medigraphic.com
SPANISH

Revista del Centro Dermatológico Pascua

ISSN 1405-1710 (Print)
  • Contents
  • View Archive
  • Information
    • General Information        
    • Directory
  • Publish
    • Instructions for authors        
  • medigraphic.com
    • Home
    • Journals index            
    • Register / Login
  • Mi perfil

2021, Number 2

<< Back Next >>

Rev Cent Dermatol Pascua 2021; 30 (2)

Cutaneous polyarteritis nodosa: presentation of two cases and literature review

Hernández-Cardona MÁ, Ramos-Garibay JA, Valdés-Morales KL
Full text How to cite this article 10.35366/101178

DOI

DOI: 10.35366/101178
URL: https://dx.doi.org/10.35366/101178

Language: Spanish
References: 16
Page: 84-88
PDF size: 334.50 Kb.


Key words:

Cutaneous polyarteritis nodosa, ulcers, subcutaneous nodules, livedo reticularis.

ABSTRACT

Cutaneous polyarteritis nodosa is a form of vasculitis that affects small to medium sized arteries, with unknown incidence due to a low frequency. The exact etiopathogenesis is unknown. Clinically, it is characterized by painful subcutaneous nodules associated to livedo reticularis, that frequently evolves to ulcers on lower extremities, with a chronic and relapsing clinical course. Generally, it only involves skin, however, extracutaneous manifestation has been reported. In this article we describe different clinical presentation and management of two patients with different gender and age.


REFERENCES

  1. Parperis K, Rast F. Inner peace: cutaneous polyarteritis nodosa. Am J Med. 2017; 130: 796-798.

  2. Bauzá A, España A, Idoate M. Cutaneous polyarteritis nodosa. Br J Dermatol. 2002; 146: 694-699.

  3. De Virgilio A, Greco A, Magliulo G, Gallo A, Ruoppolo G, Conte M et al. Polyarteritis nodosa: a contemporary overview. Autoimmun Rev. 2016; 15: 564-570.

  4. Sunderkotter CH, Zelger B, Chen KR, Requena L, Piette W, Carlson JA et al. Nomenclature of cutaneous vasculitis: dermatologic addendum to the 2012 revised international chapel hill consensus conference nomenclature of vasculitides. Arthritis Rheumatol. 2018; 70: 171-184.

  5. Kawakami T, Yamazaki M, Mizoguchi M, Soma Y. High titer of anti-phosphatidylserine-prothrombin complex antibodies in patients with cutaneous polyarteritis nodosa. Arthritis Rheum. 2007; 57: 1507-1513.

  6. Culver B, Itkin A, Pischel K. Case report and review of minocycline-induced cutaneous polyarteritis nodosa. Arthritis Rheum. 2005; 53: 468-470.

  7. Morgan AJ, Schwartz RA. Cutaneous polyarteritis nodosa: a comprehensive review. Int J Dermatol. 2010; 49: 750-756.

  8. Criado PR, Marques GF, Morita TC, de Carvalho JF. Epidemiological, clinical and laboratory profiles of cutaneous polyarteritis nodosa patients: report of 22 cases and literature review. Autoimmun Rev. 2016; 15: 558-563.

  9. de Menthon M, Mahr A. Treating polyarteritis nodosa: current state of the art. Clin Exp Rheumatol. 2011; 29: S110-S116.

  10. Díaz-Pérez JL, De Lagrán ZM, Díaz-Ramón JL, Winkelmann RK. Cutaneous polyarteritis nodosa. Semin Cutan Med Surg. 2007; 26: 77-86.

  11. Subbanna PK, Singh NV, Swaminathan RP. Cutaneous polyarteritis nodosa: a rare isolated cutaneous vasculitis. Indian Dermatol Online J. 2012; 3: 21-24.

  12. Furukawa F. Cutaneous polyarteritis nodosa: an update. Ann Vasc Dis. 2012; 5: 282-288.

  13. Kato A, Hamada T, Miyake T, Morizane S, Hirai Y, Yamasaki O et al. Clinical and laboratory markers associated with relapse in cutaneous polyarteritis nodosa. JAMA Dermatol. 2018; 154: 922-926.

  14. Chen KR. Cutaneous polyarteritis nodosa: a clinical and histopathological study of 20 cases. J Dermatol. 1989; 16: 429-442.

  15. Daoud MS, Hutton KP, Gibson LE. Cutaneous periarteritis nodosa: a clinicopathological study of 79 cases. Br J Dermatol. 1997; 136: 706-713.

