medigraphic.com
ENGLISH

Cirujano General

ISSN 2594-1518 (Digital)
ISSN 1405-0099 (Impreso)
  • Mostrar índice
  • Números disponibles
  • Información
    • Información general        
    • Directorio
  • Publicar
    • Instrucciones para autores        
    • Envío de artículos
  • medigraphic.com
    • Inicio
    • Índice de revistas            
    • Registro / Acceso
  • Mi perfil

2019, Número 4

<< Anterior Siguiente >>

Cir Gen 2019; 41 (4)


Divertículo de Zenker: manejo endoscópico

Torices Escalante, Eduardo1; Domínguez Camacho, Leticia2; Torices Dardón, Eduardo3; Torices Dardón, Arturo4; Ugalde Velásquez, Jorge Fernando5
Texto completo Cómo citar este artículo Artículos similares

Idioma: Español/Inglés [English version]
Referencias bibliográficas: 30
Paginas: 261-269
Archivo PDF: 251.81 Kb.


PALABRAS CLAVE

Divertículo de Zenker, disfagia, tratamiento con endoscopio flexible.

RESUMEN

Introducción: El divertículo faringoesofágico o también llamado divertículo de Zenker es una enfermedad poco común que afecta a pacientes de edad avanzada. Los principales síntomas son disfagia, halitosis y pérdida de peso. El tratamiento con endoscopio flexible es una alternativa adecuada con resultados similares al tratamiento quirúrgico. Objetivo: El objetivo de este trabajo fue presentar nuestra experiencia en el tratamiento endoscópico de 14 pacientes con divertículo de Zenker y evaluar su eficacia y seguridad. Material y métodos: Estudio retrospectivo en el cual se revisó la base de datos de los pacientes con divertículo de Zenker sintomático que se sometieron a miotomía endoscópica, del 1 de enero de 2008 al 1 de enero de 2017. Todos los procedimientos se llevaron a cabo en nuestro hospital, el síntoma más frecuente fue la disfagia, la cual fue registrada con un puntaje de 0 a 3 (0 sin disfagia, 1 disfagia para sólidos, 2 para líquidos y 3 para saliva). Resultados: Se realizaron 18 procedimientos en 14 pacientes, 100% tuvo una mejoría de la puntuación de la disfagia a los 30 días. La mediana de seguimiento fue 24 meses. Se dio seguimiento a cinco pacientes al menos durante 12 meses y 92.8% tuvieron una buena evolución. Cinco divertículos fueron de 3 cm y el resto de 5 cm o más, los cuales fueron sometidos a cricofaringomiotomía endoscópica realizada con un cuchillo aguja a través de un gastroscopio. En todos los casos la mejoría de la disfagia fue inmediata. En cuatro casos fue necesaria la reintervención (28.5%), con buenos resultados en 100%. Un paciente tuvo hemorragia y no se concluyó de forma satisfactoria en el primer procedimiento, al día siguiente se reintervino. Se presentó enfisema subcutáneo en dos pacientes tratados de forma conservadora. No hubo perforaciones o infecciones. Conclusiones: El tratamiento endoscópico es una alternativa eficaz y segura para el manejo de pacientes con divertículo de Zenker.



INTRODUCCIóN

El divertículo faringoesofágico posterior o divertículo de Zenker fue descrito por primera vez por Ludlow en 1764, aunque toma el nombre del autor de la primera serie de casos publicada por Zenker en 1878.1,2

Consiste en la protrusión de la mucosa hipofaríngea posterior a través de una zona de baja resistencia, limitada por el músculo constrictor inferior de la faringe, de orientación oblicua y el músculo cricofaríngeo de orientación transversal conocido como triángulo de Killian.3,4 Se trata de una alteración poco frecuente, se encuentra aproximadamente en 1% de los esofagogramas baritados y se estima en dos casos por cada 100,000 habitantes,5 tiene su máxima incidencia en hombres a partir de los 70 años. La disfagia y la regurgitación son los síntomas más frecuentes con una incidencia estimada en 80-100% y 57-78%, respectivamente.6,7 El diagnóstico definitivo se realiza mediante el trago de bario que demuestra la presencia del divertículo.6,8,9 Se ha sugerido una asociación con cáncer de esófago escamoso, aunque es controversial.10

Se han propuesto múltiples teorías fisiopatológicas para explicar la formación de los divertículos de Zenker y la controversia persiste en la literatura internacional.

