medigraphic.com
ENGLISH

Revista Mexicana de Pediatría

ISSN 0035-0052 (Impreso)
  • Mostrar índice
  • Números disponibles
  • Información
    • Información general        
    • Directorio
  • Publicar
    • Instrucciones para autores        
    • Envío de artículos
  • medigraphic.com
    • Inicio
    • Índice de revistas            
    • Registro / Acceso
  • Mi perfil

2021, Número 1

<< Anterior Siguiente >>

Rev Mex Pediatr 2021; 88 (1)


Síndrome hemolítico urémico y falla hepática fulminante por Streptococcus pneumoniae

Castro-Gómez, Daniel Arlett1; Galeano-Rodríguez, Ricardo Saúl2; Morales-Camacho, William Javier3; Plata-Ortiz, Jessica Estefanía4; Morales-Camacho, María Alejandra5
Texto completo Cómo citar este artículo 10.35366/99414

DOI

DOI: 10.35366/99414
URL: https://dx.doi.org/10.35366/99414
Artículos similares

Idioma: Español
Referencias bibliográficas: 14
Paginas: 18-21
Archivo PDF: 273.41 Kb.


PALABRAS CLAVE

Síndrome hemolítico urémico, Streptococcus pneumoniae, insuficiencia renal, falla hepática, niños.

RESUMEN

Presentamos el caso de un preescolar de 23 meses de edad quien, a partir de una neumonía complicada, desarrolló síndrome hemolítico urémico asociado a falla hepática fulminante. El paciente falleció a los cinco días de haber ingresado. El agente etiológico fue Streptococcus pneumoniae, el cual es muy raro en este síndrome.



INTRODUCCIóN

El síndrome hemolítico urémico (SHU) se caracteriza por la tríada de anemia hemolítica microangiopática, trombocitopenia e insuficiencia renal aguda.1 Hasta en 90% de los casos se presenta después de un proceso infeccioso causado por cepas de Escherichia coli productoras de la toxina Shiga-like.1,2 Por su parte, el SHU asociado a Streptococcus pneumoniae (SHU-SP) es más raro y, de acuerdo con Novak y cols., fue descrito por primera vez en 1971.3 Se estima que constituye entre 5-15% de todos los casos de SHU en el mundo.3,4 El curso clínico es típicamente más grave, por lo que causa mayor morbilidad y mortalidad.1,2,5 El tratamiento del SHU-SP es principalmente con antibióticos, soporte transfusional y terapia de reemplazo renal, según la necesidad de cada paciente.1-3,5

Reportamos un caso de un lactante que desarrolló SHU-SP, asociado a falla hepática fulminante, que fue atendido en una institución de alta complejidad de la ciudad de Bogotá D.C., Colombia.



CASO CLíNICO

Paciente masculino de 23 meses de edad previamente sano, quien consulta por cuatro días de vómito, somnolencia e ictericia progresiva. Ingresa en malas condiciones generales: taquicárdico, con disminución de los ruidos respiratorios en hemitórax izquierdo, hepatomegalia palpable. Paraclínicos con leucocitosis, neutrofilia, anemia y trombocitopenia severa, proteína C reactiva elevada (41.6 mg/L), hiperazoemia, elevación de transaminasas e hiperbilirrubinemia directa (Tabla 1).

