medigraphic.com
SPANISH

Cirujano General

ISSN 2594-1518 (Electronic)
ISSN 1405-0099 (Print)
  • Contents
  • View Archive
  • Information
    • General Information        
    • Directory
  • Publish
    • Instructions for authors        
    • Send manuscript
  • medigraphic.com
    • Home
    • Journals index            
    • Register / Login
  • Mi perfil

2020, Number 4

<< Back Next >>

Cir Gen 2020; 42 (4)

Gastric volvulus: a case report seen at the Hospital Central Universitario del Estado de Chihuahua

Villela-Cañas, Enrique1; Carrillo-Gorena, Marco Javier1; Soto-Pérez, Armando1; Aguirre-Baca, David Alfonso1; Enríquez-Sánchez, Luis Bernardo1; Padilla-López, José Guadalupe1; Reyes-Carrillo, Armando Isaac1; Pérez-Ruíz, Manuel David1; Contreras-Pacheco, Arely Estefania1
Full text How to cite this article 10.35366/101400

DOI

DOI: 10.35366/101400
URL: https://dx.doi.org/10.35366/101400

Language: English/Spanish [Versi?n en espa?ol]
References: 18
Page: 306-310
PDF size: 212.21 Kb.


Key words:

Gastric volvulus, hiatal hernia, gastric ischemia, gastrectomy.

ABSTRACT

Gastric volvulus is an uncommon clinical entity, characterized by an abnormal rotation of the stomach over one of its axes (longitudinal or axial). It possesses high morbimortality and risk of complications (obstruction or perforation). It is necessary to have a high clinical suspicion to diagnose it early and treat it. A case report of a gastric volvulus in a 50-year-old woman admitted for abdominal symptoms of three days of evolution with pain, nausea and vomiting is presented. During an exploratory laparotomy a grade IV hiatal hernia with associated gastric volvulus was found and treated surgically. However, she had a torpid evolution and died due to complications.



INTRODUCTION

Gastric volvulus (GV) (from Latin volvere: to turn) is an uncommon condition defined as an abnormal rotation of the stomach over its axis at more than 180o,1 was first described in 1866 by Berti.2 Delay in diagnosis results in high morbidity and mortality rates due to its potential complications, thus often requiring urgent surgical treatment.3 A literature review conducted in the PubMed database from 1999-2018 sought information on clinical presentation, GV type, its etiology, diagnostic tests, treatment, and outcomes where cases without such information were excluded, resulted in only 43 reported cases. Mesenteric axial GV (51.1%) was the most frequent, followed by the organ axial GV (46.5%). Surgical treatment was the therapeutic mainstay in 90.7% of patients. Three deaths were reported, and the rest of the patients had a successful recovery.2 In other reports published up to 2009, 350 cases had been reported worldwide.4 It is a pathology with a higher frequency in pediatric age (20%).4 Peak incidence in adults is around the fifth decade of life.4 Mortality with timely diagnosis and treatment of acute GV is 15-25% and in chronic GV is 0.13%.2 However, with late treatment or complications a mortality rate of 30-50% is reported.5 It can be classified according to its etiology and axis of rotation. In pediatric patients, primary causes predominate due to immaturity of the stomach and its ligaments or congenital diaphragmatic hernial defects,6 while in adults the highest percentage are secondary5 due to anatomical alterations of the stomach or surrounding organs, the most common cause being a paraesophageal hernia.7



