medigraphic.com
SPANISH

Revista del Centro Dermatológico Pascua

ISSN 1405-1710 (Print)
  • Contents
  • View Archive
  • Information
    • General Information        
    • Directory
  • Publish
    • Instructions for authors        
  • medigraphic.com
    • Home
    • Journals index            
    • Register / Login
  • Mi perfil

2021, Number 2

<< Back Next >>

Rev Cent Dermatol Pascua 2021; 30 (2)

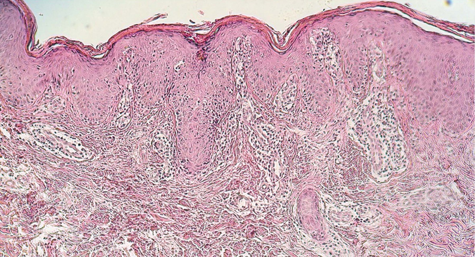
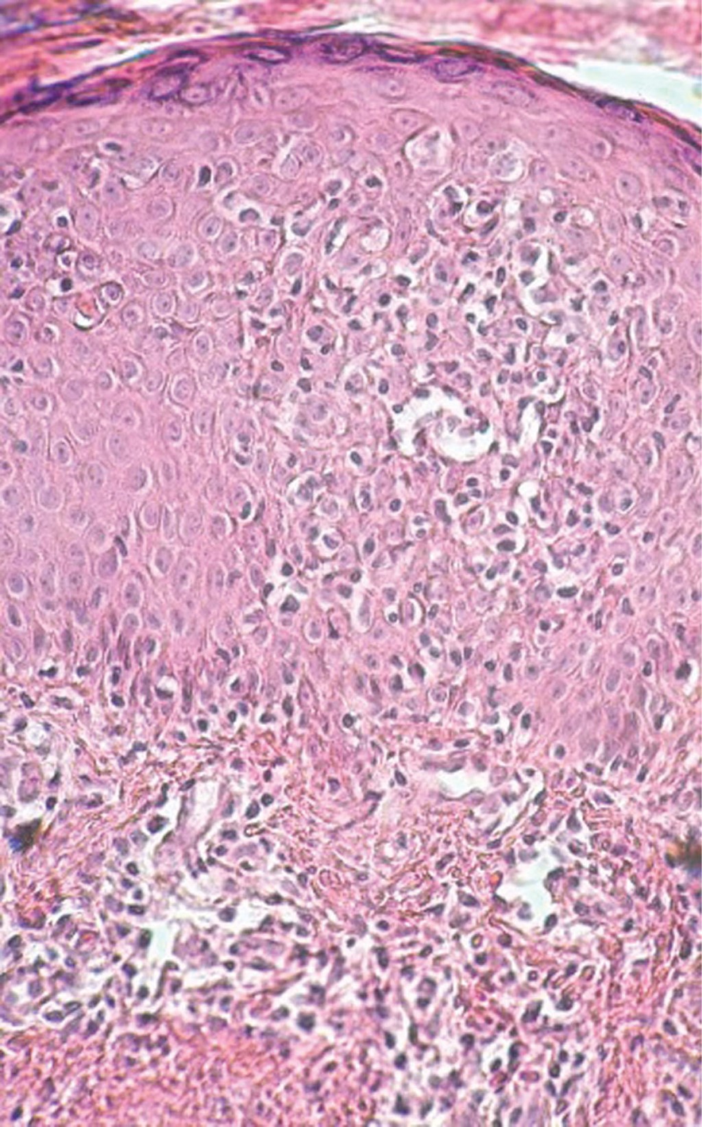
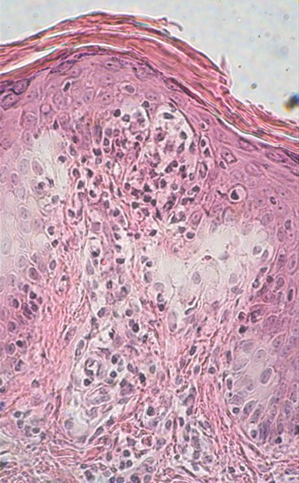
Mycosis fungoides, papular variety

Domínguez GMA, Ramos GJA, García AMJ, Torres VTR
Full text How to cite this article 10.35366/101180

DOI

DOI: 10.35366/101180
URL: https://dx.doi.org/10.35366/101180

Language: Spanish
References: 8
Page: 96-100
PDF size: 304.30 Kb.


Key words:

Mycosis Fungoides, papular variety, cutaneous T-cell lymphoma.

ABSTRACT

Mycosis fungoides is the most common manifestation of T-cell lymphoma at the cutaneous level. At present there are different clinical-pathological varieties. Papular variant was recently described. Its evolution and prognosis vary depending on the time of evolution, being classified as papular mycosis fungoides of "early onset, or late onset". In this article we report the case of a 21-year-old female patient who came to a consultation due to presenting early-onset papular neoformations, diagnosed as papular micosis fungoides, who evolved favorably with the prescribed treatment.


REFERENCES

  1. Kodama K, Fink-Puches R, Massone C, Kerl H, Cerroni L. Papular mycosis fungoides: a new clinical variant of early mycosis fungoides. J Am Acad Dermatol. 2005; 52: 694-698.

  2. Kim SJ, Schaffer A, Lee HY, Seo JY, Park HJ. A case of papular mycosis fungoides: a new clinical variant of early mycosis fungoides. Ann Dermatol. 2016; 28: 383-384.

  3. Liu ZH, Wang YL, Chen SY, Zheng JH, Qiao G, Shen H, et al. Papular mycosis fungoides: a new clinic variant of early and benign mycosis fungoides? J Clin Oncol. 2011; 29: e381-383.

  4. Saggini A, Fink-Puches R, Cota C, Lora V, Potzinger H, Massone C et al. Papular mycosis fungoides is a distinctive variant of early-stage mycosis fungoides. Am J Surg Pathol. 2019; 43: 1129-1134.

  5. Santamarina-Albertos A, Muñoz-Martínez R, Álvarez-Gago T, Miranda-Romero A. Micosis fungoide papular en las piernas, a propósito de un caso. Actas Dermosifiliog. 2014; 105: 87-89.

  6. Vonderheid EC, Kadin ME, Telang GH. Commentary about papular mycosis fungoides, lymphomatoid papulosis and lymphomatoid pityriasis lichenoides: more similarities than differences. J Cutan Pathol. 2015; 43: 303-312.

  7. Martorell-Calatayud A, Botella-Estrada R, Sanmartín-Jimenez O, Requena C, Guillén-Barona C, Sangüeza OP. Papular mycosis fungoides: two new cases of a recently described clinicopathological variant of early mycosis fungoides. J Cutan Pathol. 2010; 37: 330-335.

  8. NCCN Clinical Practice Guidelines in Oncology. Non-Hodgkin's lymphomas. Nat Compr Canc Netw [On Line]. 2015[cited 2021]. Available in: https://www2.tri-kobe.org/nccn/guideline/hematologic/nhl/english/foll.pdf




Figure 1
Figure 2
Figure 3
Figure 4
Figure 5
Figure 6

2020     |     www.medigraphic.com

Mi perfil

C?MO CITAR (Vancouver)

Rev Cent Dermatol Pascua. 2021;30