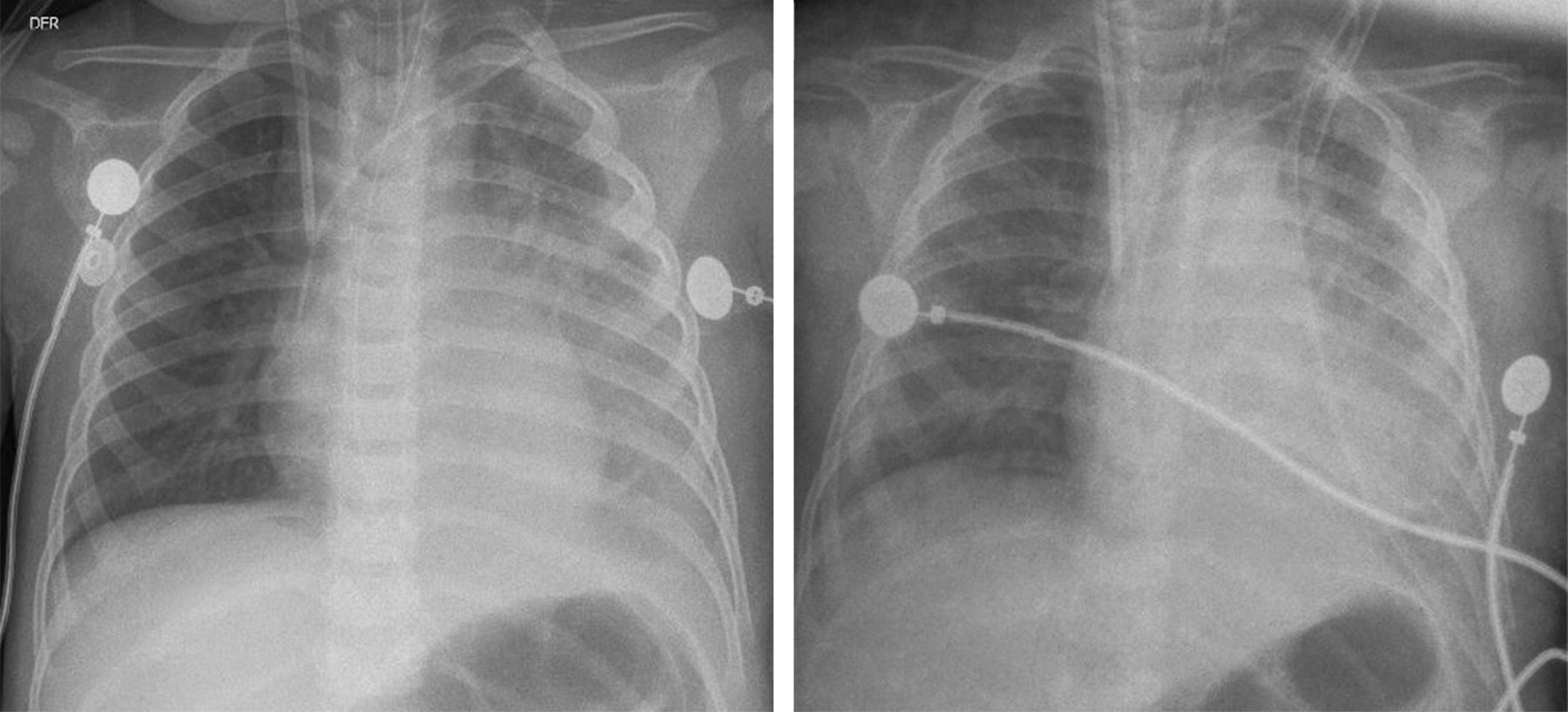
Los estudios serológicos para hepatitis A, B, C, citomegalovirus, virus de Epstein-Barr y virus del herpes simple fueron negativos. La radiografía de tórax mostró neumonía en base pulmonar izquierda y derrame pleural (Figura 1), por lo que se inicia manejo antibiótico con ceftriaxona y clindamicina.

Posteriormente cursa con deterioro progresivo de su estado clínico hasta requerir soporte ventilatorio, inotrópico y vasopresor. Presenta epistaxis, sangrado por sitios de punción y hematemesis, por lo que se maneja con hemoderivados y vitamina K. Hemocultivos con aislamiento de Streptococcus pneumoniae resistente a ceftriaxona (CMI: 4), por lo que se cambia terapia antimicrobiana a vancomicina. Evoluciona con oliguria persistente requiriendo terapia de reemplazo renal con hemofiltración continua. Progresa a choque séptico refractario y disfunción orgánica.

Con los datos de laboratorio se consideró que se cumplían los criterios para síndrome urémico hemolítico, dado por azotemia, trombocitopenia, anemia hemolítica microangiopática, a lo cual se agregó falla hepática aguda fulminante con alteración en pruebas de coagulación, y elevación de transaminasas y bilirrubinas (Tabla 1). Se decide inicio de eculizumab en dosis de inducción. Sin embargo, no se observa mejoría y fallece a los cinco días de estancia en Unidad de Cuidados Intensivos.



DISCUSIóN

El SHU-SP es una complicación infrecuente pero grave de la enfermedad neumocócica invasiva que afecta principalmente a neonatos y lactantes.1,5 El mecanismo fisiopatológico de esta entidad aún no está bien definido. Se cree que la neuraminidasa producida por el Streptococcus pneumoniae elimina el ácido N-acetilneuramínico de diversas glicoproteínas y glicolípidos de la superficie de membrana de eritrocitos, plaquetas y capilares glomerulares, exponiendo de este modo el antígeno de Thomsen-Friedenreich (antígeno T),2,3,6 el cual reacciona con el anticuerpo anti-T, presente en la mayoría de los individuos, dando lugar a la tríada clásica característica del SHU.2,6

La neumonía complicada constituye la presentación inicial más frecuente asociada al SHU-SP (hasta en 90% de los casos),2,4 seguida de meningitis. El SHU-SP en comparación al SHU desencadenado por Escherichia coli tiene peor pronóstico.1,4,7,8 En general, los casos con SHU-SP tienen un mayor compromiso renal, hematológico y neurológico,1-4,9 lo cual fue similar a la evolución del paciente aquí descrito.

