medigraphic.com
SPANISH

Cirujano General

ISSN 2594-1518 (Electronic)
ISSN 1405-0099 (Print)
  • Contents
  • View Archive
  • Information
    • General Information        
    • Directory
  • Publish
    • Instructions for authors        
    • Send manuscript
  • medigraphic.com
    • Home
    • Journals index            
    • Register / Login
  • Mi perfil

2020, Number 2

<< Back Next >>

Cir Gen 2020; 42 (2)

Surgical treatment of acute appendicitis in a COVID-19 positive patient at a tertiary level hospital

Razo-Sánchez, Abraham1; López-Romero, Sandra Cecilia2; González-Pérez, Luis Gabriel2; González-Calatayud, Mariel3; Gracida-Mancilla, Noé Isaías2; Montero-García, Paola Judith2; López-Zúñiga, Daniel Fernando4; Gutiérrez-Uvalle, Gabriela Elaine5
Full text How to cite this article 10.35366/95377

DOI

DOI: 10.35366/95377
URL: https://dx.doi.org/10.35366/95377

Language: English/Spanish [Versi?n en espa?ol]
References: 16
Page: 170-175
PDF size: 1144.43 Kb.


Key words:

Appendix, appendicitis, COVID-19, SARS-CoV-2.

ABSTRACT

Introduction and objective: Acute appendicitis is considered the most common cause of acute surgical abdomen. It has a prevalence of 7% in the world population; laparoscopic surgical treatment is the treatment of choice. However, at the beginning of the COVID-19 pandemic, a probable increase in the risk of contagion for the work team due to the use of the laparoscopic approach was described, for which reason our hospital opted for open treatment for patients with acute abdominal pathology. We consider it relevant to share our experience in a national reference center. Case presentation: 47-year-old female patient, who starts with a clinical picture of abdominal pain, nausea, and vomiting; she took analgesic and antibiotic drugs. After migration of pain, increase and exacerbation of abdominal pain, she decided to see a private physician who ordered CT abdominal scan that showed signs of acute appendicitis and images suggestive of infection by SARS-CoV-2, so she was sent to our unit. It was decided to perform an open appendectomy and she was discharged to the Intensive Care Unit with favorable evolution. Discussion: Currently, the diagnosis of acute appendicitis in the context of a patient with COVID-19 represents a challenge, since there are symptoms shared by both diseases, so we consider it relevant to share our experience in a tertiary-care level hospital. No relationship was found in the pathological study between coronavirus disease and acute appendicitis.



INTRODUCTION

Acute appendicitis is a cause of abdominal pain and is considered the most common cause of lower abdominal pain and acute surgical abdomen, which can progress to perforation and peritonitis.1 It has a worldwide prevalence of 7%. Its diagnosis has traditionally been clinical and has been complemented by laboratory and imaging studies.2 Due to the current pandemic, thoracic computed tomography (CT) has been implemented as part of the protocol of an emergency surgical patient, regardless of the abdominal diagnosis, to rule out COVID-19 infection.3

Appendectomy through laparoscopic approach is the treatment of choice;1 however, at the beginning of the COVID-19 pandemic, a probable increase in the risk of contagion for the entire surgical team was described with the use of endoscopic surgery, due to the pressurized expulsion of intracavitary gas when removing and introducing instruments through the ports (despite the anti-leakage membranes they have), as well as at the end of the procedure when evacuating the gas.4 The risk of using laparoscopy is considered higher than that of conventional open surgery5 and for this reason, the open approach has been chosen in most cases according to recommendations for laparotomy over laparoscopy provided by different surgical societies.6-8 Technical implementations have been made, such as filters or modifications in suction, which in the future will benefit the use of laparoscopy.9

Due to the pandemic, we have encountered greater difficulty in the diagnosis of abdominal surgical pathologies, since fever, nausea, vomiting, and abdominal pain can be confused as symptoms of COVID-1910 and, after a literature review, we found that there are only three reported cases of acute appendicitis management in this context: one treated with laparoscopic appendectomy11 and two were managed conservatively.12,13 So, we consider it was relevant to share the experience at the Hospital General de México "Dr. Eduardo Liceaga", which is a tertiary-care level hospital that was designated as a care center in the country for treating patients with SARS-CoV-2.

Objective. To share the experience in a patient with acute appendicitis with the added diagnosis of COVID-19 in a tertiary hospital center.



