medigraphic.com
ENGLISH

Revista Odontológica Mexicana Órgano Oficial de la Facultad de Odontología UNAM

ISSN 1870-199X (Impreso)
Órgano oficial de la Facultad de Odontología, UNAM
  • Mostrar índice
  • Números disponibles
  • Información
    • Información general        
    • Directorio
  • Publicar
    • Instrucciones para autores        
  • medigraphic.com
    • Inicio
    • Índice de revistas            
    • Registro / Acceso
  • Mi perfil

2020, Número 2

<< Anterior Siguiente >>

Rev Odont Mex 2020; 24 (2)


Uso de cone-beam computed tomography en el diagnóstico y tratamiento de paciente con erupción pasiva alterada

Umanzor, Vilma Alejandra1; Fernández, Lourdes Karina2; Rodríguez, Ana Gabriela3
Texto completo Cómo citar este artículo Artículos similares

Idioma: Español/Inglés [English version]
Referencias bibliográficas: 15
Paginas: 141-151
Archivo PDF: 347.35 Kb.


PALABRAS CLAVE

Erupción pasiva alterada, tomografía computarizada, alargamiento de corona.

RESUMEN

La erupción pasiva alterada (EPA) es una condición patológica que puede crear preocupaciones en el paciente debido al impacto antiestético que presenta esta deformidad mucogingival. Algunos autores han reportado la prevalencia, los métodos de diagnóstico y el tratamiento para la EPA; hoy en día, el uso de cone-beam computed tomography (CBCT) ha sido una herramienta fundamental en el plan de tratamiento al proporcionar resultados objetivos y de calidad, siendo éste el objetivo principal de este caso clínico. Material y métodos: Paciente de sexo femenino con EPA en el sector anterior superior (pieza dental 1.3 a 2.3); se realizó un protocolo para obtener las medidas del tamaño de la corona clínica, longitud de la unión cemento-esmalte (UCE), cresta ósea y cantidad de tejido gingival con la técnica tradicional clínica de sondeo y con el uso del CBCT, se registraron todas las medidas y se procedió a analizar los resultados obtenidos para posteriormente realizar la cirugía de alargamiento de corona. Los resultados mostraron con las medidas de las diferencias entre el sondeo clínico y el CBCT una media aritmética de 0.6876, lo cual significa que es el valor promedio de las diferencias entre ambas técnicas y una desviación estándar de ± 0.4997 que significa el grado de dispersión de la variabilidad. Con estos resultados se puede concluir que la diferencia entre la medida de la técnica de sondeo clínico tradicional y el CBCT es muy poca, por lo cual el tomógrafo digital proporciona una información más objetiva.



INTRODUCCIóN

Hoy en día, los parámetros de estética dental se vuelven más exigentes y requieren de precisión para lograr tratamientos odontológicos exitosos. La línea de la sonrisa y línea media facial, alineamiento de los dientes, deformidades dentales, discromía dental y gingival, recesiones gingivales, exceso gingival, cicatrices gingivales y diastemas/pérdida papilar1 son factores a tomar en cuenta en la valoración de la armonía de la sonrisa de los pacientes por parte de los profesionales en la odontología.

Las deformidades mucogingivales son un grupo de condiciones que afectan a una gran cantidad de pacientes. La nueva publicación de la clasificación de deformidades mucogingivales y condiciones alrededor de los dientes incluye que el exceso gingival puede ser causado por varias condiciones como pseudobolsas, márgenes gingivales inconsistentes, visualización excesiva gingival, agrandamiento gingival, erupción pasiva alterada.1 Existen situaciones en las que se encuentran pacientes que llegan a presentar tejido gingival > 2 mm, y aunque no es una situación patológica esta condición produce un efecto antiestético conocido como "sonrisa gingival".2 Por lo tanto, es importante conocer los tipos de sonrisa que presentan los pacientes, de acuerdo con el Dr. Anthony Tjan son los siguientes: sonrisa alta (muestra la longitud total cervicoincisal de los dientes maxilares anteriores y una banda de encía continua), sonrisa media (muestra de 75 a 100% de los dientes maxilares anteriores y sólo encía interproximal), y sonrisa baja: muestra más de 75% de los dientes maxilares anteriores.3