En condiciones normales, el esfínter esofágico superior (EES) se relaja durante la deglución y se contrae una vez que el movimiento peristáltico ha hecho avanzar el bolo más allá del esfínter. En estudios manométricos se constata la presencia de coordinación, tono basal y relajación del EES dentro de parámetros normales. Por lo tanto, el divertículo de Zenker se debe a un trastorno del EES al momento del trago, lo que impide una correcta distensibilidad durante el paso del bolo. Una mayor presión hipofaríngea durante la deglución junto con una resistencia inferior en la pared posterior de la hipofaringe son factores fundamentales en la patogénesis del divertículo de Zenker.3,4 La anomalía cricofaríngea y la presencia del divertículo podrían contribuir a los síntomas: la falta de elasticidad del músculo cricofaríngeo puede provocar sensación de disfagia (disfagia intrínseca). Ésta también puede aparecer por el aumento progresivo del volumen del divertículo (conforme se llena de residuos alimentarios) debido a la compresión directa sobre el esófago (disfagia extrínseca). La disfagia, regurgitación de alimentos, la halitosis, los ruidos al tragar, tos crónica, pérdida de peso y una tumoración en el cuello son todos signos relacionados con la presencia del divertículo y su intensidad depende del tamaño del mismo.8

Estudios histopatológicos de los músculos cricofaríngeo y constrictor inferior de la faringe (CIF) demuestran cambios miopáticos tales como degeneración y necrosis de las fibras musculares, fagocitosis, reemplazo por tejido fibroadiposo e incremento de las fibras musculares relacionadas con la contracción tónica del esfínter.3

Algunos autores sostienen que un defecto en la relajación del EES podría estar en la base de la formación del divertículo. Otros estudios sugieren un problema neurológico de base al observar una asociación con la enfermedad cerebrovascular o con neuropatías periféricas. Se han invocado factores bioquímicos al encontrar diferencias en el contenido de colágeno y elastina en el músculo cricofaríngeo en pacientes con o sin divertículo.

El tratamiento del divertículo de Zenker es la miotomía del músculo cricofaríngeo, la que puede realizarse por cirugía abierta o por vía endoluminal. La cirugía tradicional ha sido la miotomía y diverticulectomía.11,12 Aunque por años la cirugía ha sido el tratamiento de elección, en 1917 Mosher fue el primero en describir el tratamiento endoscópico con endoscopio rígido. Dohlman y Mattson en 1960 desarrollaron un laringoscopio rígido con el que fijaban el puente del divertículo y realizaban el corte del septum con electrocauterio.13 En 1995 Mulder y colaboradores y Ishioka y su equipo además de Sakai y colegas14-18 reportan una serie de pacientes tratados con endoscopio flexible con evolución satisfactoria, utilizaban corriente de coagulación monopolar para realizar el corte del septum. La miotomía ha sido descrita con Needle Knife, argón plasma, Hook Knife, IT Knife (láser de dióxido de carbono) etcétera.19-24



OBJETIVO

Informar los resultados de una serie de casos consecutivos con divertículo de Zenker tratados de forma endoscópica en el Servicio de Endoscopia del Hospital Regional 1° de Octubre, ISSSTE, del 1 de enero de 2008 al 1 de enero de 2017.



MATERIAL Y MéTODO

Estudio retrospectivo iniciando del 1 de enero de 2008 al 1 de enero de 2017 con una serie de 14 casos consecutivos de divertículo de Zenker sintomático a los que se les realizó miotomía endoscópica.