PRESENTATION OF THE CASE

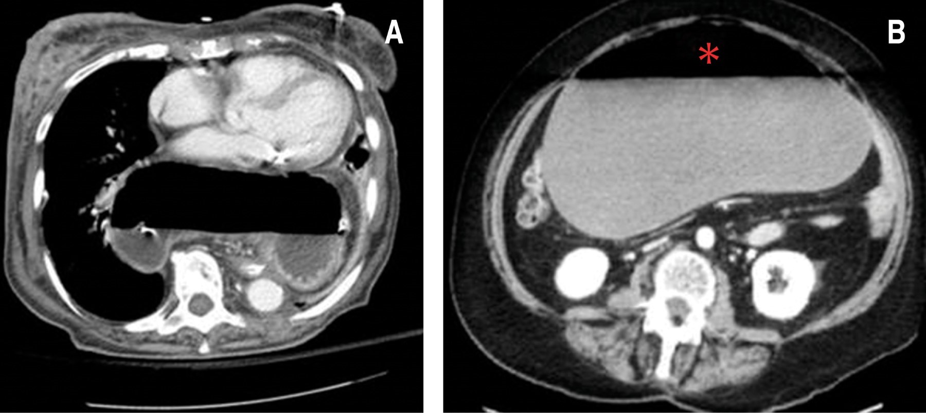
A 50-year-old woman with a history of type 2 diabetes, untreated hypertension, morbid obesity, and hysterectomy 20 years ago was admitted to the hospital. Her condition began three days prior to admission with progressive cramping pain in the epigastrium, abdominal distension, nausea, and vomiting on multiple occasions, dyspnea at rest, non-quantified febrile episodes, and no bowel movements for the last five days. Her vital signs were blood pressure 133/100 mmHg, heart rate 122 beats per minute, respiratory rate 36 breaths per minute, and temperature 37.7 oC. On examination, the left lung fields were hypo ventilated, the rigid abdomen showed generalized distension, tympanic on percussion, and intense pain on palpation predominantly in the epigastrium, no peristalsis was heard, and the rebound sign was positive. Hydric resuscitation was started, and laboratory studies were requested. A computed axial tomography scan showed signs of a hiatal hernia grade IV and toxic megacolon (Figure 1). Laboratory results were as follows: blood white cells of 16,300 cells/µl, neutrophil count of 14,000 cells/µl, hemoglobin 17.3 g/dl, platelet count of 409,000 u/µl, arterial blood gas with lactate 5.5 mmol/l and pH 7.48. Gastric decompression was performed via a nasogastric tube (NGT) placed without difficulty. Ranitidine 50 mg iv, dexamethasone 8 mg iv, metoclopramide 10 mg iv, ceftriaxone 1 g iv, butylhioscin 20 mg iv, and paracetamol 1 g iv were administered. An exploratory laparotomy was performed on 12/07/18 and a grade IV hiatal hernia was found with a secondary gastric volvulus type II showing gastric necrosis. Reduction of the hernial sac and of the GV, a Nissen type fundoplication and a partial gastrectomy with Billroth II technique in manual Brown's omega were performed. Closure as done with Prolene intestinal needle 3-0 in two planes with Connell and Mayo stitches, as well as a Lembert reinforcement and esophageal hiatus plasty with Prolene® intestinal needle 2-0 simple stitches. No complications occurred at that time; an antibiotic regimen of ciprofloxacin 400 mg iv, every 12 hours for 10 days and metronidazole 500 mg iv, every eight hours for 10 days was indicated, and she was admitted into the Intensive Care Unit. One week later, she presented a 50% dehiscence of the gastro-jejunal anastomosis, with leakage of gastric contents. Primary gastric closure was performed with a Graham patch, and a Bogota bag was placed. Her postoperative lab results showed a leukocytosis of 22,000 cells/µl, neutrophil count of 18,000 cells/µl, hemoglobin level of 8 mg/dl, a platelet count of 123,000 u/µl, pH of 7.31, lactate of 3.9 mmol/l, and data of renal failure associated with creatinine of 3.2 mg/dl, urea of 65 mg/dl, urea nitrogen 45 mg/dl, sodium 153 mEq/l, potassium 2.8 mEq/l, chlorine 110 mEq/l. Later, and due to the persistence of the leak, a surgical cleaning procedure and a partial gastrectomy and Roux-en-Y gastro-jejunal anastomosis in two planes with Connell and Mayo stitches and reinforcement of Lembert stitches with 3-0 Prolene® intestinal needle, and a subsequent jejunostomy using 2-0 silk with simple stitches to abdominal wall aponeurosis were performed. In the following weeks she underwent four surgical cleaning procedures, replacement of the Bogota bag and a Stamm type gastrostomy due to intestinal leakage. She persisted with abdominal sepsis, had a perforation of the anastomosis and a gastric T-tube was placed. In the cavity was found abundant purulent and foul-smelling material, in addition to a frozen abdomen. During her stay she was managed with multiple antibiotic therapy with ciprofloxacin and metronidazole, changing to meropenem 500 mg iv, every eight hours, and subsequent adjustment to tigecycline 100 mg iv, continuing with 50 mg iv, every 12 hours and vancomycin 1 g iv, every 12 hours for 10 days, in addition to total parental nutrition, showing no improvement in her general status. Due to positive peritoneal fluid cultures for multi-resistant Staphylococcus aureus and Acinetobacter baumannii, her morbid obesity and poor nutritional status, she developed septic shock of abdominal focus, and died one month after admission.



