medigraphic.com
SPANISH

Cirujano General

ISSN 2594-1518 (Electronic)
ISSN 1405-0099 (Print)
  • Contents
  • View Archive
  • Information
    • General Information        
    • Directory
  • Publish
    • Instructions for authors        
    • Send manuscript
  • medigraphic.com
    • Home
    • Journals index            
    • Register / Login
  • Mi perfil

2019, Number 4

<< Back Next >>

Cir Gen 2019; 41 (4)

Zenker's diverticulum: endoscopic treatment

Torices Escalante, Eduardo1; Domínguez Camacho, Leticia2; Torices Dardón, Eduardo3; Torices Dardón, Arturo4; Ugalde Velásquez, Jorge Fernando5
Full text How to cite this article

Language: English/Spanish [Versi?n en espa?ol]
References: 30
Page: 261-269
PDF size: 290.69 Kb.


Key words:

Zenker\'s diverticulum, dysphagia, treatment with flexible endoscope.

ABSTRACT

Introduction: The Zenker pharyngoesophageal diverticulum is a rare disease, affecting elderly patients. The main symptoms are dysphagia, halitosis and weight loss. The flexible endoscope therapy is a suitable alternative with results similar to surgical treatment. Aim: We present our experience in 14 patients with Zenker's diverticulum. Material and methods: Retrospective study from January 1, 2008 to January 1, 2017 reviewing the database in patients with symptomatic Zenker's diverticulum who underwent endoscopic myotomy. All procedures were performed in our hospital. The most common symptom was dysphagia. Registered with a score of 0-3 (0 without dysphagia, 1 for solids, liquids 2 and 3 spittle). Results: Eighteen procedures were performed in 14 patients, 100% had dysphagia score improvement within 30 days. The median follow-up was 24 months. Five patients were followed for at least 12 months and 92.8% had a good evolution. Five diverticula were 3 cm and the rest 5 cm or more. All were subjected to endoscopic cricofaryngomiotomy with a knife needle through a gastroscope. Improvement of dysphagia was immediate in all cases. Reoperation was necessary in four cases (28.5%), with good results in 100%. A patient developed bleeding during the first procedure requiring a successful second intervention the next day. Two patients developed subcutaneous emphysema treated conservatively. There were no perforations or infections. Conclusions: The endoscopic treatment is a safe and effective alternative for the management of patients with Zenker's diverticulum.



INTRODUCTION

Zenker's posterior pharyngoesophageal diverticulum was first described by Ludlow in 1764, although it takes its name from the author of the first case series published in 1878.1,2

It is a protrusion of the posterior hypopharyngeal mucosa through an area of low resistance, limited by the inferior constrictor muscle of the pharynx, with an oblique direction, and the cricopharyngeal muscle, which has a transversal direction, forming what is known as the Killian's triangle.3,4 This is a rare alteration, found in approximately 1% of barium esophagograms, estimated in two cases per 100,000 inhabitants.5 Its maximum incidence is in men over 70 years of age. Dysphagia and regurgitation are the most frequent symptoms, with an incidence of 80-100% and 57-78%, respectively.6,7 The definitive diagnosis is made by barium swallow.6,8,9 An association with squamous cell esophageal cancer has been suggested, although it is controversial.10

Multiple pathophysiological theories have been proposed to explain the formation of Zenker's diverticula and the controversy persists in international literature. Under normal conditions, the upper esophageal sphincter (UES) relaxes during swallowing and contracts once the peristaltic movement has advanced the bolus beyond the sphincter. Manometric studies show the presence of coordination, basal tone, and relaxation of the EES within normal parameters. Therefore, Zenker's diverticulum is due to an EES disorder at the time of swallowing, which prevents correct distensibility during the passage of the bolus. Increased hypopharyngeal pressure during swallowing along with lowered resistance in the posterior wall of the hypopharynx are key factors in the pathogenesis of Zenker's diverticulum.3,4 The cricopharyngeal defect and the presence of the diverticulum may contribute to the symptoms: the lack of elasticity of the cricopharyngeal muscle may lead to feelings of dysphagia (intrinsic dysphagia). Dysphagia can also be caused by the progressive increase in the volume of the diverticulum (as it fills with food waste) due to direct compression on the esophagus (extrinsic dysphagia). Dysphagia, regurgitation of food, halitosis, swallowing noises, chronic coughing, weight loss, and a lump in the neck are all signs related to the presence of the diverticulum, and their intensity depends on the size of the diverticulum.8

