medigraphic.com
ENGLISH

Acta Médica Grupo Angeles

Órgano Oficial del Hospital Angeles Health System
  • Mostrar índice
  • Números disponibles
  • Información
    • Información general        
    • Directorio
  • Publicar
    • Instrucciones para autores        
    • Envío de artículos
    • Políticas
    • Nombre y afiliación del Comité Editorial
  • Nosotros
    • Plan de gestión e intercambio de datos
    • Objetivos declarados y alcance
  • medigraphic.com
    • Inicio
    • Índice de revistas            
    • Registro / Acceso
  • Mi perfil

2026, Número 2

<< Anterior Siguiente >>

Acta Med 2026; 24 (2)


Absceso hepático causado por Klebsiella pneumoniae

Motta Ramírez, Gaspar Alberto1,2,4; López Lauze, Anaïs1,3,5; Cerda Sánchez, Ana Paola1,3,6
Texto completo Cómo citar este artículo 10.35366/122625

DOI

DOI: 10.35366/122625
URL: https://dx.doi.org/10.35366/122625

Idioma: Español
Referencias bibliográficas: 4
Paginas: 161-162
Archivo PDF: 756.23 Kb.


PALABRAS CLAVE

Sin palabras Clave

RESUMEN

     



INTRODUCCIóN

El síndrome de absceso hepático secundario a Klebsiella pneumoniae es una entidad infecciosa emergente, con un comportamiento clínico diferente al resto de infecciones relacionadas a esta bacteria. El principal factor de riesgo es la diabetes mellitus, pero la mayoría de los enfermos que lo desarrollan son previamente sanos.1

La apariencia del absceso varía según la etapa de desarrollo. En la etapa temprana, es una lesión semisólida ecogénica, heterogénea con límites poco claros y realce posterior de los ecos. El absceso ya formado genera imagen líquida redonda, contornos regulares o irregulares, rodeada por una corona hiperecoica. La identificación de ecos internos corresponde a desechos necróticos, burbujas de gas o refleja la viscosidad de la colección, puede aparecer un nivel hidrolíquido.

El patrón ultrasonográfico del absceso hepático por Klebsiella pneumoniae son bordes irregulares relacionados con licuefacción parcial, con material purulento, lo que se relaciona con su consistencia sólida y por múltiples lóculos que no se comunican (Figura 1).2,3

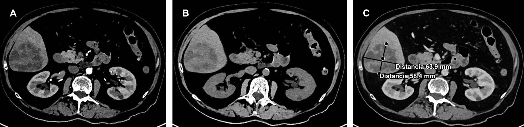
En la tomografía computarizada es característica la lesión única, sólida o multiloculada, de pared delgada, que involucra habitualmente un solo lóbulo hepático (Figura 2).3

La formación de gas es un hallazgo importante en el absceso hepático por Klebsiella pneumoniae y se asocia a mayor mortalidad.4


REFERENCIAS (EN ESTE ARTÍCULO)

  1. Carrillo-Esper R, Soto-Hernández JL, Peña-Pérez CA, Carrillo-Córdova LD, Carrillo-Córdova CA, Carrillo Córdova DM. Síndrome de absceso hepático secundario a Klebsiella pneumoniae hipermucoviscosa con involucro pulmonar. Gaceta Médica de México. 2013; 149: 102-107.

  2. Cano-Narváez XA, Andrés-Soler J, Gomila-Sand B, Darocas-Garrigues L. Absceso hepático invasivo recidivante por Klebiella mucoviscidosa. Revista Española de casos clínicos de Medicina Interna. 2024. Disponible en: http://dx.doi.org/10.32818/reccmi.a9n1a11

  3. Carrillo-Esper R, Díaz-Carrillo MA, Peña-Pérez CA. Síndrome de absceso hepático secundario a Klebsiella pneumoniae hipermucoviscosa. Una entidad emergente. Med Int Mex. 2013; 29: 533-536.

  4. Chan KS, Chia CTW, Shelat VG. Demographics, radiological findings, and clinical outcomes of Klebsiella pneumonia vs. non-Klebsiella pneumoniae pyogenic liver abscess: a systematic review and meta-analysis with trial sequential analysis. Pathogens. 2022; 11 (9): 976.



AFILIACIONES

1 Hospital Angeles Pedregal. Ciudad de México, México.

2 Médico radiólogo, adscrito al Departamento de Radiología e Imagen.

3 Médico residente de tercer año, del Curso de Especialización y Residencia en Radiodiagnóstico, Departamento de Radiología e Imagen.
ORCID:

4 0000-0001-9449-4600

5 0009-0006-8202-8657

6 0000-0002-0375-9974



Si desea consultar los datos complementarios de este artículo, favor de dirigirse a editorial.actamedica@saludangeles.mx



CORRESPONDENCIA

Dr. Gaspar Alberto Motta Ramírez. Correo electrónico: radbody2013@yahoo.com.mx




Recibido: 13-11-2024. Aceptado: 13-01-2025.

Figura 1
Figura 2

2020     |     www.medigraphic.com

Mi perfil

C?MO CITAR (Vancouver)

Acta Med. 2026;24

ARTíCULOS SIMILARES

CARGANDO ...