medigraphic.com
ENGLISH

Revista Mexicana de Cirugía Bucal y Maxilofacial

ISSN 2007-3178 (Impreso)
Asociación Mexicana de Cirugía Bucal y Maxilofacial, Colegio Mexicano de Cirugía Bucal y Maxilofacial, A.C.
  • Mostrar índice
  • Números disponibles
  • Información
    • Información general        
    • Directorio
  • Publicar
    • Instrucciones para autores        
    • Envío de artículos
  • medigraphic.com
    • Inicio
    • Índice de revistas            
    • Registro / Acceso
  • Mi perfil

2020, Número 2-3

<< Anterior Siguiente >>

Rev Mex Cir Bucal Maxilofac 2020; 16 (2-3)


Xantoma central mandibular. Presentación de un caso, seguimiento a 2 años

Hernández Villa, Saúl David1; Cortés Hernández, Sergio2; López Saucedo, Francisco2; Aldape Barrios, Beatriz Catalina3
Texto completo Cómo citar este artículo 10.35366/97709

DOI

DOI: 10.35366/97709
URL: https://dx.doi.org/10.35366/97709
Artículos similares

Idioma: Español
Referencias bibliográficas: 21
Paginas: 110-117
Archivo PDF: 432.85 Kb.


PALABRAS CLAVE

Xantoma, xantoma mandibular intraóseo, histiocitos espumosos, procesos histiocíticos no derivados de células de Langerhans.

RESUMEN

El objetivo de este artículo es reportar los hallazgos clínicos, radiográficos, tomográficos e histológicos acerca del caso clínico de una paciente de 35 años de edad quien es referida a nuestro centro debido a la presencia de una lesión de comportamiento y características clínicas inespecíficas en cuerpo y rama mandibular del lado derecho. Como tratamiento inicial se decidió realizar biopsia prequirúrgica, ya que los reportes histopatológicos previos no eran concluyentes para determinar el origen de la lesión. Finalmente al obtener resultado histopatológico se determina qué lesión corresponde a un xantoma central mandibular. Se procede a realizar tratamiento quirúrgico mediante resección en bloque de cuerpo y rama mandibular del lado derecho, y su reconstrucción inmediata a través de la colocación de placa de reconstrucción con aditamento condilar. Posterior al resultado histopatológico final, y obteniendo márgenes libres de lesión, se procede a realizar terapéutica reconstructiva funcional mediante la elaboración de prótesis maxilofacial mandibular, puesto que la paciente no acepta alternativa quirúrgica de tratamiento mediante injerto autólogo (TAI) por el riesgo y morbilidad quirúrgica asociada a procedimiento quirúrgico. De acuerdo con la literatura actual, los xantomas centrales de los maxilares no asociados con alteraciones endocrinas o metabólicas subyacentes son lesiones óseas benignas extremadamente raras. Al momento, en la literatura mundial, sólo se han reportado menos de 10 casos de xantoma en la mandíbula. Actualmente la paciente cuenta con un seguimiento a dos años, sin datos clínicos ni tomográficos de recidiva de la lesión, con resultados estéticos y funcionales aceptables.



INTRODUCCIóN

Los xantomas son lesiones benignas de tejido blando, los cuales con frecuencia se presentan posterior a un trauma o fricción, apareciendo comúnmente sobre superficies de la piel, tejido celular subcutáneo, y tendones.1,2

La formación de xantomas ocurre de manera más frecuente en los pacientes con enfermedades endocrinas y metabólicas.3

La palabra xantoma es derivado del griego Xantho’s, que significa amarillo y está relacionada con el metabolismo alterado de los lípidos y la posterior acumulación de pigmento amarillo en piel y otros órganos.3

Las enfermedades histiocíticas se han dividido en enfermedades histiocíticas relacionadas con células de Langerhans (HCL) y procesos histiocíticos no relacionados con células de Langerhans.4

El xantoma es un proceso histiocítico no relacionado con células de Langerhans, caracterizado, microscópicamente por la presencia de macrófagos que contienen en su interior lípidos o células espumosas.4

Harsanyi BB4 fue el primero en describir siete lesiones mandibulares, las cuales estaban caracterizadas principalmente por células xánticas (células espumosas), envueltas dentro de un estroma fibroso, estas lesiones estaban presentes en un rango de edad que oscilaba desde un año hasta 72 años de edad, obteniendo una media de edad de 25.4 años.