Histopathological studies of the cricopharyngeal and lower pharyngeal constrictor (LPC) muscles show myopathic changes such as degeneration and necrosis, phagocytosis, replacement by fibro adipose tissue and increase in muscle fibers related to tonic contraction of the sphincter.3

Some authors argue that a defect in the relaxation of the SSE could be at the basis of the formation of the diverticulum. Other studies suggest an underlying neurological problem when observing an association with cerebrovascular disease or peripheral neuropathies. Biochemical factors have been invoked to find differences in collagen and elastin content in the cricopharyngeal muscle in patients with or without diverticulum.

The treatment of Zenker's diverticulum is a myotomy of the cricopharyngeal and diverticulectomy11,12 by open surgery. There is also an endoluminal approach. Although for years surgery has been the treatment of choice, in 1917 Mosher was the first to describe endoscopic treatment with a rigid endoscope. Dohlman and Mattson in 1960 developed a rigid laryngoscope with which they fixed the bridge of the diverticulum and performed septum cutting with electrocautery.13 In 1995 Mulder et al., Ishioka et al., and Sakai et al.14-18 reported a series of patients treated by flexible endoscopy using monopolar current to cut the septum with satisfactory results. Myotomy has been described with Needle Knife, Argon Plasma, Hook Knife, IT Knife (carbon dioxide laser) etc.19-24



OBJECTIVE

To report the results of a series of consecutive cases with Zenker's diverticulum treated endoscopically at the Endoscopy Service of the Regional Hospital 1o de October, ISSSTE, from January 1, 2008, to January 1, 2017.



MATERIAL AND METHODS

A retrospective study beginning January 1, 2008, to January 1, 2017, analyzed a series of 14 consecutive cases of symptomatic Zenker's diverticulum who underwent endoscopic myotomy.

All patients were taken for clinical demographics such as age, sex, time of symptom evolution and predominant symptoms, characteristics of the diverticulum, remission of symptoms and need for re-intervention. The diagnosis of Zenker's diverticulum was made using a radiological contrast study (esophagogram with barium contrast medium) and endoscopy, which confirmed the diagnosis and calculated the size of the diverticulum (Figure 1).

We recorded dysphagia with a score from 0 to 3 (0 without dysphagia, 1 for solids, 2 for liquids, and 3 for saliva).

Inclusion criteria: clinical records of patients with the following characteristics: a complete record according to NOM-004-SSA3-2012, without distinction of age or sex, with Zenker's diverticulum confirmed by radiology and endoscopy, with follow-up of at least six months after the procedure.

Exclusion criteria: incomplete clinical records, diverticulum less than 2 cm, previous surgical or endoscopic treatment not successful.

Study design: analytical transversal observational.

Endoscopic technique: all patients with informed consent signature, cardiovascular evaluation, and fasting for at least eight hours had the procedure performed under intravenous conscious sedation with continuous monitoring, without the need for orotracheal intubation, always in charge of the anesthesiologist.

During the nine years of the study, we have modified the technique and accessories used for cricopharyngeal muscle myotomy. Initially, a conventional endoscopy is performed, and the food remnants in the diverticulum are aspirated.