CLINICAL CASE

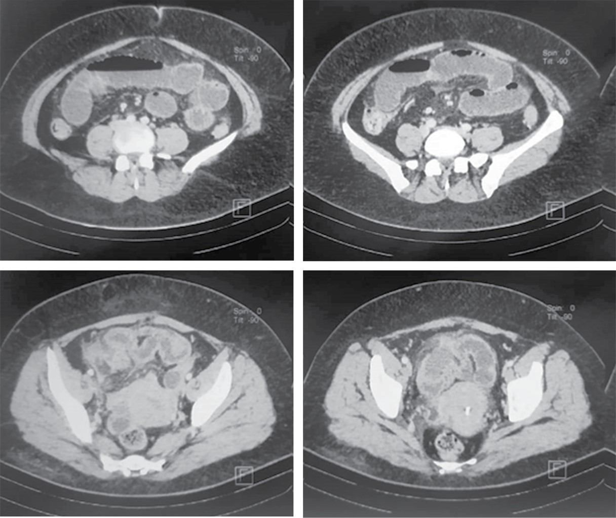
This is the case of a 47-year-old female patient with no relevant medical history. She smoked 20 cigarettes per day with a smoking index of 25, which is considered as a major risk for chronic obstructive pulmonary disease (COPD); she had an elective cesarean section 13 years ago. Her condition began four days prior to her evaluation, when she presented pain in the epigastrium of intensity 7/10 without irradiation, without triggering or exacerbating factors; it was accompanied by nausea and vomiting of food content on five occasions. Twenty-four hours after the onset of the symptoms, she reported having self-medicated with the antispasmodic drug butyl-hyoscine 10 mg every 12 hours, after which she had a slight improvement, so she was left to free evolution. 48 hours later she presented increased vomiting, as well as abdominal pain that had migrated to the right iliac fossa. She did not report having fever. She went to a private hospital 72 hours after the onset of the symptoms, where amikacin as antibiotic was administered along with an analgesic drug and metoclopramide at unspecified doses, without relieving the symptoms. At another private hospital where she was taken because of increasing intensity of abdominal pain, laboratory studies were performed that showed: a white blood cell count of 23.3 × 103/μl with a neutrophil count of (19.48 × 103/μl). The rest of the laboratory parameters were within normal range values. Once acute appendicitis was suspected, a contrasted thoraco-abdominal-pelvic CT scan was requested, which showed signs of a probable acute appendicitis complicated with a localized abscess, as well as findings of air bronchogram and data suggestive of atypical pneumonia due to SARS-CoV-2 (Figures 1 and 2), so it was decided to send her to the emergency department of our hospital unit.

When the patient was in emergency respiratory triage, surgical evaluation was requested. The patient was found with a heart rate of 106/min, respiratory rate of 22/min, capillary oxygen saturation of 88% when beathing room air, a body mass index (BMI) of 30. Bilateral basal rales were heard on lung auscultation. And she has positive appendicular signs as well as signs of peritoneal irritation on abdominal examination. Complementary lab studies were requested such as D-dimer (3,268), ferritin (96), procalcitonin (0.81), and lactate dehydrogenase 164 IU/l. A polymerase chain reaction (PCR) on pharyngeal swab was not performed at this time due to hospital budget restrictions. She was taken to the operating room at that time.

An open appendectomy implementing international recommendations and with the necessary protocol and personal protective equipment was decided. An infraumbilical median incision was made, finding an infraumbilical aponeurotic defect of 2 × 2 cm with preperitoneal fat inside. Upon entering the cavity, we found a cecal appendix measuring 6 × 2 × 2 cm in retrocecal position with the presence of perforation at the junction of the middle third with the distal third, as well as a peri-appendicular abscess of approximately 50 ml. An appendectomy with Zuckerman invaginating technique and, subsequently, local surgical lavage with 500 ml of 0.9% saline solution was performed. No external drainage was placed, and wall closure with simple continuous suture with polypropylene 1 and skin closure with polypropylene 3-0 was done.

