medigraphic.com
ENGLISH

Neurología, Neurocirugía y Psiquiatría

ISSN 0028-3851 (Impreso)
  • Mostrar índice
  • Números disponibles
  • Información
    • Información general        
    • Directorio
  • Publicar
    • Instrucciones para autores        
  • medigraphic.com
    • Inicio
    • Índice de revistas            
    • Registro / Acceso
  • Mi perfil

2024, Número 2-3

<< Anterior Siguiente >>

Rev Neurol Neurocir Psiquiat 2024; 52 (2-3)


Arteriopatía cerebral autosómica dominante con infartos subcorticales y leucoencefalopatía (CADASIL). Reporte de un caso

Saldaña-Xolalpa, Jonatan1,2; Calle-Samaniego, Edison Damián1,3; Núñez Orozco, Lilia1,4
Texto completo Cómo citar este artículo 10.35366/122636

DOI

DOI: 10.35366/122636
URL: https://dx.doi.org/10.35366/122636
Artículos similares

Idioma: Español
Referencias bibliográficas: 24
Paginas: 69-73
Archivo PDF: 826.07 Kb.


PALABRAS CLAVE

CADASIL, NOTCH3, demencia vascular, lesión de sustancia blanca.

RESUMEN

Introducción: el síndrome Cerebral Autosomal Dominant Arteriopathy with Subcortical Infarcts and Leukoencephalopathy (CADASIL) es una arteriopatía de herencia autosómica dominante, causada por mutación del gen NOTCH3. Se manifiesta por eventos vasculares cerebrales (EVC) isquémicos o ataques isquémicos transitorios de repetición y lesiones de sustancia blanca en los estudios de neuroimagen. El diagnóstico se confirma mediante biopsia de piel por la presencia de material osmiofílico granular (MOG) en las paredes vasculares y/o por estudio genético del gen NOTCH3. Presentación de caso: mujer de 48 años que presenta migraña con aura desde los 12 años, presentó EVC isquémico a los 45 y 46 años y deterioro cognitivo a los 47 años. En la imagen por resonancia magnética (IRM) cerebral se observaron lesiones de sustancia blanca y en el estudio genético mutación del gen NOTCH3, confirmándose el diagnóstico de CADASIL. Conclusión: en pacientes con manifestaciones clínicas e imagenológicas de CADASIL se debe realizar estudio genético o biopsia de piel para confirmar el diagnóstico.



INTRODUCCIóN

CADASIL es una enfermedad rara, la prevalencia se ha estimado en cuatro de cada 100,000 personas en el Reino Unido.1 Es la causa monogénica con herencia autosómica dominante más común de EVC isquémica y demencia en adultos. Su origen radica en la mutación del gen NOTCH3 localizado en el cromosoma 19p13.1-p13.2 resultando en agregación o eliminación de un residuo de cisteína a la proteína codificada que actúa como receptor transmembrana.

Las características histológicas son el depósito de material osmiofílico granular (MOG) en las células del músculo liso de los vasos sanguíneos pequeños del cerebro y otros órganos, lo que parece tener un rol en el secuestro de proteínas esenciales para la homeostasis de los vasos sanguíneos, determinando la predisposición a eventos isquémicos y demencia que caracterizan a la enfermedad.

Las primeras manifestaciones clínicas se presentan en la tercera o cuarta década de la vida con migraña con aura, EVC isquémico recurrente, ataques isquémicos transitorios, degeneración progresiva de sustancia blanca, deterioro cognitivo y síntomas psiquiátricos.2-5

El diagnóstico inicialmente se pasa por alto debido a una prevalencia baja de la enfermedad, antecedentes familiares no siempre fáciles de reconocer y una gran variabilidad en la expresión clínica entre los sujetos afectados.6,7 Sin embargo, ante la sospecha de la enfermedad, la presencia de MOG en biopsia de piel, evaluada por microscopia electrónica tiene 100% de especificidad para el diagnóstico, aunque pueden producirse falsos negativos, por lo tanto, el diagnóstico definitivo se establece mediante pruebas genéticas identificando mutación heterocigota en el gen NOTCH3, localizado en el cromosoma 19p13.1-p13.2 que codifica el receptor proteico transmembrana del factor de crecimiento epidérmico (EGFR) en su dominio extracelular, expresado predominantemente por las células del músculo liso vascular y los pericitos, con un patrón de herencia autosómico dominante.8-10

No existe tratamiento específico para la enfermedad, sólo se centra en mitigar los síntomas y el control de los factores de riesgo vascular.11

Presentamos un caso de CADASIL en una paciente con antecedente de migraña con aura, infartos cerebrales recurrentes, alteración de la memoria y síntomas psiquiátricos.