A todos los pacientes se les tomaron datos clínicos demográficos, tales como: edad, sexo, tiempo de evolución de los síntomas y síntomas predominantes, características del divertículo, remisión de los síntomas y necesidad de reintervención. El diagnóstico de divertículo de Zenker se realizó por medio de estudio radiológico de contraste (esofagograma con medio de contraste baritado) y endoscópico, con lo cual se confirmaba el diagnóstico y se calculaba el tamaño del divertículo (Figura 1).

Registramos la disfagia con un puntaje de 0 a 3 (0 sin disfagia, 1 para sólidos, 2 líquidos y 3 saliva).

Criterios de inclusión: expedientes clínicos de pacientes con las siguientes características: ser derechohabiente del ISSSTE, expediente completo de acuerdo con la NOM-004-SSA3-2012, sin distingo de edad o sexo, con divertículo de Zenker confirmado mediante radiología y endoscopia, con seguimiento de por lo menos seis meses posterior al procedimiento.

Criterios de exclusión: expedientes clínicos incompletos, divertículo menor de 2 cm, tratamiento quirúrgico previo o endoscópico no exitoso.

Criterios de eliminación: expedientes clínicos mal conformados.

Diseño del estudio: observacional transversal analítico.

Técnica endoscópica: a todos los pacientes con firma de consentimiento informado, valoración cardiovascular y con ayuno mínimo de ocho horas se les realizó el procedimiento bajo sedación consciente intravenosa con monitorización continua, sin necesidad de intubación orotraqueal, siempre a cargo del médico anestesiólogo.

Durante los nueve años que duró el estudio, hemos tenido algunas modificaciones de la técnica y accesorios utilizados para la miotomía del músculo cricofaríngeo. De forma inicial se realiza endoscopia convencional, se procede a aspirar el material alimenticio que se encuentra en el divertículo y que limita la visión.

En los primeros 10 pacientes una vez identificada la luz del esófago, se introdujo una guía metálica a la cavidad gástrica y sobre ésta un dilatador de Savary Gilliard de 7 mm o 21 Fr, el cual llega hasta el estómago y se deja en ese sitio. Lo anterior delimita adecuadamente la luz del divertículo y del esófago (Figura 2). En el extremo distal del tubo de inserción del endoscopio se coloca un capuchón plástico transparente (MBL 6-1 Cook Endoscopy) que se utiliza como espaciador, lo que permite identificar el septum del músculo cricofaríngeo. En los primeros 10 casos se utilizó un videogastroscopio Olympus modelo GIF-H140 y procesador de imagen CV-140 Olympus (Olympus Optical Co., Tokio, Japón) de 9.8 mm de diámetro, la unidad electroquirúrgica Olympus UES-40 SurgMaster, y como disector un cuchillo aguja (Needle Knife, Cook Endoscopy, Winston-Salem, NC), se hace un corte en el borde de la luz esofágica en la parte media del septum y hacia la luz del divertículo. Se realiza primero el corte de la mucosa exponiendo las fibras musculares del cricofaríngeo (Figura 3), el corte se profundiza hasta completar la sección de las fibras transversales del esfínter cricofaríngeo, sin necesariamente llegar al fondo del divertículo (Figura 4), lo que permite la aproximación de los bordes de la incisión en la mucosa con clips metálicos evitando la perforación y riesgo de sangrado (Figura 5). A los cuatro pacientes restantes se les aplicó la técnica de POEM (miotomía endoscópica peroral), infiltrando la submucosa con solución fisiológica y azul de metileno para levantar la mucosa, posteriormente, se corta la mucosa con el hidrodisector HybridKnife, tipo T-type marca ERBE que es un instrumento multifuncional que combina tecnología electroquirúrgica e hidrodisección en un solo instrumento con el cual se realiza un levantamiento de la mucosa y la creación de un túnel submucoso, seccionando sólo las fibras musculares transversales y finalmente cerrando la entrada del túnel con clips endoscópicos. En estos pacientes se utilizó un videogastroscopio Fujinon, procesador de imágenes Fujifilm Processor VP-4450HD, unidad electroquirúrgica ERBE VIO 200 D y el HybridKnife de ERBE, T-type (marcas registradas) utilizando corriente de corte y coagulación pura (50 W). Por último se retira el dilatador de Savary Gilliard y posterior al procedimiento se efectuó un trago de material hidrosoluble para descartar fugas. A todos los pacientes se les administró una dosis única de antibiótico al inicio del procedimiento y fueron manejados de forma ambulatoria en domicilio iniciando con dieta líquida a las cuatro horas.