La erupción pasiva alterada ocurre cuando los dientes erupcionan por completo durante el crecimiento, pero los tejidos fallan en retroceder a nivel apical normal; la única anormalidad es el desplazamiento coronal de la posición del margen gingival,4 esta condición también es conocida como erupción pasiva retardada (EPR).5 Se informa que la prevalencia de EPA es aproximadamente de 12%, considerando más de 1,000 pacientes adultos con una edad mínima de 24 años.6,7 La corrección de esta condición se puede lograr mediante cirugía periodontal (alargamiento de corona).8 Este procedimiento es una de las cirugías más comunes para tratar las condiciones periodontales,9 restablecer el ancho biológico y fisiológicamente el margen gingival de 1 a 2 mm de la unión cemento-esmalte (UCE) o a su mismo nivel, evitando el abuso de provocar la resorción ósea, la recesión gingival, la inflamación o la hipertrofia.10 La Academia Americana de Periodontología reportó en una encuesta que 10% de todas las cirugías periodontales se realizan con el fin de ganar longitud en la corona.10

El cone-beam computed tomography (CBCT) es una tecnología de tomografía computarizada con emisión de rayos cónicos de rayos X que presentan una emisión limitada de radiación7 y ofrece imágenes de diagnóstico de alta calidad para el clínico; además, se convierte en una herramienta esencial ampliamente11 utilizada para diversas aplicaciones dentales como planificación de implantes, endodoncia, cirugía maxilofacial y ortodoncia.12 Por otra parte, en los estudios del CBCT puede ser exhibida la posición de la cresta ósea y la posición de la UCE tejido duro en relación, determinando la cantidad de tejido gingival que está cubriendo el esmalte y que requiere ser eliminada. Otra ventaja de este estudio es la posibilidad de estimar si es necesario realizar una osteotomía u osteoplastia, ya que puede hacer el procedimiento quirúrgico más preciso y predecible sin necesidad de anestesiar al paciente.13



MATERIAL Y MéTODOS



PRESENTACIóN DE CASO CLíNICO

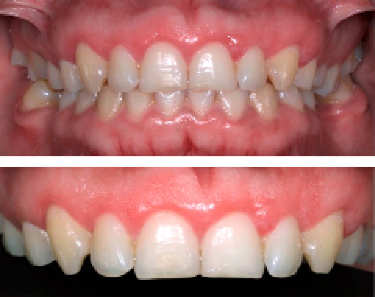
Paciente femenino de 24 años de edad, acude a atención odontológica y manifiesta en su motivo de consulta: "No me siento cómoda con la sonrisa". En la anamnesis realizada no refiere enfermedades patológicas, por lo que se considera como paciente aparentemente sana. En la evaluación clínica inicial se le realiza el sondeo periodontal dando como diagnóstico: erupción pasiva alterada tipo 1, subgrupo B en el sector anterior superior (del 1.3 a 2.3 según nomenclatura FDI) (Figura 1). El plan de tratamiento indicado es alargamiento de corona estético en una sola cita utilizando como herramienta radiológica de apoyo el CBCT con el objetivo de lograr precisión en la ubicación de los siguientes parámetros: tamaño de corona anatómica, longitud de UCE-cresta ósea y cantidad de tejido gingival a eliminar durante el procedimiento quirúrgico.



TRATAMIENTO INICIAL (PREOPERATORIO)

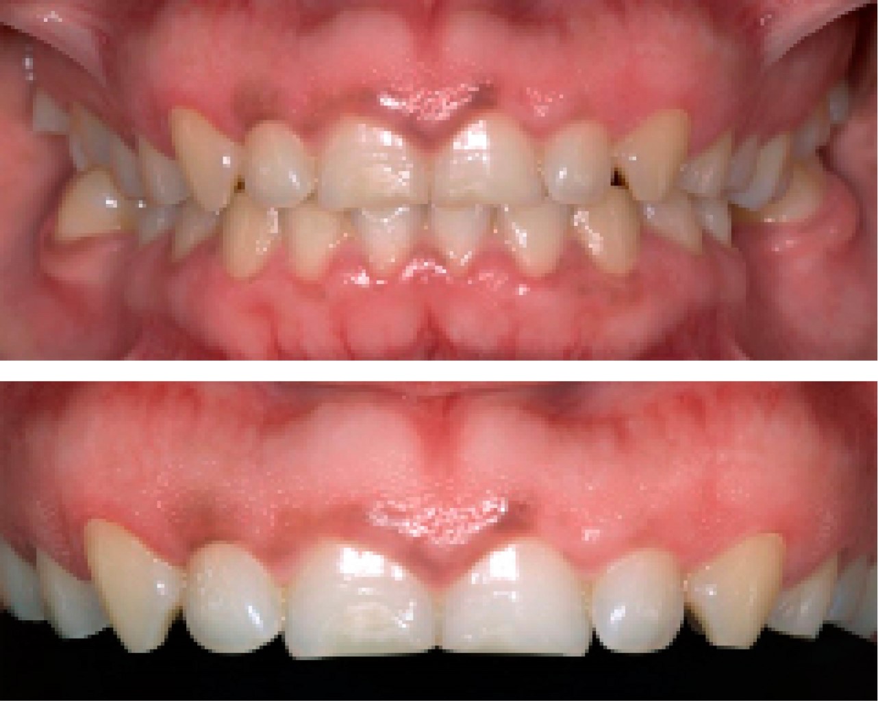
Se procede a medir las coronas clínicas del 1.3, 1.2, 1.1, 2.1, 2.2, 2.3 (nomenclatura FDI) con una sonda periodontal milimetrada [UNC-15 Hu-Friedy: 1 mm cada raya] (Figura 2), se toma la medida desde el margen gingival al borde incisal de cada órgano dental, se colocan varios puntos de resina fluida en cada pieza dental a nivel de la mitad de la corona clínica, con el fin de poder medir con precisión la curvatura convexa de la corona dental en la tomografía 3D [Orthophos XG 3d ready ceph/ Sirona] (Figura 3). Se procede a toma de la tomografía y posteriormente se realizan los trazos de las líneas para poder medir el tamaño real de la corona anatómica.



