medigraphic.com
ENGLISH

Neurología, Neurocirugía y Psiquiatría

ISSN 0028-3851 (Impreso)
  • Mostrar índice
  • Números disponibles
  • Información
    • Información general        
    • Directorio
  • Publicar
    • Instrucciones para autores        
  • medigraphic.com
    • Inicio
    • Índice de revistas            
    • Registro / Acceso
  • Mi perfil

2024, Número 2-3

<< Anterior Siguiente >>

Rev Neurol Neurocir Psiquiat 2024; 52 (2-3)


Alteraciones neurovasculares en pacientes con meningitis por Fusarium: revisión y serie de tres casos

Sicsik-Aragón, Alejandra1,4; Cosaín-Valles, Cynthia Erika2,5; Vazquez-Espiritu, Gisela3,6; Saldaña-Xolalpa, Jonatan1,7; Estrada-Valencia, Martín8; Romero-Mera, Jesús1,9; Núñez-Orozco, Lilia1,10
Texto completo Cómo citar este artículo 10.35366/122635

DOI

DOI: 10.35366/122635
URL: https://dx.doi.org/10.35366/122635
Artículos similares

Idioma: Español
Referencias bibliográficas: 10
Paginas: 63-68
Archivo PDF: 940.00 Kb.


PALABRAS CLAVE

meningitis fúngica, Fusarium solani, vasculitis cerebral.

RESUMEN

La meningitis fúngica tiene un curso subagudo y crónico. En casos severos se asocian fenómenos vasculares que provocan infartos cerebrales o formación de aneurismas micóticos. Los síntomas principales comprenden cefalea de inicio insidioso, que se acompaña de rigidez nucal, fiebre intermitente y diaforesis nocturna. Los déficits focales agudos corresponden con la afección a los territorios cerebrovasculares involucrados. En este artículo reportamos una serie de tres casos de pacientes sometidas a procedimientos de anestesia epidural que desarrollaron síntomas y complicaciones neurovasculares de meningitis subaguda por inoculación directa de Fusarium solani; se reconoce como un hongo saprófito que en el ser humano inmunocompetente resulta en queratitis, mientras que en pacientes inmunocomprometidos da cuadros severos de fungosis invasivas. Las pacientes desarrollaron los síntomas en un promedio de tres a cuatro semanas posteriores a la punción, se tomaron punciones lumbares que demostraron datos compatibles de meningitis por hongos, aislamiento del agente por PCR y estudios de neuroimagen con alteraciones neurovasculares diversas, incluyendo un caso de infarto pontino; los tres casos manifestaron datos por imagen de vasculitis de mediano y pequeño vaso. Fueron tratadas con esquemas duales de anfotericina B y voriconazol hasta la remisión de los síntomas y normalización de los parámetros del líquido cefalorraquídeo.



INTRODUCCIóN

El género Fusarium es un extenso género de hongos filamentosos de la división Ascomicetos, ampliamente distribuido en el suelo, que crece en ambientes de humedad, generando plagas en la cebada y algunas frutas. La mayoría de las especies son saprófitos inofensivos, pero pueden afectar la salud humana al involucrarse con la cadena alimenticia. Fusarium puede causar infecciones superficiales como queratitis y onicomicosis, así como infecciones diseminadas en pacientes inmunosuprimidos (trasplantados de médula ósea, pacientes hematológicos y oncológicos, entre otros) produciendo micotoxinas como tricoteceno y fumonisina que causan micotoxicosis relacionadas a falla orgánica letal. En casos muy raros se ha visto este tipo de cuadro en pacientes inmunocompetentes.1

El primero de noviembre de 2022, la Secretaría de Salud de Durango emitió un comunicado de prensa en el que informó siete casos de meningitis aséptica con el antecedente en común de haberse sometido a anestesia epidural en cuatro hospitales privados del estado. Las autoridades sanitarias de Durango aislaron Fusarium solani y lo establecieron como la causa del brote. Para noviembre de 2023, la cifra era de 41 personas fallecidas a consecuencia de esta entidad, así como 80 contagios identificados por PCR de líquido cefalorraquídeo; 39 pacientes han sido dados de alta (34 por mejoría y cinco de forma voluntaria). El 95% de los casos han ocurrido en mujeres; 88% se han asociado a antecedente de procedimiento quirúrgico ginecoobstétrico.2