DISCUSSION

GV is a rare condition with a high mortality rate (30-50%), so it is necessary to know the pathology and its presentation for timely diagnosis and intervention.2,7 The classification we used was that of Singleton (Figure 2):

Type I. Organ-axial: rotation of the stomach over its longitudinal axis, which extends from the gastroesophageal junction to the pylorus. The antrum rotates in the opposite direction to the gastric fundus. This is the most common presentation of gastric volvulus (60% of cases).

Type II. Mesenteric axial: rotation of the stomach over its horizontal axis passing through the greater and lesser curvatures. It presents as an idiopathic condition with chronic or intermittent symptoms (30% of cases).

Type III. Mixed: combination of organ-axial and mesenteric-axial rotation, it is an extremely rare entity (2% of cases).

Type IV. Unclassified (8%).

Primary gastric volvulus is due to defects in the gastric anchorage due to hyperlaxity or agenesis of the gastrocolic, gastrohepatic, gastro-phrenic and gastrosplenic ligaments or due to alterations in the esophageal hiatus, retroperitoneal fixation of the duodenum, and short gastric vessels.8 The secondary form (65-70% of cases) of gastric volvulus is due to disorders of gastric anatomy (peptic ulcer or tumors) or its function (hypomotility, distension); or to anomalies of adjacent organs (hiatal hernia, congenital diaphragmatic hernia, phrenic nerve palsy, asplenia, or wandering spleen), trauma or previous abdominal surgery with section of gastric ligaments, as in liver transplantation and fundoplication.7,9

