medigraphic.com
ENGLISH

Cirujano General

ISSN 2594-1518 (Digital)
ISSN 1405-0099 (Impreso)
  • Mostrar índice
  • Números disponibles
  • Información
    • Información general        
    • Directorio
  • Publicar
    • Instrucciones para autores        
    • Envío de artículos
  • medigraphic.com
    • Inicio
    • Índice de revistas            
    • Registro / Acceso
  • Mi perfil

2020, Número 2

<< Anterior Siguiente >>

Cir Gen 2020; 42 (2)


Tratamiento quirúrgico de la apendicitis aguda en paciente COVID-19 positivo en hospital de tercer nivel

Razo-Sánchez, Abraham1; López-Romero, Sandra Cecilia2; González-Pérez, Luis Gabriel2; González-Calatayud, Mariel3; Gracida-Mancilla, Noé Isaías2; Montero-García, Paola Judith2; López-Zúñiga, Daniel Fernando4; Gutiérrez-Uvalle, Gabriela Elaine5
Texto completo Cómo citar este artículo 10.35366/95377

DOI

DOI: 10.35366/95377
URL: https://dx.doi.org/10.35366/95377
Artículos similares

Idioma: Español/Inglés [English version]
Referencias bibliográficas: 16
Paginas: 170-175
Archivo PDF: 1080.34 Kb.


PALABRAS CLAVE

Apéndice, apendicitis, COVID-19, SARS-CoV-2.

RESUMEN

Introducción y objetivo: La apendicitis aguda es considerada la causa más común de abdomen agudo quirúrgico. Cuenta con una prevalencia de 7% en la población mundial; el tratamiento quirúrgico laparoscópico es el de elección. Sin embargo, a inicios de la pandemia COVID-19, se describió un probable aumento de riesgo de contagio para el equipo de trabajo por el uso del abordaje laparoscópico, por lo que en nuestro hospital se optó por el tratamiento abierto para los pacientes con patología aguda abdominal. Consideramos relevante compartir nuestra experiencia en un centro nacional de referencia. Presentación del caso: Paciente femenino de 47 años, quien inicia cuadro clínico con dolor abdominal, náusea y vómito; con ingesta de analgésico y antibiótico. Después de migración de dolor, aumento y exacerbación del dolor abdominal, decide acudir al médico particular en donde se le realiza tomografía, la cual reportó apendicitis aguda e imágenes sugestivas de infección por SARS-CoV-2, por lo que es enviada a nuestra unidad. Se decide realizar apendicectomía abierta y es egresada a la Unidad de Cuidados Intensivos con evolución favorable. Discusión: Actualmente, el diagnóstico de apendicitis aguda en el contexto de un paciente con COVID-19 representa un reto, ya que existen síntomas que pertenecen a ambas enfermedades, por lo que consideramos relevante compartir nuestra experiencia en un hospital de tercer nivel. No se encontró relación en el estudio patológico entre la enfermedad por coronavirus y la apendicitis aguda.



INTRODUCCIóN

La apendicitis aguda es causa del dolor abdominal, se considera la más común de dolor abdominal bajo y de abdomen agudo quirúrgico, la cual puede progresar hasta perforación y peritonitis.1 Cuenta con una prevalencia de 7% en la población mundial. Su diagnóstico ha sido tradicionalmente clínico, y se ha complementado con estudios de laboratorio y de imagen.2 Por la pandemia actual, al diagnóstico se le ha implementado la realización de tomografía computada torácica (TC) como parte del protocolo de un paciente quirúrgico de urgencia, independiente del diagnóstico abdominal, para descarte de infección por COVID-19.3