La meningitis fúngica que presentaron es característica de cuadros de meningitis subaguda y crónica, la cual se describe como una inflamación meníngea de duración mayor a cuatro semanas.3 En casos severos se han registrado fenómenos vasculares como isquemia cerebral severa, vasculitis cerebral y hemorragias secundarias a infiltración de los filamentos y toxinas en las paredes vasculares que llevan a transformaciones aneurismáticas.4 Se presenta una serie de tres casos donde se apreciaron alteraciones vasculares asociadas a la infección por Fusarium solani.



PRESENTACIóN DEL CASO



CASO 1

Mujer de 37 años, se le realizó una cesárea bajo anestesia epidural en agosto de 2022, en septiembre inició con cefalea holocraneal de instauración súbita que fue incrementando en intensidad, acompañándose a la semana de rigidez cervical y de espalda. Acudió a varios médicos y recibió manejo sintomático. A la tercera semana se agregó fiebre continua, así como fotofobia, fonofobia y vértigo. Ante la alerta epidemiológica emitida, decidió acudir a un servicio de urgencias, donde se sometió a los estudios estipulados ante la alerta sanitaria. Se toma muestra de líquido cefalorraquídeo con los siguientes resultados: 175 leucocitos, glucosa 35 mg, proteínas 85 mg, por lo que se decide su hospitalización con el diagnóstico de meningitis aséptica probablemente fúngica y se inició esquema antimicótico a base de anfotericina B calculada a 5 mg/kg y voriconazol 300 mg. A los 21 días de haber iniciado su padecimiento presentó de manera súbita disartria, parálisis incompleta de tercer nervio del cráneo derecho, así como dismetría y disdiadococinesia de la extremidad superior izquierda (Síndrome de Claude). La imagen por resonancia magnética mostró un infarto en la unión mesencéfalo-pontina derecha (Figura 1). Durante su estudio se tomó una PCR para Fusarium spp. en el líquido cefalorraquídeo, la cual resultó positiva. Por este motivo la paciente fue enviada a una unidad de cuidados intensivos para vigilancia estrecha y se aumentó la dosis de anfotericina B. La paciente fue sometida a tres punciones lumbares seriadas, completando 14 semanas de tratamiento. Fue egresada con ptosis parcial del ojo izquierdo como secuela.