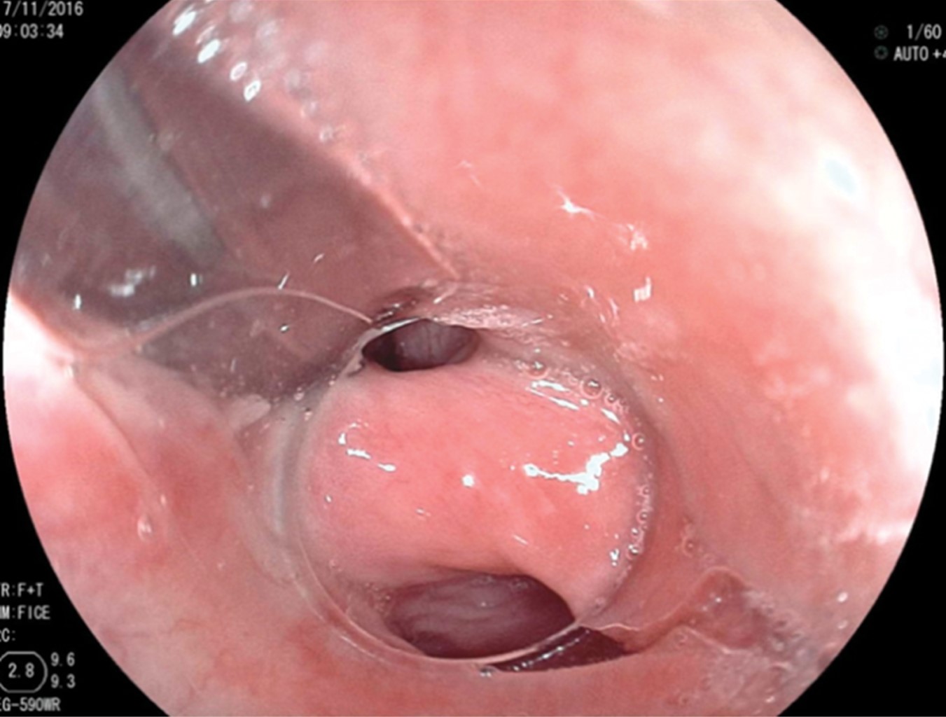
In the first 10 patients, once the esophageal lumen is identified, a metal guide is introduced and over it, a 7 mm or 21 Fr Savary-Gilliard dilator, which reaches the stomach and is left there. This adequately delimits the light of the diverticulum and esophagus (Figure 2). A clear plastic cap (MBL 6-1 Cook Endoscopy™) is placed at the distal end of the endoscope insertion tube and used as a spacer, which allows identification of the cricopharyngeal muscle septum. In the first 10 cases, an Olympus™ video gastroscope model GIF-H140 with an Olympus™ CV-140 image processor (Olympus Optical Co., Tokyo, Japan) of 9.8 mm diameter were used. Also, an Olympus UES-40 SurgMaster™ electrosurgical unit, and a needle knife (Needle Knife™, Cook Endoscopy, Winston-Salem, NC), were used. A cut was made in the edge of the esophageal light in the middle of the septum and towards the light of the diverticulum. First, the mucosa was cut exposing the cricopharyngeal muscle fibers (Figure 3). The cut was deepened until the section of the transverse fibers of the cricopharyngeal sphincter was completed, without necessarily reaching the bottom of the diverticulum (Figure 4), which allowed the edges of the mucosa incision to be brought closer together with metal clips, avoiding perforation and the risk of bleeding (Figure 5). The remaining four patients were treated with the POEM technique (Per Oral Endoscopic Myotomy), by infiltrating and lifting the submucosa with normal saline stained with methylene blue, then cutting the mucosa with the HybridKnife™ hydrodissector. The ERBE T-type™ is a multifunctional instrument that combines electrosurgical and waterjet technology in one. It lifts the mucosa and creates a submucosal tunnel, cutting only the transverse muscle fibers. Finally, the tunnel entrance was closed with endoscopic clips. In these patients, a Fujinon™ video gastroscope, Fujifilm Processor VP-4450HD™, ERBE VIO 200 D™ electrosurgical unit, and the ERBE HybridKnife, T-type™ with pure cutting and/or coagulation current (50 W) were used. Finally, the Savary-Gilliard dilator was removed. After the procedure, a swallow of water-soluble contrast material was given to rule out leakage. All patients were also given a single dose of antibiotics at the beginning of the procedure and were managed on an outpatient basis at home starting with a liquid diet after four hours.

