medigraphic.com
SPANISH

Acta Ortopédica Mexicana

ISSN 2992-8036 (Electronic)
ISSN 2306-4102 (Print)
Órgano Oficial del Colegio Mexicano de Ortopedia y Traumatología
  • Contents
  • View Archive
  • Information
    • General Information        
    • Directory
  • Publish
    • Instructions for authors        
  • medigraphic.com
    • Home
    • Journals index            
    • Register / Login
  • Mi perfil

2021, Number 3

<< Back Next >>

Acta Ortop Mex 2021; 35 (3)

Complication in replacement of unconventional tumor prosthesis

Jiménez-García L, Chávez-Valenzuela A, Caballero-López C, López-Ortiz D
Full text How to cite this article 10.35366/102369

DOI

DOI: 10.35366/102369
URL: https://dx.doi.org/10.35366/102369

Language: Spanish
References: 7
Page: 286-289
PDF size: 171.33 Kb.


Key words:

Tumor, fracture, hip, complication, bone.

ABSTRACT

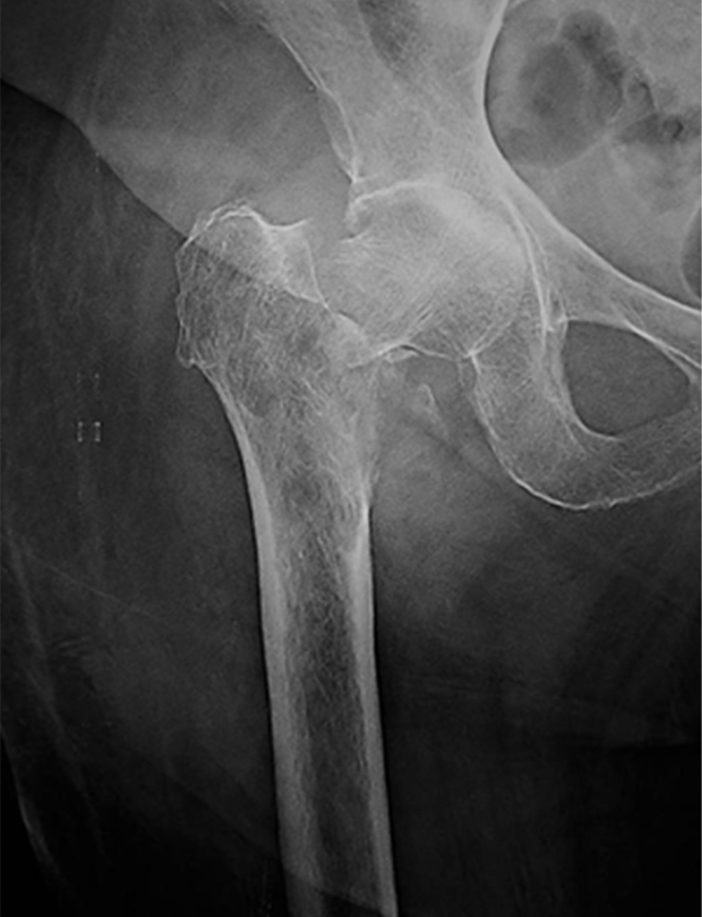
Bone metastases from a primary cancer of any part of the body are the most common form of malignant bone tumor constituting approximately 70% of them. The proximal femur being the most common extra-vertebral location for its location; 10% of patients have some pathological fracture, which is a serious complication. Currently the objectives of the treatment of a pathological fracture are: resection with adequate oncological margins, that the patient survives the surgical intervention, maintain the functionality, that the placed implant has a longer life time than the patient. The use of non-conventional hip prostheses is an excellent treatment option fulfilling the 4 established objectives, therefore this case is presented in which a right bipolar hip hemiarthroplasty is performed with a non-conventional prosthesis where it was treated with a described complication and the surgery of resolution.


REFERENCES

  1. LaVelle DG. Campbell cirugía ortopédica; fracturas y luxaciones. Madrid, España: Marbán; Libro 6; Capítulo 52, 2013, 2804-6.

  2. Sánchez-Torres LJ, Ruiz-Tenorio A, Chávez-Reyna MM, Rodríguez-Domínguez EA, Rascón-Álvarez O, Santos-Hernández M. Origen de la enfermedad ósea metastática quirúrgica. Acta Ortop Mex. [Internet]. Disponible en: http://www.medigraphic.com/pdfs/ortope/or-2013/or133i.pdf

  3. Greenspan A, Remagen W. Tumores de huesos y articulaciones. Madrid: Marbán; Capítulo 8, 2002, 367-88.

  4. Doung YC, Kenan S, Rapp T. Metastatic lesions of the proximal femur. Bull NYU Hosp Jt Dis. 2011; 69(1): 81-6. Disponible en: https://pdfs.semanticscholar.org/1c74/51208d437459f9daf43d8b0a04fd7bab43ea.pdf

  5. Trujillo-González R, Nieto-Lucio L, Mendoza-Breton JA. Incidencia de fracturas patológicas por metástasis en el fémur proximal en un hospital de concentración. Acta Ortop Mex. [Internet]. Disponible en: http://www.medigraphic.com/pdfs/ortope/or-2016/or164d.pdf

  6. Rico-Martínez G, Delgado-Cedillo EA, Linares-González LM, Lindoro-Félix H, León-Hernández SR. Eficacia de la prótesis no convencional para la cadera tipo RIMAG en pacientes con tumores óseos primarios, metástasis y pérdidas osteoarticulares no tumorales. Acta Ortop Mex. [Internet]. 2013; 27(5): 299-304. Disponible en: http://www.medigraphic.com/pdfs/ortope/or-2013/or135d.pdf

  7. Rico MG, Domínguez HV, Muller JA, Delgado CEA, Miranda RJA, Montoya CR. Diseño de una prótesis no convencional bloqueada para cadera (RIMAG) a partir de mediciones de fémures mexicanos. Acta Ortop Mex. [Internet]. 2008; 22(2): 70-9. Disponible en: http://www.medigraphic.com/pdfs/ortope/or-2008/or082b.pdf




Figure 1
Figure 2
Figure 3
Figure 4

2020     |     www.medigraphic.com

Mi perfil

C?MO CITAR (Vancouver)

Acta Ortop Mex. 2021 May-Jun;35