La apendicectomía es el tratamiento de elección; el abordaje laparoscópico es el de elección;1 sin embargo, a inicios de la pandemia de COVID-19, se describió un probable incremento del riesgo de contagio para todo el equipo quirúrgico al usar cirugía endoscópica, por la expulsión a presión del gas intracavitario al sacar e introducir instrumental por los puertos (pese a las membranas antifuga que poseen), así como al final del procedimiento al evacuar el gas;4 se considera mayor el riesgo del uso de la laparoscopia en comparación con la cirugía abierta convencional,5 por tal motivo, se ha optado por abordaje abierto en la mayoría de los casos, siguiendo las recomendaciones de laparotomía sobre laparoscopia otorgadas por distintas sociedades quirúrgicas,6-8 a pesar de que se han realizado implementaciones como filtros o modificaciones en la succión, lo cual a futuro beneficiará el uso de la laparoscopia.9

Debido a la pandemia, nos hemos encontrado con mayor dificultad para el diagnóstico de patologías quirúrgicas abdominales, ya que la fiebre, náusea, vómito y dolor abdominal pueden ser confundidos como síntomas de COVID-1910 y, tras una revisión bibliográfica, se encontró que existen únicamente tres casos reportados del manejo de una apendicitis aguda en este contexto: uno tratado con apendicectomía laparoscópica11 y dos con manejo conservador;12,13 por lo que juzgamos relevante compartir la experiencia en el Hospital General de México "Dr. Eduardo Liceaga", el cual es un hospital de tercer nivel que se consideró como centro de atención en el país para pacientes con SARS-CoV-2.

Objetivo. Compartir la experiencia en un paciente con apendicitis aguda con el diagnóstico agregado de COVID-19 en un centro hospitalario de tercer nivel.



CASO CLíNICO

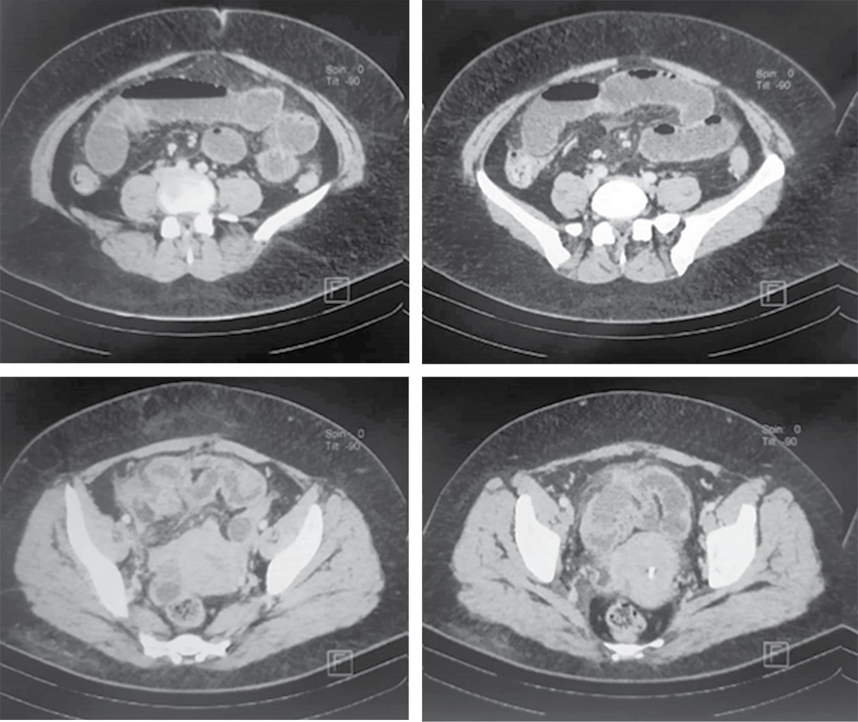
Paciente femenino de 47 años sin antecedentes no patológicos de relevancia. Tabaquismo a razón de 20 cigarros al día con índice tabáquico de 25, el cual se considera riesgo intenso para enfermedad pulmonar obstructiva crónica (EPOC); cesárea electiva hace 13 años. Inicia su padecimiento cuatro días previos a su valoración, al presentar dolor en epigastrio de intensidad 7/10 sin irradiaciones, sin desencadenantes, ni exacerbantes; acompañado de náusea y vómito en cinco ocasiones de contenido gastro-alimentario. A las 24 horas de inicio del cuadro, refiere automedicación e ingesta de butilhioscina 10 mg cada 12 horas, tras lo cual presenta leve mejoría, por lo que deja a libre evolución. A las 48 horas presenta aumento de vómitos, así como migración del dolor hacia fosa iliaca derecha, no refiere fiebre. Acude a particular a las 72 horas de inicio del cuadro, donde se administra tratamiento antibiótico con amikacina, analgésico y metoclopramida a dosis no especificadas, sin ceder el cuadro, por lo que acude a hospital particular al aumentar intensidad de dolor abdominal, en donde se le realizan estudios de laboratorio, los cuales muestran: leucocitosis de 23.3 × 10e3/μl a expensas de neutrófilos (19.48 × 10e3/μl), el resto de resultados de laboratorio sin alteraciones. Del mismo modo, al sospechar cuadro de apendicitis aguda, se solicita TC toraco-abdomino-pélvica contrastada, la cual se reporta con probable apendicitis aguda complicada con absceso localizado, así como hallazgos de broncograma aéreo y datos sugestivos de neumonía atípica por SARS-CoV-2, CO-RADS 4 (Figuras 1 y 2), por lo que deciden envío a urgencias de nuestra unidad.