Ninguno de estos pacientes presentó alguna enfermedad relacionada con el almacenamiento de glicógeno, y todas las lesiones sólo involucraban la mandíbula, en todos los casos la lesión persistió a la terapéutica quirúrgica conservadora, observándose una destrucción ósea, progresiva y de crecimiento lento.4

Rudy HN5 reportó un xantogranuloma en una paciente de 49 años de edad, con diabetes mellitus II descontrolada, el cual se encontraba en la región de cuerpo y rama mandibular del lado derecho, considerando a esta lesión como única entidad patológica asociada.5

Slootweg PJ6 describió una lesión xantomatosa mandibular en un paciente de 49 años de edad, descartando histiocitoma fibroso benigno y fibroma no osificante debido a la formación de hueso en esta lesión, lo que se interpretó como una lesión reactiva inflamatoria.6

La patogénesis de los xantomas consiste en la fuga de lípidos desde los vasos sanguíneos hacia el sitio de la lesión, con la subsecuente fagocitosis de este material por macrófagos, los restos de colesterol no degradados son almacenados en el citoplasma, lo que les confiere el aspecto de células espumosas, se piensa que los xantomas pueden ser desencadenados por eventos traumáticos menores.7

De manera particular, en el desarrollo de las lesiones óseas primarias como los xantomas pueden aparecer precedentes a una lesión preexistente tales como quiste óseo simple, quiste óseo aneurismático o displasia fibrosa.8

El xantoma intraóseo mandibular en diferentes reportes de caso indica que puede aparecer en cualquier rango de edad; sin embargo, se ha observado que aparece de manera infrecuente en la población pediátrica.3,4,8

La mayoría de los casos han sido reportados entre la tercera y quinta década de la vida, se ha observado un predominio en una relación 2:1 para el sexo masculino, esta lesión se manifiesta en la mayoría de las ocasiones como una lesión solitaria, y ocurre con mayor frecuencia en las manos y en los huesos planos.9,10

En la literatura en inglés sólo se han reportado 17 casos que involucran el esqueleto maxilofacial, específicamente en la región temporal.2

Los xantomas de los maxilares han sido bastante difíciles de cuantificar, puesto que son lesiones sin un claro y definido patrón histológico; sin embargo, hasta el momento, sólo se han presentado 10 casos de xantoma intraóseo primario en el hueso mandibular.3,6,11

Aunque la sintomatología dolorosa en los xantomas extragnáticos está asociada en 60% de los casos, ésta rara vez se presenta en los xantomas de los maxilares.12

Los xantomas de la región craneofacial en promedio son de tamaño reducido, particularmente en relación con los xantomas de hueso mandibular, según los reportes el tamaño varía desde 1 cm de diámetro hasta 4 cm en promedio de longitud.3,6,11

Esta lesión se caracteriza por presentar expansión de corticales, observándose un proceso osteolítico que puede asemejarse a un proceso maligno. La tomografía computarizada muestra una pérdida en el patrón de trabeculado normal dentro de la cavidad medular, y la lesión puede mostrar una elevación en la densidad mayor que la que se observa en la médula ósea del hueso normal.9,13

Histopatológicamente, se aprecian células histiocíticas y macrófagos con contenido lipídico o células espumosas en un citoplasma granular, de manera ocasional se observan células gigantes multinucleadas en un estroma de tejido conectivo fibroso, también pueden detectarse de manera ocasional cristales de colesterol dentro de la lesión.4,11

Las tinciones de inmunohistoquímica se utilizan para diferenciar los macrófagos o procesos histiocíticos no derivados de células de Langerhans de los procesos histiocíticos derivados de células de Langerhans. Los xantomas presentan fuerte tinción para el inmunomarcador CD68 y son completamente negativos para S-100 y CD1a.4,11

Dentro del diagnóstico diferencial histopatológico siempre se deben tener en cuenta diversas lesiones óseas que muestren la presencia de células xantomatosas, dentro de las cuales se encuentran el fibroma no osificante (FNO), y el histiocitoma fibroso benigno (HFB). Histológicamente estas dos lesiones antes mencionadas son indistinguibles, por lo que el diagnóstico está basado principalmente en las características clínicas y radiológicas de la lesión.14