Seguimiento: posterior al procedimiento el paciente fue interrogado con respecto a la tolerancia de los alimentos, de forma inicial líquidos y posteriormente sólidos.

El seguimiento se realizó de forma telefónica y por consulta externa al mes del procedimiento y cada seis meses o de ser necesario antes si se mostraba algún síntoma o disfagia. Para valorar la disfagia, se aplicó una escala propia con puntuación de 0 sin disfagia, 1 disfagia para sólidos, 2 para líquidos y 3 imposibilidad de pasar saliva.

Se reintervinieron cuatro pacientes, pero en sólo dos casos el motivo fue por presentar recurrencia de la sintomatología de disfagia meses después, aunque fuera de menor grado ampliando la miotomía (Tabla 1). A todos los pacientes se les realizó control endoscópico a los 30 días posteriores al procedimiento.

Análisis estadístico: las variables definidas como resultados fueron: éxito clínico (alivio de los síntomas a los 30 días posterior al procedimiento), éxito técnico, éxito a largo plazo (asintomático por lo menos 12 meses), recidiva (pacientes que posterior al procedimiento iniciaban nuevamente con sintomatología), necesidad de segunda intervención (pacientes que no mostraban mejoría completa posterior a la primera intervención) y complicaciones inmediatas. Las variables descritas se expresaron como frecuencias relativas (%), las variables continuas como media, mediana y rango, al igual que el número de casos y los porcentajes.



RESULTADOS

Estudio retrospectivo que incluyó 14 pacientes, seis mujeres (43%) y ocho hombres (57%), la media de edad fue de 72.8 años con un rango entre los 24 y los 92 años.

Todos los pacientes presentaban divertículo de Zenker sintomático y ninguno de ellos había tenido alguna terapia quirúrgica o endoscópica. Cinco divertículos fueron de 3 cm aproximadamente y nueve mayores de 5 cm.

El tiempo de evolución de los síntomas fue mayor de un año en todos los casos y los síntomas predominantes fueron la disfagia y halitosis en 100% de los casos, pérdida de peso en nueve pacientes (64.3%) y sólo un paciente refirió tos crónica (7.1%) (Tabla 2).

La miotomía endoscópica se efectuó en 14 pacientes, consideramos la técnica exitosa si el paciente ya no presentaba disfagia de acuerdo con la escala de disfagia utilizada (0), pese a que un paciente (7.1%) tuvo sangrado, el cual se controló con electrocoagulación y se suspendió el procedimiento, mismo que se completó al día siguiente. Todos los pacientes se manejaron de forma ambulatoria, dando las indicaciones necesarias de forma verbal y por escrito, haciendo hincapié en que en cualquier momento podían acudir a la sala de urgencias o al servicio de endoscopia para su revisión. Se valoraron los pacientes con estudio endoscópico a los 30 días posterior al procedimiento con la intención de evaluar el resultado. De los 14 pacientes que presentaron disfagia como síntoma principal, 100% refirió mejoría de la misma, además de los síntomas agregados tales como halitosis, pérdida de peso y tos crónica posterior a la intervención. A los 12 meses se dio seguimiento a cinco pacientes y el resto hasta los dos años. En la actualidad, se siguen viendo algunos de estos pacientes en la consulta externa por otras comorbilidades tales como reflujo y enfermedad ácido péptica, pero ninguno por síntomas asociados al divertículo de Zenker.