PROCEDIMIENTO QUIRúRGICO

Se utilizó la técnica de anestesia infiltrativa para el bloqueo del nervio infraorbitario de la hemiarcada derecha e izquierda de canino (1.3) a canino (2.3). Se colocaron cuatro cartuchos de lidocaína HCI 2% con epinefrina 1:100,000 conteniendo cada uno 1.8 mL.

A continuación, con una sonda periodontal se marcó con puntos sangrantes la encía en la zona vestibular (según los datos obtenidos de la CBCT) de todos los dientes a tratar, en seguida se realizó una gingivectomía con una incisión a bisel interno con una hoja de bisturí No. 15c siguiendo el festoneo natural de la encía, y una incisión intracrevicular e incisión interdental; después se realizó una gingivoplastia a bisel interno con bisturí de Kirkland para disminuir el grosor de la encía insertada queratinizada y favorecer­ la posición de encía marginal con respecto a los cuellos de los dientes (Figura 4 A y B). Se elevó un colgajo de espesor total (Figura 4C), se tomaron las medidas de la corona anatómica y se procedió a medir de la distancia de la cresta ósea a la UCE, corona clínica real, corona anatómica con la sonda periodontal (para así poder comparar los resultados obtenidos con CBCT). Por último, el colgajo se reposicionó y suturó con una técnica de sutura suspensoria, con hilo de sutura de ácido poliglicólico (VICRYL) de 4-0 (Figura 4D).



TRATAMIENTO FINAL (POSTOPERATORIO)

Como tratamiento terapéutico de apoyo para la analgesia, inflamación y cicatrización se le indicaron a la paciente los siguientes medicamentos: dexketoprofeno 25 mg vía oral una cada ocho horas por tres días, dexametasona 8 mg vía intramuscular una ampolla, ácido hialurónico en gel aplicar tres veces al día. Se le brindan a la paciente las recomendaciones de reposo absoluto y dieta blanda por tres días.



POSTOPERATORIO

Se revisó a la paciente tras haber realizar el procedimiento quirúrgico, no presentó ninguna complicación, los tejidos gingivales con características normales, sin procesos inflamatorios y acorde con el proceso de cicatrización (Figura 5).



RESULTADOS

A continuación se muestra una descripción de los resultados obtenidos:

Se midieron las coronas clínicas en milímetros de cada pieza dental utilizando la técnica tradicional con sonda periodontal como se refleja en la Tabla 1.

En el examen radiográfico tridimensional se procede a dividir la corona del diente en dos partes trazando dos líneas: Línea A (se mide en mm del tope de resina fluida al borde incisal [BI] del diente) y una Línea B (se mide en mm desde el UCE al tope de resina fluida), se suma la línea A más la línea B para dar como resultado la longitud de la corona dental (Figura 6) (Tabla 2).

A los resultados del CBCT de la longitud de la corona dental se le resta la medida del tope de resina, con el objetivo de tener como resultado el tamaño real de la corona anatómica. El tamaño del tope de resina de cada diente se logró midiéndolo en la tomografía 3D como se puede observar en la Tabla 3.

Se realizó un cuadro comparativo de las medidas de la corona clínica (sondeo periodontal) y la corona anatómica real (CBCT) de cada pieza dental anterior, restando ambos datos (sondeo-CBCT) con el propósito de obtener la cantidad precisa de tejido gingival a eliminar en la cirugía de alargamiento de corona (Tabla 4).

