medigraphic.com
SPANISH

Revista ADM Órgano Oficial de la Asociación Dental Mexicana

ISSN 0001-0944 (Print)
Órgano Oficial de la Asociación Dental Mexicana
  • Contents
  • View Archive
  • Information
    • General Information        
    • Directory
  • Publish
    • Instructions for authors        
    • Send manuscript
  • medigraphic.com
    • Home
    • Journals index            
    • Register / Login
  • Mi perfil

2021, Number 4

<< Back

Rev ADM 2021; 78 (4)

Odontogenic myxofibroma, case report with 5 years of follow-up.

Ruiz-Vázquez Y, Espino-Tejeda RR, Aldape-Barrios BC
Full text How to cite this article 10.35366/101079

DOI

DOI: 10.35366/101079
URL: https://dx.doi.org/10.35366/101079

Language: Spanish
References: 14
Page: 235-239
PDF size: 418.97 Kb.


Key words:

Myxofibroma, myxoma, odontogenic, bloc resection, biopsy.

ABSTRACT

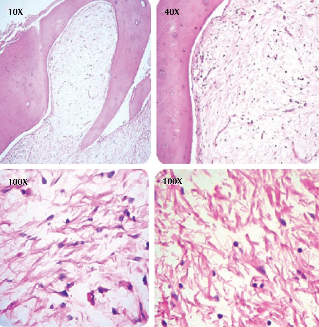
Odontogenic myxoma is a slow-growing locally invasive intraosseous lesion with defined microscopic appearance. Radiographic appearance, is described as multilocular radiolucent lesion, which is reported in scientific literature as "honeycomb" or "soap bubbles" appearance most of the time; it exhibits dental displacement and cortical expansion. Histopathologically, stellate and spindle cells with cytoplasmic processes are observed in a mucoid or myxoid substance, with or without collagen; when it contains large amounts of mature cellular fibrous tissue, it is called myxofibroma. The present article presents the case of a 38 year old male, who attended the General Hospital in Uruapan, Michoacán due to an increased volume in the right maxillary region. Incisional biopsy was performed and the histopathological diagnosis of odontogenic myxofibroma was emitted. 33.6% of cases occur in the maxilla with a uniform distribution throughout the areas, and can erode the maxillary sinus. It has a recurrence rate of 10 to 33%, therefore ideal treatment is bloc resection leaving safety margins.


REFERENCES

  1. Thoma, Kurt H. Patología oral. Barcelona, España: Salvat Editores; 1973.

  2. Simon EN, Merkx MA, Vuhahula E, Ngassapa D, Stoelinga PJ. Odontogenic myxoma: a clinicopathological study of 33 cases. Int J Oral Maxillofac Surg. 2004; 33 (4): 333-337.

  3. Peltola J, Magnusson B, Happonen RP, Borrman H. Odontogenic myxoma--a radiographic study of 21 tumours. Br J Oral Maxillofac Surg. 1994; 32 (5): 298-302.

  4. Neville BW. Oral and maxillofacial pathology. 4th ed. Canada: Elsevier; 2017. pp. 679-681.

  5. El-Naggar AK, Chan JKC, Takata T, Grandis JR, Slootweg PJ. WHO classification of head and neck tumours. 4th ed. Lyon: IARC Press; 2017. pp. 266-267.

  6. Kaffe I, Naor H, Buchner A. Clinical and radiological features of odontogenic myxoma of the jaws. Dentomaxillofac Radiol. 1997; 26 (5): 299-303.

  7. Kumar N, Kohli M, Pandey S, Agarwal P. Odontogenic myxoma. J Maxillofac Oral Surg. 2014; 13 (2): 222-226.

  8. Lahey E, Woo SB, Park HK. Odontogenic myxoma with diffuse calcifications: a case report and review of the literature. Head Neck Pathol. 2013; 7 (1): 97-102.

  9. Zhang J, Wang H, He X, Niu Y, Li X. Radiographic examination of 41 cases of odontogenic myxomas on the basis of conventional radiographs. Dentomaxillofac Radiol. 2007; 36 (3): 160-167.

  10. Reichart PA, Philipsen HP. Odontogenic tumors and allied lesions. London: Quintessence Publishing Co, Ltd; 2004.

  11. Friedrich RE, Scheuer HA, Fuhrmann A, Zustin J, Assaf AT. Radiographic findings of odontogenic myxomas on conventional radiographs. Anticancer Res. 2012; 32 (5): 2173-2177.

  12. Li TJ, Sun LS, Luo HY. Odontogenic myxoma: a clinicopathologic study of 25 cases. Arch Pathol Lab Med. 2006; 130 (12): 1799-1806.

  13. Kawase-Koga Y, Saijo H, Hoshi K, Takato T, Mori Y. Surgical management of odontogenic myxoma: a case report and review of the literature. BMC Res Notes. 2014; 7: 214.

  14. Noffke CE, Raubenheimer EJ, Chabikuli NJ, Bouckaert MM. Odontogenic myxoma: review of the literature and report of 30 cases from South Africa. Oral Surg Oral Med Oral Pathol Oral Radiol Endod. 2007; 104 (1): 101-109.




Figure 1
Figure 2
Figure 3
Figure 4

2020     |     www.medigraphic.com

Mi perfil

C?MO CITAR (Vancouver)

Rev ADM. 2021;78