De los 14 pacientes sometidos a procedimiento endoscópico, cuatro (28.5%) se reintervinieron, dos por recurrencia de sintomatología leve a los tres y cuatro meses respectivamente, uno por sangrado moderado que limitaba la visualización adecuada en el procedimiento inicial, el cual se repitió a las 24 horas, y otro que fue sometido a tratamiento en dos sesiones por las dimensiones del divertículo, el cual fue referido en reporte radiológico de 6 x 7 cm, por lo que se decidió efectuar el procedimiento endoscópico en dos tiempos (Tabla 2).

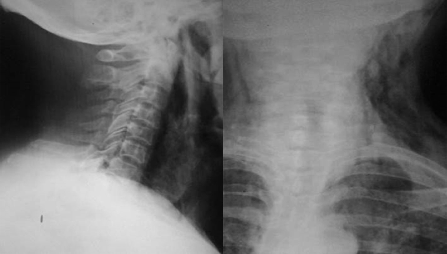
Se realizaron en total 18 procedimientos, se consideró como complicación sólo un paciente (7.1%), quien presentó sangrado importante, mismo que se controló, pero impidió en el procedimiento inicial completar adecuadamente la miotomía, por lo que se reintervino a las 24 horas para completar ésta. Durante los procedimientos, dos pacientes tuvieron enfisema subcutáneo (un paciente femenino de 74 años y uno masculino de 57 años), los cuales fueron tratados de forma conservadora mediante la administración de una cefalosporina de tercera generación, así como control radiográfico para medición del enfisema subcutáneo (Figura 6). No se presentaron complicaciones mayores como mediastinitis, hemorragia incoercible o perforación que requirieran cambiar el tratamiento endoscópico por el quirúrgico de urgencia o programado. La mejoría de la disfagia en todos los casos fue inmediata y en las consultas subsecuentes refirieron haber aumentado de peso, además se realizó endoscopia y trago de material de control (Figura 7).

La estancia intrahospitalaria fue aproximadamente de seis horas; cabe mencionar que a todos los pacientes se les manejó de forma ambulatoria. Es importante recalcar que el tiempo de estancia intrahospitalaria así como el uso de recursos fue menor en comparación con las técnicas quirúrgicas, por lo que podemos inferir que el costo-beneficio de la técnica endoscópica es mejor reduciéndose así el gasto en el sistema de salud.



DISCUSIóN

El tratamiento del divertículo de Zenker se reserva para los pacientes que presentan sintomatología. Las variantes del tratamiento se pueden dividir en abordaje extraluminal como la cirugía de cuello donde se realiza la miotomía y diverticulectomía o en ocasiones diverticulopexia, y el abordaje endoluminal, ya sea con endoscopio rígido o flexible.

El procedimiento, aunque tiene sus riesgos y no es tan frecuente para adquirir una experiencia muy amplia, es relativamente sencillo de realizar y con resultados aceptables, sobre todo en pacientes en quienes el riesgo quirúrgico es muy alto por patología agregada o para aquéllos que prefieran este tipo de procedimiento.

Las ventajas de la técnica endoscópica son la posibilidad de aplicar este procedimiento bajo sedación consciente, menor estancia intrahospitalaria y la oportunidad de iniciar de forma temprana la vía oral.

Desde su surgimiento en 1995, la técnica con endoscopio flexible ha tenido distintas variaciones como sección con fórceps,14,22 argón plasma,17,21,24 incisión con Needle Knife,15,16,18,23 Hook Knife,25 IT Knife23 y el Harmonic Scalpel.23

Independientemente de la técnica de disección utilizada, es preciso una correcta exposición del septum y la protección de la pared libre, para ello se han utilizado el capuchón plástico transparente en la punta del endoscopio, la SNG y el diverticuloscopio flexible, este último da mayor estabilidad al endoscopio. Debido a la baja frecuencia de la patología aún no existen estudios prospectivos comparativos de las diferentes técnicas quirúrgicas y menos aún entre las técnicas quirúrgicas y las endoscópicas; sin embargo, la vía endoscópica como en múltiples publicaciones, y en nuestro caso el tratamiento con endoscopio flexible, ha mostrado resultados alentadores a corto y largo plazo. El éxito reportado de los distintos trabajos25-27 mantiene un rango entre 84 y 100% con una frecuencia de complicaciones hasta de 5%. La recaída es motivo de preocupación entre las distintas series con tasas que oscilan entre 10 y 20%.25