  16. Ozen S. The changing face of polyarteritis nodosa and necrotizing vasculitis. Nat Rev Rheumatol. 2017; 13: 381-386.




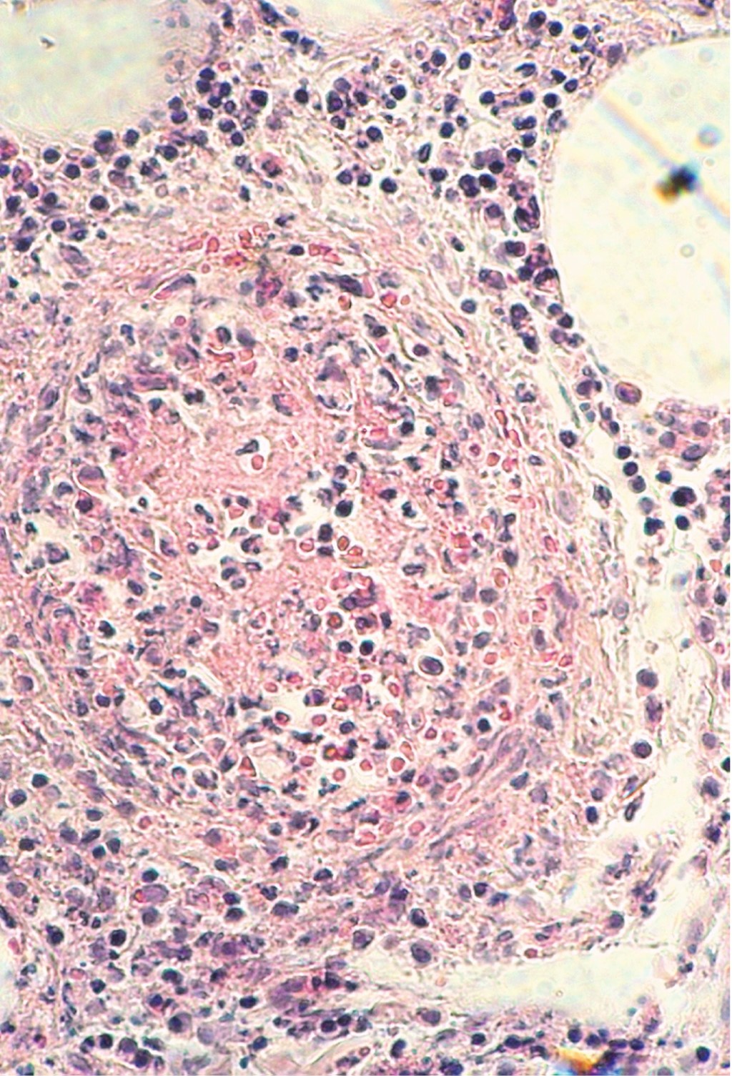
