medigraphic.com
SPANISH

Revista Mexicana de Ortodoncia

ISSN 2395-9215 (Print)
Órgano Oficial de Difusión de la Facultad de Odontología de la UNAM
  • Contents
  • View Archive
  • Information
    • General Information        
    • Directory
  • Publish
    • Instructions for authors        
  • medigraphic.com
    • Home
    • Journals index            
    • Register / Login
  • Mi perfil

2020, Number 1

<< Back Next >>

Rev Mex Ortodon 2020; 8 (1)

Orthodontic management of retained upper central incisors in clef palate patient

Robalino León, Gabriela Verónica1; Martínez Hernández, Eduardo Adrián2; Herrera Navarrete, Ivonne Scarlleth2; Hernández Carvallo, José Ramón3
Full text How to cite this article

Language: English/Spanish [Versi?n en espa?ol]
References: 23
Page: 16-22
PDF size: 263.59 Kb.


Key words:

Cleft palate, tooth retention, upper central incisors.

ABSTRACT

Introduction: Dental retention is a common problem in patients with cleft palate, due to the bony defect of the cleft. In patients with cleft palate the most common retentions are those of the lateral incisors and canines, but reports on central incisor retentions are lacking. Case report: A 12-year-old male patient with sequelae of secondary palate; dental organs #11 and #21 retained in horizontal position at apical level; open and anterior crossbite, bilateral non-assessable canine class, bilateral class I molar, class III skeletal malocclusion due to maxillary hypoplasia. Treatment consisted of placement of edgewise appliances, surgical flap of dental organs #11 and #21, and traction of the same. Objectives: To correct the location of the retained dental organs #11 and #21, to maintain the ideal crown-root proportion during traction, to achieve an adequate overbite, bilateral class I canine and class I molar, to provide occlusal stability, facial aesthetics, articular and periodontal health. Results: Correct position of dental organs #11 and #21 was achieved, maintaining an optimal crown-root ratio, we achieved an acceptable overbite together with bilateral class I canine and class I molar, bone neoformation adjacent to the traction site, occlusal stability, facial aesthetics, articular and periodontal health.



INTRODUCTION

Patients with cleft palate have a higher incidence of dental anomalies than patients without cleft palate syndromes, due to the bony defect of the cleft; dental anomalies can be numerical, structural and morphological, among others.1-3

Dental anomalies can represent complications in dental treatment; in patients with cleft palate the most frequent is dental retention,2-10 with those of the lateral incisors and canines being the most common in the literature; however, at present there are no reports of retention of upper centrals.3,4,9,11,12

Early diagnosis by means of diagnostic aids (radiographs, tomography) is essential, as dental retention can cause lesions such as root resorption of adjacent roots, tooth displacement, pericoronaritis, abscesses, and represents a delicate problem due to its functional and aesthetic implications.13-15

Management options depend on the type of retention, its severity and age. Treatment options may include extraction of the impacted tooth, tooth transplantation, most require surgical intervention, removal, exposure or transplantation, with or without orthodontic traction to achieve alignment and correct arch placement.16

The prognosis of the retained tooth will depend on several factors, such as position of the tooth, angulation of the tooth, relationship to the roots of adjacent teeth, distance to be travelled, etc.17-20



