medigraphic.com
ENGLISH

Latin American Journal of Oral and Maxillofacial Surgery

ISSN 2992-7757 (Digital)
Órgano de difusión de la Asociación Latinoamericana de Cirugía y Traumatología Bucomaxilofacial (ALACIBU)
  • Mostrar índice
  • Números disponibles
  • Información
    • Información general        
    • Directorio
  • Publicar
    • Instrucciones para autores        
  • medigraphic.com
    • Inicio
    • Índice de revistas            
    • Registro / Acceso
  • Mi perfil

2025, Número 4

<< Anterior Siguiente >>

Lat Am J Oral Maxillofac Surg 2025; 5 (4)


Aplasia condílea mandibular bilateral en adulto no sindrómico: tratamiento combinado con prótesis customizadas de articulación temporomandibular y cirugía ortognática

Cuella, Emilio1,2; Rosemberg, Victoria1,3; Ramayal, Agustín1,3; Clavero, Diego1,3; Gilardoni, Agustina4; Boyallian, Natacha1,3,5
Texto completo Cómo citar este artículo 10.35366/122823

DOI

DOI: 10.35366/122823
URL: https://dx.doi.org/10.35366/122823
Artículos similares

Idioma: Español
Referencias bibliográficas: 15
Paginas: 134-138
Archivo PDF: 1884.91 Kb.


PALABRAS CLAVE

aplasia condílea, micrognatia, reemplazo articular, cirugía ortognática.

RESUMEN

La aplasia condílea mandibular (ACM), caracterizado por un desarrollo inadecuado o ausencia del cóndilo mandibular, es una anomalía infrecuente. Su presentación bilateral aislada es extremadamente rara y desafiante, afectando el crecimiento mandibular, la oclusión y la función articular. Las prótesis aloplásticas ofrecen una solución predecible y duradera para la reconstrucción articular. Se reporta el caso de una mujer de 39 años, no sindrómica, sin antecedentes de trauma o infección, que consultó por asimetría facial, micrognatia severa y maloclusión clase II esqueletal con mordida abierta anterior. La tomografía reveló aplasia bilateral de cóndilos mandibulares, aplanamiento glenoideo y luxación bilateral. La polisomnografía descartó síndrome de apnea e hipopnea obstructiva del sueño (SAHOS). El tratamiento quirúrgico combinado incluyó reemplazo bilateral de la de articulación temporomandibular (ATM) con prótesis customizadas (Raomed) y cirugía ortognática (Le Fort I, mentoplastia) para rotación antihoraria del complejo maxilomandibular. Este enfoque integral corrigió las deformidades dentofaciales, mejoró la proyección mandibular y la vía aérea, restituyendo la estética y funcionalidad. La aplasia condílea mandibular bilateral aislada en adultos es muy inusual. La combinación de prótesis customizadas de ATM y cirugía ortognática es una estrategia efectiva para la reconstrucción anatómica y funcional y para la corrección de deformidades dentofaciales, con resultados favorables a corto y mediano plazo. Se requiere seguimiento a largo plazo para evaluar la estabilidad de los resultados.



ABREVIATURAS:

  • ACM = aplasia condílea mandibular
  • ATM = articulación temporomandibular
  • SAHOS = síndrome de apnea e hipopnea obstructiva del sueño



INTRODUCCIóN

La aplasia condílea mandibular (ACM) es una anomalía poco frecuente caracterizada por el desarrollo inadecuado o la ausencia completa del cóndilo mandibular. Puede ser de origen congénito o adquirido,1 y puede presentarse de forma aislada o asociada con síndromes craneofaciales.2 Su manifestación bilateral aislada constituye una entidad extremadamente rara y representa un desafío reconstructivo debido a su impacto sobre el crecimiento mandibular, la oclusión y la función articular. Las opciones terapéuticas incluyen injertos costocondrales, distracción osteogénica, cirugía ortognática y reconstrucción articular con prótesis aloplásticas;1,3 estas últimas ofrecen una solución predecible y duradera.2 Dada la escasa literatura sobre esta condición en adultos no sindrómicos, se presenta un caso tratado exitosamente mediante reconstrucción protésica de articulación temporomandibular (ATM) y cirugía ortognática.