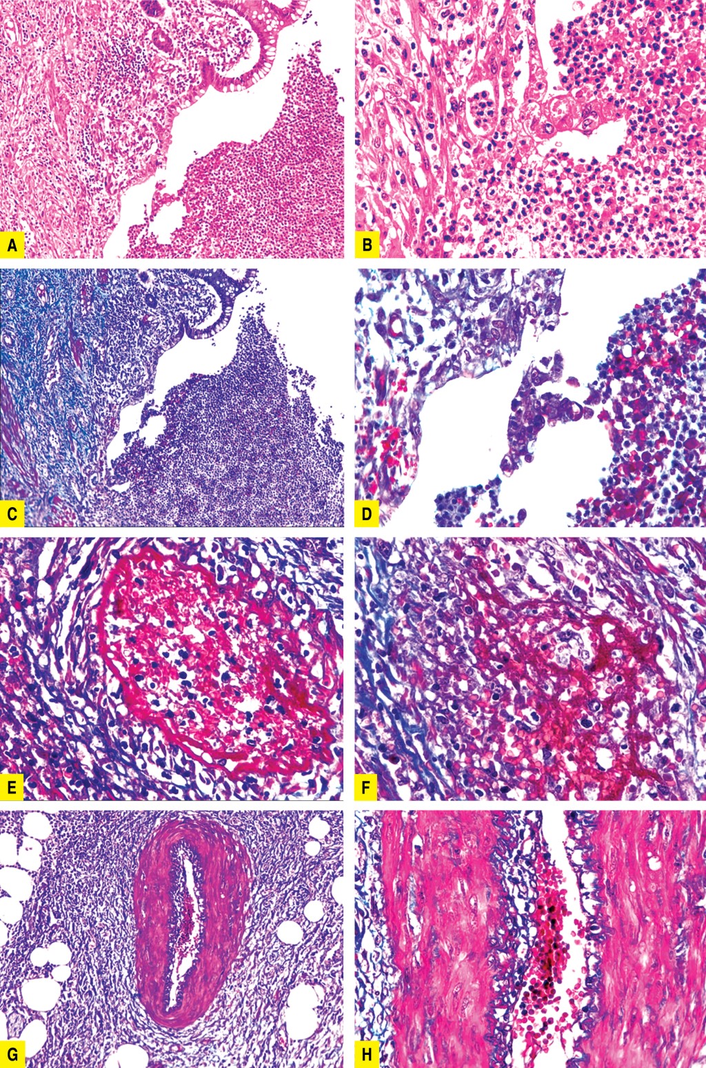
The patient was admitted to the Intensive Care Unit with mechanical ventilation, where a PCR was performed for SARS-CoV-2, which was positive, and treatment continued with a double antibiotic regimen for seven days with ceftriaxone 1 g intravenous every 12 hours and metronidazole 500 mg intravenous every 8 hours. Subcutaneous enoxaparin 80 mg every 12 hours, chloroquine 450 mg every 24 hours and oseltamivir 75 mg every 12 hours for five days. A nasogastric tube was used for enteral route. She was treated with mechanical ventilation and evolution was favorable, so she was extubated on the sixth day after admission and discharged from the Intensive Care Unit on the eighth day of hospital stay. She was transferred to the area assigned for patients with COVID-19 and was discharged 13 days after surgery. The histopathological study reported acute fibrinopurulent perforated appendicitis (Figure 3).



DISCUSSION

Currently, the diagnosis of acute appendicitis in the context of a patient with COVID-19 represents a challenge, since there are symptoms that belong to both diseases14 and to diagnostic scales such as Alvarado, RIPASA (Raja Isteri Pengiran Anak Saleha) or AIR (Appendicitis Inflammatory Response);1 therefore, according to international recommendations, we consider it necessary to perform an imaging study in these patients, with thoracoabdominal CT scan being the imaging study of choice, since it allows to guide a differential diagnosis between both pathologies.3 There is no evidence in the literature comparing or supporting conservative vs. surgical treatment. So, in our center, we consider performing surgical treatment with the necessary protective equipment and an open surgical approach without the use of electrocautery, since we do not have the necessary equipment for the safe use of laparoscopic surgery. However, with a safety equipment this will not be ruled out in the future.15,16 No relationship was found in the histopathological study between coronavirus disease and acute appendicitis.


REFERENCES

  1. Di Saverio S, Podda M, De Simone B, et al. Diagnosis and treatment of acute appendicitis: 2020 update of the WSES Jerusalem guidelines. World J Emerg Surg. 2020; 15: 27.

  2. Di Saverio S, Birindelli A, Kelly MD, et al. WSES Jerusalem guidelines for diagnosis and treatment of acute appendicitis. World J Emerg Surg. 2016; 11: 34.

  3. Ai T, Yang Z, Hou H, et al. Correlation of chest CT and RT-PCR testing for coronavirus disease 2019 (COVID-19) in China: a report of 1014 cases. Radiology. 2020; 296: E32-E40.

