medigraphic.com
ENGLISH

Acta Médica Grupo Ángeles

Órgano Oficial del Hospital Ángeles Health System
  • Mostrar índice
  • Números disponibles
  • Información
    • Información general        
    • Directorio
  • Publicar
    • Instrucciones para autores        
    • Envío de artículos
    • Políticas
    • Nombre y afiliación del Comité Editorial
  • Nosotros
    • Plan de gestión e intercambio de datos
    • Objetivos declarados y alcance
  • medigraphic.com
    • Inicio
    • Índice de revistas            
    • Registro / Acceso
  • Mi perfil

2021, Número 1

<< Anterior Siguiente >>

Acta Med 2021; 19 (1)


Pseudomixoma peritoneal

Sánchez Silva, Martha Cristina1; Morales Pérez, Fernando2
Texto completo Cómo citar este artículo 10.35366/98586

DOI

DOI: 10.35366/98586
URL: https://dx.doi.org/10.35366/98586

Idioma: Español
Referencias bibliográficas: 6
Paginas: 134-135
Archivo PDF: 148.10 Kb.


PALABRAS CLAVE

Sin palabras Clave



Paciente femenino de 62 años de edad, antecedente de hernioplastia umbilical hace 12 años, cesárea hace 38 y 35 años respectivamente. Padecimiento actual: presenta dolor abdominal de tres meses de evolución, intermitente, tipo punzante localizado en hipocondrio izquierdo con aumento de intensidad en los últimos dos días, por lo que acude a consulta de cirugía general. Al momento de la valoración con dolor al toser, dolor en hipocondrio izquierdo con irradiación a epigastrio y tórax, niega pérdida de peso. A la exploración física se detecta hernia de pared anteromedial supraumbilical y dolor a la palpación del abdomen, se observa abdomen globoso por panículo adiposo, peristalsis presente. Se palpa masa supraumbilical izquierda, y dolor en hipocondrio izquierdo con irradiación a epigastrio.

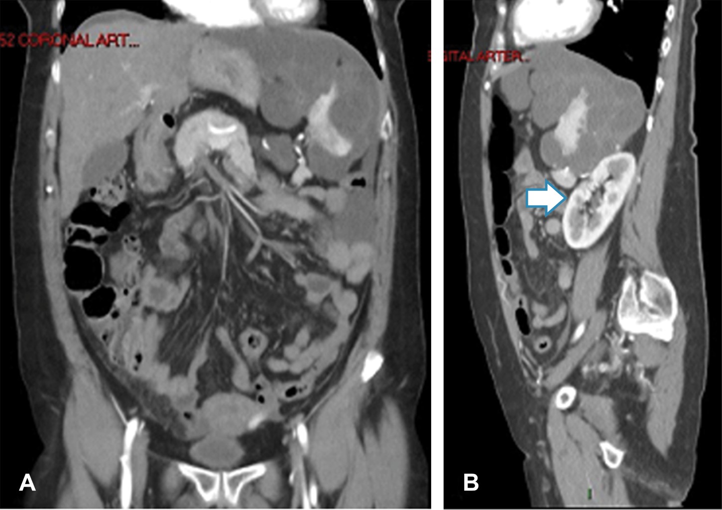
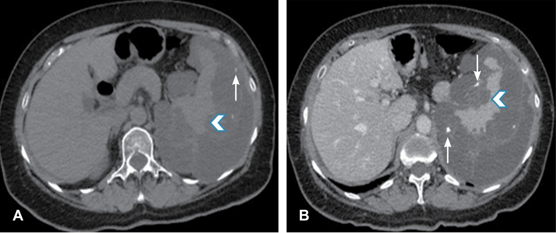
Se le solicitó una tomografía computarizada de abdomen en fase simple y contrastada; se encontró una lesión ovoidea, heterogénea a expensas de zonas hipodensas que alternaban con otras de mayor densidad, mostrando atenuación grasa dependiente del peritoneo que infiltraba y causaba festoneado del bazo, la lesión midió 29.1 × 14.2 × 27.3 cm (Figura 1). Tras la aplicación del medio de contraste se mostró reforzamiento heterogéneo con dilatación y tortuosidad de los vasos, esta masa causaba desplazamiento medial, caudal y ventral del riñón izquierdo, lateral y anterior del páncreas así como lateral del duodeno (Figura 2). Se realizó el diagnóstico de pseudomixoma peritoneal por tomografía. La paciente fue trasladada a un hospital de tercer nivel para su manejo.