Histológicamente el FNO y el HFB muestran células fusiformes con presencia de histiocitos espumosos y células gigantes multinucleadas en un tejido conectivo con patrón estoriforme, lo que diferencia a estas dos lesiones del xantoma.15

Tanto el fibroma no osificante como el histiocitoma fibroso benigno muestran inmunorreactividad para el inmunomarcador CD68.16

El diagnóstico diferencial microscópico incluye otras lesiones óseas que producen múltiples o solitarias alteraciones xantomatosas, por lo que debe sospecharse también de condiciones xantomatosas que por lo regular sugieren la presencia de lesiones óseas multifocales como la enfermedad de Rosai-Dorfman, la enfermedad Erdheim-Chester y la enfermedad de Gaucher.

La enfermedad de Rosai-Dorfman implica la presencia de linfonodos en el cuerpo, con una inmunopositividad para la tinción CD68 y S-100.17

La enfermedad de Erdheim-Chester muestra inmunopositividad para CD68 y se muestra negativa para CD 1 y S-100, al igual que el xantoma central. Clínicamente aparece de manera bilateral y de forma simétrica en los huesos largos. La enfermedad de Gaucher es la que evidencia de manera más frecuente enfermedad de almacenamiento lisosomal, pudiendo afectar en algunas ocasiones los huesos de los maxilares.18

En la enfermedad de Gaucher la mutación genética causa la acumulación de lípidos en diferentes órganos, incluyendo el tejido óseo.18

El examen histopatológico en estas entidades revela células reticuloendoteliales vacuoladas cargadas de lípidos, también llamadas células de Gaucher, envueltas en tejido conectivo, en su interior se observa la presencia de citoplasma granular.18

Por lo que de manera obligatoria, ante la presencia de estas lesiones, se deben estudiar enfermedades sistémicas de almacenamiento lipídico como DM II e hiperlipidemia tipo II y III, con la finalidad de realizar un adecuado diagnóstico diferencial.11

El tratamiento quirúrgico del xantoma intraóseo primario de la mandíbula está enfocado en la escisión completa de la lesión, dentro de las opciones quirúrgicas descritas se encuentra el curetaje de la lesión, que muestra un adecuado pronóstico y excelentes resultados a largo plazo. Por otra parte, se ha reportado en algunas ocasiones, cuando la lesión alcanza gran tamaño, la modalidad de resección marginal mandibular, obteniendo de igual manera excelentes resultados.2,3,19

Cuando se realiza el tratamiento de escisión total de la lesión por curetaje, hasta el momento no se han descrito casos de recurrencia.20

Por otra parte, en relación con el xantoma mandibular no existen reportes que indiquen la desaparición espontánea de la lesión sin tratamiento quirúrgico.20

Los tratamientos a base de escisión radical, quimioterapia y radioterapia han sido rechazados debido a que esta lesión no es una lesión neoplásica, ya que presenta un débil efecto terapéutico en esta lesión.19



PRESENTACIóN DEL CASO

La paciente inicia padecimiento en el mes de junio de 2012 cuando al bostezar refiere dolor intenso en región de la ATM del lado derecho, por lo que acude a facultativo particular, quien realiza extracción de terceros molares sin complicaciones, posteriormente en el mes de agosto de 2012 inicia tratamiento de ortodoncia por dolor de ATM crónico, concluyendo dicho tratamiento en abril de 2015. Sin embargo, al finalizar tratamiento de ortodoncia, refiere continuar con sintomatología dolorosa aguda en ATM de predominio del lado derecho, por lo que decide acudir a facultativo, quien indica tratamiento a base de antiinflamatorios; sin embargo, durante agosto de 2015 continúa con evolución desfavorable, decidiendo acudir a médico homeópata, quien solicita estudio de imagen y por hallazgo radiológico observa lesión en cuerpo y rama mandibular de lado derecho, enviando a cirujano maxilofacial particular en noviembre de 2015, quien realiza biopsia incisional, y al no obtener un diagnóstico concluyente por reporte de histopatología, decide referir a seguridad social, iniciando protocolo correspondiente en nuestra unidad.

Características imagenológicas del caso

En la tomografía computarizada simple en cortes axiales, coronales y sagitales y reconstrucciones multiplanares en tercera dimensión se observa lesión osteolítica expansiva con infiltración en la totalidad en el cuerpo, rama mandibular, cóndilo y apófisis coronoides del lado derecho, heterogénea de bordes mal delimitados con efecto de volumen en la región (Figura 1).

