medigraphic.com
SPANISH

Revista del Centro Dermatológico Pascua

ISSN 1405-1710 (Print)
  • Contents
  • View Archive
  • Information
    • General Information        
    • Directory
  • Publish
    • Instructions for authors        
  • medigraphic.com
    • Home
    • Journals index            
    • Register / Login
  • Mi perfil

2021, Number 2

<< Back Next >>

Rev Cent Dermatol Pascua 2021; 30 (2)

Hereditary palmoplantar keratoderma Wachters type. Communication of a case

Villanueva OA, López CLD, Navarrete FG, González GM, Castañeda GP, Quezada MRP, Marín RD
Full text How to cite this article 10.35366/101179

DOI

DOI: 10.35366/101179
URL: https://dx.doi.org/10.35366/101179

Language: Spanish
References: 36
Page: 89-95
PDF size: 326.83 Kb.


Key words:

Hereditary palmoplantar keratoderma, Wachters palmoplantar keratoderma, autosomic recessive pattern of inheritance.

ABSTRACT

Palmoplantar keratodermas are a heterogeneous group of diseases, characterized by marked thickening of the epidermis on the palms and soles. They may have an acquired or hereditary origin, and according to their distribution they can be, diffused, localized (nummular/ linear) or papular. In this article we present the case of a patient with Wachters' palmoplantar keratoderma, with a probable autosomic recessive inheritance, that presented keratotic localized painful plaques on palms and feet, without association to another disease.


REFERENCES

  1. Arenas RG. Dermatología atlas, diagnóstico y tratamiento. 7a ed. México. Cuarta Edición, Interamericana, Mc-Graw-Hill. 2019, 362-364.

  2. Kelsell DP, Leigh IM. Inherited keratodermas of palms and soles. In: Wolff K, Goldsmith LA, Katz SI, Gilchrest BA, Paller AS, Leffell DJ, editors. Fitzpatrick's dermatology in general medicine. 7th ed. McGraw Hill. 2008, 424-431.

  3. Itin PH, Fistarol SK. Palmoplantar keratodermas. Clin Dermatol. 2005; 23: 15-22.

  4. Ratnavel RC, Griffiths WAD. The inherited palmoplantar keratodermas. Br J Dermatol. 1997; 137: 485-490.

  5. Bardazzi F, Virdi A, Tengattini V. At-home chiropody as an alternative/complementary treatment for palmoplantar keratoderma. J Am Acad Dermatol. 2013; 69: 293-294.

  6. Lucker GP, Van de Kerkhof PC, Steijlen PM. The hereditary palmoplantar keratoses: an updated review and classification. Br J Dermatol. 1994; 131: 1-14.

  7. Fischer J, Bouadjar B, Heilig R, Huber M, Lefevre C, Jobard F et al. Mutations in the gene encoding SLURP-1 in mal de Meleda. Hum Mol Genet. 2001; 10: 875-880.

  8. Bergman R, Hershkovitz D, Fuchs D, Indelman M, Gadot Y, Sprecher E. Disadhesion of epidermal keratinocytes: a histologic clue to palmoplantar keratodermas caused by DSG1 mutations. J Am Acad Dermatol. 2010; 62: 107-113.

  9. Has C, Technau-Hafsi K. Palmoplantar keratodermas: clinical and genetic aspects. J Dtsch Dermatol Ges. 2016; 14: 123.

  10. Zemtsov A, Veitschegger M. Keratodermas. Int J Dermatol. 1993; 32: 493-498.

  11. Mehta S, Shankar AU, Agarwal N. A sporadic case of ichthyosis Curth Macklin: rare presentation of a rare disease. Indian J Dermatol. 2015; 60: 522.

  12. Jiang SJ, Di ZH, Huang D, Zhang JB, Zhang YY, Li SQ et al. R75Q de novo dominant mutation of GJB2 in a Chinese family with hearing loss and palmoplantar keratoderma. Int J Pediatr Otorhinolaryngol. 2014; 78: 1461-1466.

  13. Barber AG, Wajid M, Columbo M, Lubetkin J, Christiano AM. Striate palmoplantar keratoderma resulting from a frameshift mutation in the desmoglein 1 gene. J Dermatol Sci. 2007; 45: 161-166.