PRESENTACIóN DEL CASO

Mujer de 48 años con antecedentes de carcinoma ductal de mama derecha, tratado con mastectomía, quimioterapia y radioterapia. Un hermano presentó EVC isquémico a los 33 años y su madre falleció luego de sufrir dos EVC isquémicos antes de los 60 años.

El cuadro clínico inició a los 12 años, con episodios de disminución de la agudeza visual y fotopsias de 30 minutos de duración, seguidos de cefalea hemicránea pulsátil derecha, con incremento gradual de intensidad hasta 10/10, náusea, vómito, fotofobia y sensación de entumecimiento del hemicuerpo derecho, duración de 4 a 24 horas, sin remisión con analgésicos, con una frecuencia de hasta ocho episodios por mes.

A los 45 años presentó súbitamente hemiparesia faciocorporal derecha y disartria, IRM cerebral mostraron lesiones de sustancia blanca; fue catalogada como esclerosis múltiple, administrándose metilprednisolona intravenosa sin mejoría, quedando como secuela hemiparesia faciocorporal derecha.

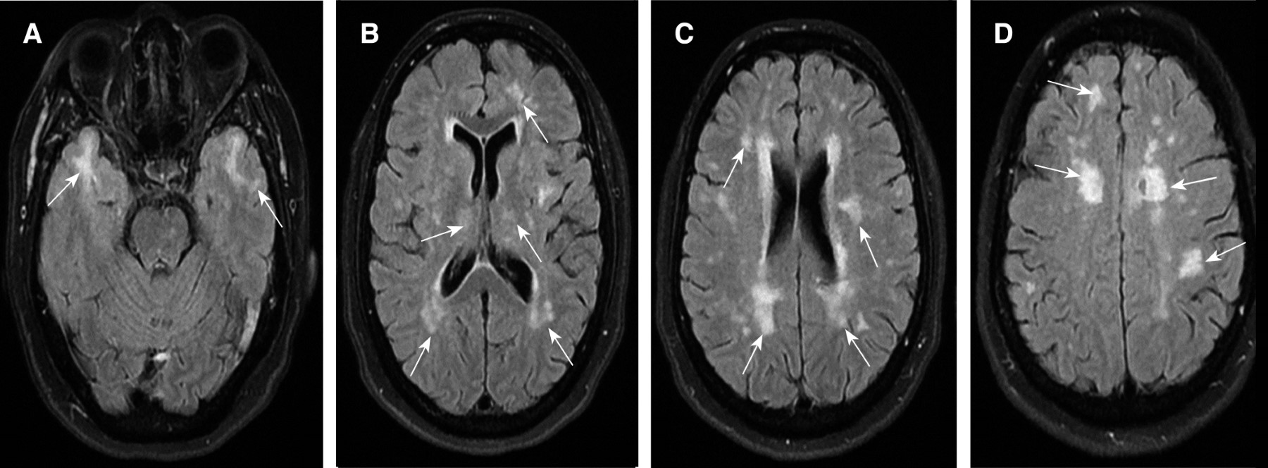
A los 46 años presentó súbitamente aumento de la debilidad hemicorporal derecha y disartria, se realizó IRM cerebral encontrando en secuencia T2 lesiones hiperintensas en sustancia blanca a nivel del bulbo, puente y pedúnculo cerebeloso inferior izquierdo (Figura 1) y en secuencia fluid-attenuated inversion recovery (FLAIR) lesiones hiperintensas en sustancia blanca superficial y profunda en ambos polos temporales, parietal y frontal bilateral, periventriculares, periatriales, adyacentes a la ínsula y en cuerpo calloso (Figura 2), sugestivos de EVC isquémico en territorio de la arteria cerebral media izquierda en su segmento M2. Los exámenes de laboratorio y gabinete, incluyendo proteína C y S, antitrombina III, factor V de Leyden, angiotomografía de troncos supraaórticos, electrocardiograma, estudio Holter, ecocardiograma, todos dentro de la normalidad. Se realizó estudio genético, el cual reportó mutación del gen NOTCH3 c.544C>T (pL151P). Se inició tratamiento de profilaxis secundaria con atorvastatina y ácido acetilsalicílico e ingresó al programa de rehabilitación física.

A los 47 años, sus familiares reportaron bradipsiquia, olvidos frecuentes, episodios de ataques de pánico, tristeza, ansiedad e insomnio. Se realizó la evaluación cognitiva de Montreal (MoCA) donde obtuvo 18 puntos (fallos visuoespaciales, de lenguaje y recuerdo diferido). Psiquiatría diagnosticó un trastorno mixto de ansiedad y depresión e indicó escitalopram.