CASO 2

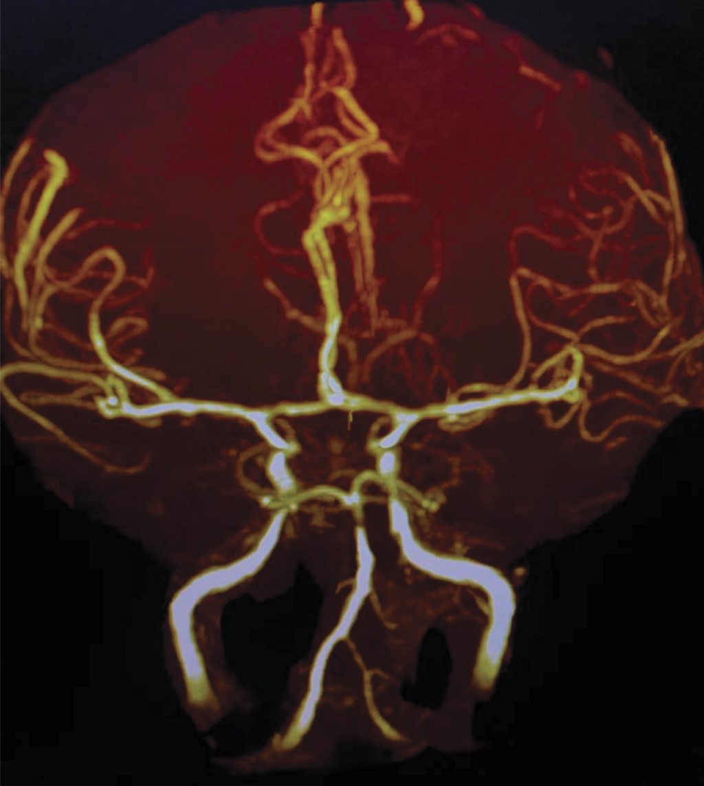
Mujer de 32 años sometida a oclusión tubárica bilateral bajo anestesia epidural en agosto de 2022. El mismo día del procedimiento presentó cefalea punzante, holocraneal, de instauración súbita, la cual fue persistente por una semana hasta que se agregó rigidez cervical, lumbalgia, náusea y vómito. A la semana refirió fotofobia y fonofobia, así como náuseas y vómitos; posteriormente, se agregó fiebre continua, no cuantificada. Decide acudir a servicio de urgencias por la alerta sanitaria, donde se tomó un citoquímico de líquido cefalorraquídeo con las siguientes características: 64 leucocitos, glucosa 34 mg, proteínas 62 mg y toma de PCR para Fusarium positiva. La paciente se trató con anfotericina B calculada a 5 mg/kg, voriconazol 300 mg y ácido acetilsalicílico 150 mg. Continuó este esquema por 18 días, agregándole alteraciones en las funciones mentales, sobre todo a nivel de la atención, la memoria reciente y la función ejecutiva. Se realiza angiorresonancia donde se encuentran datos compatibles con vasculitis de las ramas distales de ambas arterias cerebrales medias de predominio izquierdo y arrosariamiento de la arteria basilar (Figura 2). Por los hallazgos y por lumbalgia persistente se realiza imagen por resonancia magnética (IRM) de neuroeje encontrándose una aracnoiditis espinal importante a nivel de L4-L5-SI (Figura 2). Completó seis semanas de tratamiento antifúngico y esteroide sistémico, egresando por mejoría clínica y de los parámetros de líquido cefalorraquídeo.



CASO 3

Mujer de 30 años con antecedente de cesárea bajo anestesia epidural en septiembre de 2022. A los cuatro días de su cirugía inicia con lumbalgia intensa, posteriormente cefalea holocraneal con intensidad 10/10 intermitente, posteriormente se volvió persistente, se agregó rigidez cervical, así como acúfenos y fotofobia. Ingresó a hospitalización con realización de punción lumbar, con 9 leucocitos, glucosa de 20 y proteínas de 198 mg. Se decidió instaurar tratamiento con anfotericina B calculada a 5 mg/kg y voriconazol 300 mg, ácido acetilsalicílico 150 mg al día, así como esteroide sistémico. La paciente presentó remisión de los síntomas a las dos semanas del tratamiento. Se le realizaron punciones lumbares seriadas con hiperproteinorraquia e hipoglucorraquia, completando dos meses de tratamiento hasta su egreso. La imagen por resonancia en esta paciente mostró disminución del calibre de las ramas distales de la arteria cerebral media izquierda (Figura 3), sin embargo, la PCR para Fusarium fue negativa.



DISCUSIóN

El género Fusarium comprende una rama muy extensa y diversa de hongos filamentosos que se distribuyen globalmente en plantas, suelo y ambientes húmedos. Es mayormente conocido por su papel patogénico en los cultivos de cebada y la enfermedad del banano. El estudio de las infecciones por este patógeno en el ser humano es reciente y comprende desde infecciones locales (principalmente keratitis) a diseminadas (en pacientes inmunosuprimidos por condiciones hematológicas, neoplasias y trasplantes), en los que la mortalidad es de 100%, con una respuesta dinámica que varía de acuerdo a las características del huésped, produciendo micotoxinas como tricoteceno y fumosina, que causan micotoxicosis relacionadas a falla orgánica letal.1 Actualmente hay 74 cepas conocidas capaces de infectar al ser humano.5

