medigraphic.com
ENGLISH

Cirujano General

ISSN 2594-1518 (Digital)
ISSN 1405-0099 (Impreso)
  • Mostrar índice
  • Números disponibles
  • Información
    • Información general        
    • Directorio
  • Publicar
    • Instrucciones para autores        
    • Envío de artículos
  • medigraphic.com
    • Inicio
    • Índice de revistas            
    • Registro / Acceso
  • Mi perfil

2020, Número 3

<< Anterior Siguiente >>

Cir Gen 2020; 42 (3)


Manejo quirúrgico laparoscópico de perforación de ciego por palillo de madera

Ramírez-Nava, José Roberto1; Cuendis-Velázquez, Adolfo2; Burgos-Sosa, Erick3; Jordan-García, Eduardo1
Texto completo Cómo citar este artículo 10.35366/99963

DOI

DOI: 10.35366/99963
URL: https://dx.doi.org/10.35366/99963
Artículos similares

Idioma: Español/Inglés [English version]
Referencias bibliográficas: 16
Paginas: 219-222
Archivo PDF: 245.51 Kb.


PALABRAS CLAVE

Perforación de ciego, ingesta de cuerpo extraño, cirugía laparoscópica.

RESUMEN

Introducción: La presentación clínica de la perforación intestinal secundaria a la ingesta de cuerpos extraños es inespecífica, ya que a menudo el paciente no recuerda la ingesta de éste, y los estudios de imagen resultan negativos, lo que hace difícil el diagnóstico. Material y métodos: Presentamos un caso clínico de perforación de ciego secundario a la ingesta de un palillo de madera, con presentación clínica de abdomen agudo, su diagnóstico y resolución por cirugía laparoscópica. Conclusiones: La ingesta de palillo de dientes puede ser involuntaria durante las comidas. El diagnóstico de perforación gastrointestinal por cuerpos extraños es inespecífico y puede presentarse como una clínica de apendicitis.



INTRODUCCIóN

La ingesta de cuerpos extraños que alcanzan el estómago pasan de manera inadvertida a través del tracto gastrointestinal, esta situación en ocasiones condiciona la presencia de complicaciones que requerirán una resolución quirúrgica relativamente común.1 Se han reportado casos de complicaciones en hasta 35% con objetos punzantes ingeridos. Las áreas más comunes de perforación es donde existe angulación (esófago superior e inferior, píloro y válvula ileocecal), con mayor frecuencia en íleon (54%), apéndice y colon (39%). Los objetos extraños son los huesos de pescado en 55%, seguido de huesos de pollo, con un predominio de afección por el palillo de madera en duodeno, alcanzando una mortalidad de 18%.1-3

Para el diagnóstico de una perforación de víscera hueca por objeto extraño es necesario realizar una correcta anamnesis, puesto que sólo 12% de los pacientes llega a recordar la ingesta del mismo.2,3 De forma inicial, se prefiere la toma de radiografía de tórax y abdomen, ya que se puede sospechar la localización, el tamaño, la forma y el número de los objetos ingeridos. En los pacientes en los que ha sido incapaz la evidencia de cuerpos extraños, es sugerente la realización de una tomografía computarizada, ya que puede identificar de 80-100% de éstos; y en los demás pacientes que no es posible identificar el objeto extraño, con dolor abdominal agudo se requiere de una exploración quirúrgica.3-8

En este reporte de caso presentamos a una paciente con cuadro de abdomen agudo secundario a perforación de ciego por objeto extraño, con una clínica muy particular, diagnosticado por cirugía laparoscópica.



CASO CLíNICO

Este es el caso de un paciente femenino de 49 años de edad con antecedentes personales importantes de apendicectomía abierta en la infancia, histerectomía abdominal secundaria a miomatosis uterina y ooforectomía sin recordar la causa, aproximadamente hace 25 años.

Inició su cuadro clínico con presencia de dolor localizado en epigastrio y posterior irradiado a fosa iliaca derecha con duración de 20 horas, sin otras irradiaciones, tipo punzante, de intensidad 10/10, que aumenta con la movilidad y sin mejoría aparente, acompañado de escalofríos y alza térmica no cuantificada, otros síntomas negados, sin tratamiento médico previo.