Follow-up: after the procedure, the patient was asked regarding food tolerance, initially liquids, and later solids. Follow-up was done by phone and outpatient consultation one month after the procedure and every six months before if any symptoms or dysphagia were shown. To assess dysphagia, we applied our scale with a score of 0 without dysphagia, 1 dysphagia for solids, 2 for liquids, and 3 for the impossibility of passing saliva.

Four patients were re-intervened, but in only two cases for a recurrence of dysphagia symptoms months later, albeit to a lesser extent, by extending the myotomy (Table 1). All patients underwent endoscopic control 30 days after the procedure.

Statistical analysis. The variables defined as outcomes were: clinical success (relief of symptoms at 30 days after the procedure), technical success, long-term success (asymptomatic for at least 12 months), recurrence (patients who had symptoms after the procedure), the need for a second intervention (patients who did not show complete improvement after the first one) and immediate complications. The variables described were expressed as relative frequencies (%), continuous variables as mean, median, and range, as well as the number of cases and percentages.



RESULTS

The retrospective study included 14 patients, six females (43%), and eight males (57%), with a mean age of 72.8 years (range between 24 and 92 years).

All patients had symptomatic Zenker's diverticulum and none of them had had any prior therapy. Five diverticula were approximately 3 cm and nine were larger than 5 cm.

The time of symptoms onset was greater than one year in all cases with dysphagia and halitosis in 100% of the cases, weight loss in nine patients (64.3%). One patient reported a chronic cough (7.1%) (Table 2).

Endoscopic myotomy was performed in all 14 patients. We considered the technique successful if the patient no longer presented dysphagia according to the dysphagia scale used (0), even though one patient (7.1%) had bleeding, which was controlled with electrocoagulation the following day. All patients were managed on an outpatient basis, emphasizing that they could go to the emergency room or the endoscopy service at any time for review. 30 days after the procedure the patients were assessed to evaluate the outcome. All the 14 patients who presented dysphagia as the main symptom, reported improvement. Also, halitosis, weight loss, and chronic cough improved after the intervention. Five patients were followed at 12 months and the rest for up to two years. Currently, some of these patients are still seen in the outpatient clinic for other comorbidities such as reflux and peptic acid disease, but none for symptoms associated with Zenker's diverticulum.

Of the 14 patients who underwent the endoscopic procedure, four (28.5%) were re-intervened, two because of recurrence of mild symptoms at three and four months. One for moderate bleeding that limited an adequate view during the first procedure, repeated after 24 hours, and another treated in two sessions because of the dimensions (6 × 7 cm) of the diverticulum, according to the radiological report (Table 2).

A total of 18 procedures were done, and only one patient (7.1%) was considered a complication. Two patients had subcutaneous emphysema (a 74-year-old female and a 57-year-old male), treated conservatively by administering a third-generation cephalosporin, as well as radiographic control to monitor the emphysema (Figure 6). There were no major complications such as mediastinitis, bleeding, or perforation that required conversion to open surgery. The improvement of dysphagia in all cases was immediate and in subsequent consultations, they reported weight gain. Endoscopy and swallowing of contrast material were performed as controls (Figure 7).

The in-hospital stay was approximately six hours; it should be mentioned that all patients were handled on an outpatient basis. It is important to emphasize that the time of intrahospital stay, as well as the use of resources, was lower compared to surgical techniques, so we can infer that the cost-benefit of the endoscopic technique is better, thus reducing the expenditure in the health system.