PRESENTATION OF THE CLINICAL CASE

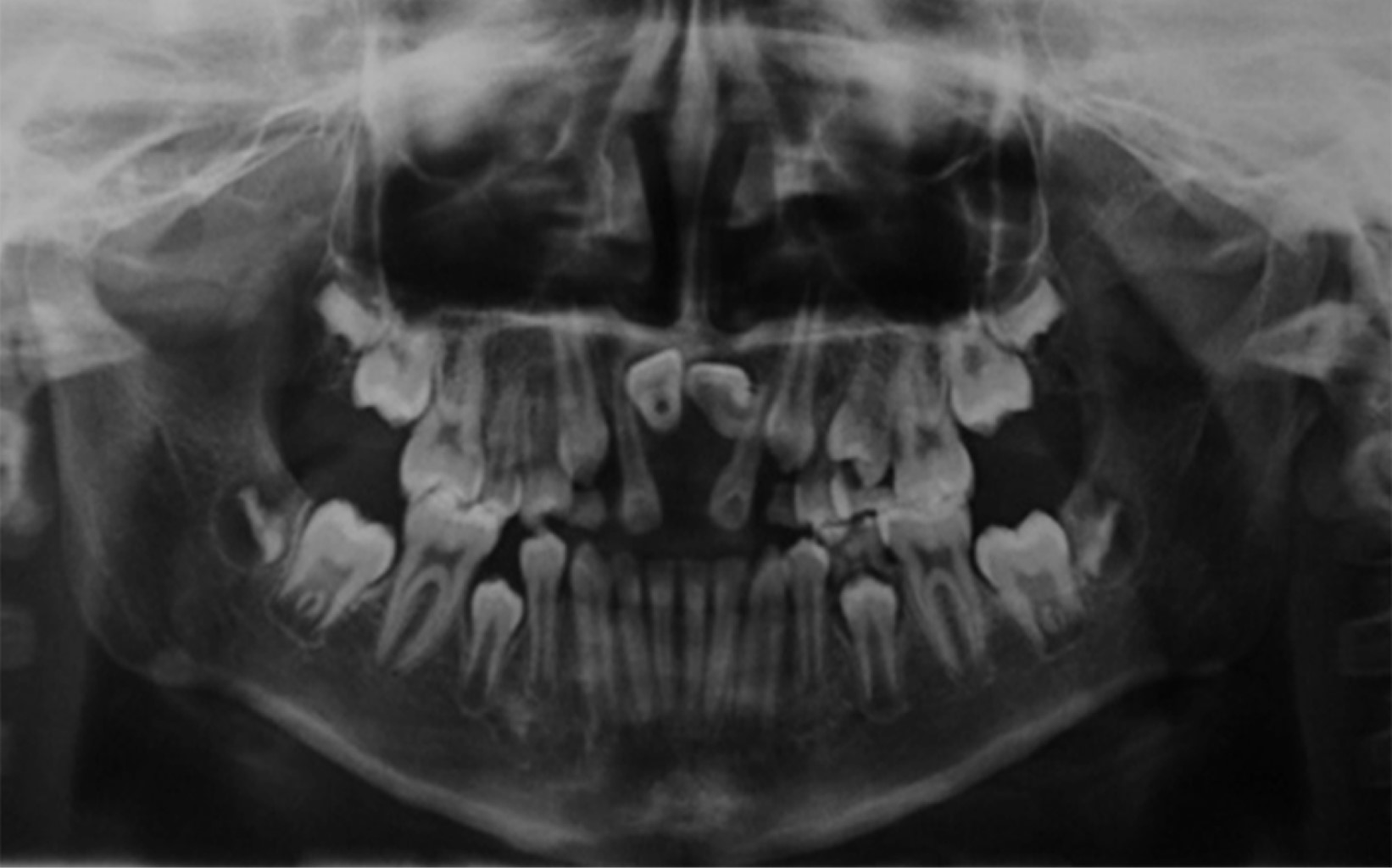
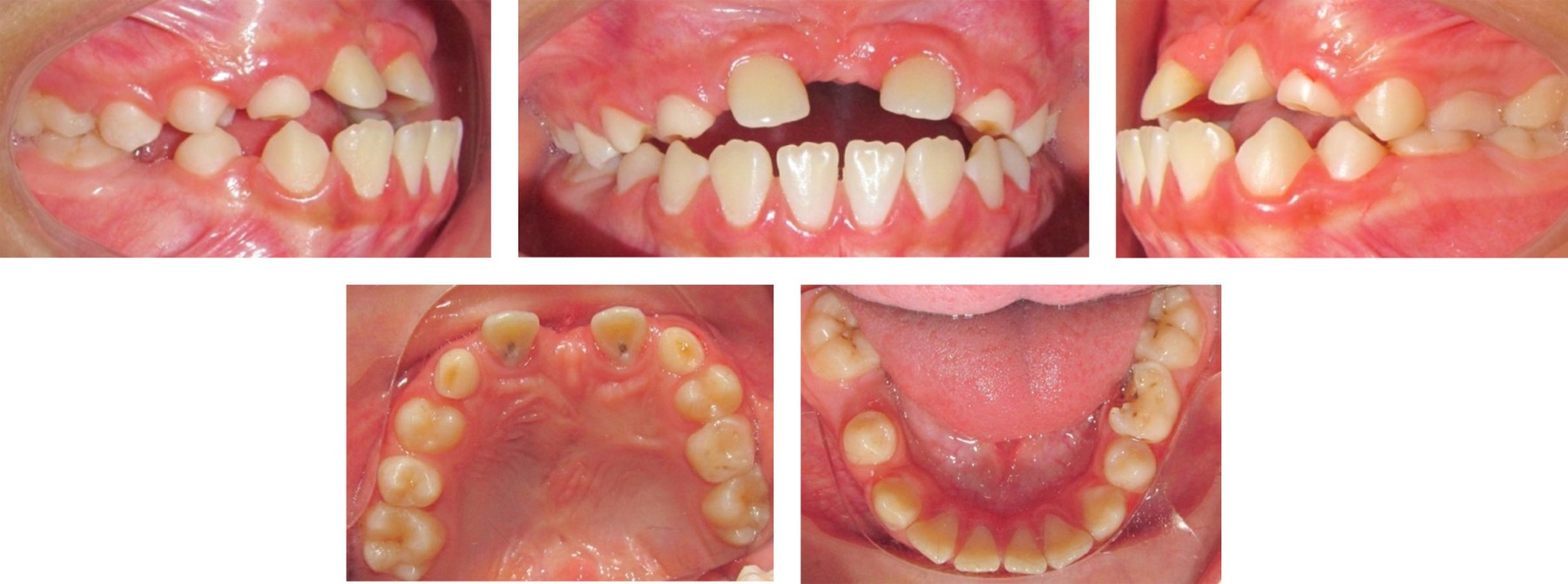
A 12-year-old male patient, with sequelae of secondary palate, presents at the Centro de Alta Especialidad "Dr. Rafael Lucio" with the consultation reason "my front teeth are missing", no allergies or habits; mesofacial biotype, oval face, symmetrical, mid-facial line with non-assessable teeth; dental organs #11 and #21 retained in horizontal position at apical level; openbite and anterior crossbite; bilateral class I molar; bilateral non-assessable canine class.