Al encontrarse en triaje respiratorio de urgencia se solicita nuestra valoración. Se encontró a la paciente con frecuencia cardiaca 106 por minuto, frecuencia respiratoria 22 por minuto, saturación 88% sin oxígeno suplementario, con índice de masa corporal (IMC) de 30, presentó estertores basales bilaterales y, a la exploración física abdominal, signos apendiculares positivos, así como datos de irritación peritoneal, se solicitan estudios complementarios y se decide su ingreso a quirófano con protocolo para paciente probable COVID-19 por sospecha por TC, solicitándose dímero D (3268 ), ferritina (96), procalcitonina (0.81), deshidrogenasa láctica 164 UI/L, no se hace prueba de reacción de cadena de polimerasa (PCR) en este momento.

Se decide realizar apendicectomía abierta implementando recomendaciones internacionales y con protocolo y equipo de protección personal necesario. Se hace incisión media infraumbilical encontrando defecto aponeurótico infraumbilical de 2 × 2 cm con grasa preperitoneal en su interior. Al ingresar en cavidad, hallamos apéndice cecal de 6 × 2 × 2 cm en posición retrocecal con presencia de perforación en la unión de tercio medio con tercio distal, así como un absceso periapendicular de aproximadamente 50 ml, realizándose apendicectomía con técnica invaginante de Zuckerman y, posteriormente, lavado quirúrgico local con 500 ml de solución salina 0.9%, no se coloca drenaje y se realiza cierre de pared con surgete simple con polipropileno 1 y cierre de piel con polipropileno 3-0.