Existe un grupo de autores que describen el uso de un dispositivo denominado WEMR cap device, el cual consiste en un sobretubo plástico que delimita y fija el septum permitiendo el corte directo.7 Dicho estudio se realizó inicialmente en animales, específicamente en porcinos. Es una técnica que permite eliminar de manera efectiva la zona de espasmo y la falta de relajación del cricofaríngeo que produce una zona de alta presión en la hipofaringe a la deglución, creando una sola luz entre el divertículo y el esófago, por lo que se elimina la posibilidad de retención de los alimentos en la luz del divertículo.

En nuestra serie dos pacientes fueron sometidos nuevamente al procedimiento por recurrencia de la sintomatología, lo anterior atribuido a que al ser los primeros casos de nuestro estudio el corte fue insuficiente. Sin embargo, sugerimos que el procedimiento puede realizarse en varias sesiones dependiendo del tamaño del divertículo.

La endoscopia terapéutica y en especial este procedimiento no está exento de complicaciones, la mayoría se pueden manejar mediante tratamiento conservador no siendo necesario intervenir quirúrgicamente al enfermo; sin embargo, debemos tenerlas en cuenta y tomar las precauciones necesarias para prevenirlas. La complicación que se reportó con menos frecuencia en la literatura fue el enfisema subcutáneo o mediastinal, el cual cede con manejo conservador a base de ayuno y antibioticoterapia. Además éste puede disminuirse con la utilización de CO2 en lugar de aire ambiente en el insuflador del endoscopio.

La complicación más grave es la mediastinitis por perforación8 y la hemorragia persistente.

Aunque se señalan algunas limitaciones tales como la ausencia de un método estandarizado al no hallarse ensayos clínicos controlados y aleatorizados que comparen las distintas técnicas, requiere de endoscopistas entrenados, motivo por el que se realiza en sólo algunos centros de nuestro país, ya que no existen centros adaptados para el aprendizaje de esta técnica. Tal como ocurre en otras técnicas de moderada a alta complejidad, el modelo animal podría tratarse de un adecuado primer paso en el entrenamiento de este procedimiento.11

El seguimiento a largo plazo de estos pacientes nos ha sido limitado, quizá por la edad de la población intervenida y por tratarse de un centro de referencia. Es difícil que ensayos clínicos controlados y aleatorizados se lleven a cabo en patologías infrecuentes como ésta, en centros de alta especialidad como nuestro hospital se utiliza exclusivamente para enviar a los pacientes a una terapéutica determinada y más adelante remitirlos a un hospital de segundo nivel o clínica de medicina familiar.

En los últimos procedimientos en los que se usaron clips metálicos se observó que hay múltiples beneficios tales como la disminución del riesgo de perforación no percibida y de hemorragia post-procedimiento.28-30



CONCLUSIONES

El tratamiento del divertículo de Zenker ha evolucionado en las dos últimas décadas. Las técnicas endoscópicas claramente tienen ventajas sobre las técnicas quirúrgicas en términos de menos complicaciones y recuperación más temprana. La miotomía endoscópica puede utilizarse con múltiples técnicas; sin embargo, se necesitan más estudios para determinar cuál es la mejor.

En nuestro trabajo concluimos que el tratamiento del divertículo de Zenker con endoscopio flexible es una opción segura y eficaz con buenos resultados a largo plazo.

Se requieren ensayos clínicos que comparen diferentes opciones terapéuticas para poder recomendar una estrategia definitiva.


REFERENCIAS (EN ESTE ARTÍCULO)

  1. Ludlow A. A case of obstructed deglutition from a preternatural dilatation of and bag formed in the pharynx. Med Observ Enq. 1769; 3: 85-101.

  2. Zenker FA, von Ziemssen H. Dilatations of the oesophagus. In: Buck AH, Ziemssen H, Peabody GL, editors. Cyclopaedia of the practice of medicine. Vol 3. London: Low, Marston, Searle & Rivington; 1878. pp. 46-68.

