medigraphic.com
SPANISH

Revista Mexicana de Periodontología

ISSN 2007-4360 (Print)
Asociación Mexicana de Periodontología, Colegio de Periodoncistas A.C
  • Contents
  • View Archive
  • Information
    • General Information        
    • Directory
  • Publish
    • Instructions for authors        
  • medigraphic.com
    • Home
    • Journals index            
    • Register / Login
  • Mi perfil

2020, Number 1-3

<< Back Next >>

Rev Mex Periodontol 2020; 11 (1-3)

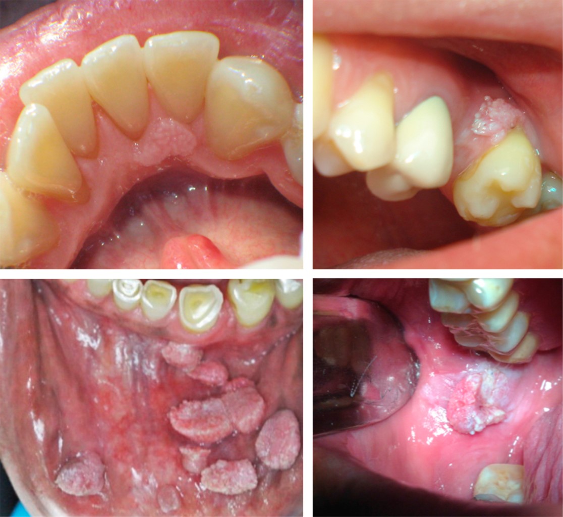
Condyloma acuminatum in the oral cavity: review of the literature

León VLM, Nava VM, Zepeda NJS, Aguirre CDE, Robles GC, Padilla RM
Full text How to cite this article 10.35366/102640

DOI

DOI: 10.35366/102640
URL: https://dx.doi.org/10.35366/102640

Language: Spanish
References: 17
Page: 6-9
PDF size: 288.78 Kb.


Key words:

Condyloma acuminatum, human papillomavirus, verrucous lesions.

ABSTRACT

Condyloma acuminatum (CA) is a lesion and a sexually transmitted disease transmitted by the human papillomavirus (HPV) subtypes 6 and 11 characterized by its exophytic papillomatous cauliflower-like appearance. It is most frequently observed in the anogenital region, however, it can also be found in the oral mucosa. The definitive diagnosis is clinicopathologic and is made by histopathologic study of the lesion and clinical history. The treatment is surgical removal of the lesion by means of scalpel, laser, cryotherapy, among others. Although in some cases the use of immunomodulators, such as imiquimod, is the treatment of choice.


REFERENCES

  1. Cháirez Atienzo P, Vega Memíje ME, Zambrano Galván G, García Calderón AG, Maya García IA, Cuevas González JC. Presencia del virus papiloma humano en la cavidad oral: revisión y actualización de la literatura. Int J Odontostomat. 2015; 9 (2): 233-238.

  2. Nieto Jiménez AI. Condiloma acuminado. Situación actual. Bionaura. 2018; 3 (2): 619-625.

  3. López SAL, Basurto FJC, Salazar MR. VPH en cavidad oral: condiloma. Rev Tame. 2019; 7 (21): 838-841.

  4. Arenas Guzmán R. Dermatología. Atlas, diagnóstico y tratamiento. 6a ed. México: McGraw-Hill; 2015.

  5. Medina ML, Medina MG, Merino LA. Consideraciones actuales sobre la presencia de papilomavirus humano en la cavidad oral. Av Odontoestomatol. 2010; 26 (2): 71-80.

  6. Curi DS, Leite-Ribeiro PM, Torregrossa VR, Vieira VC, Sarmento VA. Efficacy of imidazolquinoline on treatment of condyloma acuminatum of the buccal mucosa. Spec Care Dentist. 2017; 37 (1): 51-54.

  7. Neville B, Damm DD, Allen C, Chi A. Oral and maxillofacial pathology. St. Louis, Missouri: Elsevier; 2016.

  8. Pérez-Salcedo L, Bascones Martínez A. Tumores benignos de la mucosa oral. Av Odontoestomatol. 2010; 26 (1): 11-18.

  9. Fernández López C, Morales Angulo C. Lesiones otorrinolaringológicas secundarias al sexo oral. Acta Otorrinolaringol Esp. 2017; 68 (3): 169-180.

  10. Rozas-Llerena R, Sebastian-Ayala R. Condiloma viral en lengua: presentación de un caso clínico y revisión bibliográfica. Rev Fac Med. 2019; 19 (1): 105-107.

  11. Delgado QEG, Sandoval MMA, Guzmán PJE, Valdivia LA. Condiloma viral en lengua: presentación de un caso clínico y revisión bibliográfica. Arch Med Fam. 2011; 13 (2): 74-76.

  12. Alfonso-Trujillo I, López-Saura PA, Cazarez-Pérez D, Tamargo-Barbeito TO, Hernández-Pavón Y, Puig-Pérez M. Caracterización clínica, epidemiológica y terapéutica de pacientes con condiloma acuminado. Dermatol Peru. 2014; 24 (2): 80-88.

  13. Percinoto AC, Danelon M, Crivelini MM, Cunha RF, Percinoto C. Condyloma acuminata in the tongue and palate of a sexually abused child: a case report. BMC Res Notes. 2014; 7: 467.

  14. Henley JD, Summerlin DJ, Tomich CE. Condyloma acuminatum and condyloma-like lesions of the oral cavity: a study of 11 cases with an intraductal component. Histopathology. 2004; 44 (3): 216-221.

  15. Holmstrup P, Plemons J, Meyle J. Non-plaque-induced gingival diseases. J Periodontol. 2018; 89 Suppl 1: S28-S45.

  16. Carmona-Lorduy M, Porto-Puerta I, Lanfranch H, Medina-Carmona W, Werner L, Maturana S. Manifestaciones bucales de enfermedades de transmisión sexual identificadas en tres servicios de estomatología en Sur América. Univ Salud. 2018; 20 (1): 82-88.

  17. Soto RR, Pérez AJ, Araya SC. Manejo quirúrgico de múltiples condilomas de la mucosa oral en paciente bajo terapia antirretroviral de gran actividad. Int J Odontostomat. 2018; 12 (1): 93-98.




Figure 1
Figure 2
Figure 3

2020     |     www.medigraphic.com

Mi perfil

C?MO CITAR (Vancouver)

Rev Mex Periodontol. 2020;11