medigraphic.com
SPANISH

Revista Mexicana de Cirugía Endoscópica

ISSN 1665-2576 (Print)
  • Contents
  • View Archive
  • Information
    • General Information        
    • Directory
  • Publish
    • Instructions for authors        
    • Send manuscript
  • medigraphic.com
    • Home
    • Journals index            
    • Register / Login
  • Mi perfil

2021, Number 1

<< Back Next >>

Rev Mex Cir Endoscop 2021; 22 (1)

Acute abdomen due to ruptured cavernous hemangioma of the omentum in an 8-year-old patient: a case report

Aldape-Mora A, Ramírez-Reyes D, Gómez-Arámbulo R, Reyna-López BG, Salazar-Almanza AA, Carrillo LM
Full text How to cite this article 10.35366/102890

DOI

DOI: 10.35366/102890
URL: https://dx.doi.org/10.35366/102890

Language: Spanish
References: 12
Page: 24-27
PDF size: 241.80 Kb.


Key words:

Acute abdomen, hemangioma, omentum, hemoperitoneum.

ABSTRACT

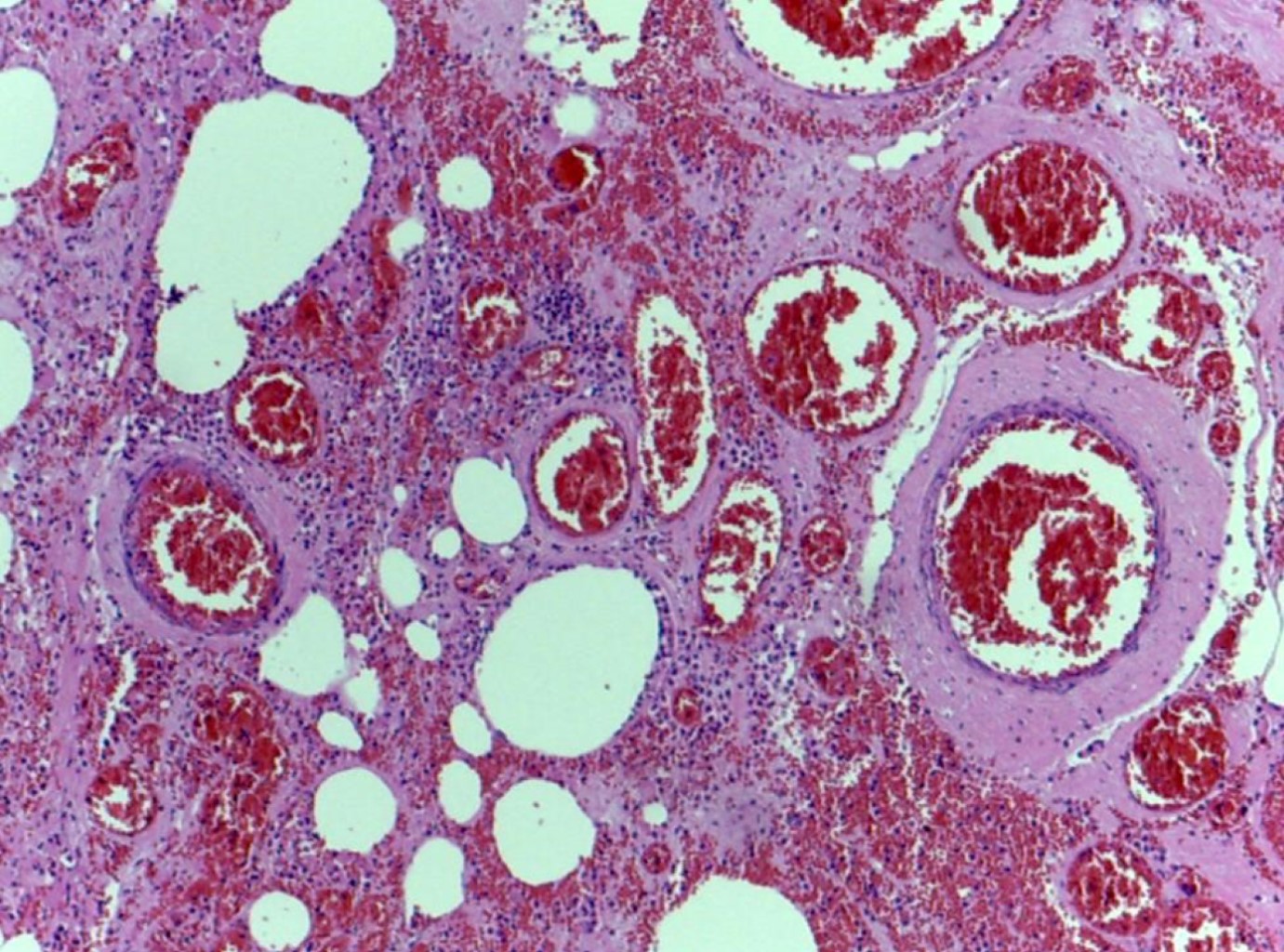
Introduction: Cavernous hemangiomas are tumors composed of dilated blood vessels that contain spaces filled with blood due to the thinning of the wall of their capillaries. Its presentation is very rare within the gastrointestinal tract. They have associated complications such as intestinal perforation, intussusception, gastrointestinal bleeding, and bleeding into the peritoneal cavity. As it is a disease with a low prevalence but with a surgical implication, it is necessary to know its differential diagnosis and be prepared for its identification in the intraoperative period and be familiar with the treatment. Clinical case: The case of an 8-year-old patient with an acute abdomen is presented, performing diagnostic laparoscopy in which hemoperitoneum and a tumor originating from the omentum as the origin of the bleeding was observed. The tumor was completely resected. A cavernous hemangioma of the omentum was reported in the histopathology report. Conclusion: The cavernous hemangioma of the omentum can present as a case of acute abdomen that warrants urgent surgical treatment without the possibility of carrying out extension studies that can make the preoperative diagnosis, making of the laparoscopic approach an excellent option in these cases, as well as a good treatment route with complete resection, adequate control of bleeding, and a low recurrence rate.