Se tomó la decisión de realizar la osteotomía y osteoplastia con el objetivo de dar el espacio al tejido supracrestal o espacio biológico (Tabla 5) (Figura 7 A y B) y así permitir una inserción del tejido conectivo y epitelio de unión; se tomó la referencia de Gargiulo y colaboradores donde el espacio biológico está formado por 0.97 mm de epitelio de unión y 1.07 mm de tejido conectivo, sumando 2.04 mm.14

De los resultados obtenidos se muestra un cuadro comparativo señalando el tamaño de la corona clínica con el tamaño de la corona anatómica y el tamaño de la corona anatómica real (CBCT) (Tabla 6). Por otra parte, se presenta un cuadro comparativo (Tabla 7) que muestra la diferencia del tamaño de la corona anatómica real medida tanto con el CBCT como con la sonda periodontal durante la cirugía. Del mismo modo, presentamos la comparación del tamaño de la corona clínica (medida con sonda periodontal) previo a realizar la cirugía y el tamaño de la corona anatómica real (medida con CBCT) (Tabla 8).

Los resultados alcanzados mostraron con las medidas de las diferencias entre el sondeo clínico y el CBCT una media aritmética de 0.6876, lo que significa que es el valor promedio de las diferencias de las medias de todo el sector anterior entre ambas técnicas y una desviación estándar de ± 0.4997 que significa el grado de dispersión de dichas medidas.



DISCUSIóN

El propósito de realizar un tratamiento de alargamiento de corona para la condición de erupción pasiva alterada (EPA) requiere de un buen diagnóstico y planificación. De manera convencional, el alargamiento de corona estético se ha realizado con una planificación de sondeo y ondeo periodontal, lo cual lo hace un procedimiento de mayor duración; mientras que el CBCT presenta la oportunidad de utilizar tomografías computarizadas, proporciona mayor información y acorta el tiempo del procedimiento.

Al igual que el estudio realizado por el Dr. Francesco Cairo y su grupo en 2016, en el que sus datos indicaron que una cuidadosa planificación preoperatoria podría evitar complicaciones y mejorar el postoperatorio para el paciente al realizar un tratamiento de EPA,6 en nuestro estudio los resultados obtenidos nos indican que se requiere de una planificación del tratamiento, así como apoyo de herramientas como el CBCT para lograr una precisión en la cirugía de alargamiento de corona, ver un resultado satisfactorio en el paciente y evitar descubrimientos de raíz.

Según el Dr. Claverson O. Silva y colegas en 2015, el tratamiento de erupción pasiva alterada debe tener como objetivo lograr la reducción de exceso de tejido gingival (restablecimiento del margen gingival de 1 a 2 mm por arriba o a nivel de UCE y aumentar la longitud de la corona clínica), el equilibrio de los contornos gingivales y el restablecimiento de tejido supracrestal insertado (ancho biológico).15 De la misma forma, en este estudio se consideraron los parámetros de eliminación correcta de tejido gingival, tamaño de corona clínica, longitud de la cresta ósea a UCE que fueron valorados previamente con CBCT y dieron la ventaja de no invadir más allá de los límites establecidos.

De acuerdo a los resultados obtenidos con la media y la desviación estándar podemos mencionar que las diferencias entre las medidas entre ambas técnicas es muy poca, por lo cual el uso del tomógrafo digital proporciona una información más objetiva que la técnica tradicional.

La importancia de la técnica se establece en la previa planificación y diagnóstico mediante una radiografía tridimensional (CBCT). Esto permite obtener diagnósticos certeros y confiables, lo que conlleva a tratamientos exitosos. El uso de CBCT en Honduras ha sido un tema innovador, ya que se ha empezado a implementar desde 2018. Esto ha creado un impacto en la odontología, puesto que ha venido a facilitarle a los odontólogos el diagnóstico de enfermedades bucales. Por lo cual tomamos la decisión de formar este sistema de medidas que es obligatoriamente complementado con el CBCT, ampliando así el interés de los odontólogos en el país.



CONCLUSIONES

El uso de cone-beam computed tomography (CBCT) como parte del plan de tratamiento parece ser una opción eficaz para la planeación objetiva de la cirugía de alargamiento de corona, es una combinación ideal ofreciendo una mayor precisión en la cirugía periodontal, ya que se obtienen datos exactos y precisos del tamaño de la corona anatómica y longitud de UCE-cresta ósea a eliminar durante la cirugía.

Además, ofrece la ventaja adicional de reducir el número de citas, ayuda a realizar un procedimiento atraumático para el paciente, a efectuarlo en una sola cita y evitar hacer, de manera rudimentaria, un procedimiento de sondeo óseo bajo anestesia. Permite ejecutar el tratamiento de una manera objetiva y concreta, siendo una alternativa de diagnóstico y elaboración del tratamiento. Se requiere de un mayor número de casos para opinar de manera conclusiva esta opción de tratamiento.



