medigraphic.com
SPANISH

Orthotips AMOT

ISSN 2007-8560 (Print)
Órgano Oficial de Difusión Científica de la Federación Mexicana de Colegios de Ortopedia y Traumatología, A.C. (FEMECOT)
  • Contents
  • View Archive
  • Information
    • General Information        
    • Directory
  • Publish
    • Instructions for authors        
  • medigraphic.com
    • Home
    • Journals index            
    • Register / Login
  • Mi perfil

2021, Number 3

<< Back

Ortho-tips 2021; 17 (3)

The relationship of sagittal balance and adjacent segment disease

Martínez SJA, Victoria BCJ, Monge RRL, Pérez PGL
Full text How to cite this article 10.35366/100629

DOI

DOI: 10.35366/100629
URL: https://dx.doi.org/10.35366/100629

Language: Spanish
References: 20
Page: 174-178
PDF size: 203.24 Kb.


Key words:

Cervical spine, postural balance, quality of life, osteoarthritis spine, cervical sagittal axis.

ABSTRACT

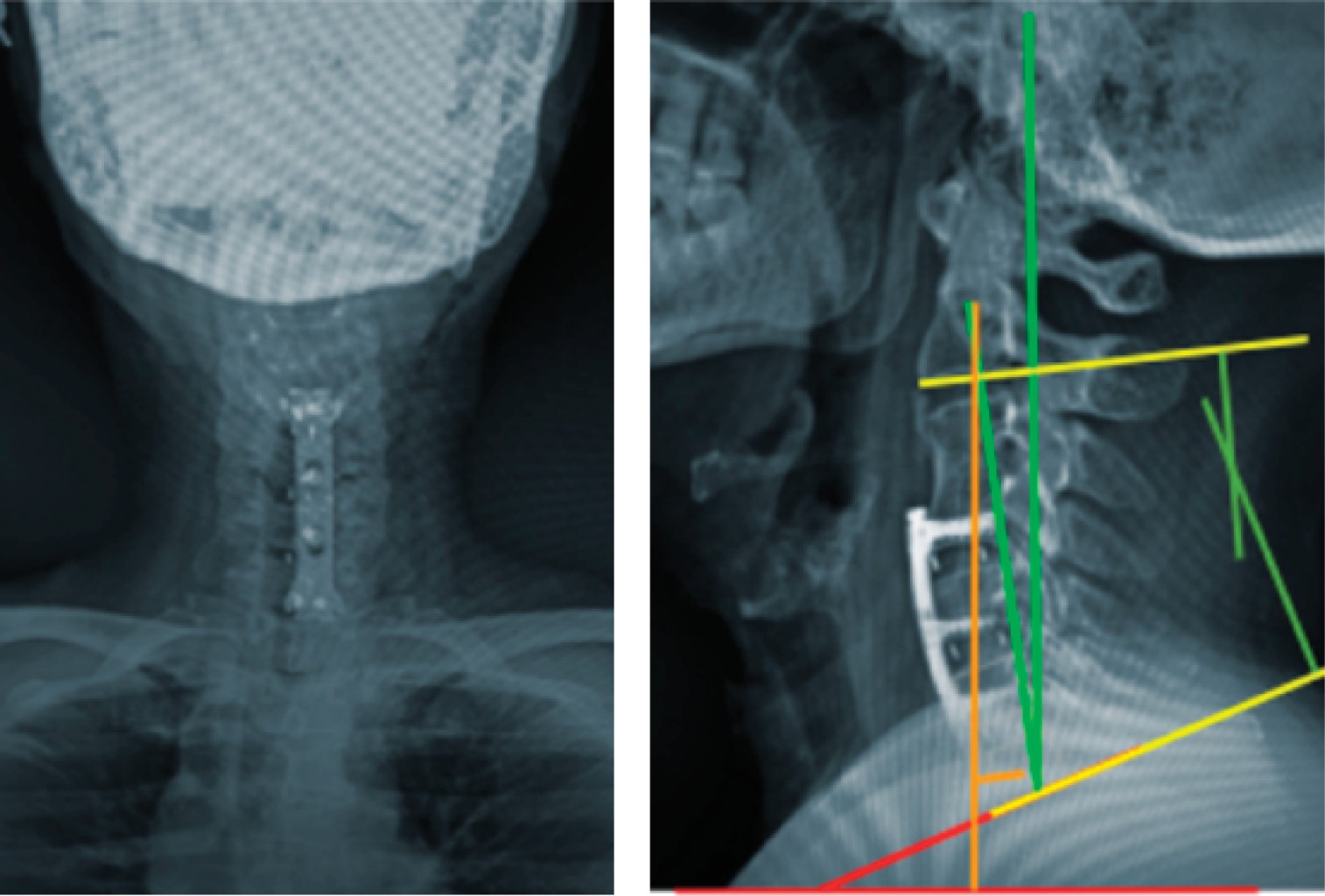
Adjacent segment disease refers to the phenomenon of hypermobility of a level that comes immediately after a rigid segment that conditions a radiculopathy or myelopathy. Factors that predispose to this phenomenon are multiple, the more studied of which are loss of segmental mobility, sagittal balance alteration and multilevel surgery. There is evidence that after a cervical procedure, segmental and not global balance of the spine affect the outcome. In this clinical case study, we analyze the outcome after an ACDF and the impact on native dynamic properties after a change in SVA to 68 mm predisposing to an overload of the anterior column and adjacent segments that correlates with the actual literature of a poor outcome with an SVA over 40 mm. There is a lack of high quality literature that correlates adjacent segmental disease and its correlation with sagittal balance that is only based on radiological findings and not clinical, for that reason we decided to publish this case to add to the growing evidence of this problem and the importance of good surgical planning taking account the maintenance and/or correction of cervical sagittal balance in decompressive and fusion surgery for cervical myelopathy.