  14. Duchatelet S, Hovnanian A. Olmsted syndrome: clinical, molecular and therapeutic aspects. Orphanet J Rare Dis. 2015; 10: 33.

  15. Xoagus E, Hudson D, Moodley S. Palmoplantar keratoderma surgical management. J Plast Reconstr Aesthet Surg. 2014; 67: 316-317.

  16. Sethi A, Janda JK, Sharma N, Malhotra SK. Mal de Meleda with congenital cataract: a novel case report. Indian J Dermatol. 2015; 60: 524.

  17. Schiller S, Seebode C, Hennies HC, Giehl K, Emmert S. Palmoplantar keratoderma (PPK): acquired and genetic causes of a not so rare disease. J Dtsch Dermatol Ges. 2014; 12: 781-788.

  18. Kastl I, Anton-Lamprecht I, Gamborg Nielsen P. Hereditary palmoplantar keratosis of the Gamborg Nielsen type. Arch Dermatol Res. 1990; 282: 363-370.

  19. Kabashima K, Sakabe JI, Yamada Y, Tokura Y. "Nagashima-Type" keratosis as a novel entity in the palmoplantar keratoderma category. Arch Dermatol. 2008; 144: 375-379.

  20. Karadag AS, Simsek GC. A family of Unna-Thost disease with one of them showing findings of epidermolytic keratoderma. Indian J Dermatol Venereol Leprol. 2010; 76: 85.

  21. Smith FJD. The molecular genetics of keratin disorders. Am J Clin Dermatol. 2003; 4: 347-364.

  22. Lane EB, McLean WHI. Keratins and skin disorders. J Pathol. 2004; 204: 325-336.

  23. Lee BY, Hogan DJ, Ursine S, Yanamandra K, Bocchini JA. Personal observation of skin disorders in malnutrition. Clin Dermatol. 2006; 24: 222-227.

  24. Dalle S, Becuwe C, Balme B, Thomas L. Venlafaxine-associated psoriasiform palmoplantar keratoderma and subungual hyperkeratosis. Br J Dermatol. 2006; 154: 999-1000.

  25. Miller, Roling, Spiers, Davies, Rawlings, Leyden. Palmoplantar kertoderma associated with hypothyroidism. Br J Dermatol. 1998; 139: 741-742.

  26. Guerra L, Castori M, Didona B, Castiglia D, Zambruno G. Hereditary palmoplantar keratodermas. Part II; syndromic palmoplantar keratodermas. Diagnostic algorithm and principles of therapy. J Eur Acad Dermatol Venereol. 2018; 32: 899-925.

  27. Sehgal VN, Kumar S, Narayan S. Hereditary palmoplantar keratoderma (four cases in three generations). Int J Dermatol. 2001; 40: 130-132.

  28. Miteva L, Schwartz RA. Hereditary keratosis palmoplantaris varians of Wachters (keratosis palmoplantaris striata et areata). Acta Dermatoven Alp Pannonica Adriat. 2010; 19: 33-37.

  29. Padial A, Morales V, Armario-Hita JC, Ingunza JL, Fernández-Vozmediano JM. Keratoderma palmoplantaris varians (Striata et Areata). A form of chronic idiopathic acrokeratosis described by degos. Actas Dermosifiliogr. 2008; 99: 134-137.

  30. Wachters DH, Frensdorf EL, Hausman R, van Dijk E. Keratosis palmoplantaris numularis ("hereditary painful callosities"). J Am Acad Dermatol. 1983; 9: 204-209.

  31. Fartasch M, Vigneswaran N, Diepgen TL, Hornstein OP. Abnormalities of keratinocyte mutation and differentiation in keratosis palmoplantaris striata. Immunohistochemical and ultrastructural study before and during etretinate therapy. Am J Dermatopathol. 1990; 12: 275-282.

  32. Sugiura K, Oiso N, Kawada A, Akiyama M. Six-year-old boy with palmoplantar keratoderma and ichthyosis. J Am Acad Dermatol. 2014; 70: 51-52.

  33. Reis A, Küster W, Eckardt R, Spreling K. Mapping of a gene for epidermolytic palmoplantar keratoderma to the region of the acidic keratin gene cluster at 17q12-q21. Hum Genet. 1992; 90: 113-116.

  34. Kimyai-Asadi A, Kotcher LB, Jih MH. The molecular basis of hereditary palmoplantar keratodermas. J Am Acad Dermatol. 2002; 47: 327-343.