DISCUSIóN

En 1976, Bousser MG estudió a un hombre de 50 años con infarto lacunar y leucoencefalopatía extensa sin hipertensión arterial, lo que motivó el estudio sistemático de su familia, mapeando una mutación en el cromosoma 19. Posteriormente, el análisis de varias familias con características similares demostró un vínculo genético de la enfermedad con una mutación del gen NOTCH3 en el cromosoma 19p13.12 En 1993, se acuñó el término CADASIL como un acrónimo de arteriopatía cerebral autosómica dominante con infarto subcorticales y leucoencefalopatía para designar una enfermedad hereditaria autosómica dominante de arterias cerebrales pequeñas que lleva a discapacidad y demencia en adultos jóvenes.13 La paciente cuenta con antecedentes familiares de madre y hermano con EVC isquémico recurrentes presentados entre los 30-60 años de edad concordante con la edad típica de presentación y el patrón de herencia autosómico dominante de la enfermedad.

La presentación clínica de CADASIL se caracteriza por cinco síntomas principales:

  • 1. Migraña con aura (20-40%) y suele ser el primer síntoma.
  • 2. EVC isquémicos subcorticales recurrentes son los más frecuentes (60-85%).
  • 3. Ausencia de factores de riesgo vascular convencionales como hipertensión arterial.
  • 4. Trastornos del estado de ánimo (20%) generalmente episodios depresivos graves y a veces se alternan con episodios maniacos, apatía (40%), independientemente del trastorno depresivo.
  • 5. Deterioro cognitivo, es la segunda manifestación clínica más frecuente con afección principal de la función ejecutiva y velocidad de procesamiento.14,15

La paciente descrita presentó migraña con aura como síntoma inicial, EVC isquémicos recurrentes antes de los 50 años en ausencia de hipertensión arterial u otro factor de riesgo vascular convencional, deterioro cognitivo y manifestaciones psiquiátricas, lo que concuerda con los síntomas descritos por la literatura.

El diagnóstico inicial fue esclerosis múltiple (EM), las características clínicas de un síndrome desmielinizante típico son cambios visuales unilaterales, dolor ocular, síntomas sensoriales o motores unilaterales con o sin disfunción vesical o intestinal, alteración del equilibrio o incoordinación, diplopía o vértigo con una duración mínima de 24 horas con evidencia objetiva en el examen neurológico.16 En este caso, la paciente tuvo hemiparesia faciocorporal derecha y disartria, pero sin evidencia clínica objetiva de dos, lo cual no satisfizo los criterios de McDonald 2017 para el diagnóstico de EM.17 La migraña especialmente con aura y el inicio hiperagudo de la hemiparesia recurrente está en contra de un padecimiento desmielinizante y a favor de un padecimiento de origen vascular.18

En cuanto a las lesiones subcorticales, las características radiológicas de las lesiones desmielinizantes por resonancia magnética (RM) son: lesiones en secuencia T1 hipoisointensas, FLAIR hiperintensas y con reforzamiento en anillo abierto con medio de contraste de localización periventricular, cortical o yuxtacortical, regiones cerebrales infratentoriales y médula espinal.16 En CADASIL se encuentran clásicamente amplias lesiones subcorticales confluentes en secuencia T2 prominentemente de los polos temporales anteriores (86%), cápsula externa (93%), además de núcleos de la base, tálamo y puente con un ahorro relativo de la sustancia blanca occipital, orbitofrontal, fibras en U subcorticales y corteza.19 La paciente en los estudios de RM en la secuencia FLAIR presenta lesiones hiperintensas en ambos polos temporales anteriores y cápsula externa sin afección de las fibras en U subcorticales y corteza, lo que concuerda con la descripción radiológica de CADASIL, además a nivel periventricular existe afectación de la sustancia blanca adyacente, lo cual no cumple con las recomendaciones para la prevención de errores diagnósticos de EM cuando se utilizan los criterios de McDonald 2017.16

Las pruebas genéticas son el estándar de oro para el diagnóstico de CADASIL. La detección de los 23 exones del gen NOTCH3 que codifica al receptor transmembrana que contiene 34 repeticiones del EGFR tiene una especificidad del 100% cuando se detecta una mutación que conduce a un número impar de residuos de cisteína dentro de un EGFR, y la sensibilidad está cerca del 100%.20 El examen ultraestructural de una biopsia cutánea debe restringirse a dos situaciones raras: una prueba molecular negativa (detección de los 23 exones de EGFR) en un paciente con características clínicas y resonancia magnética altamente sugestivas de CADASIL; y la identificación de una variante de significado incierto que no implica un residuo de cisteína.14,15 El diagnóstico final en la paciente se estableció mediante estudio genético que detectó la mutación del gen NOTCH3 ante la clínica de la recurrencia de la EVC isquémica, migraña con aura, lesiones radiológicas y los antecedentes familiares.