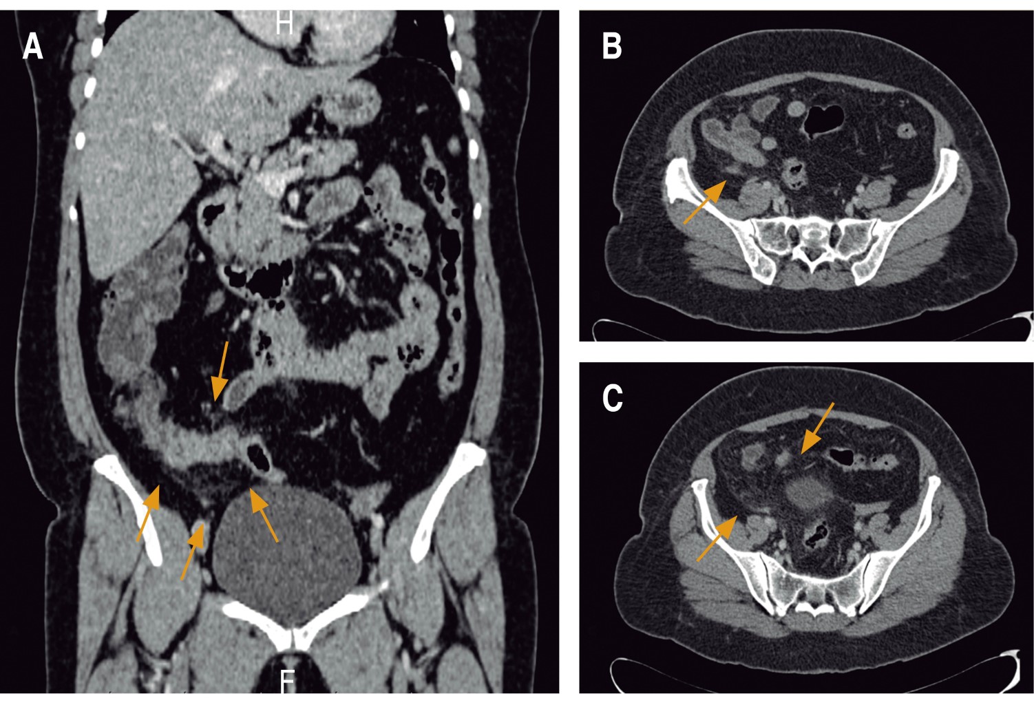
A la exploración física se encontró con dolor en el abdomen a la palpación profunda en fosa iliaca derecha; punto de McBurney; signo de obturador, psoas y signo de Von Blumberg positivos; puntos ureterales derechos superior y medio; Giordano derecho positivo. Se solicitaron exámenes de laboratorio (biometría hemática, química sanguínea y reactantes de fase aguda) que mostraron como únicos hallazgos importantes leucocitosis a expensas de neutrofilia en 94% y proteína C reactiva en 4.3 mg/dl. Como estudios complementarios del cuadro de dolor abdominal se realizó tomografía computarizada de abdomen simple y con contraste intravenoso (Figura 1), sin identificación de apéndice cecal y con cambios inflamatorios en grasa pericolónica del lado derecho, reportado por el Servicio de Radiología.

Por lo anterior, se decidió su ingreso para continuar protocolo de estudio, posterior a seis horas y sin evidencia clínica de mejoría se propuso tratamiento quirúrgico y se determinó realizar abordaje laparoscópico inicialmente. Durante la cirugía en la laparoscopia diagnóstica se observó escaso líquido turbio en corredera parietocólica derecha y adherencia laxa de epiplón a pared de fosa iliaca izquierda. Se realizó disección de adherencias laxas de epiplón a ciego y se observó objeto extraño puntiagudo saliente en cara anterior del mismo con fuga de material intestinal. Se retiró el cuerpo extraño con pinzas grasper y se identificó palillo de madera; se realizó cierre primario de perforación con polipropileno 3-0 con nudo extracorpóreo en cruz y se colocó drenaje a corredera parietocólica derecha y hueco pélvico tipo Jackson-Pratt (Figura 2).