REFERENCES

  1. Maestroni U, Dinale F, Frattini A et al. Ureteral hemangioma: a clinical case report. Acta Biomed. 2005; 76: 115-117.

  2. Attash SM, Ali MS, Al-Nuaimy HA. Isolated cavernous haemangioma of the stomach in a 3-year-old child: an unusual cause of upper GI bleeding. BMJ Case Rep. 2012. doi: 10.1136/bcr-2012-006979.

  3. Rubinstein JC, Christison-Lagay ER. Successful treatment of visceral infantile hemangioma of the omentum and mesentery with propranolol. J Ped Surg Case Reports. 2014; 2: 302-304.

  4. Chateil JF, Saragne-Feuga C, Pérel Y, Brun M, Neuenshwander S, Vergnes P et al. Capillary haemangioma of the greater omentum in a 5-month-old female infant: a case report. Pediatr Radiol. 2000; 30: 837-839.

  5. Archid R, Schneider CC, Adam P et al. Hemangiopericytoma/solitary fibrous tumor of the greater omentum: a case report and review of the literature. Int J Surg Case Rep. 2016; 23: 160-162.

  6. Nagano H, Goi T, Taguchi S et al. Capillary hemangioma arising from the lesser omentum in an adult: a case report. Medicine (Baltimore). 2020; 99: e18693.

  7. Singh BP, Kumar A, Chattopadhyay TK. Intussuscepting ileal hemangioma with perforation. Indian J Gastroenterol. 1992; 11: 94-95.

  8. Ishida H, Ishida J. Primary tumours of the greater omentum. Eur Radiol. 1998; 8: 1598-1601.

  9. Galván-Montaño AF, Guzmán-Martínez S, Morales-Leyte AL, García-Moreno S. Oclusión intestinal por hemangioma de epiplón mayor en un niño de 14 años. Rev Mex Pediatr. 2019; 86: 18-20.

  10. Ritossa C, Ferri M, Destefano I, De Giuli P. Hemoperitoneum caused by cavernous angioma of the omentum. Minerva Chir. 1989; 44: 907-908.

  11. Chung J, Kim M, Lee JT, et al. Cavernous hemangioma arising from the lesser omentum: MR findings. Abdom Imaging. 2000; 25: 542-544.

  12. Ojili V, Tirumani SH, Gunabushanam G, Nagar A, Surabhi VR, Chintapalli KN et al. Abdominal hemangiomas: a pictorial review of unusual, atypical, and rare types. Can Assoc Radiol J. 2013; 64: 18-27.




Figure 1
Figure 2
Figure 3
Figure 4
Figure 5

2020     |     www.medigraphic.com

Mi perfil

C?MO CITAR (Vancouver)

Rev Mex Cir Endoscop. 2021;22