Aproximadamente de 20 a 30% de los pacientes presentan alteraciones del estado de ánimo, siendo la depresión la más común y grave, esto es esperable en pacientes que han experimentado la enfermedad en la familia y tienen percepción clara de su propia enfermedad.21,22 La paciente fue diagnosticada con trastorno mixto de ansiedad y depresión en la valoración psiquiátrica y su madre sufrió dos infartos cerebrales antes de los 60 años, lo cual concuerda con lo descrito.

Hasta la fecha no hay una terapia modificadora de la enfermedad aprobada para CADASIL, el tratamiento por lo general se centra en el manejo sintomático. El tratamiento profiláctico de migraña en estos pacientes ha demostrado resultado neutral o desfavorable, por lo que podrían estar contraindicados, son necesarios más estudios para confirmar esta tendencia.23,24



CONCLUSIóN

CADASIL es una condición neurológica rara que se debe sospechar en personas jóvenes con EVC isquémicos de repetición, historial clínico de migraña, trastorno depresivo y antecedentes heredofamiliares similares. Los estudios de imagen pueden ayudar al diagnóstico demostrando lesiones de sustancia blanca subcorticales predominantemente y el diagnóstico debe confirmarse mediante biopsia de piel o estudio genético confirmatorio de la mutación del gen NOTCH3.


REFERENCIAS (EN ESTE ARTÍCULO)

  1. Dichgans M, Mayer M, Uttner I, Brüning R, Müller-Hocker J, Rungger G et al. The phenotypic spectrum of CADASIL: clinical findings in 102 cases. Ann Neurol. 1998; 44 (5): 731-739. doi: 10.1002/ana.410440506.

  2. Markus HS, Martin RJ, Simpson MA, Dong YB, Ali N, Crosby AH et al. Diagnostic strategies in CADASIL. Neurology. 2002; 59 (8): 1134-1138. doi: 10.1212/WNL.59.8.1134.

  3. Viswanathan A, Gschwendtner A, Guichard JP, Buffon F, Cumurciuc R, O'Sullivan M et al. Lacunar lesions are independently associated with disability and cognitive impairment in CADASIL. Neurology. 2007; 69 (2): 172-179. doi: 10.1212/01.wnl.0000265221.05610.70.

  4. Ferrante EA, Cudrici CD, Boehm M. CADASIL: new advances in basic science and clinical perspectives. Curr Opin Hematol. 2019; 26 (3): 193-198. doi: 10.1097/MOH.0000000000000497.

  5. Muiño E, Fernández-Cadenas I, Arboix A. Contribution of "Omic" studies to the understanding of Cadasil. A systematic review. Int J Mol Sci. 2021; 22 (14): 7357. doi: 10.3390/ijms22147357.

  6. Bersano A, Bedini G, Oskam J, Mariotti C, Taroni F, Baratta S et al. CADASIL: treatment and management options. Curr Treat Options Neurol. 2017; 19 (9): 31. doi: 10.1007/s11940-017-0468-z.

  7. Wang MM. CADASIL. Handb Clin Neurol. 2018; 148: 733-743. doi: 10.1016/B978-0-444-64076-5.00047-8.

  8. Ruchoux MM, Maurage CA. CADASIL: Cerebral autosomal dominant arteriopathy with subcortical infarcts and leukoencephalopathy. J Neuropathol Exp Neurol. 1997; 56 (9): 947-964.

  9. Tournier-Lasserve E, Joutel A, Melki J, Weissenbach J, Lathrop G, Chabriat H et al. Cerebral autosomal dominant arteriopathy with subcortical infarcts and leukoencephalopathy maps to chromosome 19q12. Nat Genet. 1993; 3 (3): 256-259. doi: 10.1038/ng0393-256.

  10. Di Donato I, Bianchi S, De Stefano N, Dichgans M, Dotti M, Duering M et al. Cerebral Autosomal Dominant Arteriopathy with Subcortical Infarcts and Leukoencephalopathy (CADASIL) as a model of small vessel disease: update on clinical, diagnostic, and management aspects. BMC Med. 2017; 15 (1): 41. doi: 10.1186/s12916-017-0778-8.