DISCUSSION

The treatment of Zenker's diverticulum is reserved for patients with symptoms. Treatment variants can be divided into the extraluminal approach such as neck surgery where myotomy and diverticulectomy or sometimes diverticulopexy is performed, and the endoluminal approach, either with a rigid or flexible endoscope.

The procedure, although it has its risks and is not so frequent to acquire a very wide experience, is relatively simple to perform and with acceptable results, especially in patients in whom the surgical risk is very high due to added pathology or for those who prefer this type of procedure.

The advantages of the endoscopic technique are the possibility of applying this procedure under conscious sedation, shorter hospital stays, and the opportunity to initiate the oral route early.

Since its emergence in 1995, the flexible endoscope technique has had several variations such as forceps section,14,22 argon plasma,17,21,24 Needle Knife incision, 15,16,18,23 Hook Knife,25 IT Knife23 and the Harmonic Scalpel.23

Regardless of the dissection technique used, correct exposure of the septum and protection of the free wall is required. For this purpose, the transparent plastic cap at the tip of the endoscope, the NGS, and the flexible diverticuloscope have been used, the latter providing greater stability to the endoscope. Due to the low frequency of the pathology, there are still no prospective comparative studies of the different surgical techniques and even less between surgical and endoscopic techniques; however, the endoscopic route as in multiple publications, and in our case the treatment with a flexible endoscope, has shown encouraging results in the short and long term. The reported success of the different works25-27 maintains a range between 84 and 100% with a frequency of complications of up to 5%. Relapse is a concern among the different series with rates ranging from 10 to 20%.25

The use of a device called WEMR cap has been described, which consists of a plastic envelope that limits and fixes the septum, allowing direct cutting.7 The technique eliminates the spasm zone and the lack of relaxation of the cricopharynx that produces a high-pressure area in the hypopharynx upon swallowing, thus creating a single lumen between diverticulum and esophagus, eliminating the possibility of food retention in the diverticulum.

In our series, two patients were resubmitted to the procedure due to the recurrence of symptoms, attributed to an insufficient cut. However, we suggest that this procedure can be performed in several sessions depending on the size of the diverticulum.

Therapeutic endoscopy is not exempt from complications. Most of them can be managed by conservative treatment. The least frequent complication in the literature is subcutaneous or mediastinal emphysema, which subsides with conservative management based on fasting and antibiotic therapy. It can be reduced by using CO2 instead of air in the endoscope insufflator.

The most serious complications are perforation mediastinitis8 and persistent bleeding.

Some limitations are noted, such as the absence of a standardized method, since no randomized controlled clinical trials exist that compare the different techniques. Treatment requires trained endoscopists. An animal model could be an appropriate first step in the training.11

Long-term follow-up of these patients has been limited, perhaps because of the age of the population being operated on and the fact that it is a reference center. It is difficult for controlled and randomized clinical trials to be carried out in infrequent pathologies such as this one. In high-specialty centers such as our hospital, it is used exclusively to send patients to specific therapy and later refer them to a second-level hospital or family medicine clinic.

In the latest procedures in which metal clips were used, it was observed that there are multiple benefits such as the reduced risk of unperceived perforation and post-procedural bleeding.28-30



CONCLUSIONS

Treatment of Zenker's diverticulum has evolved over the past two decades. Endoscopic techniques have advantages over surgical techniques in terms of fewer complications and earlier recovery. Endoscopic myotomy can be used with multiple techniques; however, more studies are needed to determine which is best.

In our work we concluded that treatment of Zenker's diverticulum with a flexible endoscope is a safe and effective option with good long-term results.

Clinical trials comparing different treatment options are needed before a definitive strategy can be recommended.


REFERENCES

  1. Ludlow A. A case of obstructed deglutition from a preternatural dilatation of and bag formed in the pharynx. Med Observ Enq. 1769; 3: 85-101.