Durante el postquirúrgico la paciente evolucionó de manera favorable, mantuvo signos vitales normales, toleró la dieta vía oral, con gasto mínimo por el drenaje de aspecto serohemático, con manejo antimicrobiano con ceftriaxona 1 gramo intravenoso cada 12 horas y metronidazol 500 mg intravenoso cada ocho horas, logrando buena evolución, por lo que fue egresada a las 48 horas después de la cirugía.



DISCUSIóN

La ingesta de cuerpos extraños puede ocasionar una perforación intestinal a cualquier nivel. El píloro, el ángulo de Treitz, el íleon terminal y la unión rectosigmoidea son los segmentos más afectados debido a su gran angulación, siendo en nuestra paciente a nivel de ciego. La clínica de la perforación intestinal puede semejar otras condiciones de emergencia como apendicitis aguda, diverticulitis aguda y úlcera péptica perforada, y en algunos casos asociarse a estas patologías, inclusive a algún tumor, pero en una paciente con antecedente de apendicectomía y datos clínicos muy sugerentes de apendicitis hace difícil la sospecha de ésta, ya que esta perforación puede incluso ser asintomática.5-12

En nuestra paciente, a pesar de un interrogatorio exhaustivo, no se pudo identificar algún factor de riesgo como alcoholismo, enfermedades psiquiátricas, uso de dentaduras (disminuyen la sensibilidad táctil y del paladar) u otros, como la disminución de la agudeza visual. Aunque probablemente los mismos antecedentes quirúrgicos (ooforectomía, apendicectomía e histerectomía) condicionaron la formación de adherencias, esto no se relaciona con la perforación y la subsecuente perforación por el mondadientes.9-13

En el estudio retrospectivo de Ngan y colaboradores, con 358 pacientes que ingirieron hueso de pescado, la radiografía de abdomen obtuvo sólo una sensibilidad de 32%, lo que lo convierte en un estudio con poca sensibilidad, debido a que el objeto extraño es pequeño y tiene poca radioopacidad. Sin la identificación de este patrón, ni la presencia de aire libre en la cavidad de nuestro caso, se realizó una tomografía computarizada de abdomen, ya que puede identificar el cuerpo extraño hasta en 80-100% de los casos, lo cual convierte a este estudio en el más valioso para el diagnóstico de una perforación intestinal.12-15

Por último, se realizó procedimiento laparoscópico como método diagnóstico para identificar la etiología del dolor y de la respuesta inflamatoria sistémica. En algunos casos el abordaje abierto y el laparoscópico en perforación intestinal muestran resultados similares; sin embargo, la laparoscopia ha demostrado un menor íleo paralítico, rápido retorno de la función intestinal, menor dolor y una menor estancia hospitalaria, por lo que se considera como el método de elección en el tratamiento.14-16



CONCLUSIONES

La ingesta de cuerpos extraños puntiagudos que desencadenan una perforación intestinal es de origen accidental en la mayoría de los casos, por lo general tienen presentación clínica atípica y hallazgos radiológicos inespecíficos, por lo que se deben descartar múltiples diagnósticos diferenciales, siendo un reto diagnóstico.

En casos de abdomen agudo la cirugía laparoscópica es una útil herramienta diagnóstica y terapéutica, no sólo al ofrecer el diagnóstico definitivo, sino que dependiendo de los hallazgos durante el procedimiento, en un centro con el equipo y la experiencia adecuada, se puede ofrecer como una opción terapéutica segura y con resultados satisfactorios para el paciente, con una menor estancia hospitalaria, menor presencia de complicaciones postoperatorias y retorno a las actividades normales con mayor rapidez.


REFERENCIAS (EN ESTE ARTÍCULO)

  1. Sarwa P, Dahiya RS, Nityasha, Anand S, Chandrabhan, Gogna S, et al. A curious case of foreign body induced jejunal obstruction and perforation. Int J Surg Case Rep. 2014; 5: 617-619.