AGRADECIMIENTOS

A los estudiantes de la Facultad de Cirugía Dental de la Universidad Autónoma de Honduras (UNAH), por su valiosa aportación durante el proceso quirúrgico.


REFERENCIAS (EN ESTE ARTÍCULO)

  1. Cellini NP. Mucogingival conditions in the natural dentition: Narrative review, case definitions, and diagnostic considerations. Journal of Periodontology and Journal of Clinical Periodontology. 2018; 45: 190-198.

  2. Nart NJ. Prevalence of altered passive eruption in orthodontically treated and untreated patients. J Periodontol. 2014; 85 (11): 348-353.

  3. Tjan HA. Some esthetic factors in a smile. 1984; 51 (1): 24-258. The Journal of Prosthetic Dentistry. 1984; 51 (1): 24-28.

  4. Hürzeler OZ&M. Plastic esthetic periodontal and plastic surgery a microsurgical approach. In Bryn Grisham QPCI, editor. Plastic Esthetic Periodontal and Plastic Surgery a Microsurgical Approach. Berlin: Quintenssence Publishing; 2012. p. 858.

  5. Mele M. Esthetic treatment of altered passive eruption. Periodontology 2000. 2018; 77 (1): 65-83.

  6. Cairo F. Periodontal plastic surgery to improve aesthetics in patients with altered passive eruption/gummy smile: a case series study. Int J Dent. 2012; 2012: 837658.

  7. Germana Jayme Borges. Cone-beam computed tomography as a diagnostic method for determination of gingival thickness and distance between gingival margin and bone crest. The Scientific World Journal. 2015; 142108.

  8. Jepsen DS. Periodontal manifestations of systemic diseases and developmental and acquired conditions: Consensus report of workgroup 3 of the 2017 World Workshop on the Classification of Periodontal and Peri?Implant Diseases and Conditions. J Periodontol. 2018; 45: 219-229.

  9. Paolantoni GG. Comparison of three different crown-lengthening procedures in the maxillary anterior esthetic regions. Quintessence Int. 2016; 47: 407-416.

  10. Marzadori M. Crown lengthening and restorative procedures in the esthetic zone. Periodontol 2000. 2018; 77 (1): 84-92.

  11. Lourenço A. Soft tissue cone-beam computed tomography: a novel method for the measurement of gingival tissue and the dimensions of the dentogingival unit. J Esthet Restor Dent. 2008; 20 (6): 366-367.

  12. Pauwels R. Technical aspects of dental CBCT: state of the art. Dentomaxillofac Radiol. 2015; 44 (1): 20140224.

  13. Cassiano L, Barriviera M, Suzuki S, Januario A, Hilgert L, Duarte W. Soft tissue cone beam computed tomography (ST-CBCT) for the planning of esthetic crown lengthening procedures. The International Journal of Esthetic Dentistry. 2016; 11 (4): 482-493.

  14. Gargiulo AW. Dimensions and relations of the dentogingival junction in humans. The Journal of Periodontology. 1961; 32 (3): 261-267.

  15. Silva JCO. Aesthetic crown lengthening: periodontal and patient-centred outcomes. J Clin Periodontol. 2015; 42 (12): 1126-1134.



AFILIACIONES

1 Docente en la Facultad de Cirugía Dental de la Universidad Autónoma de Honduras. Tegucigalpa, Honduras. Bulevar Suyapa Tegucigalpa, Francisco Morazán, Honduras.

2 Docente en la División de Estudios de Postgrado e Investigación de la Facultad de Cirugía Dental de la Universidad Católica de Honduras "Nuestra Señora Reina de la Paz". Calle Los Alcaldes, Aldea Las Casitas Comayagüela, Francisco Morazán Honduras.

3 Doctora en Cirugía Dental, Tegucigalpa, Honduras.



CORRESPONDENCIA

Dra. Vilma Umanzor. E-mail: vaumanzor@hotmail.com




Recibido: Septiembre 2018. Aceptado: Septiembre 2019.

Figura 1
Figura 2
Figura 3
Figura 4
Figura 5
Figura 6
Figura 7
Tabla 1
Tabla 2
Tabla 3
Tabla 4
Tabla 5
Tabla 6
Tabla 7
Tabla 8

2020     |     www.medigraphic.com

Mi perfil

C?MO CITAR (Vancouver)

Rev Odont Mex. 2020;24

ARTíCULOS SIMILARES

CARGANDO ...