medigraphic.com
SPANISH

Revista Mexicana de Ortodoncia

ISSN 2395-9215 (Print)
Órgano Oficial de Difusión de la Facultad de Odontología de la UNAM
  • Contents
  • View Archive
  • Information
    • General Information        
    • Directory
  • Publish
    • Instructions for authors        
  • medigraphic.com
    • Home
    • Journals index            
    • Register / Login
  • Mi perfil

2019, Number 3

<< Back

Rev Mex Ortodon 2019; 7 (3)

Ortodontic management of a patient with unilateral crossbite, traction of 6 teeth with bilateral transposition

Llusca Villamil, Carlos Daniel1; Gurrola Martínez, Beatriz2; Casasa Araujo, Adán3
Full text How to cite this article

Language: English/Spanish [Versi?n en espa?ol]
References: 12
Page: 163-170
PDF size: 363.55 Kb.


Key words:

Dolichofacial; orthopedics; retained teeth; dental transposition.

ABSTRACT

A 11-year-old male patient sought orthodontic treatment at the Center for Advanced Studies in Orthodontics, in Mexico City. Objectives: Management of bilateral dental transposition (canine #13 transposed with lateral incisor #12, and upper incisor #22 transposed with canine #23), and correction of right posterior cross bite, of anterior edge-to-edge bite, and of moderate upper crowding. Extraoral examination showed a dolichofacial pattern, skeletal class II, hyperdivergent. Intraoral examination revealed bilateral Angle's class II canine relationship, class III left molar, class II right molar relationships, and moderate upper crowding. The treatment consisted of the extraction of deciduous teeth. In the orthopedic phase, maxillary expansion was performed using a Hass palatal expander with triple screw system modified with hooks for the traction of retained teeth. In the orthodontic phase, for leveling and alignment, 0.022" × 0.028" brackets (Roth prescription) were used, as well as bonded molar tubes in first and second upper and lower molars, with bondable buttons on the teeth under traction. For retention, a bonded retainer was placed from the upper right canine to upper left canine, and upper circumferential retainer with vestibular belt and lower thermoformed retainer were also used. The active treatment lasted one year eight months. Dental transposition is challenging for the orthodontist, who must diagnose the position of the teeth involved for their correct positioning in the dental arch. Because it is a multifactorial anomaly, it is important to be aware of the alternatives that exist to address the problem. Results: Obvious changes were obtained in the final dental position, providing favorable functional and esthetic results for the patient. Conclusions: Dental transposition is a rare condition that can involve 2 or more teeth and entails esthetic and functional problems.



INTRODUCTION

Dental transposition is the positional interchange of 2 adjacent teeth or the eruption of a tooth in a position normally occupied by a nonadjacent tooth resulting in an interchange of two adjacent teeth of the same quadrant. Among its etiological causes are1,2 previous trauma, in which there is an alteration of position and direction of eruption of the dentary germ; genetic influence, alteration of the dental lamina, premature loss of deciduous incisors, or retention of deciduous canines.3 For its diagnosis, two-dimensional radiographs are used to locate the teeth and predict their eruption.4 Also, cone-beam computed axial tomography can locate three-dimensionally the teeth involved, as well as detect possible pathologies linked to dental impaction, such as root reabsorption.5 The incidence of transposition in the population is relatively low, the highest prevalence occurring in the maxilla, unilaterally in 88% of cases. The canine is one of the teeth most involved in transposition, and the lateral incisor is involved in 20% of cases.6 Dental transposition is more common in women. Among treatment options are the transposition interception by extraction of deciduous canines, tooth extraction for malocclusion correction, alignment of teeth in the transposed position and subsequent restorative treatment for camouflage, and orthodontic correction of transposed teeth.7-9



CLINICAL CASE

An 11-year-old boy presented for orthodontic treatment at the Center for Advanced Studies in Orthodontics (CESO). On clinical extraoral examination, we observed in smiling frontal view the upper dental midline 1 mm deviated to the right with respect to the facial midline (Figure 1A), a slightly convex profile (Figure 1B), and dolichofacial skeletal pattern (Figure 1C). On intraoral examination, a frontal view revealed posterior right crossbite (Figure 1D), anterior edge-to-edge bite, and lower midline deviated to 1 mm with respect to the upper midline. On lateral sides we found class II molar (right) and bilateral canine (Figure 1E) and class III molar (left) relationships (Figure 1F).