  2. Kaoutzanis C, Saghir W, Hamade A, Garrett W. Accidental ingestion of a cocktail stick. BMJ Case Reports. 2010; 2010.

  3. Sevillano C, Morana MN, Estevez S. Visual involvement in foreign-body intestinal perforations. Arch Soc Esp Oftalmol. 2016; 91: 20-22.

  4. Yadav AK, Malla G, Deo KB, Giri S, Bhattarai BM, Adhikary S. Jejunal perforation due to ingested buffalo bone mimicking acute appendicitis. BMC Research Notes. 2016; 9: 321.

  5. Sarici IS, Topuz O, Sevim Y, Sarigoz T, Ertan T, Karabiyik O, et al. Endoscopic management of colonic perforation due to ingestion of a wooden toothpick. Am J Case Rep. 2017; 18: 72-75.

  6. Perko ZBK, Pogorelic Z, Druzijanic N, Srsen D, Kraljevic D, Juricic J, et al. Acute appendicitis and ileal perforation with a toothpick treated by laparoscopy. Coll Antropol. 2008; 32: 307-309.

  7. Chia DK, Wijaya R, Wong A, Tan SM. Laparoscopic management of complicated foreign body ingestion: a case series. Int Surg. 2015; 100: 849-853.

  8. Kuzmich S, Burke CJ, Harvey CJ, Kuzmich T, Andrews J, Reading N, et al. Perforation of gastrointestinal tract by poorly conspicuous ingested foreign bodies: radiological diagnosis. Br J Radiol. 2015; 88: 20150086.

  9. Rodriguez HJ, Codina CA, Olivet PF, Pont VJ, Girones VJ, Roig GJ, et al. Perforaciones intestinales causadas por cuerpos extraños. Cir Esp. 2001; 69: 504-506.

  10. Costa AC, Rainho R, Gouveia A. Codfish may cause acute abdomen. Int J Surg Case Rep. 2013; 4: 969-971.

  11. Terrace JD, Samuel J, Robertson JH, Wilson RG, Anderson DN. Chicken or the leg: sigmoid colon perforation by ingested poultry fibula proximal to an occult malignancy. Int J Surg Case Rep. 2013; 4: 945-947.

  12. Akhtar S MN, Gardiner KR, Irwin ST. Bowel perforation caused by swallowed chicken bones-a case series. Ulster Med J. 2006; 76: 37-38.

  13. Pan CC, Wang CP, Huang JJ, Chen WK, Yang HR. Intestinal perforation after the incidental ingestion of a fishhook. J Emerg Med. 2010; 38: e45-e48.

  14. Ngan JH, Fok PJ, Lai EC, Branicki FJ, Wong J. A prospective study on fish bone ingestion. Experience of 358 patients. Ann Surg. 1990; 211: 459-462.

  15. Nicolodi GC, Trippia CR, Caboclo MF, de Castro FG, Miller WP, de Lima RR, et al. Intestinal perforation by an ingested foreign body. Radiol Bras. 2016; 49: 295-299.

  16. De Bakker J, Bruin S. Successful laparoscopic repair of a large traumatic sigmoid perforation. J Surg Case Rep. 2012; 2012: 3.



AFILIACIONES

1 Residente de Cirugía General. Servicio de Cirugía General del Hospital General "Dr. Manuel Gea González".

2 Médico adscrito al Servicio de Cirugía General. Servicio de Cirugía General del Hospital General "Dr. Manuel Gea González".

3 Médico interno de pregrado. Servicio de Cirugía General del Hospital General "Dr. Manuel Gea González".



Conflicto de intereses: Los autores declaran no tener conflicto de intereses.

CORRESPONDENCIA

Dr. José Roberto Ramírez Nava. E-mail: dr.joserobertonava@gmail.com




Recibido: 25/10/2018. Aceptado: 05/03/2019

Figura 1
Figura 2

2020     |     www.medigraphic.com

Mi perfil

C?MO CITAR (Vancouver)

Cir Gen. 2020;42

ARTíCULOS SIMILARES

CARGANDO ...