medigraphic.com
ENGLISH

Revista Odontológica Mexicana Órgano Oficial de la Facultad de Odontología UNAM

ISSN 1870-199X (Impreso)
Órgano oficial de la Facultad de Odontología, UNAM
  • Mostrar índice
  • Números disponibles
  • Información
    • Información general        
    • Directorio
  • Publicar
    • Instrucciones para autores        
  • medigraphic.com
    • Inicio
    • Índice de revistas            
    • Registro / Acceso
  • Mi perfil

2020, Número 2

<< Anterior Siguiente >>

Rev Odont Mex 2020; 24 (2)


Técnica de injerto gingival libre mínimamente invasivo previo a tratamiento ortodóncico: reporte de caso

Peniche-Palma DC, Carrillo-Ávila BA, Sauri-Esquivel E, Herrera-Atoche JR, Martínez-Aguilar VM
Texto completo Cómo citar este artículo Artículos similares

Idioma: Ingles.
Referencias bibliográficas: 23
Paginas: 152-156
Archivo PDF: 160.41 Kb.


PALABRAS CLAVE

Recesión gingival, procedimientos quirúrgicos orales, periodoncia, injerto gingival libre estética mínimamente invasivo.

RESUMEN

Introducción: Una recesión gingival (RG) es una afección en la que la encía se desplaza apical a la unión cemento-esmalte, provocando exposición de la superficie radicular. Un fenotipo gingival delgado se puede asociar a GR, especialmente cuando se expone a movimientos de ortodoncia. Para solucionar esta patología se han propuesto varias técnicas mucogingivales. Los injertos gingivales libres tomados del paladar son el estándar de oro; sin embargo, se relacionan con malos resultados estéticos y complicaciones postoperatorias. Para reducir esas desventajas se propone una técnica de "Injerto Gingival Libre Estético Mínimamente Invasivo" (MIEFGG), que consiste en colocar un sitio donante en la cara bucal de los molares superiores para modificar el fenotipo o recuperar la inserción en el sitio receptor. Objetivo: Describir una nueva técnica de injerto, utilizada en cirugía mucogingival, que es a la vez estética y mínimamente invasiva. Material y métodos: Paciente de sexo femenino de 24 años que solicitó una evaluación periodontal previa al tratamiento de ortodoncia. Diagnóstico: RT3 de Cairo junto con fenotipo delgado, movilidad tipo II y extrusión asociada a los dientes 4.1 y 4.2. Plan de tratamiento: engrosar el fenotipo gingival que rodea a los dientes 4.1 y 4.2 antes de la terapia de ortodoncia. Dado que el paciente expresó preocupaciones estéticas, se eligió la técnica MIEFGG. Resultados: Se realizaron seguimientos posquirúrgicos a los 7, 14, 30 y 150 días. Tanto el ancho como la altura de la encía queratinizada alrededor de los dientes 4.1 y 4.2 aumentaron en 1 mm. El resultado estético fue satisfactorio, según la paciente. No se informaron complicaciones ni dolor posoperatorio. Conclusión: MIEFGG es una técnica que presenta buenos resultados en cuanto a aumento gingival, pocas molestias para el paciente y resultados estéticos. En cuanto al caso clínico aquí presentado, se lograron esas ventajas. Sin embargo, se necesita más investigación para probar su efectividad.


REFERENCIAS (EN ESTE ARTÍCULO)

  1. Jain S, Kaur H, Aggarwal R. Classification systems of gingival recession: an update. Indian J Dent Sci. 2017; 9 (1): 52-59.

  2. Pa H, Ritchie M, Asuni A, Gavillet E, Janne LS, Gingival NB et al. Gingival recession and root caries in the ageing population: a critical evaluation of treatments. J Clin Periodontol. 2017; 44 (18): 178-193.

  3. Morris JW, Campbell PM, Tadlock LP, Boley J, Buschang PH. Prevalence of gingival recession after orthodontic tooth movements. Am J Orthod Dentofac Orthop. 2017; 151 (5): 851-859.

  4. Cairo F, Nieri M, Cincinelli S, Mervelt J, Pagliaro U. The interproximal clinical attachment level to classify gingival recessions and predict root coverage outcomes: an explorative and reliability study. J Clin Periodontol. 2011; 38 (7): 661-666.

  5. Kim D, Bassir S, Nguyen T. Effect of gingival phenotype on the maintenance of periodontal health: an American Academy of Periodontology best evidence review. J Periodontol. 2020;91(3):311–38.

  6. Rodríguez YC, Pomarino SG. Orthodontic dental movement and its association with the presence of gingival recession. Rev Odontológica Mex. 2017; 21 (1): 8-11.