Tratamiento

Previo protocolo de asepsia y antisepsia y posterior colocación de campos estériles, entra paciente a sala en decúbito dorsal, bajo anestesia general balanceada por intubación orotraqueal se procede a realizar infiltración en región submandibular derecha, a base de lidocaína al 2% con epinefrina al 1 × 100,000 con fines hemostáticos y de hidrosección, se inicia abordaje submandibular derecho tipo Risdon con extensión a región submentoniana para después efectuar disección por planos hasta encontrar plano óseo, se realiza marcaje de osteotomía determinando 1 cm de margen libre de lesión a nivel de segundo premolar inferior derecho, posteriormente se efectúa disección de elementos vasculares y nerviosos de la región mandibular para efectuar resección en bloque de cuerpo y rama mandibular del lado derecho. Por último se procede a colocar y adaptar placa de reconstrucción sistema 2.4, con aditamento condilar derecho, previamente conformada con estudio de estereolitografía, se fijan tres tornillos bicorticales sistema 2.4 en borde basal mandibular, posteriormente al observar adecuada estabilidad, se procede a cierre por planos y posterior cierre de piel con sutura subdérmica, concluyendo procedimiento quirúrgico sin complicaciones (Figuras 2 y 3).

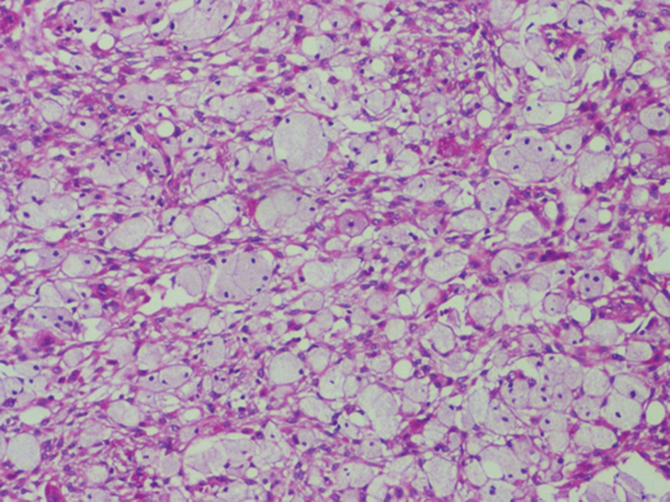
Histopatología

El espécimen está constituido por células xánticas dispuestas en grupos así como células histiocíticas dispuestas en remolinos en un estroma de tejido conectivo fibroso bien vascularizado, con presencia de infiltrado inflamatorio crónico (Figura 4).

Postoperatorio

Al séptimo día postoperatorio se revisa a la paciente, se detecta edema moderado de la región facial derecha, la cual presenta moderada asimetría en la región submandibular derecha, se aprecia herida quirúrgica con adecuado proceso de cicatrización, sin datos de dehiscencia ni datos de proceso infeccioso local activo.

Se realizan controles postoperatorios a las seis, 12 y 24 meses, observando adecuada tonicidad musculatura facial sin evidencia de paresia clínicamente evidente, intraoralmente se aprecian tejidos blandos con adecuada forma, superficie y coloración de tejidos blandos en zona de proceso alveolar residual mandibular derecho, sin datos clínicos ni tomográficos de recidiva, conservando adecuada función masticatoria.

Se envió a la paciente para la elaboración de prótesis maxilofacial mandibular, puesto que no acepta alternativa quirúrgica de tratamiento mediante TAI autólogo por el riesgo y morbilidad quirúrgica asociada con procedimiento quirúrgico. Actualmente cuenta con seguimiento a un año, cumpliendo de manera adecuada sus funciones esenciales tales como la fonación, masticación y una adecuada tonicidad de tejidos blandos, observando adecuada simetría facial así como la presencia de una cicatriz con resultados estéticos aceptables, ya que esta situación es parte fundamental en la rehabilitación de estos pacientes sometidos a procedimientos quirúrgicos extensos (Figura 5).