  • Treatment plan

    According to the extraoral and intraoral photographs (Figures 1 and 2), radiographic studies (Figures 3 and 4), and cephalometric data (Table 1), orthodontic treatment with traction of dental organs #11 and #21 was decided in order to fulfil the planned objectives. The treatment was carried out in three phases.

    Phase 1: placement of edgewise slot 0.022" fixed appliances, starting with archwires 0.012" in the upper arch to begin alignment and levelling. To open the necessary space for dental organs #11 and #21, it is decided to wait for the placement of appliances in the lower arch, as an interconsultation is given for the respective restorations to be carried out. Treatment continued with archwires 0.014" NiTi, 0.016" NiTi, 0.016" × 0.022" NiTi, 0.017" × 0.025" NiTi, 0.019" × 0.025" NiTi. Once the necessary alignment and space for the dental organs #11 and #21 is achieved, it is decided to place an archwire 0.019" × 0.025" steel and the interconsultation for the odontopexy is given.

    Phase 2: in odontopexy, a mucoperiosteal flap is made to expose dental organs #11 and #21, the follicular sac is incised, buttons are placed on the palatal side of both teeth, the technique for odontopexy is performed with semilunar access due to the proximity of the retained upper incisors to the floor of the nostrils, the flap is completely repositioned (closed flap), and the ligature is left free to begin traction.

    Phase 3: immediately after the odontopexy, it is decided to begin traction using a metal ligature with an elastomeric chain and 40 g of force to begin with. Subsequently the force is increased without exceeding 60 g. When the upper centrals are exposed, the buttons are replaced by brackets to improve their position and the use of intermaxillary elastics is alternated to improve seating and favour the overbite. Dental organ brackets #13 to #23 are replaced by Roth philosophy to improve torque and upper and lower circumferential retainers are used for retention.