Las conidias de las especies de Fusarium tienden a proliferar en ambientes húmedos con propagación aérea al secarse, lo que explicaría que algunas de las infecciones en pacientes inmunosuprimidos provinieron de aire contaminado. De todas las especies, el Fusarium solani causa la mitad de las fusariosis invasivas conocidas, dato compatible con una mayor virulencia reportada en modelos murinos. La infección empieza con la entrada de las conidias; las que escapan a la fagocitosis germinan en hifas y establecen la infección invasiva.5 El uso de esteroides facilita este proceso al impedir la acción anticonidia de los macrófagos. Una vez que la infección se establece, los neutrófilos juegan un papel importante en la destrucción extracelular de las hifas. En pacientes oncológicos y hematológicos que presentan neutropenia severa, la mortalidad asciende al 100%. Inclusive con la correcta terapia antifúngica, con el restablecimiento de los polimorfonucleares llega a ser de 30%.6

Estas especies son capaces de producir diferentes micotoxinas, particularmente Fusarium solani produce ciclosporina, la cual tiene efectos tóxicos en la vasculatura cerebral causando alteraciones en la relajación dependiente del endotelio,5 lo cual pudiera justificar las alteraciones vasculares presentadas por las pacientes que fueron expuestas al inóculo directo, así como la tendencia de la formación de estructuras hifa-hifa que pudiera explicar por qué se llegaron a apreciar casos de transformación aneurismática.



MENINGITIS FÚNGICA

Hay aproximadamente 100,000 especies de hongos conocidas en la naturaleza, pero sólo 10-15% suele causar infecciones neurológicas en el ser humano. La frecuencia de la meningitis fúngica ha aumentado conforme se han registrado y generado causas de inmunosupresión en el ser humano.7

Los hongos que suelen generar neuroinfecciones tienen tres características morfológicas diferentes: levaduras, hongos dimórficos e hifas; esta morfología dictará las manifestaciones y síndromes clínicos que presentarán los pacientes. En el contexto de una inmunodeficiencia celular se produce la migración de las esporas y conidias por vía aérea al sistema nervioso central.8

De forma general, la meningitis fúngica es una meningitis subaguda y crónica que se describe como una inflamación meníngea de duración mayor a cuatro semanas. Los síntomas principales comprenden cefalea de inicio insidioso, que se acompaña de rigidez nucal, fiebre intermitente y diaforesis nocturna. En algunos casos los pacientes pueden presentar déficits neurológicos focales: mononeuropatía craneal múltiple, fotofobia, fonofobia, acúfenos, entre otros.3

Los hallazgos en líquido cefalorraquídeo pueden confundirse con aquellos característicos de la meningitis tuberculosa: pleocitosis mononuclear, elevación de proteínas con disminución considerable de la glucosa.8 Los estudios de imagen tienden a mostrar el reforzamiento meníngeo y alteraciones vasculares que se discutirán más adelante.

Determinar el agente etiológico exacto depende mucho del hongo implicado. Exceptuando Candida spp., muchas especies de hongos raramente producen resultados positivos, ya que requieren volúmenes grandes de LCR (10-30 mL) y toman aproximadamente tres semanas en desarrollarse. En los géneros Aspergillus, Mucor o Cryptococcus algunas técnicas diagnósticas estudiadas son la detección de componentes de la pared celular como el B-glucano y galactomanano. Actualmente la detección de RNA 18s y 28s para hongos por PCR permite encontrar el género y la especie en líquido cefalorraquídeo dando un diagnóstico específico.3

Respecto al manejo, al tratarse de una entidad indolente, de curso subagudo y crónico, la terapia empírica y dirigida debe ser prolongada.



ALTERACIONES VASCULARES ASOCIADAS A MENINGITIS FÚNGICA

La vasculitis cerebral tiene una manifestación heterogénea, ya que deriva de múltiples procesos patológicos que involucran la integridad de los pequeños y medianos vasos.4 Esto puede generar tanto infartos como hemorragias cerebrales, que cursan con cuadros de cefalea, fiebre y debilidad generalizada, así como déficits neurológicos focales que obedecen a alteraciones vasculares.7 Las manifestaciones pueden seguir un curso indolente e insidioso; en las pacientes afectadas por Fusarium se presentaron eventos catastróficos que derivaban de microaneurismas formados por la infiltración de las hifas a las paredes vasculares que sufrían disección o ruptura, generando hemorragias fatales, aumentos súbitos de la presión intracraneal y choque neurogénico.

