, Liu M. Chest non-contrasted computed tomography in detecting acute pulmonary thromboembolism: a single-center retrospective study. Exp Ther Med. 2024; 28 (2): 304.

  4. Tatco VR, Piedad HH. The validity of hyperdense lumen sign in non-contrast chest CT scans in the detection of pulmonary thromboembolism. Int J Cardiovasc Imaging. 2011; 27 (3): 433-440.



AFILIACIONES

1 Hospital Angeles Pedregal. Ciudad de México, México.

2 Médico radiólogo, adscrito al Departamento de Radiología e Imagen. ORCID: 0000-0001-9449-4600.

3 Médica residente de segundo año del Curso de Especialización y Residencia en Radiodiagnóstico. ORCID: 0009-0006-1253-5012.

4 Médica residente de tercer año del Curso de Especialización y Residencia en Radiodiagnóstico. ORCID: 0000-0002-0375-9974.

5 Personal técnico radiólogo. Especialista en TC. Departamento de Radiología e Imagen.



Si desea consultar los datos complementarios de este artículo, favor de dirigirse a editorial.actamedica@saludangeles.mx



CORRESPONDENCIA

Dr. Gaspar Alberto Motta Ramírez. Correo electrónico: radbody2013@yahoo.com.mx




Recibido: 13-11-2024. Aceptado: 27-01-2025.

Figura 1
Figura 2

2020     |     www.medigraphic.com

Mi perfil

C?MO CITAR (Vancouver)

Acta Med. 2026;24

ARTíCULOS SIMILARES

CARGANDO ...