  3. Skrobi? OM, Simi? AP, Radovanovi? NS, Spica BV, Pesko PM. Current concepts in the anatomy and origin of pharyngeal diverticula. Acta Chir Iugosl. 2009; 56: 17-24.

  4. Anagiotos A, Preuss SF, Koebke J. Morphometric and anthropometric analysis of Killian's triangle. Laryngoscope. 2010; 120: 1082-1088.

  5. Ferreira LE, Simmons DT, Baron TH. Zenker's diverticula: pathophysiology, clinical presentation, and flexible endoscopic management. Dis Esophagus. 2008; 21: 1-8.

  6. Pomerri F, Costantini M, Dal Bosco C, Battaglia G, Bottin R, Zanatta L, et al. Comparison of preoperative and surgical measurements of Zenker's diverticulum. Surg Endosc. 2012; 26: 2010-2015.

  7. Herbella FA, Patti MG. Modern pathophysiology and treatment of esophageal diverticula. Langenbecks Arch Surg. 2012; 397: 29-35.

  8. Bergeron JL, Long JL, Chhetri DK. Dysphagia characteristics in Zenker's diverticulum. Otolaryngol Head Neck Surg. 2013; 148: 223-228.

  9. Ongkasuwan J, Yung KC, Courey MS. Pharyngeal stasis of secretions in patients with Zenker diverticulum. Otolaryngol Head Neck Surg. 2012; 146: 426-429.

  10. Herbella FA, Dubecz A, Patti MG. Esophageal diverticula and cancer. Dis Esophagus. 2012; 25: 153-158.

  11. Dzeletovic I, Ekbom DC, Baron TH. Flexible endoscopic and surgical management of Zenker's diverticulum. Expert Rev Gastroenterol Hepatol. 2012; 6: 449-465; quiz 466.

  12. Cañete-Gómez J, Ramírez-Plaza CP, López Rueda B, Ibáñez-Delgado F, Vázquez-Medina A, Bondia-Navarro JA, et al. Diverticulectomy and cricopharyngeal myotomy for the treatment of Zenker's diverticulum. A presentation of 33 cases. Cir Esp. 2012; 90: 233-237.

  13. Dohlman G, Mattsson O. The endoscopic operation for hypopharyngeal diverticula: a roentgencinematographic study. AMA Arch Otolaryngol. 1960; 71: 744-752.

  14. Mulder CJ, den Hartog G, Robijn RJ, Thies JE. Flexible endoscopic treatment of Zenker's diverticulum: a new approach. Endoscopy. 1995; 27: 438-442.

  15. Ishioka S, Sakai P, Maluf Filho F, Melo JM. Endoscopic incision of Zenker's diverticula. Endoscopy. 1995; 27: 433-437.

  16. Hashiba K, de Paula AL, da Silva JG, Cappellanes CA, Moribe D, Castillo CF, et al. Endoscopic treatment of Zenker's diverticulum. Gastrointest Endosc. 1999; 49: 93-97.

  17. Mulder CJ. Zapping Zenker's diverticulum: gastroscopic treatment. Can J Gastroenterol. 1999; 13: 405-407.

  18. Sakai P, Ishioka S, Maluf-Filho F, Chaves D, Moura EG. Endoscopic treatment of Zenker's diverticulum with an oblique-end hood attached to the endoscope. Gastrointest Endosc. 2001; 54: 760-763.

  19. Evrard S, Le Moine O, Hassid S, Devière J. Zenker's diverticulum: a new endoscopic treatment with a soft diverticuloscope. Gastrointest Endosc. 2003; 58: 116-120.

  20. Costamagna G, Iacopini F, Tringali A, Marchese M, Spada C, Familiari P, et al. Flexible endoscopic Zenker's diverticulotomy: cap-assisted technique vs. diverticuloscope-assisted technique. Endoscopy. 2007; 39: 146-152.