Las vasculitis cerebrales por hongos no son la excepción. El modelo patogénico más estudiado es el de Aspergillus, el cual, al igual que Fusarium, es un hongo filamentoso que genera vasculitis necrosantes micro y macrovasculares.7 El evento vascular cerebral de este origen etiológico puede deberse a fenómenos isquémicos tanto embolígenos como trombóticos, de ahí radica la importancia de la imagen por angiorresonancia magnética que demostrará disminución del calibre de los vasos cerebrales, imágenes sugerentes de vasoespasmo originados por la inflamación perivascular, así como las regiones de isquemia observables en las secuencias T2, FLAIR Y DWI. Por otra parte, las secuencias de hemogradiente permiten ver microhemorragias.8

Otros hallazgos indirectos que pudieran sugerir la naturaleza inflamatoria del padecimiento incluyen datos de hidrocefalia.8 En uno de los casos hubo reforzamiento meníngeo en el sitio de la punción lumbar donde se inoculó el agente.

La angiografía es la herramienta por excelencia para detectar alteraciones vasculares, alcanzando una resolución aproximada de 200 micrómetros que permite delimitar lesiones aneurismáticas, dilataciones, estenosis y disecciones y puede detectar el 30-50% de las anomalías generadas por vasculitis primarias como secundaria.7

El tratamiento de esta entidad se establece con la terapia antifúngica dirigida al agente causal; con una duración variable que en éstos fue estableciéndose de acuerdo a la clínica, hallazgos de imagen y valores obtenidos en las punciones lumbares hasta su normalización.

A pesar de la importancia mencionada de la angiografía cerebral para el diagnóstico de las vasculitis cerebrales infecciosas, el papel de la terapia endovascular es muy limitado, ya que las lesiones suelen encontrarse en la vasculatura distal o en caso de los aneurismas micóticos suelen ser múltiples, pequeños y de paredes frágiles.4



TRATAMIENTO ANTIFÚNGICO

Durante el establecimiento del brote se tomaron en cuenta las características del hongo, asimismo la investigación de registros bibliográficos sobre la experiencia y elección de la terapia antimicótica en pacientes con fusariosis invasiva, en la cual la elección de anfotericina B liposomal y voriconazol logró un aumento de la supervivencia, 53 y 60%, respectivamente, en comparación con el uso de azoles (28%).1 Este esquema es el sugerido en las Guías Europeas basándose en series de casos y recomendaciones de expertos.3

Aunque en la mayoría de las pacientes no se realizaron pruebas de resistencia, el género Fusarium cuenta con un mecanismo de eflujo que remueve xenobióticos de sus células, lo que le confiere una resistencia intrínseca a los azoles con alta tasa de resistencia cruzada a las equinocandinas, lo cual se explica por ser un hongo frecuente en los plantíos y su continua exposición a pesticidas.5

Estudios in vitro sugieren que la tasa de erradicación del Fusarium aumenta cuando se expone a una combinación de antimicóticos, aunque poco se sabe de sus interacciones.9 Existe mucha controversia sobre el papel de los esteroides en el caso de las vasculitis cerebrales de origen fúngico. Su uso por lo general es empírico y de momento no hay suficiente evidencia clínica que vaya a favor o en contra de este, pues los resultados de las cohortes han sido muy heterogéneos.10

Las tres pacientes que reportamos presentaron meningitis por Fusarium plenamente demostrada y tuvieron complicación vascular. Aunque el número de pacientes fue de 80 hasta diciembre de 2023, en el ISSSTE se atendieron solo seis y de éstas reportamos las tres que tuvieron información completa desde el ingreso hasta el desenlace, con cuadros similares en los reportados en la literatura.