  35. Magro CM, Baden LA, Crowson AN, Bowden PE, Baden HP. A novel nonepidermolytic palmoplantar keratoderma: a clinical and histopathologic study of six cases. J Am Acad Dermatol. 1997; 37: 27-33.

  36. Elder D, Elenitsas R, Johnson L, Bernett Jr, Murphy F, Xiaowei X. Lever's histopathology of the skin. 9th ed. EUA: Lippincott Williams and Wilkins. 2004, 637-665.




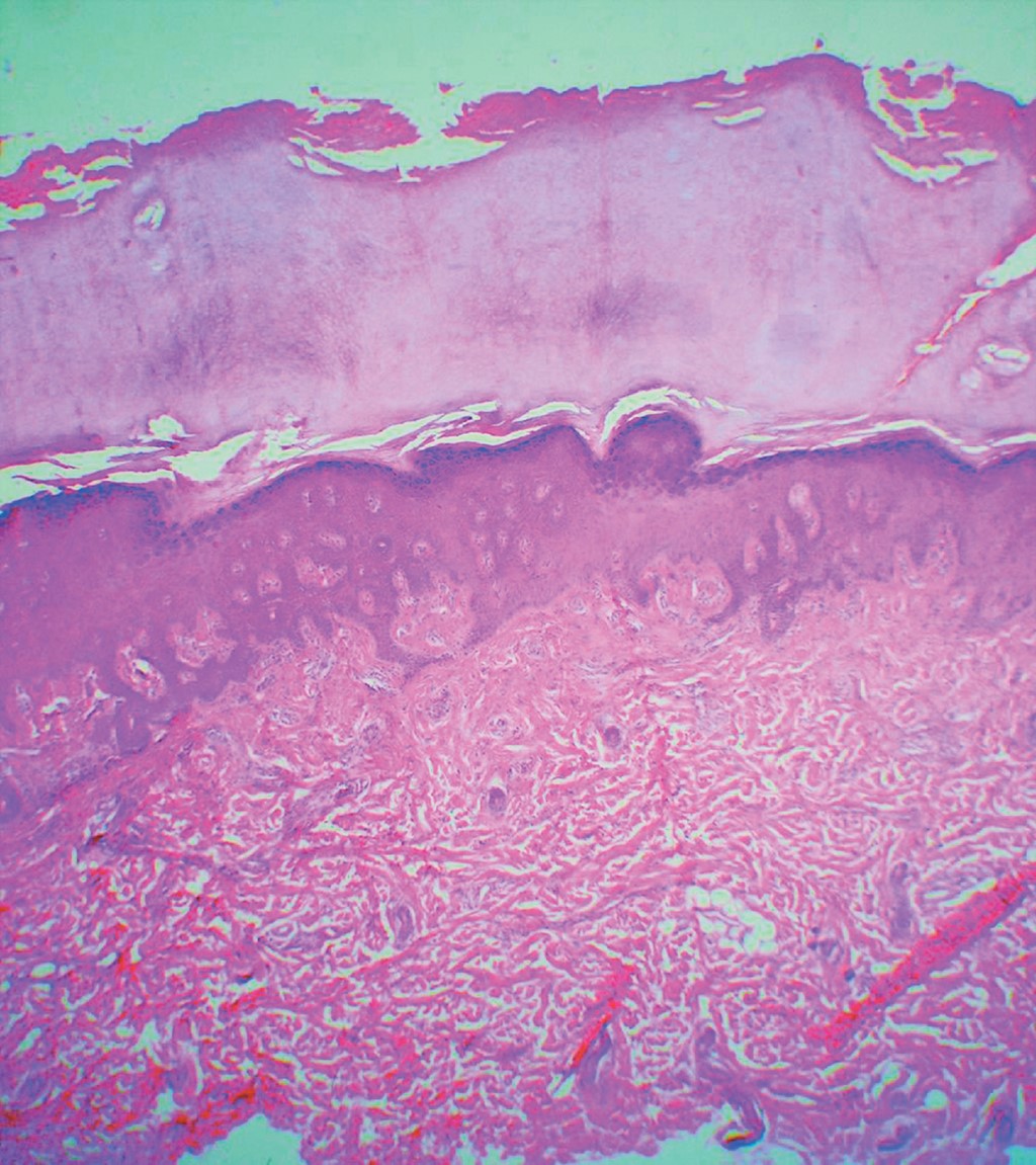
Figure 1
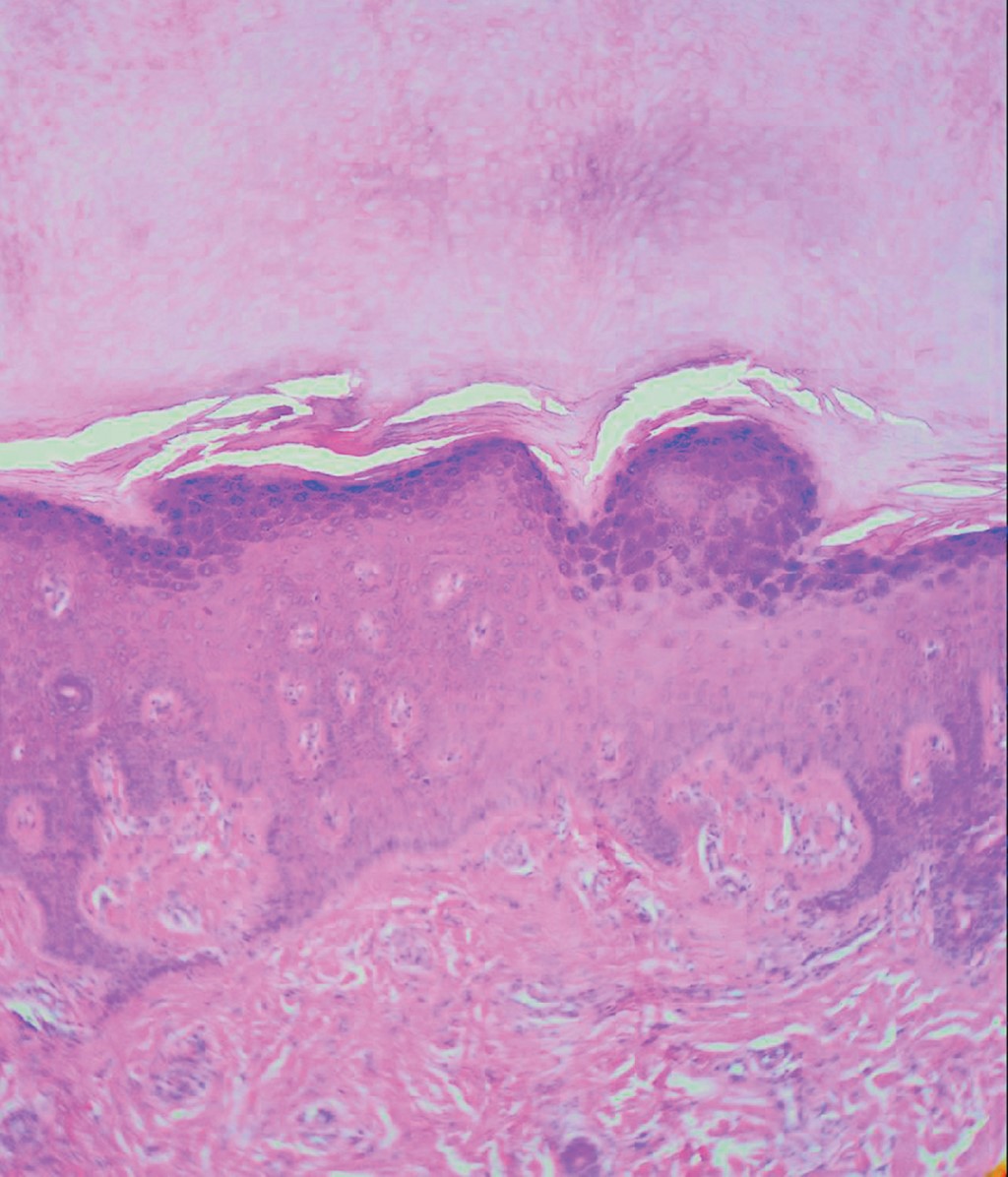
Figure 2
Figure 3
Figure 4
Figure 5
Table 1

2020     |     www.medigraphic.com

Mi perfil

C?MO CITAR (Vancouver)

Rev Cent Dermatol Pascua. 2021;30