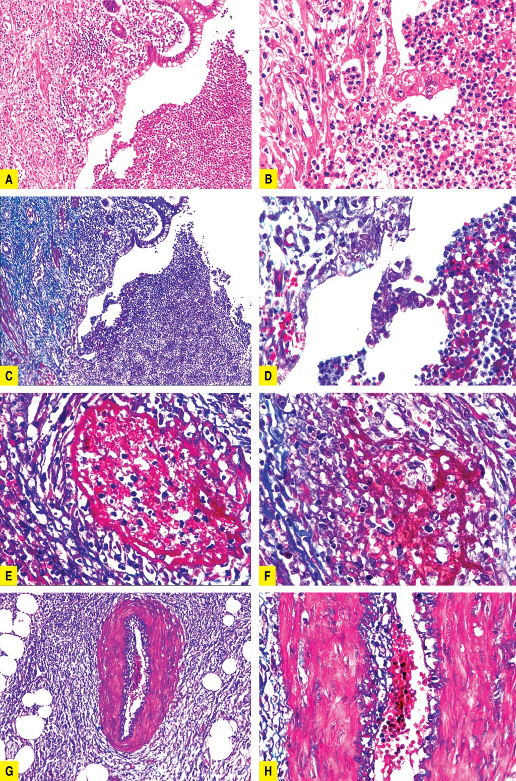
La paciente ingresa a la Unidad de Cuidados Intensivos con ventilación mecánica, en donde se hace PCR para COVID-19, la cual resulta positiva y se continúa tratamiento con doble esquema antibiótico por siete días con ceftriaxona 1 g intravenoso cada 12 horas y metronidazol 500 mg intravenosos cada 8 horas, enoxaparina 80 mg subcutáneos cada 12 horas, cloroquina 450 mg cada 24 horas y oseltamivir 75 mg cada 12 horas por cinco días, tolerando la vía enteral a través de sonda nasogástrica. Es tratada con ventilación mecánica y evolución favorable, por lo que es extubada al sexto día de ingreso y egresada al octavo día de estancia de la Unidad de Cuidados Intensivos. Se trasladó al área asignada para pacientes con COVID-19, se dio de alta a los 13 días del postquirúrgico. El estudio histopatológico reportó apendicitis aguda fibrinopurulenta perforada (Figura 3).



DISCUSIóN

En la actualidad el diagnóstico de apendicitis aguda en el contexto de un paciente con COVID-19 representa un reto, ya que existen síntomas que pertenecen a ambas enfermedades14 y a escalas diagnósticas como Alvarado, RIPASA (Raja Isteri Pengiran Anak Saleha) o AIR (Appendicitis Inflammatory Response);1 por lo que, continuando con las recomendaciones internacionales, consideramos necesario realizar un estudio de imagen en el contexto de estos pacientes, siendo la TC toracoabdominal el estudio de elección, ya que permite orientarnos hacia un diagnóstico diferencial entre ambas patologías.3 No existe evidencia en la bibliografía que compare o soporte el tratamiento conservador vs el quirúrgico, por lo que, en nuestro centro, consideramos realizar tratamiento quirúrgico con el equipo de protección necesario y abordaje de cirugía abierta sin el uso de electrocauterio, ya que no contamos con equipo necesario para el uso seguro de cirugía laparoscópica; sin embargo, no se descarta su uso seguro a futuro.15,16 No se encontró relación en el estudio patológico entre la enfermedad por coronavirus y la apendicitis aguda.


REFERENCIAS (EN ESTE ARTÍCULO)

  1. Di Saverio S, Podda M, De Simone B, et al. Diagnosis and treatment of acute appendicitis: 2020 update of the WSES Jerusalem guidelines. World J Emerg Surg. 2020; 15: 27.

  2. Di Saverio S, Birindelli A, Kelly MD, et al. WSES Jerusalem guidelines for diagnosis and treatment of acute appendicitis. World J Emerg Surg. 2016; 11: 34.

  3. Ai T, Yang Z, Hou H, et al. Correlation of chest CT and RT-PCR testing for coronavirus disease 2019 (COVID-19) in China: a report of 1014 cases. Radiology. 2020; 296: E32-E40.

  4. Alp E, Bijl D, Bleichrodt RP, Hansson B, Voss A. Surgical smoke and infection control. J Hosp Infect. 2006; 62: 1-5.

  5. Zheng MH, Boni L, Fingerhut A. Minimally invasive surgery and the novel coronavirus outbreak: lessons learned in China and Italy. Ann Surg. 2020; 272: e5-e6.