DISCUSIóN

La literatura médica cuenta con un amplio registro de reportes de lesiones xantomatosas en piel y tendones, los cuales están asociados por lo regular con enfermedades metabólicas, enfermedades de almacenamiento de lípidos así como con cuadros de hiperlipidemia tipo II y III. Los xantomas primarios intraóseos de los maxilares son extremadamente raros, en especial en lesiones intraóseas, con presencia de macrófagos con alto contenido de lípidos, en pacientes sin alteraciones lipídicas. Existe controversia con respecto a si el xantoma es un proceso reactivo o un proceso neoplásico benigno. Daley T20 en su artículo concluye que esta lesión debe ser considerada como una entidad histopatológica única. Existen diferentes teorías con respecto a la patogénesis del xantoma, una de ellas sugiere que la fuga de lípidos de los vasos sanguíneos después de un trauma local o una hemorragia hace que los macrófagos acumulen lípidos dentro de los macrófagos, formando las células que histológicamente son conocidas como células espumosas así como la formación extracelular de cristales de colesterol dentro de los espacios subyacentes. Se piensa que los cristales de colesterol inducen una reacción inflamatoria formando células gigantes multinucleadas, las cuales ocasionan un proceso de fibrosis.

Dahlin DC21 propone que esta lesión se forma secundaria a un proceso patológico preexistente, el cual puede ser desde una displasia fibrosa, un quiste óseo aneurismático, una cavidad ósea idiopática, tumor de células gigantes, o un tumor pardo del hiperparatiroidismo. Otra teoría sugiere que las células xánticas provienen de la transformación de células mesenquimales indiferenciadas, lo cual se cree está condicionado por la presencia de factores lipotróficos en la sangre en pacientes con condiciones autoinmunes preexistentes. Una vez realizado el diagnóstico histopatológico de xantoma intraóseo, se debe establecer un protocolo de estudio completo que incluye biometría hemática completa, química sanguínea, perfil completo de lípidos, amilasa y la determinación de hemoglobina glicada para descartar enfermedad metabólica y endocrina subyacente. Cuando la lesión es secundaria a un padecimiento de hiperlipidemia, de primera instancia debe ser sometido a una restricción dietética. En algunas ocasiones se ha reportado que esta lesión desaparece una vez que es controlado el cuadro de hiperlipidemia.19



CONCLUSIóN

El protocolo de tratamiento descrito en la literatura actual para el xantoma central de los maxilares se enfoca principalmente en la realización de tratamientos quirúrgicos conservadores, ya que hasta el momento no existen reportes de recidiva con este tipo de modalidad de tratamiento. Sin embargo, en nuestro caso en particular se decidió optar por un tratamiento quirúrgico radical, debido a que se tomaron en cuenta características como el tamaño y el grado de expansión los tejidos óseos adyacentes a la lesión, observando hasta el momento resultados favorables.

Actualmente la paciente cuenta con un seguimiento a un año, sin detectar ningún tipo de recidiva, clínica o tomográfica. Por otra parte, la opción de reconstrucción inmediata con placa de reconstrucción y aditamento condilar, así como su posterior rehabilitación mediante prótesis maxilofacial, cumple con las expectativas estéticas y funcionales necesarias para la realización de sus funciones esenciales. Con el reporte de este caso se pretende motivar a diversos autores a publicar sus experiencias quirúrgicas de tratamiento con respecto a este tipo de lesiones que hasta el momento son extremadamente raras en los huesos maxilares.


REFERENCIAS (EN ESTE ARTÍCULO)

  1. Huang GS, Huang CW, Lee CW. Xanthoma of the sacrum. Skeletal Radiol. 2004; 33: 674-678.

  2. Muthusamy KA, Azmi K, Narayanan P. Bilateral temporal bone xanthoma: case report. J Neurosurg. 2008; 108: 361-364.

  3. Marques Mateo M, Puche Torres M, Miragall Alba L. Primary mandibular bone xanthoma: a case report. Int J Oral Maxillofac Surg. 2004; 33: 86-87.

  4. Harsanyi BB, Larsson A. Xanthomatous lesions of the mandible: osseous expression of non-X histiocytosis and benign fibrous histiocytoma. Oral Surg Oral Med Oral Pathol. 1988; 65: 551-566.

  5. Rudy HN, Scheingold SS. Solitary xanthogranuloma of the mandible. Report of a case. Oral Surg Oral Med Oral Pathol. 1964; 18: 262-271.