Its clinical presentation varies according to etiology, speed of progression, type of volvulus, degree of rotation and resulting obstruction, so the symptoms may mimic any abdominal condition. In the acute form, Borchardt's triad (severe epigastric distention with abdominal pain, intractable retching, and inability to pass a gastric tube) is diagnostic in 70% of adult patients.3,10 The subacute form of gastric volvulus is characterized by vague abdominal discomfort, while in chronic GV the symptomatology is nonspecific with epigastric pain, early satiety, nausea or vomiting.8 Other symptoms may be atypical chest pain, anemia, weight loss, dyspnea, reflux, postprandial abdominal distention. or dysphagia and may appear irregularly over weeks or years.7 The high probability of exacerbation of chronic VG should be reminded. Secondary complications of acute GV are gastric ileus, pyloric ischemia, gastric necrosis with perforation, and even death.3,11 Diagnosis is usually difficult due to a low clinical suspicion and can range from being an incidental radiological finding to an urgent situation.12 Abdominal plain X-rays usually show gastric dilatation with gas scarcity in the remaining part of the intestine.2 If the GV is secondary to a diaphragmatic defect, a retrocardiac air bubble or air level may be found in the chest (Figure 3); especially in the mesenteric-axial form the gastric shadow shows a double level of air and fluid in the standing position, while in the organ-axial form, the stomach is more horizontally positioned with a single fluid level.13 An upper gastrointestinal barium series is considered more specific than the plain radiographs, as it reveals the obstruction of the stomach at the site of the volvulus and its distension at the level of the diaphragm (Figure 4).8 In our case, the presentation was not the classic one, and therefore an accurate preoperative diagnosis was not achieved. It was necessary to perform a CT scan, which is consistent with the study by Mazaheri et al, which supports its use since this imaging study has the highest sensitivity and specificity for the diagnosis of GV and an accuracy of 90%. In the CT scan imaging, the most important finding is the transition point of the pyloric peak,14 which confirms the diagnosis with anatomical details and possible associated conditions (paraesophageal and diaphragmatic hernias, diaphragmatic eventration). In a late stage of a GV, the vascular involvement may result in findings of gastric ischemia, ulceration, or gastric mucosal fissures.11,15 The hemodynamic status of our patient did not allow further studies to be performed so we proceeded to perform an urgent exploratory laparotomy. Treatment can be conservative or surgical depending on the clinical presentation and possible associated anomalies. While in the acute phase the GV should be treated with an emergency surgical intervention, there are no clear guidelines on the management of chronic GV.11,14 Initial management should be with a gastric tube placement for decompression, followed by surgery to check gastric viability, resection if necrosis is present, and a definitive surgical treatment such as reduction of rotation, gastrostomy, gastropexy, and repair of predisposing defects.17 In a retrospective study of patients with GV and conservative management for five years, it was found that symptomatic recurrence was 64%, but this is only an option for patients with chronic GV, especially those over 60 years of age and with high surgical risk17 and involves reduction or percutaneous endoscopic gastrostomy plus prokinetic and antisecretory treatment. However, there is a high risk of gastric perforation.16 In our case it was determined that the patient was not a candidate for this type of management.1,18 Minimally invasive surgery, such as endoscopic de-rotation and single incision laparoscopic surgery, has gained ground over classic techniques due to the lower rate of complications, with less bleeding and shorter hospital stay, so it is necessary to establish a standard procedure under this technique. The option of a more drastic management with the performance of a total gastrectomy with end-to-end esophageal-jejunal anastomosis should be considered from the beginning, trying to avoid complications, the risk of infection and repetitive surgical trauma.12



CONCLUSIONS

Despite the comprehensive management of the case, the outcome was fatal due to the time of evolution and the patient's own comorbidities. This requires analyzing and emphasize the options and care to improve pre and postoperative conditions of cases with this entity. GV represents a challenge for which it is necessary to have a high diagnostic suspicion when approaching an acute abdomen and to rely on imaging studies with high sensitivity and specificity to reach an accurate diagnosis. Therefore, it is necessary to maintain constant updating and training to deal with this type of pathology.


REFERENCES

  1. Takahashi T, Yamoto M, Nomura A, Ooyama K, Sekioka A, Yamada Y, et al. Single-incision laparoscopic gastropexy for mesentero-axial gastric volvulus. Surg Case Rep. 2019; 5: 19.

  2. Akhtar A, Siddiqui FS, Sheikh AAE, Sheikh AB, Perisetti A. Gastric volvulus: a rare entity case report and literature review. Cureus. 2018; 10: e2312.

  3. Caldaro T, Torroni F, Romeo E, Federici di Abriola G, Dall'Oglio L. Gastric volvulus. In: Till H, Thompson M, Foker J, Holcomb G, Khan K. Esophageal and gastric disorders in infancy and childhood. Berlin, Heidelberg: Springer; 2017. Vol. 1. pp. 1355-1360.

  4. Chand K, Dey SK, Shaw SC. Chronic gastric volvulus: Cause of feed intolerance. Indian J Pediatr. 2018; 85: 686-687.

  5. Murata R, Kamiizumi Y, Ishizuka C, Kashiwakura S, Tsuji T, Kasai H, et al. Recurrent gastric volvulus associated with a gastrointestinal stromal tumor: A case report. Int J Surg Case Rep. 2019; 57: 126-129.