  2. Zenker FA, von Ziemssen H. Dilatations of the oesophagus. In: Buck AH, Ziemssen H, Peabody GL, editors. Cyclopaedia of the practice of medicine. Vol 3. London: Low, Marston, Searle & Rivington; 1878. pp. 46-68.

  3. Skrobi? OM, Simi? AP, Radovanovi? NS, Spica BV, Pesko PM. Current concepts in the anatomy and origin of pharyngeal diverticula. Acta Chir Iugosl. 2009; 56: 17-24.

  4. Anagiotos A, Preuss SF, Koebke J. Morphometric and anthropometric analysis of Killian's triangle. Laryngoscope. 2010; 120: 1082-1088.

  5. Ferreira LE, Simmons DT, Baron TH. Zenker's diverticula: pathophysiology, clinical presentation, and flexible endoscopic management. Dis Esophagus. 2008; 21: 1-8.

  6. Pomerri F, Costantini M, Dal Bosco C, Battaglia G, Bottin R, Zanatta L, et al. Comparison of preoperative and surgical measurements of Zenker's diverticulum. Surg Endosc. 2012; 26: 2010-2015.

  7. Herbella FA, Patti MG. Modern pathophysiology and treatment of esophageal diverticula. Langenbecks Arch Surg. 2012; 397: 29-35.

  8. Bergeron JL, Long JL, Chhetri DK. Dysphagia characteristics in Zenker's diverticulum. Otolaryngol Head Neck Surg. 2013; 148: 223-228.

  9. Ongkasuwan J, Yung KC, Courey MS. Pharyngeal stasis of secretions in patients with Zenker diverticulum. Otolaryngol Head Neck Surg. 2012; 146: 426-429.

  10. Herbella FA, Dubecz A, Patti MG. Esophageal diverticula and cancer. Dis Esophagus. 2012; 25: 153-158.

  11. Dzeletovic I, Ekbom DC, Baron TH. Flexible endoscopic and surgical management of Zenker's diverticulum. Expert Rev Gastroenterol Hepatol. 2012; 6: 449-465; quiz 466.

  12. Cañete-Gómez J, Ramírez-Plaza CP, López Rueda B, Ibáñez-Delgado F, Vázquez-Medina A, Bondia-Navarro JA, et al. Diverticulectomy and cricopharyngeal myotomy for the treatment of Zenker's diverticulum. A presentation of 33 cases. Cir Esp. 2012; 90: 233-237.

  13. Dohlman G, Mattsson O. The endoscopic operation for hypopharyngeal diverticula: a roentgencinematographic study. AMA Arch Otolaryngol. 1960; 71: 744-752.

  14. Mulder CJ, den Hartog G, Robijn RJ, Thies JE. Flexible endoscopic treatment of Zenker's diverticulum: a new approach. Endoscopy. 1995; 27: 438-442.

  15. Ishioka S, Sakai P, Maluf Filho F, Melo JM. Endoscopic incision of Zenker's diverticula. Endoscopy. 1995; 27: 433-437.

  16. Hashiba K, de Paula AL, da Silva JG, Cappellanes CA, Moribe D, Castillo CF, et al. Endoscopic treatment of Zenker's diverticulum. Gastrointest Endosc. 1999; 49: 93-97.

  17. Mulder CJ. Zapping Zenker's diverticulum: gastroscopic treatment. Can J Gastroenterol. 1999; 13: 405-407.

  18. Sakai P, Ishioka S, Maluf-Filho F, Chaves D, Moura EG. Endoscopic treatment of Zenker's diverticulum with an oblique-end hood attached to the endoscope. Gastrointest Endosc. 2001; 54: 760-763.

  19. Evrard S, Le Moine O, Hassid S, Devière J. Zenker's diverticulum: a new endoscopic treatment with a soft diverticuloscope. Gastrointest Endosc. 2003; 58: 116-120.

  20. Costamagna G, Iacopini F, Tringali A, Marchese M, Spada C, Familiari P, et al. Flexible endoscopic Zenker's diverticulotomy: cap-assisted technique vs. diverticuloscope-assisted technique. Endoscopy. 2007; 39: 146-152.