Figure 1
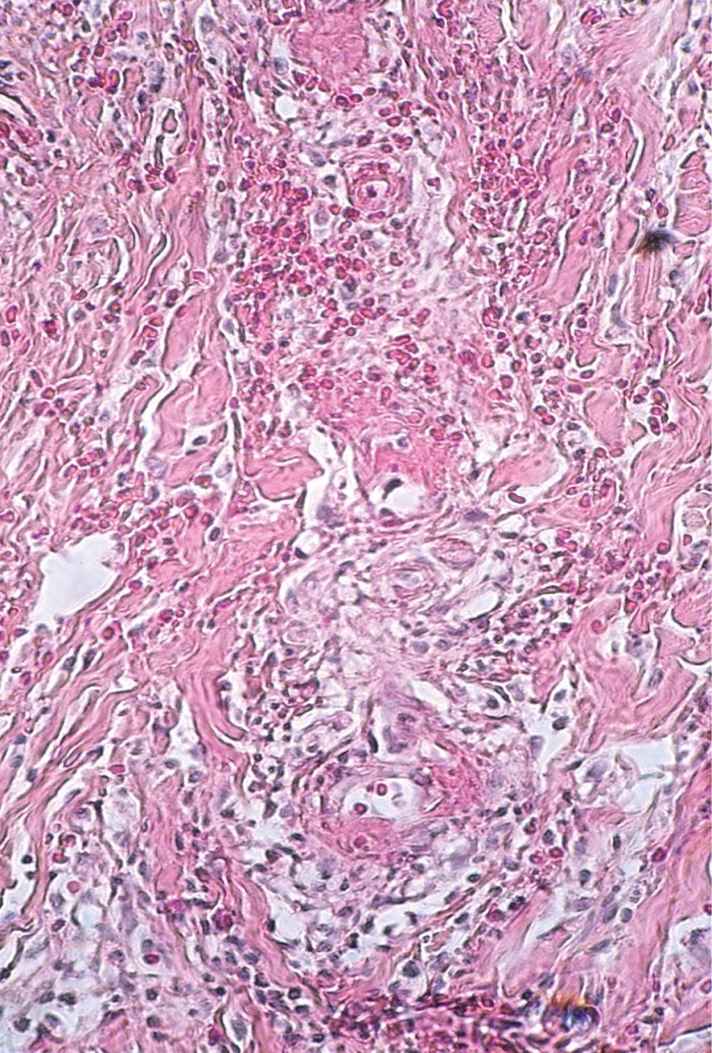
Figure 2
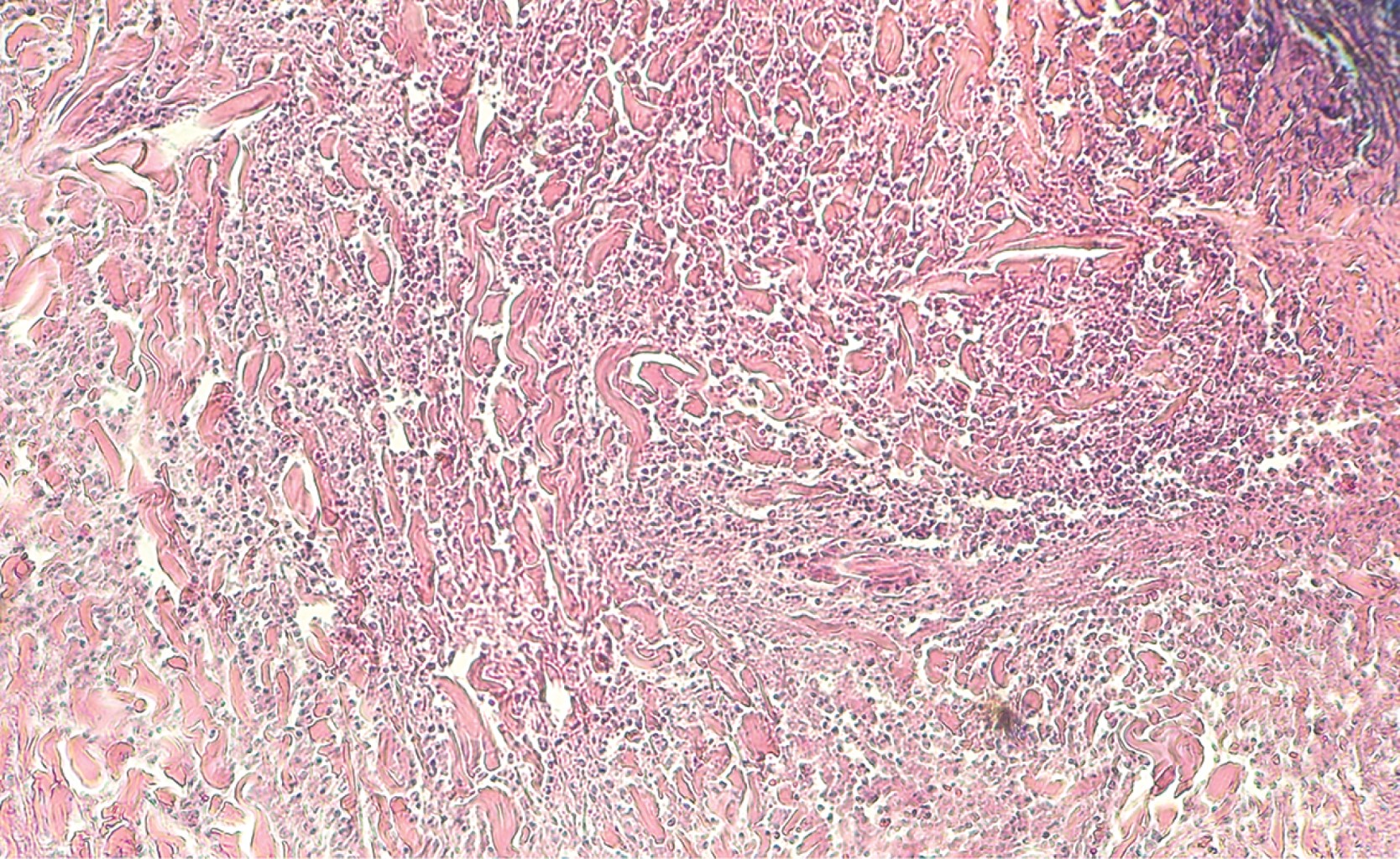
Figure 3
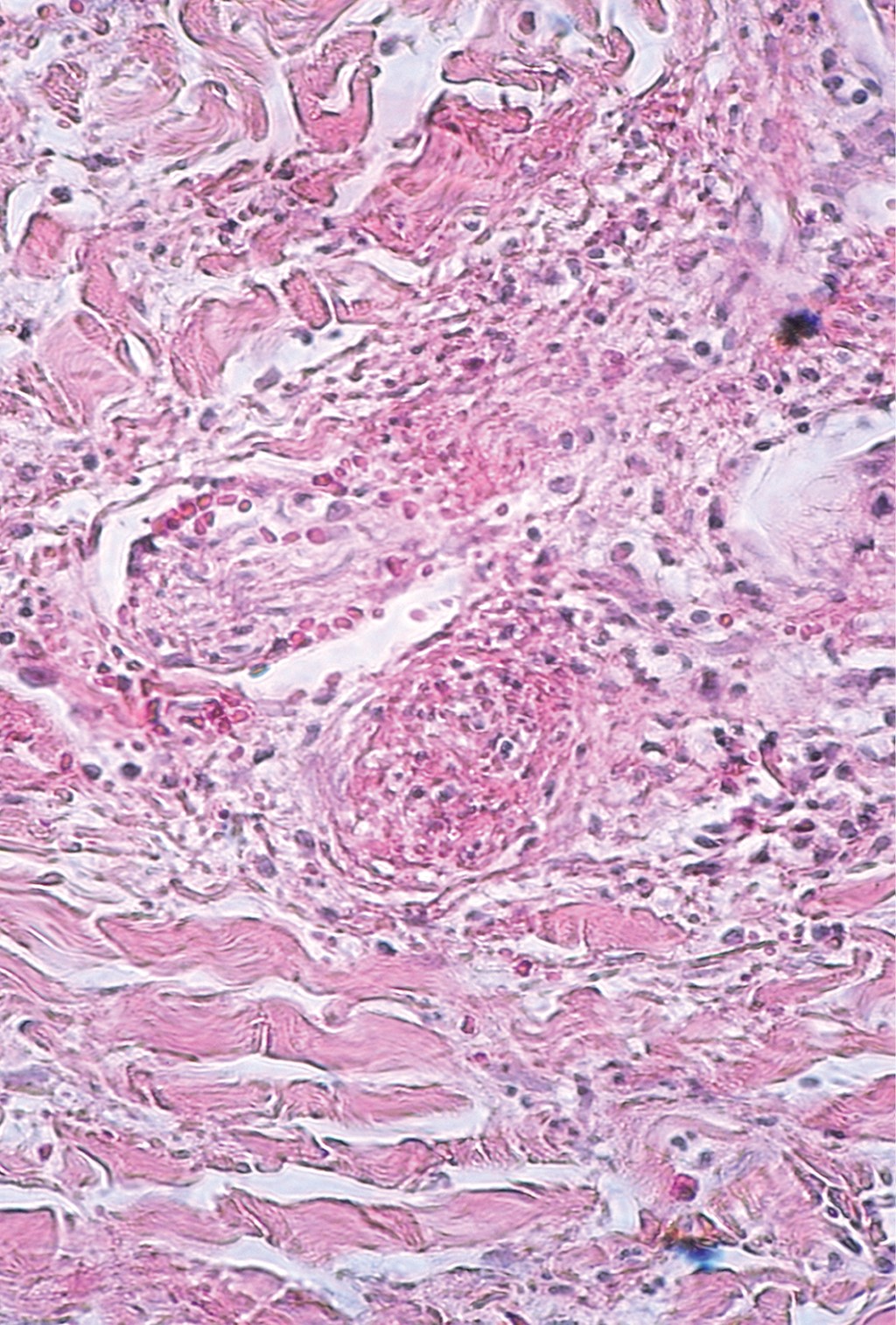
Figure 4
Figure 5
Figure 6
Figure 7
Figure 8

2020     |     www.medigraphic.com

Mi perfil

C?MO CITAR (Vancouver)

Rev Cent Dermatol Pascua. 2021;30