  11. Manini A, Pantoni L. CADASIL from bench to bedside: disease models and novel therapeutic approaches. Mol Neurobiol. 2021; 58 (6): 2558-2573. doi: 10.1007/s12035-021-02282-4.

  12. Razvi SS, Davidson R, Bone I, Muir KW. The prevalence of cerebral autosomal dominant arteriopathy with subcortical infarcts and leucoencephalopathy (CADASIL) in the west of Scotland. J Neurol Neurosurg Psychiatry. 2005; 76 (5): 739-741. doi: 10.1136/jnnp.2004.051847.

  13. Narayan S, Gorman G, Kalaria R, Ford G, Chinnery P. The minimum prevalence of CADASIL in northeast England. Neurology. 2012; 78 (13): 1025-1027. doi: 10.1212/WNL.0b013e31824d586c.

  14. Moreton F, Razvi S, Davidson R, Muir K. Changing clinical patterns and increasing prevalence in CADASIL. Acta Neurol Scand. 2014; 130 (3): 197-203. doi: 10.1111/ane.12266.

  15. Mizuno T, Mizuta I, Watanabe-Hosomi A, Mukai M, Koizumi T. Clinical and genetic aspects of CADASIL. Front Aging Neurosci. 2020; 12: 91. doi: 10.3389/fnagi.2020.00091.

  16. André C. CADASIL: pathogenesis, clinical and radiological findings and treatment. Arq Neuropsiquiatr. 2010; 68 (2): 287-299. doi: 10.1590/s0004-282x2010000200026.

  17. Tikka S, Baumann M, Siitonen M, Pasanen P, Poyhonen M, Myllykangas L et al. CADASIL and CARASIL. Brain Pathol. 2014; 24 (5): 525-544. doi: 10.1111/bpa.12181.

  18. Schoemaker D, Arboleda-Velasquez J. Notch3 signaling and aggregation as targets for the treatment of CADASIL and other NOTCH3-associated small-vessel diseases. Am J Pathol. 2021; 191 (11): 1856-1870. doi: 10.1016/j.ajpath.2021.03.015.

  19. Glover P, Goldstein E, Badi M, Brigham T, Lesser E, Brott T et al. Treatment of migraine in patients with CADASIL. Neurol Clin Pract. 2020; 10 (6): 488-496. doi: 10.1212/CPJ.0000000000000769.

  20. Maksemous N, Smith RA, Haupt LM, Griffiths LR. Targeted next generation sequencing identifies novel NOTCH3 gene mutations in CADASIL diagnostics patients. Hum Genomics. 2016;10(1):38. Published 2016 Nov 24. doi:10.1186/s40246-016-0093-z

  21. Chabriat H, Lesnik Oberstein S. Cognition, mood and behavior in CADASIL. Cereb Circ Cogn Behav. 2022;3:100043. Published 2022 Feb 9. doi:10.1016/j.cccb.2022.100043

  22. Domínguez-Sánchez FJ, Lasa-Aristu A, Goñi-Imízcoz M. Intelligence impairment, personality features and psychopathology disturbances in a family affected with CADASIL. Span J Psychol. 2011;14(2):936-943. doi:10.5209/rev_sjop.2011.v14.n2.39

  23. Bersano A, Bedini G, Oskam J, et al. CADASIL: Treatment and Management Options. Curr Treat Options Neurol. 2017;19(9):31. doi:10.1007/s11940-017-0468-z

  24. de Boer I, MaassenVanDenBrink A, Terwindt GM. The potential danger of blocking CGRP for treating migraine in ñrñCADASIL patients. Cephalalgia. 2020;40(14):1676-1678. doi:10.1177/0333102420941814



AFILIACIONES

1 Neurología CMN 20 de Noviembre.

2 Residente de Neurología CMN 20 de Noviembre.

3 Jefe del Servicio de Neurología CMN 20 de Noviembre.

4 Editora en jefe de la revista Neurología, Neurocirugía y Psiquiatría. Jefa del Servicio de Neurología del CMN 20 de Noviembre. ORCID: 0000-0003-4026-2462.



CORRESPONDENCIA

Jonatan Saldaña-Xolalpa. E-mail: jonatansal@gmail.com




Recibido: 15/10/2022. Aceptado: 20/08/2024.

Figura 1
Figura 2

2020     |     www.medigraphic.com

Mi perfil

C?MO CITAR (Vancouver)

Rev Neurol Neurocir Psiquiat. 2024;52

ARTíCULOS SIMILARES

CARGANDO ...