medigraphic.com
ENGLISH

Acta Médica Grupo Ángeles

Órgano Oficial del Hospital Ángeles Health System
  • Mostrar índice
  • Números disponibles
  • Información
    • Información general        
    • Directorio
  • Publicar
    • Instrucciones para autores        
    • Envío de artículos
    • Políticas
    • Nombre y afiliación del Comité Editorial
  • Nosotros
    • Plan de gestión e intercambio de datos
    • Objetivos declarados y alcance
  • medigraphic.com
    • Inicio
    • Índice de revistas            
    • Registro / Acceso
  • Mi perfil

2021, Número 1

<< Anterior Siguiente >>

Acta Med 2021; 19 (1)


Ruptura completa del tendón del cuádriceps

Hernández Dehesa, Itzel Ariadna1; Gómez Pérez, María de Guadalupe2; Cornelio Rodríguez, Georgina 3
Texto completo Cómo citar este artículo 10.35366/98587

DOI

DOI: 10.35366/98587
URL: https://dx.doi.org/10.35366/98587

Idioma: Español
Referencias bibliográficas: 7
Paginas: 136-137
Archivo PDF: 161.06 Kb.


PALABRAS CLAVE

Sin palabras Clave



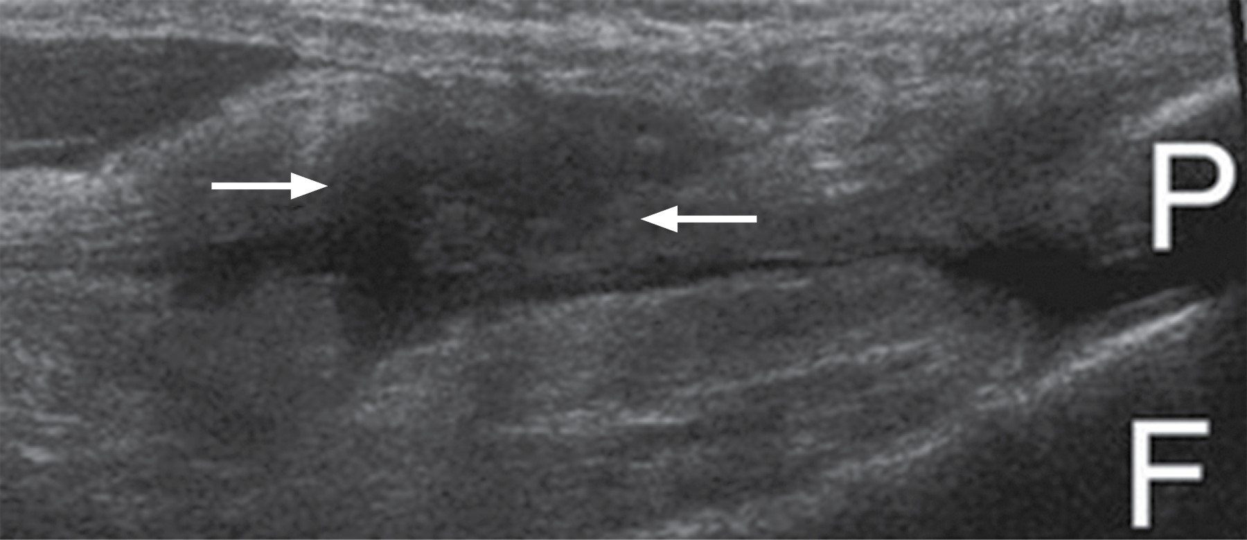
Masculino de 45 años sufre traumatismo directo en tercio distal de la cara anterior del muslo izquierdo, valorado por médico ortopedista quien observó aumento de volumen acompañado de edema prepatelar, doloroso a la palpación, depresión a la palpación en la topografía del tendón del cuádriceps, dolor a la flexión pasiva y activa. El ultrasonido muestra pérdida del patrón fibrilar e interrupción de la mayor parte de las fibras del tendón del cuádriceps (Figura 1); en forma complementaria se decide solicitar estudio de resonancia magnética de rodilla donde existe ruptura completa del tendón del cuádriceps en su inserción y como signo indirecto, situación de rótula baja (Figuras 2 A-C). Las lesiones del cuádriceps tienden a ser comunes entre atletas y adultos activos, desde contusiones musculares leves hasta la ruptura completa del tendón. El cuádriceps se compone del recto femoral, vasto lateral, vasto medial y vasto intermedio; éstos se insertan en la rótula como el tendón del cuádriceps común. El tendón envuelve la rótula y se inserta en la tuberosidad tibial.1 La localización de la ruptura se demuestra que está a 1-2 cm de la parte superior del polo rotuliano , en la mayoría de los casos en la región avascular del tendón.2 La edad de presentación ocurre en adultos mayores de 50 años o atletas más jóvenes.3,4 El paciente puede experimentar sensación de desgarro en la rótula o "explosión" seguida de aumento de volumen y dificultad para soportar el peso.5 Es posible desarrollar hemartrosis aguda y sensibilidad focal por encima de la rótula, no se puede mantener la pierna recta ni levantar la pierna contra la gravedad mientras está en decúbito supino.4,6 Los hallazgos por imagen y las radiografías revelan fracturas por avulsión y rótula baja (medición Insall-Salvati), por ultrasonido se observa zona hipoecoica o anecoica, incremento en el grosor o disminución de la ecogenicidad.7 La resonancia magnética (mejor método) demuestra interrupción de la mayor parte de las fibras del tendón, como signo secundario el tendón rotuliano adquiere aspecto ondulado debido a la falta de tensión en extensión,4 también se demuestra derrame articular, edema de la medular ósea en la porción más superior de la rótula o edema intramuscular.4,5