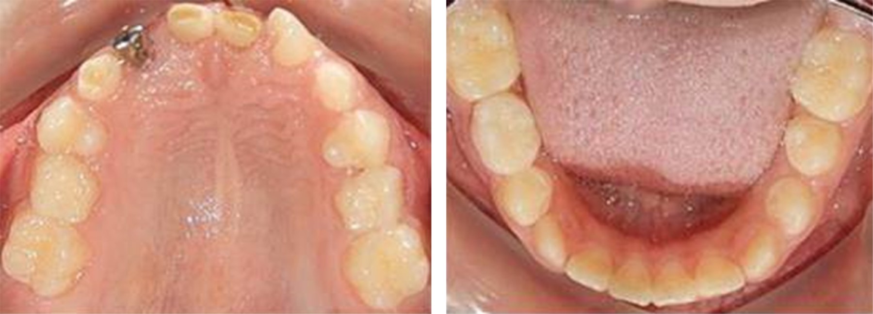
The upper and lower occlusal view (Figure 2). showed oval dental arches and upper moderate crowding with the presence of deciduous teeth

A pretreatment lateral radiograph showed (Figure 3). class II hyperdivergent skeletal pattern, and cephalometric measurements were obtained at onset. In the panoramic radiograph, we observed mixed dentition (37 teeth present, 8 deciduous and 29 permanent teeth). The following teeth were retained: upper left central incisor, upper right central incisor, upper lateral right incisor, and upper right and left canine

Initial cone beam computed tomography (Figure 4). showed bilateral incomplete transposition. In blue the upper central incisors, in light blue the upper canine teeth transposed, and in orange the upper lateral incisors.

The treatment consisted of the extraction of deciduous teeth #51, #52, #53, #55, #61, #62, #63, and #65, and traction of teeth #11, #12, #13, #21, #22, and #23 into the dental arch, maintaining the transposition of teeth #12 transposed with #13 and #22 transposed with #23; and correction of the right posterior cross bite and anterior edge-to-edge bite. In the orthopedic phase, correction of the lower midline deviated 1 mm with respect to the upper midline and correction of the right unilateral cross bite by maxillary expansion using a Hass expander with triple-screw system modified with hooks (Figure 5).

Frontal view of intraoral photographs of treatment in progress. The triple-screw expansion system modified with the traction hooks placed in the vestibular position (Figure 6A). The Hass expander with blue elastomeric chains helped to rotate tooth #11 and to perform traction of tooth #13. Transparent chains were used for traction of tooth #21; green acrylic extensions of the Hass expander were used for the traction arms (Figure 6B). Front view in occlusion and open bite in which the traction of the upper incisors continues (Figure 6C). The bracket was placed and tooth #11 was brought into the arch with a 0.014" NiTi wire.

The upper left central incisor was rotated 180 degrees; for derotation a couple was made through the placement of buttons in palatine and vestibular sides with elastomeric chain. For subsequent torque correction, the inverted or upside-down bracket was placed on the central incisor #21 while it was brought into the arch with a double arch or by-pass technique with a 0.020 stainless-steel wire and a 0.014" NiTi wire (Figure 6D).

Space was obtained for the incorporation of these teeth into the dental arch and open surgical windows were performed in two times: in the first intervention for the upper central incisors and upper right lateral incisor (Figure 7).

In the second intervention, bondable buttons with 0. 012" ligature and elastomeric chain for traction into the arch were placed. The images show placement of buttons on canine teeth (Figure 7A), suture (Figure 7B), 0.020 stainless-steel base arch for traction of transposed upper canines (Figure 7C). In the alignment and leveling stage, the correction of maxillary crowding and the handling of jaw spaces was achieved through the sequence of 0.014", 0.016", 0.018", 0.017" × 0.025" upper and lower NiTi archwires, and 0.018" upper and lower stainless-steel wire. To achieve the esthetic objectives, a 5 to 5 upper and lower gingivoplasty was performed, as well as the characterization of the transposed teeth.



RESULTS

At the end of treatment after one year and eight months, the class II skeletal pattern was maintained, and all retained teeth were in their proper positions in the dental arch. The dental midlines were coincident (Figure 8A), class I canine and bilateral molar relationships were obtained (Figure 8B-C), overbite and overjet were adequate. Finally, an upper circumferential retainer with vestibular belt, a lower thermoformed retainer, and a 3-3 upper bonded retainer were placed (Figure 8D-G). Also shown is the comparative table of cephalometric values at the start and end of the treatment.