  6. Slootweg PJ, Swart GN, van Kaam N. Xanthomatous lesion of the mandible. Report of a case. Int J Oral Maxillofac Surg. 1993; 22: 236-237.

  7. Bonhomme GR, Loevner LA, Yen DM, Deems DA, Bigelow DC, Mirza N. Extensive intracranial xanthoma associated with type II hyperlipidemia. AJNR Am J Neuroradiol. 2000; 21: 353-355.

  8. Mosby EL, Albright JE, Messer EJ, Nealis MF, Werning JT. Case 44, Part II: xanthoma of the mandible. J Oral Maxillofac Surg. 1983; 41: 268-270.

  9. Inserra S, Einhorn TA, Vigorita VJ, Smith AG. Intraosseous xanthoma associated with hyperlipoproteinemia: a case report. Clin Orthop Relat Res. 1984; 187: 218-222.

  10. Alden KJ, McCarthy EF, Weber KL. Xanthoma of bone: a report of three cases and review of the literature. Iowa Orthop J. 2008; 28: 58-64.

  11. de Moraes Ramos-Perez FM, de Pádua JM, Silva-Sousa YT, de Almeida OP, da Cruz Perez DE. Primary xanthoma of the mandible. Dentomaxillofac Radiol. 2011; 40: 393-396.

  12. Bertoni F, Unni KK, McLeod RA, Sim FH. Xanthoma of bone. Am J Clin Pathol. 1988; 99: 377-384.

  13. Fink IJ, Lee MA, Gregg RE. Radiographic and CT appearance of intraosseous xanthoma mimicking a malignant lesion. Br J Radiol. 1985; 58: 262-264.

  14. Kyriakos M. Benign fibrous histiocytoma of bone. In: Fletcher CDM, Unni KK, Mertens F. World health organization classification of tumours. Pathology and genetics of tumours of soft tissue and bone. Lyon: IARC Press; 2002. pp. 292-293.

  15. Betsy M, Kupersmith LM, Springfield DS. Metaphyseal fibrous defects. J Am Acad Orthop Surg. 2004; 12: 89-95.

  16. Akbulut S, Zulfu A, Basbug M. Benign fibrous histiocytoma arising from the right shoulder: is immunohistochemical staining always required for a definitive diagnosis? Int Surg Case Rep. 2012; 3: 287-289.

  17. Pradhananga RB, Dangol K, Shrestha A, Baskota DK. Sinus histiocytosis with massive lymphadenopathy (Rosai-Dorfman disease): a case report and literature review. Int Arch Otorhinolaryngol. 2014; 18: 406-408.

  18. Ahmadieh A, Farnad F, Sedghizadeh PP. Gaucher disease with jawbone involvement: a case report. J Med Case Rep. 2014; 8: 360.

  19. Huang CF, Cheng SN, Hung CH. Xanthoma of bone in the normolipidic child: report of one case. Acta Paediatr Taiwan. 2000; 41: 158-160.

  20. Daley T, Dunn G, Darling M. Central xanthoma of the jaws: a clinicopathologic entity? Oral Surg Oral Med Oral Pathol Oral Radiol. 2015; 119: 92-100.

  21. Dahlin DC. Bone tumors. 2nd ed. Springfield: Charles C Thomas; 1967. p. 97.



AFILIACIONES

1 Residente de cuarto año de la Especialidad de Cirugía Oral y Maxilofacial del Centro Médico Nacional La Raza. Ciudad de México, México.

2 Adscrito al Servicio de Cirugía Oral y Maxilofacial del Hospital de Especialidades Centro Médico Nacional La Raza. Ciudad de México, México.

3 Profesora de tiempo completo B de la Facultad de Odontología, UNAM. Ciudad de México, México.



Conflicto de intereses: No hay conflicto de intereses.



CORRESPONDENCIA

Saúl David Hernández Villa. Seris S/N, Col. La Raza, 02990, Alcaldía Gustavo A. Madero, Ciudad de México, México. E-mail: drsaulhdezv@gmail.com


Figura 1
Figura 2
Figura 3
Figura 4
Figura 5

2020     |     www.medigraphic.com

Mi perfil

C?MO CITAR (Vancouver)

Rev Mex Cir Bucal Maxilofac. 2020;16

ARTíCULOS SIMILARES

CARGANDO ...