REFERENCIAS (EN ESTE ARTÍCULO)

  1. Modarresi S, Jude CM. Radiologic evaluation of the acutely painful knee in adults. EE. UU.: Biblioteca Nacional de Medicina; 2019. pp. 1-34.

  2. Von Fange TJ. Quadriceps muscle and tendon injuries. EE. UU: Biblioteca Nacional de Medicina; 2019, pp. 1-61.

  3. Ramseier LE, Werner CM, Heinzelmann M. Quadriceps and patellar tendon rupture. Injury. 2006; 37 (6): 516-519.

  4. Ni Fhoghlu C, Ellanti P, Moriarity A, McCarthy T. MRI features of a quadriceps tendon rupture. BMJ Case Rep. 2015; 2015: bcr2015209942.

  5. Yablon CM, Pai D, Dong Q, Jacobson JA. Magnetic resonance imaging of the extensor mechanism. Magn Reson Imaging Clin N Am. 2014; 22 (4): 601-620.

  6. Brossard P, Le Roux G, Vasse B; Orthopedics, Traumatology Society of Western France (SOO). Acute quadriceps tendon rupture repaired by suture anchors: Outcomes at 7 years' follow-up in 25 cases. Orthop Traumatol Surg Res. 2017; 103 (4): 597-601.

  7. LaRocco BG, Zlupko G, Sierzenski P. Ultrasound diagnosis of quadriceps tendon rupture. J Emerg Med. 2008; 35 (3): 293-295.



AFILIACIONES

1 Médico Radiólogo. Curso de Alta Especialidad en Resonancia Magnética Corporal. Facultad de Medicina de la UNAM. Hospital Ángeles Acoxpa.

2 Médico Radiólogo. Profesora Titular del Curso de Alta Especialidad en Resonancia Magnética Corporal. Hospital Ángeles Pedregal. CDMX, México.

3 Médico Radiólogo. Hospital Ángeles Roma. Hospital Ángeles Pedregal. CDMX, México.



CORRESPONDENCIA

Dra. Itzel Ariadna Hernández Dehesa. Correo electrónico: ariadnadehesahdez@hotmail.com




Aceptado: 25-03-2020.

Figura 1
Figura 2

2020     |     www.medigraphic.com

Mi perfil

C?MO CITAR (Vancouver)

Acta Med. 2021;19

ARTíCULOS SIMILARES

CARGANDO ...