  21. Rabenstein T, May A, Michel J, Manner H, Pech O, Gossner L, et al. Argon plasma coagulation for flexible endoscopic Zenker's diverticulotomy. Endoscopy. 2007; 39: 141-145.

  22. Christiaens P, De Roock W, Van Olmen A, Moons V, D'Haens G. Treatment of Zenker's diverticulum through a flexible endoscope with a transparent oblique-end hood attached to the tip and a monopolar forceps. Endoscopy. 2007; 39: 137-140.

  23. Vogelsang A, Preiss C, Neuhaus H, Schumacher B. Endotherapy of Zenker's diverticulum using the needle-knife technique: long-term follow-up. Endoscopy. 2007; 39: 131-136.

  24. Manner H, May A, Rabenstein T, Pech O, Nachbar L, Enderle MD, et al. Prospective evaluation of a new high-power argon plasma coagulation system (hp-APC) in therapeutic gastrointestinal endoscopy. Scand J Gastroenterol. 2007; 42: 397-405.

  25. Case DJ, Baron TH. Flexible endoscopic management of Zenker diverticulum: the Mayo Clinic experience. Mayo Clin Proc. 2010; 85: 719-722.

  26. Repici A, Pagano N, Romeo F, Danese S, Arosio M, Rando G, et al. Endoscopic flexible treatment of Zenker's diverticulum: a modification of the needle-knife technique. Endoscopy. 2010; 42: 532-535.

  27. Al-Kadi AS, Maghrabi AA, Thomson D, Gillman LM, Dhalla S. Endoscopic treatment of Zenker diverticulum: results of a 7-year experience. J Am Coll Surg. 2010; 211: 239-243.

  28. Hondo FY, Maluf-Filho F, Giordano-Nappi JH, Neves CZ, Cecconello I, Sakai P. Endoscopic treatment of Zenker's diverticulum by harmonic scalpel. Gastrointest Endosc. 2011; 74: 666-671.

  29. Huberty V, El Bacha S, Blero D, Le Moine O, Hassid S, Devière J. Endoscopic treatment for Zenker's diverticulum: long-term results (with video). Gastrointest Endosc. 2013; 77: 701-707.

  30. Zaninotto G. Modern treatment of cricopharyngeal (Zenker's) diverticula. Cir Esp. 2012; 90: 213-214.



AFFILIATIONS

1 Specialist in General Surgery and Gastrointestinal Endoscopy, Head of Gastrointestinal Endoscopy Service. Hospital de Alta Especialidad 1o de Octubre, ISSSTE.

2 Specialist in General Surgery and Gastrointestinal Endoscopy. Attached to the Gastrointestinal Endoscopy Service. Hospital de Alta Especialidad 1o de Octubre, ISSSTE.

3 Attached to the General Surgery Service. Hospital de Alta Especialidad 1o de Octubre, ISSSTE.

4 Resident in General Surgery.

5 Head of Gastrointestinal Endoscopy Service, Hospital de Alta Especialidad 1o de Octubre, ISSSTE.



Ethical considerations: Data privacy. In accordance with the protocols established in the authors\' workplace, they declare that they have followed the protocols on patient data privacy while preserving their anonymity. The informed consent of the patient referred to in the article is in the possession of the author.

Funding: No financial support was received for this work.

Conflict of interest: The authors declare that there was no conflict of interest in carrying out this work.



CORRESPONDENCE

Dr. Eduardo Torices Escalante. E-mail: etoricese@gmail.com




Received: 05/03/2018. Accepted: 15/07/2019

Figure 1
Figure 2
Figure 3
Figure 4
Figure 5
Figure 6
Figure 7
Table 1
Table 2

2020     |     www.medigraphic.com

Mi perfil

C?MO CITAR (Vancouver)

Cir Gen. 2019;41