    RESULTS

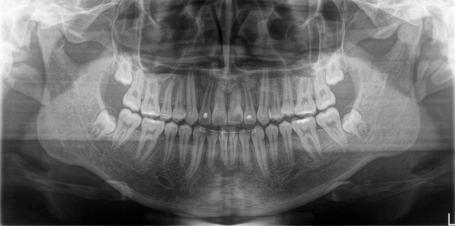
    The duration of treatment was 48 months, the position of dental organs #11 and #21 was adequate, the overbite was corrected, bilateral class I canine and class I molar were achieved, a positive arch smile, correct anterior guidance (overjet and overbite), coincidence of midlines, elimination of open bite in the anterior sector (Figures 5 and 6); the correct position of the dental organs #11 and #21 was observed in the radiographic examination, with no root resorption and, bone neoformation adjacent to the traction site (Figure 7).



    DISCUSSION

    Orthodontic traction is a treatment option in cases of dental retention. The goal should always be, as far as possible, to conserve the dental organs and always opt for a conservative treatment plan.15

    The upper central incisors are key teeth for the function and aesthetics of the patient; the biomechanics of traction and the care of the soft tissues are a real challenge for the orthodontist, as their success will guarantee a good gingival architecture in the tractioned tooth.16

    Bishara, Lin, Boyd, McDonald and Vermette point out that surgical exposure of retained teeth with their respective traction is currently the most commonly used treatment, however, the viability of the treatment should be taken into account, and the importance of the force used for traction should not be underestimated, as it is a fundamental part of the treatment.16-23 In our case, we use light and constant forces, never exceeding 60 g.

    Stabilisation of teeth using endodontic implants is an alternative when the teeth adjacent to the retention have been affected, with proper selection of the case, surgical technique and choice of material to be used being important, as well as clinical and radiographic controls of the patient.23



    CONCLUSION

    In order to achieve successful treatment, correct diagnosis, knowledge of biomechanics and the cooperation of the patient are necessary. In the case of dental retentions, it is important to take into account the key points to be assessed, such as the position of the retained tooth in relation to the adjacent teeth, the path it must follow to its correct position, angulation of the retained tooth, dilasceration, root resorption that could occur, as well as ankylosis. In patients with cleft palate it is always necessary to try to preserve the retained teeth because they help to conserve bone at the site. One of the most important findings in this case was bone neoformation due to the traction of the retained upper centrals.

    Treatment of a retained central incisor requires good multidisciplinary management and knowledge of biomechanics, with periodontal exposure, followed by orthodontic traction of the retained tooth organ.


    REFERENCES

    1. Sánchez Peña MK, Galvis Aricapa JA. Anomalías dentales de los pacientes con labio y paladar hendido: revisión de la literatura. Rev Nac Odontol. 2019; 15 (29): 1-17.

    2. Flores-Nava G, Pérez-Aguilera TV, Pérez-Bernabé MM. Malformaciones congénitas diagnosticadas en un hospital general. Revisión de cuatro años. Acta Pediatr Mex. 2011; 32 (2): 101-106.

    3. Dixon MJ, Marazita ML, Beaty TH, Murray JC. Cleft lip and palate: synthesizing genetic and environmental influences. Nat Rev Genet. 2011; 12 (3): 167-178.

    4. Sáez-Fernández A, García-Espona I. Análisis de las retenciones dentarias en población ortodóncica. Ortod Esp. 2004; 44 (1): 14-24.

    5. Ustrell JM. Manual de ortodoncia. Barcelona: Ediciones Universitat de Barcelona; 2011.

    6. Bianchi SD, Roccuzzo M. Primary impactation of primary teeth: a review and report of three cases. J Clin Pediatr Dent. 1991; 15 (3): 165-168.

    7. Lourenco L, Teixeira L, Costa B, Ribeiro M. Dental anomalies of the permanent lateral incisors and prevalence of hypodontia outside the cleft area in complete unilateral cleft lip and palate. Cleft Palate Craniofac J. 2003; 40 (2): 172-175.