  6. American College of Surgeons. Clinical guidance for surgeons. 2020. Available at: https://www.facs.org/covid-19/clinical-guidance/surgeonprotection

  7. Royal College of Surgeons. Optimal surgical approach during the SARS-CoV-2 (COVID-19) pandemic 2020. 2020 [Updated March 29, 2020]. Available in: https://umbraco.surgeons.org/media/5136/optimalsurgical-approach-during-the-covid-19-pandemic_updated-version.pdf

  8. Society of American Gastrointestinal and Endoscopic Surgeons (SAGES) and European Association of Endoscopic Surgery (EAES). Recommendations for surgical response to COVID 19 crisis. 2020. Available in: https://www.sages.org/recommendations-surgical-response-covid-19/

  9. Mintz Y, Arezzo A, Boni L, et al. The risk of COVID-19 transmission by laparoscopic smoke may be lower than for laparotomy: a narrative review. Surg Endosc. 2020; 34: 3298-3305.

  10. Wong SH, Lui RN, Sung JJ. Covid-19 and the digestive system. J Gastroenterol Hepatol. 2020; 35: 744-748.

  11. Ngaserin SH, Koh FH, Ong BC, Chew MH. COVID-19 not detected in peritoneal fluid: a case of laparoscopic appendicectomy for acute appendicitis in a COVID-19-infected patient. Langenbecks Arch Surg. 2020; 405: 353-355.

  12. Collard M, Lakkis Z, Loriau J, et al. Antibiotics alone as an alternative to appendectomy for uncomplicated acute appendicitis in adults: changes in treatment modalities related to the COVID-19 health crisis. J Visc Surg. 2020; 157: S33-S42.

  13. Suwanwongse K, Shabarek N. Successful conservative management of acute appendicitis in a coronavirus disease 2019 (COVID-19) patient. Cureus. 2020; 12: e7834.

  14. Gornet JM, My LTM, Leleu F, Hassid D. Que doivent savoir les chirurgiens à propos des troubles digestifs et des anomalies paracliniques induits par le COVID 19? J Chir Visc. 2020; 157: S52-S59.

  15. Veziant J, Bourdel N, Slim K. Risks of viral contamination in healthcare professionals during laparoscopy in the Covid-19 pandemic. J Visc Surg. 2020; 157: S59-S62.

  16. Zago M, Uranues S, Chiarelli ME, et al. Enhancing safety of laparoscopic surgery in COVID-19 era: clinical experience with low-cost filtration devices. Eur J Trauma Emerg Surg. 2020; 1-5.



AFILIACIONES

1 Médico residente de tercer año de Cirugía General. Hospital General de México "Dr. Eduardo Liceaga". Ciudad de México, México.

2 Médico adscrito de Cirugía General. Hospital General de México "Dr. Eduardo Liceaga". Ciudad de México, México.

3 Jefe de la Unidad de Terapéutica Quirúrgica. Hospital General de México "Dr. Eduardo Liceaga". Ciudad de México, México.

4 Jefe de Servicio de Patología Quirúrgica. Hospital General de México "Dr. Eduardo Liceaga". Ciudad de México, México.

5 Médico adscrito de Cirugía General y Cirujano tratante de la paciente. Hospital General de México "Dr. Eduardo Liceaga". Ciudad de México, México.



Consideraciones y responsabilidad ética: Privacidad de los datos. De acuerdo con los protocolos establecidos en el centro de trabajo de los autores, éstos declaran que han seguido los protocolos sobre la privacidad de datos de pacientes preservando su anonimato. El consentimiento informado del paciente referido en el artículo se encuentra en poder del autor.

Financiamiento: No se recibió apoyo financiero para la realización de este trabajo.

Conflicto de intereses: Los autores declaran que no existe ningún conflicto de intereses en la realización del trabajo.



CORRESPONDENCIA

Dr. Abraham Razo Sánchez. E-mail: dr.abraham.razo@gmail.com




Recibido: 15/06/2020. Aceptado: 28/07/2020

Figura 1
Figura 2
Figura 3

2020     |     www.medigraphic.com

Mi perfil

C?MO CITAR (Vancouver)

Cir Gen. 2020;42

ARTíCULOS SIMILARES

CARGANDO ...