  7. Camargo PM, Melnick PR, Kenney EB. The use of free gingival grafts for aesthetic purposes. Periodontol 2000. 2001; 27: 72-96.

  8. Caffesse R, Guinard E. Treatment of localized gingival recessions part ii. coronally repositioned flap with a free gingival graft. J Periodontol. 1978; 49 (7): 357-361.

  9. Khanuja PK, Sharma RK, Tewari S, Narula SC. Clinical evaluation of the marginal gingiva as a donor tissue to augment the width of keratinized gingiva : Series of 2 cases with 3-year follow-up. Contemp Clin Dent. 2015; 6 (1): 1-9.

  10. Jenabian N, Bahabadi MY, Bijani A, Rad MR. Gingival unit graft versus free gingival graft for treatment of gingival recession: a randomized controlled clinical trial. J Dent. 2016; 13 (3).

  11. Yildiz MS, Gunpinar S. Free gingival graft adjunct with low-level laser therapy: a randomized placebo-controlled parallel group study. Clin Oral Investig. 2019; 23 (4): 1845-1854.

  12. Wessel J, DN T. Patient outcomes following subepithelial connective tissue graft and free gingival graft procedures. J Periodontol. 2008; 79 (3): 425-430.

  13. Sullivan H, Atkins J. Free autogenous gingival grafts. I. Principles of successful grafting. Periodontics. 1968; 6 (3): 121-129.

  14. Harrison JS, Conlan MJ, Deas DE. An alternative donor site for an epithelialized-free soft-tissue autograft. Compend Contin Educ Dent. 2011; 32 (2): e29-31.

  15. Shah HK, Shrestha S, Sharma S, Acharya P. Operculum from erupting third molar: an alternative donor site for an epithelialised-free soft-tissue autograft case report. J Nepal Soc Periodontol Oral Implantol. 2019; 3 (6): 75-77.

  16. Windisch P, Molnár B. Harvesting of autogenous grafts for gingival recession coverage. Clin Dent Rev. 2019; 3 (17): 1-9.

  17. Del Pizzo M, Modica F, Bethaz N, Priotto P, Romagnoli R. The connective tissue graft: a comparative clinical evaluation of wound healing at the palatal donor site. J Clin Periodontol. 2002; 29 (9): 848-854.

  18. Griffin T, Cheung W, Zavras A, Damoulis P. Postoperative complications following gingival augmentation procedures. J Periodontol. 2006; 77 (12): 2070-2079.

  19. Bertl K, Pifl M, Hirtler L, Rendl B, Nürnberger S, Stavropoulos A et al. Relative composition of fibrous connective and fatty/glandular tissue in connective tissue grafts depends on the harvesting technique but not the donor site of the hard palate. J Periodontol. 2015; 86 (12): 1331-1339.

  20. Azar E, Rojas M, Patricia M, Carranza N. Histologic and histomorphometric analyses of de-epithelialized free gingival graft in humans. Int J Periodontics Restor Dent. 2019; 39 (2): 221-226.

  21. Roccuzzo M, Bunino M, Needleman I, Sanz M. Periodontal plastic surgery for treatment of localized gingival recessions: a systematic review. J Clin Periodontol. 2002; 29 (3): 178-194.

  22. Goyal L, Gupta ND, Gupta N, Chawla K. Free gingival graft as a single step procedure for treatment of mandibular miller class I and II recession defects. World J Plast Surg. 2019; 8 (1): 12-17.

  23. Shah R, Thomas R, Mehta DS. Recent modifications of free gingival graft: a case series. Contemp Clin Dent. 2015; 6 (3): 425-427.




