medigraphic.com
SPANISH

Cirujano General

ISSN 2594-1518 (Electronic)
ISSN 1405-0099 (Print)
  • Contents
  • View Archive
  • Information
    • General Information        
    • Directory
  • Publish
    • Instructions for authors        
    • Send manuscript
  • medigraphic.com
    • Home
    • Journals index            
    • Register / Login
  • Mi perfil

2020, Number 3

<< Back Next >>

Cir Gen 2020; 42 (3)

Laparoscopic surgical management of cecum perforation by toothpick

Ramírez-Nava, José Roberto1; Cuendis-Velázquez, Adolfo2; Burgos-Sosa, Erick3; Jordan-García, Eduardo1
Full text How to cite this article 10.35366/99963

DOI

DOI: 10.35366/99963
URL: https://dx.doi.org/10.35366/99963

Language: English/Spanish [Versi?n en espa?ol]
References: 16
Page: 219-222
PDF size: 249.20 Kb.


Key words:

Intestinal perforation, foreign body ingestion, laparoscopic surgery.

ABSTRACT

Introduction: The clinical presentation of intestinal perforation secondary to foreign body ingestion is nonspecific, since often the patient does not remember the ingestion of the foreign body, and imaging studies are negative, making diagnosis difficult. Material and methods: We present a clinical case of perforation of the cecum secondary to ingestion of a wooden stick, with clinical presentation of acute abdomen, along with its diagnosis and resolution by laparoscopic surgery. Conclusions: Toothpick ingestion may be unintentional during meals. The diagnosis of gastrointestinal perforation by foreign bodies is non-specific and may present as a clinical presentation of appendicitis.



INTRODUCTION

The ingestion of foreign bodies that reach the stomach pass unnoticed through the gastrointestinal tract. Sometimes, this situation leads to the presence of complications that will require a relatively common surgical resolution.1 Cases of complications have been reported in up to 35% with ingested sharp objects. The most common areas of perforation are those sites where there is angulation of the track (upper and lower esophagus, pylorus, and ileocecal valve), and most frequently in the ileum (54%), and appendix and colon (39%). Sharp foreign objects are usually fish bones in 55%, followed by chicken bones. Wooden sticks predominate in the duodenum where, if they cause a complication, reach a mortality of 18%.1-3

For the diagnosis of perforation of a hollow viscera by a foreign object, a correct anamnesis is necessary, although only 12% of patients remember the ingestion of the object.2,3 Initially, chest and abdominal plain X-rays are preferred, since the location, size, shape, and number of the objects ingested can be suspected. In patients in whom evidence of foreign bodies is not found but still suspected, a computerized tomography (CT) scan is suggestive as it can identify 80-100% of these objects. And in other patients in whom it is not possible to identify the foreign object but persist with acute abdominal pain, surgical exploration is required.3-8

In this case report we present a patient with acute abdominal pain secondary to perforation of the cecum by a foreign object, who had a very particular clinical picture and was diagnosed by laparoscopic surgery.



CLINICAL CASE

This is the case of a 49-year-old female patient with personal history of open appendectomy in childhood, and abdominal hysterectomy secondary to uterine fibromas and oophorectomy approximately 25 years ago.

Her clinical picture began with the presence of pain localized in the epigastrium and later radiating to the right iliac fossa lasting 20 hours. The pain was of stabbing type, with a severe intensity of 10/10, increasing with mobility and without apparent improvement, accompanied by chills and unspecified fever. She denied other symptoms and she had not received any previous medical treatment.