PRESENTACIóN DEL CASO

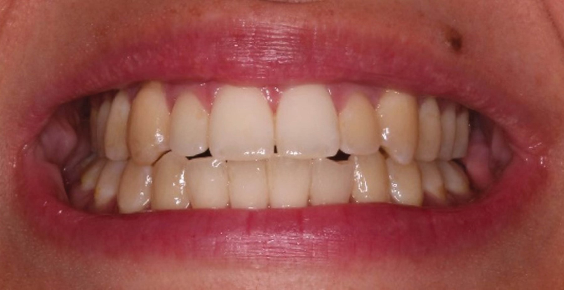
Paciente de sexo femenino de 39 años de edad, con antecedente de hipotiroidismo congénito y sin antecedentes hereditarios relevantes. Consulta por asimetría facial, maloclusión y sospecha de apnea del sueño. Al examen físico se evidencia una marcada micrognatia y microgenia que contribuyen a una retrusión mandibular severa. La evaluación intraoral reveló una clase II esqueletal, exceso vertical del maxilar superior, mordida abierta anterior y contacto molar limitado. Adicionalmente, se observó una angulación del plano oclusal aumentada, torque negativo de los incisivos e incompetencia labial (Figura 1).

Se realiza tomografía computada que revela micrognatia asociada con aplasia de los cóndilos mandibulares con aplanamiento bilateral de las cavidades glenoideas y ausencia del tubérculo articular en su porción medial acompañado de luxación bilateral (Figura 2). Adicionalmente se realiza polisomnografía, la cual no evidencia alteraciones, descartando la posibilidad de síndrome de apnea obstructiva del sueño (SAHOS).

Se decide tratamiento quirúrgico combinado: reemplazo bilateral articular y cirugía ortognática, buscando lograr una rotación antihoraria del complejo maxilomandibular.

Se realiza planificación virtual con confección de prótesis customizadas y placas de osteosíntesis a medida (Raomed) (Figura 3).

El procedimiento, realizado bajo anestesia general y con monitoreo del nervio facial, incluyó los siguientes pasos: reemplazo articular bilateral mediante abordaje preauricular y submandibular, osteotomías tipo Le Fort I y mentoplastia, reposición y osteosíntesis con placas customizadas según planificación virtual.

Este enfoque quirúrgico integral buscó corregir la maloclusión y las deformidades esqueléticas (Figura 4), mejorando la proyección mandibular y aumentando el diámetro de la vía aérea (Figura 5), con el fin de lograr estabilidad articular y oclusal y de restituir la estética y la funcionalidad (Figuras 6 y 7).



DISCUSIóN

Las anomalías del desarrollo del cóndilo mandibular, incluyendo aplasia, hipoplasia, hiperplasia, constituyen un espectro complejo de alteraciones que pueden comprometer de forma significativa la morfología facial, la oclusión dental y la función articular. Estas alteraciones pueden tener origen congénito o adquirido, presentarse de manera uni- o bilateral, de forma aislada o como parte de síndromes craneofaciales.4,5 La hipoplasia y aplasia condilar, caracterizadas por un desarrollo insuficiente o ausente del cóndilo mandibular, se asocian con mayor frecuencia a síndromes craneofaciales.6 No obstante, en raras ocasiones se manifiestan de manera aislada, como se observa en el caso reportado.2,3