En casos con SHU-SP se observan manifestaciones gastrointestinales tales como: dolor abdominal, diarrea, prolapso rectal, estenosis colónicas, perforación colónica, invaginación intestinal, falla hepática fulminante, pancreatitis.10 Se cree que las manifestaciones hepáticas pueden ser secundarias al proceso hemolítico y rara vez existe colestasis asociada. Los mecanismos fisiopatológicos de esta última condición aún no están definidos, se ha descrito que una vasculitis intrahepática y trombosis asociada pueden contribuir a lesión hepatocelular y colestasis.11 Por otro lado, durante la colestasis los ácidos biliares estimulan la producción de mediadores proinflamatorios por parte de los hepatocitos que favorecen la activación de neutrófilos, los cuales liberan especies reactivas de oxígeno que causan destrucción de los hepatocitos generando expresión de patrones moleculares asociados al daño (DAMPs, por sus siglas en inglés) que perpetúan y amplifican la respuesta inflamatoria y el daño hepático.12 Destacamos en nuestro caso la presencia de una hiperbilirrubinemia conjugada (colestásica), una complicación infrecuente del SHU-SP.4 También en la Tabla 1 se describen otros casos similares,10,11,13,14 pero, en comparación, nuestro paciente presentó niveles más elevados de transaminasas y tiempos de coagulación, lo cual pudo favorecer su mala evolución.



AGRADECIMIENTOS

Los autores agradecen al Hospital El Tunal por la asesoría académica prestada durante la realización de este trabajo.


REFERENCIAS (EN ESTE ARTÍCULO)

  1. Groves AP, Reich P, Sigdel B, Davis TK. Pneumococcal hemolytic uremic syndrome and steroid resistant nephrotic syndrome. Clin Kidney J. 2016; 9: 572-575.

  2. León Guerra OJ, Galeano Rodríguez RS, Morales Camacho WJ, Plata Ortiz JE, Morales Camacho MA. Hemolytic uremic syndrome associated with Streptococcus pneumoniae in pediatrics: a case series. Rev Paul Pediatr. 2020; 38: e2018065.

  3. Novak D, Lundgren A, Westphal S, Valdimarsson S, Olsson ML, Trollfors B. Two cases of hemolytic uremic syndrome caused by Streptococcus pneumoniae serotype 3, one being a vaccine failure. Scand J Infect Dis. 2013; 45: 411-414.

  4. Kim SH, Kim SY. A case of Streptococcus pneumoniae associated hemolytic uremic syndrome with DIC. Child Kidney Dis. 2015; 19: 48-52.

  5. Spinale JM, Ruebner RL, Kaplan BS, Copelovitch L. Update on Streptococcus pneumoniae associated hemolytic uremic syndrome. Curr Opin Pediatr. 2013; 25: 203-208.

  6. Singh AK, Osman AS, Woodiga SA, White P, Mahan JD, King SJ. Defining the role of pneumococcal neuraminidases and O-glycosidase in pneumococcal haemolytic uraemic syndrome. J Med Microbiol. 2016; 65: 975-984.

  7. Brandt J, Wong C, Mihm S, Roberts J, Smith J, Brewer E et al. Invasive pneumococcal disease and hemolytic uremic syndrome. Pediatrics. 2002; 110: 371-376.

  8. Joseph C, Gattineni J. Complement disorders and hemolytic uremic syndrome. Curr Opin Pediatr. 2013; 25: 209-215.

  9. Jokiranta TS. HUS and atypical HUS. Blood. 2017; 129: 2847-2856.

  10. Patel MG, Porto AF. Conjugated hyperbilirubinemia in a child with Streptococcus pneumoniae-associated hemolytic uremic syndrome. ACG Case Rep J. 2013; 1(1): 64-67.

  11. Anastaze Stelle K, Cachat F, Perez MH, Chehade H. Streptococcus pneumoniae-associated hemolytic and uremic syndrome with cholestasis: a case report and brief literature review. Clin Pediatr (Phila). 2016; 55(2): 189-191.

  12. Copple BL, Jaeschke H, Klaassen CD. Oxidative stress and the pathogenesis of cholestasis. Semin Liver Dis. 2010; 30(2): 195-204.

  13. Chen JP, Chen SM, Sheu JN. Unusual manifestation of severe conjugated hyperbilirubinemia in an infant with Streptococcus pneumoniae-associated hemolytic uremic syndrome. J Formos Med Assoc. 2007; 106(2 Suppl): S17-S22.

  14. Pan CG, Leichter HE, Werlin SL. Hepatocellular injury in Streptococcus pneumoniae-associated hemolytic uremic syndrome in children. Pediatr Nephrol. 1995; 9(6): 690-693.



AFILIACIONES

1 Unidad de Cuidado Intensivo Pediátrico del Hospital El Tunal;

2 Universidad Nacional de Colombia. Unidad de Cuidado Intensivo Pediátrico del Hospital El Tunal;

3 Semillero de Investigación Posgrado de Pediatría de la Universidad El Bosque;

4 Residente de Pediatría y Semillero de Investigación Postgrado de Pediatría de la Universidad El Bosque;

5 Estudiante de Medicina de la Universidad Antonio Nariño, Bogotá D.C., Colombia.



Conflicto de intereses: Los autores declaran que no tienen.

CORRESPONDENCIA

William Javier Morales-Camacho. wmoralesc@unbosque.edu.co / wmorales31@unab.edu.co




Recibido: 09/05/2020. Aceptado: 17/10/2020

Figura 1
Tabla 1

2020     |     www.medigraphic.com

Mi perfil

C?MO CITAR (Vancouver)

Rev Mex Pediatr. 2021;88

ARTíCULOS SIMILARES

CARGANDO ...