  4. Alp E, Bijl D, Bleichrodt RP, Hansson B, Voss A. Surgical smoke and infection control. J Hosp Infect. 2006; 62: 1-5.

  5. Zheng MH, Boni L, Fingerhut A. Minimally invasive surgery and the novel coronavirus outbreak: lessons learned in China and Italy. Ann Surg. 2020; 272: e5-e6.

  6. American College of Surgeons. Clinical guidance for surgeons. 2020. Available at: https://www.facs.org/covid-19/clinical-guidance/surgeonprotection

  7. Royal College of Surgeons. Optimal surgical approach during the SARS-CoV-2 (COVID-19) pandemic 2020. 2020 [Updated March 29, 2020]. Available in: https://umbraco.surgeons.org/media/5136/optimalsurgical-approach-during-the-covid-19-pandemic_updated-version.pdf

  8. Society of American Gastrointestinal and Endoscopic Surgeons (SAGES) and European Association of Endoscopic Surgery (EAES). Recommendations for surgical response to COVID 19 crisis. 2020. Available in: https://www.sages.org/recommendations-surgical-response-covid-19/

  9. Mintz Y, Arezzo A, Boni L, et al. The risk of COVID-19 transmission by laparoscopic smoke may be lower than for laparotomy: a narrative review. Surg Endosc. 2020; 34: 3298-3305.

  10. Wong SH, Lui RN, Sung JJ. Covid-19 and the digestive system. J Gastroenterol Hepatol. 2020; 35: 744-748.

  11. Ngaserin SH, Koh FH, Ong BC, Chew MH. COVID-19 not detected in peritoneal fluid: a case of laparoscopic appendicectomy for acute appendicitis in a COVID-19-infected patient. Langenbecks Arch Surg. 2020; 405: 353-355.

  12. Collard M, Lakkis Z, Loriau J, et al. Antibiotics alone as an alternative to appendectomy for uncomplicated acute appendicitis in adults: changes in treatment modalities related to the COVID-19 health crisis. J Visc Surg. 2020; 157: S33-S42.

  13. Suwanwongse K, Shabarek N. Successful conservative management of acute appendicitis in a coronavirus disease 2019 (COVID-19) patient. Cureus. 2020; 12: e7834.

  14. Gornet JM, My LTM, Leleu F, Hassid D. Que doivent savoir les chirurgiens à propos des troubles digestifs et des anomalies paracliniques induits par le COVID 19? J Chir Visc. 2020; 157: S52-S59.

  15. Veziant J, Bourdel N, Slim K. Risks of viral contamination in healthcare professionals during laparoscopy in the Covid-19 pandemic. J Visc Surg. 2020; 157: S59-S62.

  16. Zago M, Uranues S, Chiarelli ME, et al. Enhancing safety of laparoscopic surgery in COVID-19 era: clinical experience with low-cost filtration devices. Eur J Trauma Emerg Surg. 2020; 1-5.



AFFILIATIONS

1 Third year resident physician of general surgery. General Hospital of Mexico "Dr. Eduardo Liceaga". Mexico City, Mexico.

2 Physician assigned to General Surgery. General Hospital of Mexico "Dr. Eduardo Liceaga". Mexico City, Mexico.

3 Head of the Surgical Therapeutics Unit. General Hospital of Mexico "Dr. Eduardo Liceaga". Mexico City, Mexico.

4 Chief of Surgical Pathology Service. General Hospital of Mexico "Dr. Eduardo Liceaga". Mexico City, Mexico.

5 General Surgery Attending Physician and Surgeon treating the patient. General Hospital of Mexico "Dr. Eduardo Liceaga". Mexico City, Mexico.



Ethical considerations and responsibility: Data privacy. In accordance with the protocols established at the authors\' work center, the authors declare that they have followed the protocols on patient data privacy while preserving their anonymity. The informed consent of the patient referred to in the article is in the possession of the author.

Funding: No financial support was received for this work.

Disclosure: The authors declare that there is no conflict of interest in carrying out this work.



CORRESPONDENCE

Abraham Razo-Sánchez, MD. E-mail: dr.abraham.razo@gmail.com




Received: 06/15/2020. Accepted: 07/28/2020

Figure 1
Figure 2
Figure 3

2020     |     www.medigraphic.com

Mi perfil

C?MO CITAR (Vancouver)

Cir Gen. 2020;42