CONCLUSIONES

  • 1. La meningitis por Fusarium es una meningitis crónica de la que se identificó un brote epidémico en pacientes sometidos a anestesia epidural, por contaminación del anestésico utilizado.
  • 2. El cuadro clínico fue similar al descrito en la literatura y la gravedad y desenlace fueron variables.
  • 3. Reportamos tres de los casos atendidos en el ISSSTE que sobrevivieron y continúan en seguimiento.


REFERENCIAS (EN ESTE ARTÍCULO)

  1. Rosa PDD, Ramirez-Castrillon M, Borges R, Aquino V, Meneghello-Fuentefria A, Zubaran-Goldani L. Epidemiological aspects and characterization of the resistance profile of Fusarium spp. in patients with invasive fusariosis. J Med Microbiol. 2019; 68 (10): 1489-1496.

  2. Comunicado Técnico Semanal Meningitis 281123. Meningitis, Durango. Panorama de casos y Atención médica. Secretaría de Salud. 28 de noviembre 2023. Disponible en: https://www.gob.mx/cms/uploads/attachment/file/874853/COMUNICADO_TECNICO_SEMANAL_28NOVIEMBRE2023.pdf

  3. Daroff RB, Bradley WG, Jankovic J, Mazziotta JC, Pomeroy SL, Newman NJ. Bradley's and Daroff's neurology in clinical practice. Elsevier: 2022.

  4. Zeller V, Lortholary O. Vascularites secondaires aux infections fongiques. Presse Med. 2004; 33 (19): 1385-1388.

  5. Al-Hatmi AM, Meis JF, de Hoog GS. Fusarium: molecular diversity and intrinsic drug resistance. PLoS Pathog. 2016; 12 (4): e1005464.

  6. Pozzebon-Venturini T, Rossato L, Chassot F, Tairine Keller J, Baldissera-Piasentin F, Morais Santurio J et al. In vitro synergistic combinations of pentamidine, polymyxin B, tigecycline and tobramycin with antifungal agents against Fusarium spp. J Med Microbiol. 2016; 65 (8): 770-774.

  7. Lampros A, Caumes E, Psimaras D, Galanaud D, Clarençon F, Peyre M et al. Vascularites Cérébrales Associées aux infections. Rev Med Interne. 2021; 42 (4): 258-268.

  8. Carod-Artal FJ. Clinical management of infectious cerebral vasculitides. Expert Rev Neurother. 2016; 16 (2): 205-221.

  9. Hsu LH, Wang HF, Sun PL, Hu FR, Chen YL. The antibiotic polymyxin B exhibits novel antifungal activity against Fusarium species. Int J Antimicrob Agents. 2017; 49 (6): 740-748.

  10. Jacobi C, Lenhard T, Meyding-Lamadé U. Vaskulitis des nervensystems bei infektionserkrankungen. Nervenarzt. 2010; 81 (2): 172-180.



AFILIACIONES

1 Departamento de Neurología Clínica, Centro Médico Nacional 20 de Noviembre, Instituto de Seguridad y Servicios Sociales de los Trabajadores del Estado (ISSSTE). Ciudad de México, México.

2 Departamento de Neurología Clínica, Hospital General "Dr. Santiago Ramón y Cajal", Instituto de Seguridad y Servicios Sociales de los Trabajadores del Estado (ISSSTE). Durango, México.

3 Subdelegación Médica del Instituto de Seguridad y Servicios Sociales de los Trabajadores del Estado (ISSSTE). Durango, México.
ORCID:

4 0009-0005-9948-0271

5 0009-0000-3798-0768

6 0009-0008-7557-6607

7 0000-0003-3145-1480

8 0009-0006-6498-6798

9 0009-0007-7992-6277

10 0000-0002-0589-9380



CORRESPONDENCIA

Alejandra Sicsik-Aragón. E-mail: alesicsikaragong@gmail.com




Recibido: 29/02/2024. Aceptado: 04/04/2024.

Figura 1
Figura 2
Figura 3

2020     |     www.medigraphic.com

Mi perfil

C?MO CITAR (Vancouver)

Rev Neurol Neurocir Psiquiat. 2024;52

ARTíCULOS SIMILARES

CARGANDO ...