Las causas congénitas suelen estar relacionadas con alteraciones del desarrollo del primer y segundo arco branquial, observadas en síndromes como la microsomía hemifacial, Treacher Collins, Hurler, Goldenhar, Proteus, aurículo-condilar, Hallermann-Streiff y Morquio.7 La aplasia condilar bilateral, sin otras anomalías craneofaciales asociadas, representa una condición extremadamente rara.3,8,9 Se ha estimado una incidencia aproximada de 1 por cada 5,600 nacimientos; sólo alrededor del 20% de los casos descritos en la literatura serían de origen congénito.8 En contraste, las causas adquiridas incluyen traumatismos en edades tempranas, infecciones como la otitis media o la artritis reumatoidea, así como déficit de proteínas implicadas en la diferenciación osteocartilaginosa.9-11

En el presente caso la paciente no presentaba antecedentes de trauma, infección ni signos clínicos compatibles con síndromes craneofaciales conocidos. Si bien se diagnosticó hipotiroidismo congénito, es relevante destacar que la literatura actual no describe un síndrome que vincule de forma directa la aplasia condílea bilateral con esta condición. La ausencia de otras características dismórficas o sistémicas asociadas a síndromes craneofaciales, así como la ausencia de antecedentes tales como traumatismos, infecciones o enfermedades reumatológicas podrían apoyar la hipótesis de que se trata de un caso de aplasia condílea bilateral de origen congénito aislado en su presentación craneofacial. Esto subraya la particularidad del caso y su valor como contribución a la literatura científica.

La ausencia del cóndilo mandibular tiene un impacto considerable en el crecimiento mandibular y la morfología facial. Dado que el desarrollo mandibular depende en gran medida de la presencia de un cóndilo funcional, su ausencia puede resultar en micrognatia, asimetría facial, maloclusión esquelética y compromiso de la vía aérea.4,12 En la paciente descrita, estos hallazgos clínicos se manifestaron como una marcada micrognatia y retrusión mandibular, asimetría facial y mordida abierta anterior. Cabe destacar que, si bien la roncopatía fue un motivo de consulta inicial, la polisomnografía descartó la presencia de SAHOS, un aspecto relevante al evaluar la vía aérea en pacientes con estas deformidades.

Debido a su escasa frecuencia, no existen consensos internacionales que guíen el tratamiento de estos pacientes. El manejo requiere un enfoque multidisciplinario, con la colaboración de cirujanos maxilofaciales, ortodoncistas y fonoaudiólogos. Las opciones terapéuticas incluyen injertos autólogos, distracción osteogénica, cirugía ortognática y reconstrucción articular con prótesis aloplásticas customizadas.5,13-15 Los injertos autólogos, aunque tradicionales, presentan riesgo de reabsorción ósea y resultados impredecibles a largo plazo.5,13 La distracción osteogénica permite un desarrollo mandibular progresivo, pero su aplicación puede estar limitada en casos con ausencia total del cóndilo y componente articular temporal.15 Las prótesis customizadas de ATM ofrecen una restauración anatómica precisa, mejoran la función articular y muestran menores tasas de complicaciones.13,15 Adicionalmente, la cirugía ortognática desempeña un papel crucial para corregir las deformidades dentofaciales y restaurar la simetría.14



CONCLUSIóN

En este caso se optó por la colocación de prótesis customizadas de ATM bilateral debido a la inestabilidad articular y la ausencia del componente temporal de la articulación; este procedimiento, junto con la cirugía ortognática, permitió corregir la discrepancia facial, obteniendo una mejoría significativa de la función mandibular y la apertura bucal, corrigiendo la maloclusión esquelética y, por tanto, mejorando la calidad de vida de la paciente. Sin embargo, dado que el seguimiento de la paciente es de dos años, se requieren estudios de más largo plazo para confirmar la durabilidad y estabilidad de estos resultados, lo cual representa una limitación de este reporte de caso.


REFERENCIAS (EN ESTE ARTÍCULO)

  1. Shafer WG, Hine MK, Levy BM. Diseases of bone and joints. In: Rajendra R, Sivapathasundaram B, editors. Diseases of temporomandibular joint. 5th ed. New Delhi: Elsevier Press; 2016.