  21. Rabenstein T, May A, Michel J, Manner H, Pech O, Gossner L, et al. Argon plasma coagulation for flexible endoscopic Zenker's diverticulotomy. Endoscopy. 2007; 39: 141-145.

  22. Christiaens P, De Roock W, Van Olmen A, Moons V, D'Haens G. Treatment of Zenker's diverticulum through a flexible endoscope with a transparent oblique-end hood attached to the tip and a monopolar forceps. Endoscopy. 2007; 39: 137-140.

  23. Vogelsang A, Preiss C, Neuhaus H, Schumacher B. Endotherapy of Zenker's diverticulum using the needle-knife technique: long-term follow-up. Endoscopy. 2007; 39: 131-136.

  24. Manner H, May A, Rabenstein T, Pech O, Nachbar L, Enderle MD, et al. Prospective evaluation of a new high-power argon plasma coagulation system (hp-APC) in therapeutic gastrointestinal endoscopy. Scand J Gastroenterol. 2007; 42: 397-405.

  25. Case DJ, Baron TH. Flexible endoscopic management of Zenker diverticulum: the Mayo Clinic experience. Mayo Clin Proc. 2010; 85: 719-722.

  26. Repici A, Pagano N, Romeo F, Danese S, Arosio M, Rando G, et al. Endoscopic flexible treatment of Zenker's diverticulum: a modification of the needle-knife technique. Endoscopy. 2010; 42: 532-535.

  27. Al-Kadi AS, Maghrabi AA, Thomson D, Gillman LM, Dhalla S. Endoscopic treatment of Zenker diverticulum: results of a 7-year experience. J Am Coll Surg. 2010; 211: 239-243.

  28. Hondo FY, Maluf-Filho F, Giordano-Nappi JH, Neves CZ, Cecconello I, Sakai P. Endoscopic treatment of Zenker's diverticulum by harmonic scalpel. Gastrointest Endosc. 2011; 74: 666-671.

  29. Huberty V, El Bacha S, Blero D, Le Moine O, Hassid S, Devière J. Endoscopic treatment for Zenker's diverticulum: long-term results (with video). Gastrointest Endosc. 2013; 77: 701-707.

  30. Zaninotto G. Modern treatment of cricopharyngeal (Zenker's) diverticula. Cir Esp. 2012; 90: 213-214.



AFILIACIONES

1 Médico Especialista en Cirugía General y Endoscopia Gastrointestinal, Jefe de Servicio de Endoscopia Gastrointestinal. Hospital de Alta Especialidad 1° de Octubre, ISSSTE.

2 Médico Especialista en Cirugía General y Endoscopia Gastrointestinal. Médico adscrito al Servicio de Endoscopia Gastrointestinal. Hospital de Alta Especialidad 1° de Octubre, ISSSTE.

3 Médico adscrito al Servicio de Cirugía General. Hospital de Alta Especialidad 1° de Octubre, ISSSTE.

4 Médico Residente en Cirugía General.

5 Jefe de Servicio de Endoscopia Gastrointestinal, Hospital Regional 1° de Octubre, ISSSTE.



Consideraciones éticas: Privacidad de los datos. De acuerdo a los protocolos establecidos en el centro de trabajo de los autores, éstos declaran que han seguido los protocolos sobre la privacidad de datos de los pacientes preservando su anonimato. El consentimiento informado del paciente referido en el artículo se encuentra en poder del autor.

Financiamiento: No se recibió apoyo financiero para la realización de este trabajo.

Conflicto de intereses: Los autores declaran que no existe ningún conflicto de intereses en la realización del trabajo.



CORRESPONDENCIA

Dr. Eduardo Torices Escalante. E-mail: etoricese@gmail.com




Recibido: 05/03/2018. Aceptado: 15/07/2019

Figura 1
Figura 2
Figura 3
Figura 4
Figura 5
Figura 6
Figura 7
Tabla 1
Tabla 2

2020     |     www.medigraphic.com

Mi perfil

C?MO CITAR (Vancouver)

Cir Gen. 2019;41

ARTíCULOS SIMILARES

CARGANDO ...