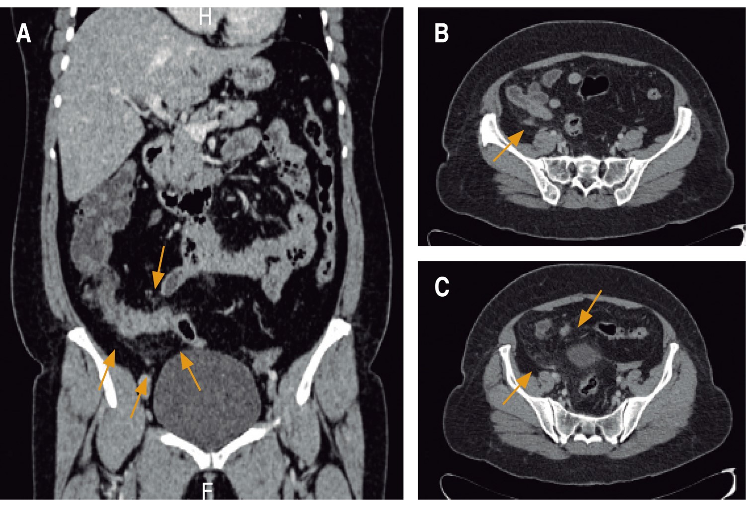
Physical examination revealed abdominal pain on deep palpation in the right iliac fossa with positive McBurney's point, and obturator, psoas, and Von Blumberg's signs. She also had positive right upper and middle ureteral points and right Giordano sign. Complete laboratory tests, including blood cytology, blood chemistry, and acute phase reactants were requested. The only important findings were leukocytosis with neutrophilia of 94% and C-reactive protein of 4.3 mg/dl. An abdominal CT scan with intravenous contrast was performed (Figure 1) that showed inflammatory changes of peri-colonic fat on the right side, and no identification of the cecal appendix.

Therefore, it was decided to admit her to continue with the diagnosis study protocol. After six hours of observation and without clinical evidence of any improvement, surgical treatment was proposed. A laparoscopic approach was decided. During the diagnostic laparoscopy surgery, scarce cloudy liquid was found in the right parieto-colic slide and a lax adhesion of the omentum to the left iliac fossa wall. Dissection of lax adhesions of the omentum to the cecum was performed and at that moment a protruding pointed foreign object was observed in the anterior face of the cecum with leakage of intestinal material. The foreign body was removed with grasper forceps and a wooden stick was identified. Primary closure of the perforation was performed with 3-0 polypropylene suture with extracorporeal cross knot and a drainage was placed in the right parieto-colic slide and another in the pelvic cavity of the Jackson-Pratt type (Figure 2).

During the postoperative period, the patient showed a favorably evolution with normal vital signs. She tolerated the oral route. Drainage of a sero-hematic fluid was minimal. Ceftriaxone 1 g iv every 12 hours and metronidazole 500 mg iv every 8 hours were administered, and she was discharged 48 hours after surgery.



DISCUSSION

Foreign body ingestion can cause perforation at any level of digestive tract. The pylorus, the angle of Treitz, the terminal ileum and the rectosigmoid junction are the most affected segments due to their great angulation. In this patient the perforation occurred at the level of the cecum. The clinical presentation of intestinal perforation may resemble other emergency conditions such as acute appendicitis, acute diverticulitis and perforated peptic ulcer, and in some cases be associated with these pathologies, and even with that of a tumor. But in a patient with a history of appendectomy and clinical data highly suggestive of this entity, it is not wise to suspect it. Sometimes the perforation may even be asymptomatic.5-12

In our patient, despite an exhaustive interrogation, no risk factors such as alcoholism, psychiatric diseases, use of prosthetic denture (since it decreases tactile and palate sensitivity), or some others, such as decreased visual acuity, could be identified. Although probably the same surgical history (oophorectomy, appendectomy, and hysterectomy) conditioned the formation of adhesions, this was not related to the perforation by the toothpick.9-13

In the retrospective study by Ngan et al, with 358 patients who ingested a fish bone, the abdominal plan X-rays had a sensitivity of only 32%, since the foreign object is small and has a low radio-opacity feature. In our case, without the identification of this pattern, nor the presence of free air in the cavity, an abdominal CT scan was performed, since it may identify foreign bodies in up to 80-100% of cases, making this study the most valuable for the diagnosis of intestinal perforation of this cause.12-15

Finally, a laparoscopic procedure was performed as a diagnostic method to identify the etiology of pain and systemic inflammatory response. In some cases, open and laparoscopic approaches in intestinal perforation show similar results; however, laparoscopy has shown less postoperative paralytic ileus, a rapid return of intestinal function, less pain and shorter hospital stay, and is therefore considered the method of choice for this condition.14-16



CONCLUSIONS

Ingestion of sharp foreign bodies that trigger intestinal perforation is of accidental origin in most cases, usually have an atypical clinical presentation and non-specific radiological findings, so multiple differential diagnoses must be ruled out, becoming so a diagnostic challenge, especially if the patient does not recall having ingested a foreign body.

In cases of acute abdomen, laparoscopic surgery is a useful diagnostic and therapeutic tool, not only by offering a definitive diagnosis, but depending on the findings during the procedure, in a center with the appropriate equipment and experience, it can be offered as a safe therapeutic option with satisfactory results for the patient, with a shorter hospital stay, less postoperative complications, and a faster return to normal activities.