    8. Truque Martínez OG, Longlax Triana MC, Bendahan Álvarez ZC, Ramírez Rodríguez K. Manejo quirúrgico y ortodóntico del incisivo central permanente impactado en posición ectópica: reporte de un caso. Univ Odontol [Internet]. 2014; 33 (70). Disponible en: https://revistas.javeriana.edu.co/index.php/revUnivOdontologica/article/view/5410

    9. Suzuki A, Watanabe M, Nakano M, Takahama Y. Maxillary lateral incisors of subjects with cleft lip and/or palate: Part 2. Cleft Palate Craniofac J. 1992; 29 (4): 380-384.

    10. Tortora C, Meazzini MC, Garattini G, Brusati R. Prevalence of abnormalities in dental structure, position, and eruption pattern in a population of unilateral and bilateral cleft lip and palate patients. Cleft Palate Craniofac J. 2008; 45 (2): 154-162.

    11. Reisberg DJ. Dental and prosthodontic care for patients with cleft or craniofacial conditions. Cleft Palate Craniofac J. 2000; 37 (6): 534-537.

    12. Akcam MO, Evirgen S, Uslu O, Memikoglu UT. Dental anomalies in individuals with cleft lip and/or palate. Eur J Orthod. 2010; 32 (2): 207-213.

    13. Kraus BS, Jordan RE, Pruzansky S. Dental abnormalities in the deciduous and permanent dentitions of individuals with cleft lip and palate. J Dent Res. 1966; 45 (6): 1736-1746.

    14. Al Jamal GA, Hazza'a AM, Rawashdeh MA. Prevalence of dental anomalies in a population of cleft lip and palate patients. Cleft Palate Craniofac J. 2010; 47 (4): 413-420.

    15. Vichi M, Franchi L. Abnormalities of the maxillary incisors in children with cleft lip and palate. ASDC J Dent Child. 1995; 62 (6): 412-417.

    16. Chandhoke TK, Agarwal S, Feldman J, Shah RA, Upadhyay M, Nanda R. An efficient biomechanical approach for the management of an impacted maxillary central incisor. Am J Orthod Dentofacial Orthop. 2014; 146 (2): 249-254.

    17. Pavlidis D, Daratsianos N, Jager A. Treatment of an impacted dilacerated maxillary central incisor. Am J Orthod Dentofacial Orthop. 2011; 139 (3): 378-387.

    18. Bishara SE. Impacted maxillary canines: a review. Am J Orthod Dentofacial Orthop. 1992; 101 (2): 159-171.

    19. McDonald F, Yap WL. The surgical exposure and application of direct traction of unerupted teeth. Am J Orthod. 1986; 89 (4): 331-340.

    20. Boyd RL. Clinical assessment of injuries in orthodontic movement of impacted teeth. I. Methods of attachment. Am J Orthod. 1982; 82 (6): 478-486.

    21. Huaygua Arpita MD, Zeballos López L. Tratamiento quirúrgico del incisivo retenido. Rev Act Clin Med. 2012; 25: 1208-1212.

    22. Montenegro PMA, Hara OF. Tracción de canino retenido superior con aparatología ortodóntica fija Edgewise: Reporte de un caso. Rev Mex Ortodon. 2013; 1 (1): 62-72.

    23. Cava-Vergiú CE, Flores Cueto W, Aguilar Valle M. Extirpación de canino retenido y estabilización dental mediante implantes endodónticos. Kiru. 2009; 6 (1): 46-52.



    AFFILIATIONS

    1 Residente del Posgrado de Ortodoncia. Universidad Nacional Autónoma de México campus Centro de Alta Especialidad (CAE-UNAM). México.

    2 Egresado del Posgrado de Ortodoncia. Universidad Nacional Autónoma de México campus Centro de Alta Especialidad (CAE-UNAM). México.

    3 Coordinador del Posgrado de Ortodoncia. Universidad Nacional Autónoma de México campus Centro de Alta Especialidad (CAE-UNAM). México.



    CORRESPONDENCE

    Gabriela Verónica Robalino León. E-mail: gabyvrobalinoleon@gmail.com




    Received: Junio 2019. Accepted: Septiembre 2019.
  • Figure 1
    Figure 2
    Figure 3
    Figure 4
    Figure 5
    Figure 6
    Figure 7
    Table 1

    2020     |     www.medigraphic.com

    Mi perfil

    C?MO CITAR (Vancouver)

    Rev Mex Ortodon. 2020;8