  2. Gorlin RJ, Cohen MM, Hennekan RC. Syndromes of head and neck. 4th ed. New York: Oxford University Press; 2001.

  3. Zhang L, Liu Y, Li Y. Bilateral condylar aplasia: case report and literature review. J Craniofac Surg. 2015; 26 (4): e332-e334.

  4. Kaneyama K, Segami N, Hatta T. Congenital deformities and developmental abnormalities of the mandibular condyle in the temporomandibular joint. Congenit Anom (Kyoto). 2008; 48 (3): 118-125.

  5. Wolford LM, Morales-Ryan CA, Morales PG, Cotton RT. Surgical management of mandibular condyle anomalies. Oral Maxillofac Surg Clin North Am. 2006; 18 (3): 507-528.

  6. Shivhare P, Shankarnarayan L, Usha, Kumar M, Sowbhagya MB. Condylar aplasia and hypoplasia: a rare case. Case Rep Dent. 2013; 2013: 745602.

  7. Vijay P, Pardhe N, Sunil V, Bajpai M, Chhibber N. Unilateral ankylosis of temporomandibular joint (TMJ) with contralateral condylar aplasia and related orthopedic deformity - syndromic or nonsyndromic? J Clin Diagn Res. 2015; 9 (1): ZD34-ZD36.

  8. Ozturk S, Sengezer M, Isik S, Gul D, Zor F. The correction of auricular and mandibular deformities in auriculo-condylar syndrome. J Craniofac Surg. 2005; 16 (3): 489-492.

  9. Canger EM, Elenk PC. Mandibular condyle aplasia. Dentomaxillofac Radiol. 2012; 41: 259-263.

  10. Tideman H, Doddridge M. Temporomandibular joint ankylosis. Aust Dent J. 1987; 3: 171-177.

  11. Sarnat BG. Some observations on growth of the upper face and the temporomandibular joint from serial sections of human embryos. Am J Orthod. 1969; 55 (3): 225-242.

  12. Mercuri LG. Alloplastic temporomandibular joint replacement: rationale for the use of custom devices. Int J Oral Maxillofac Surg. 2012; 41 (9): 1033-1040.

  13. Ko EW, Huang CS, Chen YR. Orthognathic surgery in patients with unilateral or bilateral mandibular condylar aplasia: a long-term follow-up. J Oral Maxillofac Surg. 2009; 67 (3): 582-588.

  14. Daware SN, Datarkar AN, Gadve V, Valvi B. Management of bilateral condylar agenesis by distraction osteogenesis: a rare case report. Oral Maxillofac Surg. 2024; 28 (2): 985-990.

  15. Wolford LM. Concomitant TMJ total joint replacement and orthognathic surgery. In: Mercuri LG, editor. Temporomandibular joint total joint replacement – TMJ TJR: A comprehensive reference for researchers, materials scientists, and surgeons. Cham, Switzerland: Springer International Publishing; 2016.



AFILIACIONES

1 Servicio de Cirugía de Cabeza y Cuello, Sanatorio Allende. Córdoba, Argentina.

2 Médico-odontólogo, Cirugía Oral y Maxilofacial.

3 Médico especialista en Cirugía de Cabeza y Cuello.

4 Odontóloga especializada en Ortodoncia. Práctica privada.

5 Jefe de Servicio.



CORRESPONDENCIA

Emilio Cuella. E-mail: ecuella@sanatorioallende.com




Recibido: 31/07/2025. Aceptado: 08/11/2025

Figura 1
Figura 2
Figura 3
Figura 4
Figura 5
Figura 6
Figura 7

2020     |     www.medigraphic.com

Mi perfil

C?MO CITAR (Vancouver)

Lat Am J Oral Maxillofac Surg. 2025;5

ARTíCULOS SIMILARES

CARGANDO ...