  6. Rajkumar JS, Venkatesan G, Rajkumar A, Prabhakaran R, Akbar S. A case of organo-axial gastric volvulus following laparoscopic fundoplication: a case report. Indian J Surg. 2017; 79: 357-359. doi: 10.1007/s12262-016-1584-9.

  7. Al Daoud F, Daswani GS, Perinjelil V, Nigam T. Acute organoaxial gastric volvulus: a massive problem with a twist-case report. Int J Surg Case Rep. 2017; 41: 366-369.

  8. Ostiz Llanos M, Ruiz Goikoetxea M, Cozcolluela C. Chronic gastric volvulus: an uncommon cause of dyspepsia. RAPD online. 2018; 41: 311-313.

  9. Moreno-Egea A, Morales Cuenca G. Gastric volvulus due to chronic diaphragmatic hernia. Rev Chil Cir. 2016; 68: 205-207.

  10. Moore C, Matthews LR, Danner O, Taha A, Bashan-Gilzenrat A, Nguyen J, et al. "Black esophagus" and gastric volvulus following slipped laparoscopic adjustable gastric band. Obes Surg. 2018; 28: 2941-2948.

  11. Sánchez CS, Vique BL, Ardiles CO, Herquiñigo RD. Gastric volvulus: Why remember it? Review of a case. Rev Chil Radiol. 2012; 18: 129-135.

  12. Jain R, Singh V, Shah U. Total gangrenous mesentroaxial mesentroaxial gastric volvulus: case report. Indian J Surg. 2018; 80: 616-617.

  13. Eshiba A, Kotb M, Shehata S. Acute gastric volvulus through an unsuspected diaphragmatic hernia. J Pediatr Surg Case Rep. 2019; 41: 21-23.

  14. Mazaheri P, Ballard DH, Neal KA, Raptis DA, Shetty AS, Raptis CA, et al. CT of gastric volvulus: interobserver reliability, radiologists' accuracy, and imaging findings. AJR Am J Roentgenol. 2019; 212: 103-108.

  15. Ramos GP, Majumder S, Ravi K, Sweetser S. Role of diagnostic preoperative upper gastrointestinal endoscopy in radiologically confirmed gastric volvulus. Dig Dis Sci. 2018; 63: 3091-3096.

  16. Kumar B, Kalra T, Namdeo R, Soni RK, Sinha A. Acute gastric volvulus: A vicious twist of tummy-case report. Int J Surg Case Rep. 2017; 30: 81-85.

  17. Hsu YC, Perng CL, Chen CK, Tsai JJ, Lin HJ. Conservative management of chronic gastric volvulus: 44 cases over 5 years. World J Gastroenterol. 2010; 16: 4200-4205.

  18. Yates RB, Hinojosa MW, Wright AS, Pellegrini CA, Oelschlager BK. Laparoscopic gastropexy relieves symptoms of obstructed gastric volvulus in highoperative risk patients. Am J Surg. 2015; 209 (5): 875-880.



AFFILIATIONS

1 Department of General Surgery, Hospital Central Universitario "Dr. Jesús Enrique Grajeda Herrera", Chihuahua, Mexico.



Ethical considerations and responsibility

Protection of humans and animals: The authors declare that no experiments on humans or animals have been performed for this research.

Data confidentiality: The authors declare that they have followed their center\'s protocols on the publication of patient data.

Right to privacy and informed consent: The authors declare that no individual patient data appear in this article.

Disclosure: There is no conflict of interest on the part of the authors.

Sources of financing: The authors did not receive financial support from the Hospital Central del Estado de Chihuahua during the research, authorship, and publication of this report.



CORRESPONDENCE

Luis Bernardo Enríquez-Sánchez. E-mail: investigationhcu@gmail.com




Received: 02/20/2020. Accepted: 03/23/2021

Figure 1
Figure 2
Figure 3
Figure 4

2020     |     www.medigraphic.com

Mi perfil

C?MO CITAR (Vancouver)

Cir Gen. 2020;42