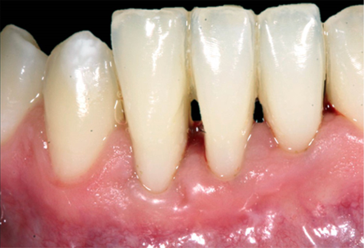
Figura 1
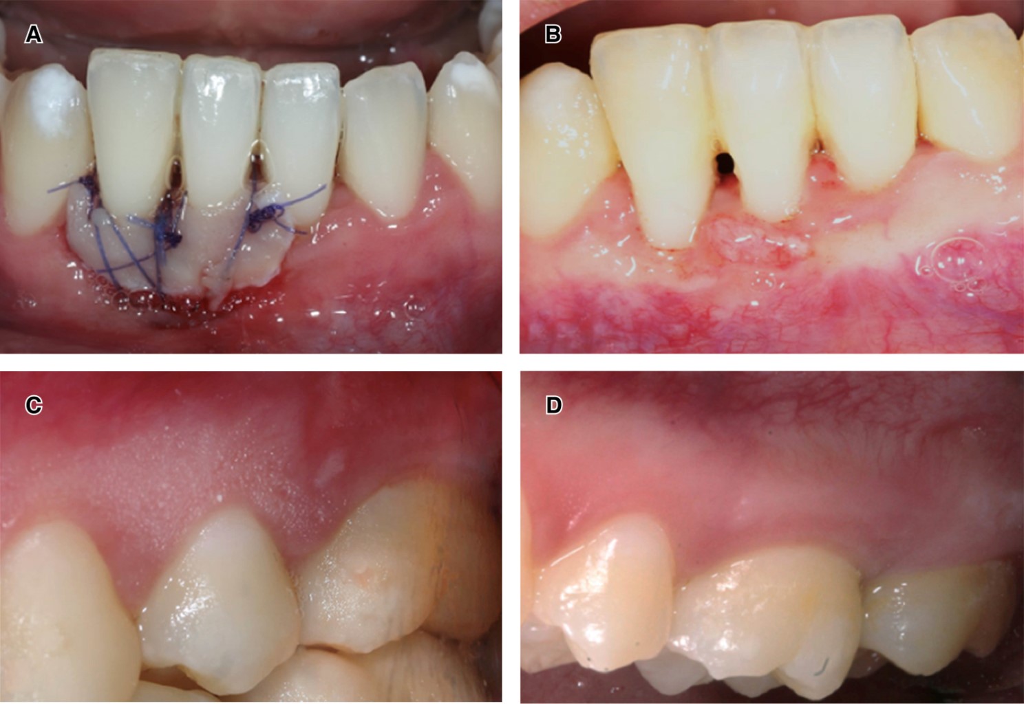
Figura 2
Figura 3
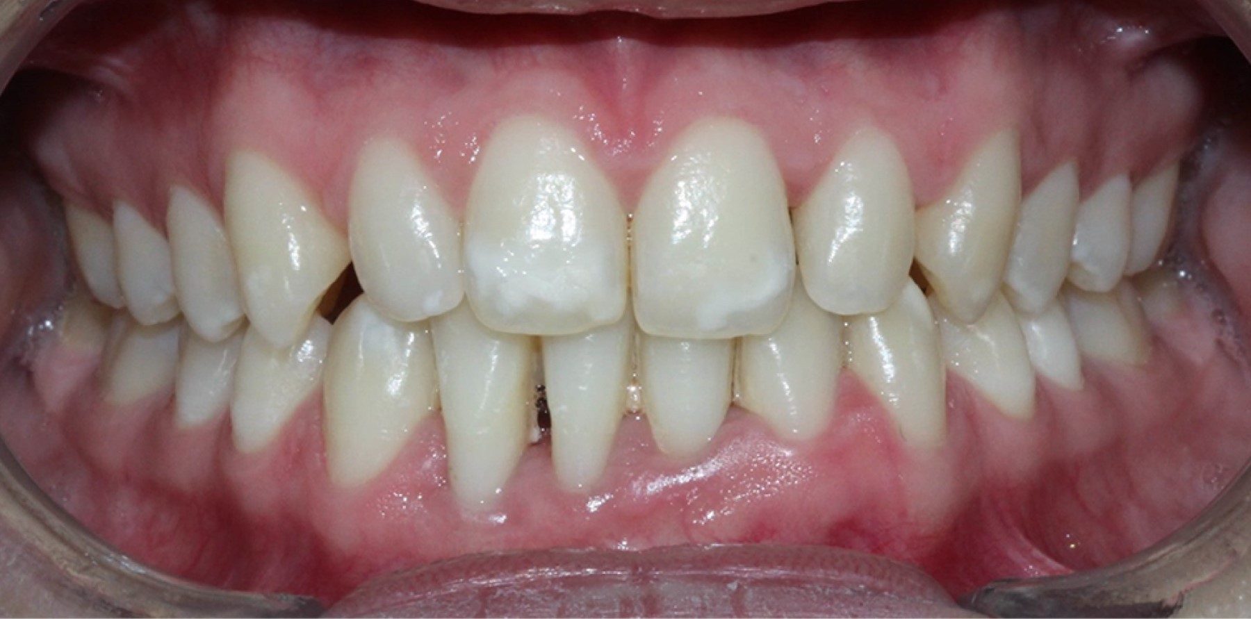
Figura 4

2020     |     www.medigraphic.com

Mi perfil

C?MO CITAR (Vancouver)

Rev Odont Mex. 2020;24

ARTíCULOS SIMILARES

CARGANDO ...