REFERENCES

  1. Sarwa P, Dahiya RS, Nityasha, Anand S, Chandrabhan, Gogna S, et al. A curious case of foreign body induced jejunal obstruction and perforation. Int J Surg Case Rep. 2014; 5: 617-619.

  2. Kaoutzanis C, Saghir W, Hamade A, Garrett W. Accidental ingestion of a cocktail stick. BMJ Case Reports. 2010; 2010.

  3. Sevillano C, Morana MN, Estevez S. Visual involvement in foreign-body intestinal perforations. Arch Soc Esp Oftalmol. 2016; 91: 20-22.

  4. Yadav AK, Malla G, Deo KB, Giri S, Bhattarai BM, Adhikary S. Jejunal perforation due to ingested buffalo bone mimicking acute appendicitis. BMC Research Notes. 2016; 9: 321.

  5. Sarici IS, Topuz O, Sevim Y, Sarigoz T, Ertan T, Karabiyik O, et al. Endoscopic management of colonic perforation due to ingestion of a wooden toothpick. Am J Case Rep. 2017; 18: 72-75.

  6. Perko ZBK, Pogorelic Z, Druzijanic N, Srsen D, Kraljevic D, Juricic J, et al. Acute appendicitis and ileal perforation with a toothpick treated by laparoscopy. Coll Antropol. 2008; 32: 307-309.

  7. Chia DK, Wijaya R, Wong A, Tan SM. Laparoscopic management of complicated foreign body ingestion: a case series. Int Surg. 2015; 100: 849-853.

  8. Kuzmich S, Burke CJ, Harvey CJ, Kuzmich T, Andrews J, Reading N, et al. Perforation of gastrointestinal tract by poorly conspicuous ingested foreign bodies: radiological diagnosis. Br J Radiol. 2015; 88: 20150086.

  9. Rodriguez HJ, Codina CA, Olivet PF, Pont VJ, Girones VJ, Roig GJ, et al. Perforaciones intestinales causadas por cuerpos extraños. Cir Esp. 2001; 69: 504-506.

  10. Costa AC, Rainho R, Gouveia A. Codfish may cause acute abdomen. Int J Surg Case Rep. 2013; 4: 969-971.

  11. Terrace JD, Samuel J, Robertson JH, Wilson RG, Anderson DN. Chicken or the leg: sigmoid colon perforation by ingested poultry fibula proximal to an occult malignancy. Int J Surg Case Rep. 2013; 4: 945-947.

  12. Akhtar S MN, Gardiner KR, Irwin ST. Bowel perforation caused by swallowed chicken bones-a case series. Ulster Med J. 2006; 76: 37-38.

  13. Pan CC, Wang CP, Huang JJ, Chen WK, Yang HR. Intestinal perforation after the incidental ingestion of a fishhook. J Emerg Med. 2010; 38: e45-e48.

  14. Ngan JH, Fok PJ, Lai EC, Branicki FJ, Wong J. A prospective study on fish bone ingestion. Experience of 358 patients. Ann Surg. 1990; 211: 459-462.

  15. Nicolodi GC, Trippia CR, Caboclo MF, de Castro FG, Miller WP, de Lima RR, et al. Intestinal perforation by an ingested foreign body. Radiol Bras. 2016; 49: 295-299.

  16. De Bakker J, Bruin S. Successful laparoscopic repair of a large traumatic sigmoid perforation. J Surg Case Rep. 2012; 2012: 3.



AFFILIATIONS

1 General Surgery Resident. General Surgery Service of the General Hospital "Dr. Manuel Gea González", Mexico.

2 Attending physician assigned to the General Surgery Service. General Surgery Service of the General Hospital "Dr. Manuel Gea González", Mexico.

3 Undergraduate Medical Intern. General Surgery Service of the General Hospital "Dr. Manuel Gea González", Mexico.



Disclosure: The authors declare that there is no conflict of interest in this study.



CORRESPONDENCE

José Roberto Ramírez-Nava, MD. E-mail: dr.joserobertonava@gmail.com




Received: 10/25/2018. Accepted: 03/05/2019

Figure 1
Figure 2

2020     |     www.medigraphic.com

Mi perfil

C?MO CITAR (Vancouver)

Cir Gen. 2020;42