DISCUSSION

Dental transposition represents a challenge for the orthodontist, who must determine the position of the teeth involved for their correct positioning within the dental arch. This is a multifactorial condition, so it is important to be aware of the alternatives that exist to address the problem. As Türkkahraman et al. mention,1 canine are the teeth most often involved in transposition, because they are the last teeth to appear and have to move a great distance from their point of formation to that of eruption in the oral cavity. Authors such as Lorente et al.2,10-12 point to different treatment alternatives, such as interception of dental transposition with the extraction of deciduous canine teeth to give a pathway of eruption, tooth extraction for correction of malocclusion, alignment of teeth in the transposed position and subsequent restorative treatment for esthetic characterization, and orthodontic correction of transposed teeth. Regarding its classification, a complete transposition occurs when both crown and root are interchanging the position, and incomplete transposition when only the crowns are in the transposed position. The case that we reported here was of an incomplete transposition and the problem was solved. The patient obtained obvious and favorable changes from the functional and esthetic point of view; all the treatment plan goals were met.



CONCLUSIONS

Dental transposition is a rare condition that can involve two or more teeth and entails esthetic and functional issues. There are several ways to manage this anomaly, such as keeping teeth in transposed positions to subsequently perform an esthetic characterization. In this case, we used a conservative and suitable treatment for the resolution of the problem and the results were highly satisfactory.


REFERENCES

  1. Türkkahraman H, Yilmar H. Maxillary canine transposition to incisor site: a rare condition. Angle Orthodontist. 2005; 75(2): 284-287.

  2. Lorente T, Lorente C, Murray P, Lorente P. Surgical and orthodontic management of maxillary canine-lateral incisor transpositions. Am J Orthod Dentalfacial Orthop. 2016; 150 (5): 876-885.

  3. Arunachalam S, Ashima V, Gandhi S, Mohandas A. Idiopathic failure of eruption of multiple permanent teeth: report of 2 adults with a highlight. Am J Orthod Dentalfacial Orthop. 2007; 132 (5): 687-692.

  4. Serrant P, Mclntyre G, Thomson D. Localization of ectopic maxillary canines. J Orthod. 2014; 41: 8-13.

  5. Nishimura K, Nakao K, Aoki T, Fuyamada M, Saito, K, Gotod S. Orthodontic correction of a transposed maxillary canine and first premolar in the permanent dentition. Am J Orthod Dentalfacial Orthop. 2012; 142: 524-533.

  6. Giacomet F, Araujo M. Orthodontic correction of a maxillary canine-first premolar transposition. Am J Orthod Dentofacial Orthop. 2009; 136: 115-123.

  7. Gebert T, Palma V, Borges A, Volpato L. Dental transposition of canine and lateral incisor and impacted central incisor treatment: a case report. Dental Press J Orthod. [Internet]. 2014 [Consulted 29 June 2018]; 19 (1): 106-112. Available in: http://www.scielo.br/scielo.php?script=sci_arttext&pid=S2176-94512014000100106&lng=en.

  8. Adrian B. Long-term follow-up of severely resorbed maxillary incisors after resolution of an etiologically associated impacted canine. Am J Orthod Dentofacial Orthop. 2005; 127(6): 650-654.

  9. Emanuele M. Dental anomalies and clinical features in patients with maxillary canine impaction. Angle Orthodontist. 2013; 83 (1): 22-28.

  10. Joseph S. Prevalence of tooth transposition, third molar agenesis, and maxillary canine impaction in individuals with down syndrome. Angle Orthodontist. 2000; 70 (4): 290-296.

  11. Mader C, Konzelman J. Transposition of teeth. J Am Dent Assoc. 1979; 98 (3): 412-413.

  12. Maia F. Orthodontic correction of a transposed maxillary canine and lateral incisor. Angle Orthodontist. 2000; 70 (4): 339-348.



AFFILIATIONS

1 First-year resident of master's degree in Maxillofacial Orthodontics and Orthopedics at the Center of Advances Studies in Orthodontics, CESO.

2 Professor at the CESO and full-time "C" professor of Bachelor´s degree of Dental Surgery at the Faculty of Advanced Studies Zaragoza, UNAM.

3 Director of CESO.



CORRESPONDENCE

Beatriz Gurrola Martínez. E-mail: beatgurrola@gmail.com




Received: Agosto 2020. Accepted: Octubre 2020.

Figure 1
Figure 2
Figure 3
Figure 4
Figure 5
Figure 6
Figure 7
Figure 8

2020     |     www.medigraphic.com

Mi perfil

C?MO CITAR (Vancouver)

Rev Mex Ortodon. 2019;7