El pseudomixoma peritoneal es una enfermedad infrecuente1,2 con una presentación de dos casos por cada 10,000 laparotomías1 y una incidencia de uno a tres casos en un millón cada año.2,3 Fue descrito por Cruveilhie en 18483 y por Werth en 1884.4 Esta patología se caracteriza por acumulación de depósitos de tejido gelatinoso en la superficie del peritoneo1-3 secundaria a implante de un tumor primario adenomucinoso, principalmente dependiente del apéndice.4 También se asocia a tumores de ovario, peritoneo diafragmático, espacio retrohepático, correderas, hueco pélvico y epiplón.1 Suelen afectar más a mujeres que a hombres.3 La fisiopatología es controvertida, se considera que a medida que aumentan los niveles de mucina en el tumor primario, se produce ruptura y diseminación.2,4 Dependiendo la lesión primaria, se puede clasificar en dos, la primera en un pseudomixoma peritoneal con células benignas o limítrofes, no invade el estroma y se extiende por las superficies del peritoneo con buen pronóstico por su sensibilidad al tratamiento, es la presentación más frecuente, principalmente secundaria a ruptura de un mucocele apendicular. La segunda es una carcinomatosis peritoneal mucinosa secundaria a un tumor primario gastrointestinal agresivo o indiferenciado con mal pronóstico.3,5 La presentación clínica es variable y depende de la fase de la enfermedad, puede ser un hallazgo incidental en estudios de imagen o en laparotomías, presencia de dolor y distensión abdominal o tumoración palpable. En casos avanzados puede haber obstrucción intestinal y aumento de la circunferencia abdominal por ascitis.2,4 En las radiografías, en caso de ascitis, se observa aumento de la radiopacidad con escasa delimitación de órganos intraabdominales y en ocasiones presencia de calcificaciones. En ultrasonido se documenta líquido intraabdominal ecogénico, septado y desplazamiento secundario de asas intestinales. En tomografía se observa contenido mucinoso de baja densidad, puede haber áreas de mayor densidad por elementos sólidos o fibrosis. En signo de festoneado5 representa hendiduras en los márgenes capsulares de órganos intraperitoneales secundarias a presión extrínseca de los implantes mucinosos, este signo ayuda a diferenciar de una ascitis. Los órganos principalmente afectados son hígado y bazo. En resonancia magnética, la mucina de los implantes peritoneales tiene baja señal en T1 y alta en T2.6 Se pueden observar implantes adyacentes a asas intestinales que condicionan oclusión. Los ovarios pueden tener metástasis quísticas complejas. El signo de festoneado y asas intestinales centralizadas o envueltas ayudan a diferenciar de una ascitis loculada.5,6


REFERENCIAS (EN ESTE ARTÍCULO)

  1. Suárez I, Reyna E. Pseudomixoma peritoneal. Rev Perú Ginecol Obstet. 2017; 63 (1): 97-101.

  2. Syed AR, Wajahat S, Ravi S. Approach to pseudomyxoma peritonei. World J Gastrointest Surg. 2018; 10 (5): 49-56.

  3. Penha D, Joao P, Paixao P, Rosado E, Cabral P, Guedes E et al. Pseudomyxoma Peritonei-What every radiologist should know. ESR. 2013: 1-19.

  4. Carranza-Martínez I, Cornejo-López G, Monroy-Argumedo M, Villanueva-Sáenz E. Pseudomixoma peritoneal. Reporte de dos casos. Cir Cir. 2014; 82: 206-2011.

  5. Levy AD, Shaw JC, Sobin LH. Secondary tumors and tumorlike lesions of the peritoneal cavity: imaging features with pathologic correlation. Radiographics. 2009; 29: 347-373.

  6. Nougaret S, Nikolovski I, Paroder V, Vargas H, Sala E, Carrere S et al. MRI of tumors and tumor mimics in the female pelvis: anatomic pelvic space-based approach. RadioGraphics. 2019; 39: 1205-1229.



AFILIACIONES

1 Médico adscrito de Hospital San Ángel Inn Sur.

2 Médico adscrito de Grupo San Ángel Inn.



CORRESPONDENCIA

Martha Cristina Sánchez Silva. Correo electrónico: dramarthacristina@gmail.com




Aceptado: 20-02-2020.

Figura 1
Figura 2

2020     |     www.medigraphic.com

Mi perfil

C?MO CITAR (Vancouver)

Acta Med. 2021;19

ARTíCULOS SIMILARES

CARGANDO ...