REFERENCES

  1. Lee SH, Son ES, Seo EM, Suk KS, Kim KT. Factors determining cervical spine sagittal balance in asymptomatic adults: correlation with spinopelvic balance and thoracic inlet alignment. Spine J. Spine J. 2015; 15 (4): 705-712.

  2. Scheer JK, Tang JA, Smith JS, et al. Cervical spine alignment, sagittal deformity, and clinical implications: a review. J Neurosurg Spine. 2013; 19: 141-159.

  3. Miyazaki M, Hymanson HJ, Morishita Y, et al. Kinematic analysis of the relationship between sagittal alignment and disc degeneration in the cervical spine. Spine. 2008; 33: E870-E876.

  4. Smith JS, Lafage V, Ryan DJ, et al. Association of myelopathy scores with cervical sagittal balance and normalized spinal cord volume: analysis of 56 preoperative cases from the AOSpine North America Myelopathy study. Spine. 2013; 38 (22, Suppl 1): S161-S170.

  5. Guérin P, Obeid I, Gille O, et al. Sagittal alignment after single cervical disc arthroplasty. J Spinal Disord Tech. 2012; 25: 10-16.

  6. Glassman SD, Bridwell K, Dimar JR, Horton W, Berven S, Schwab F. The impact of positive sagittal balance in adult spinal deformity. Spine. 2005; 30: 2024-2029.

  7. Kawakami M, Tamaki T, Yoshida M, Hayashi N, Ando M, Yamada H. Axial symptoms and cervical alignments after cervical anterior spinal fusion for patients with cervical myelopathy. J Spinal Disord. 1999; 12: 50-56.

  8. Nurick S. The natural history and the results of surgical treatment of the spinal cord disorder associated with cervical spondylosis. Brain. 1972; 95 (1): 101-108.

  9. Tracy JA, Bartleson JD. Cervical spondylotic myelopathy. Neurologist. 2010; 16 (3): 176-187.

  10. Rhee JM, Heflin JA, Hamasaki T, Freedman B. Prevalence of physical signs in cervical myelopathy: a prospective, controlled study. Spine (Phila Pa 1976). 2009; 34 (9): 890-895.

  11. Harrop JS, Naroji S, Maltenfort M, et al. Cervical myelopathy: A clinical and radiographic evaluation and correlation to cervical spondylotic myelopathy. Spine (Phila Pa 1976). 2010; 35 (6): 620-624.

  12. You J, Tang X, Gao W, Shen Y, Ding W-Y, Ren B. Factors predicting adjacent segment disease after anterior cervical discectomy and fusion treating cervical spondylotic myelopathy: a retrospective study with 5-year follow-up. Medicine (Baltimore). 2018; 97 (43): e12893.

  13. Weinberg DS, Rhee JM. Cervical laminoplasty: indication, technique, complications. J Spine Surg. 2020; 6 (1): 290-301.

  14. Kirkaldy-Willis WH, Farfan HF. Instability of the lumbar spine. Clin Orthop Relat Res. 1982; (165): 110-123.

  15. De Haro Estrada JA. Balance sagital cervical [Internet]. Medigraphic.com. [cited 2021 Apr 19]. Available from: https://www.medigraphic.com/pdfs/orthotips/ot-2015/ot153c.pdf.

  16. Lebl DR, Hughes A, Cammisa FP Jr, O'Leary PF. Cervical spondylotic myelopathy: pathophysiology, clinical presentation, and treatment. HSS J. 2011; 7 (2): 170-178.

  17. Park JH, Cho CB, Song JH, Kim SW, Ha Y, Oh JK. T1 slope and cervical sagittal alignment on cervical CT radiographs of asymptomatic persons. J Korean Neurosurg Soc. 2013; 53 (6): 356-359.

  18. Tan LA, Riew KD, Traynelis VC. Cervical spine deformity-part 1: Biomechanics, radiographic parameters, and classification. Neurosurgery. 2017; 81 (2): 197-203.

  19. Patel PD, Arutyunyan G, Plusch K, Vaccaro A Jr, Vaccaro AR. A review of cervical spine alignment in the normal and degenerative spine. J Spine Surg. 2020; 6 (1): 106-123.

  20. Tetreault L, Kopjar B, Nouri A, et al. Escala modificada de la Asociación Ortopédica Japonesa: establecimiento de criterios para deterioro leve, moderado y grave en pacientes con mielopatía cervical degenerativa. Eur Spine J. 2017; 26 (1): 78-84.




Figure 1
Figure 2
Figure 3
Figure 4
Table 1
Table 2

2020     |     www.medigraphic.com

Mi perfil

C?MO CITAR (Vancouver)

Ortho-tips. 2021;17