medigraphic.com
ENGLISH

Revista Mexicana de Cirugía Endoscópica

ISSN 1665-2576 (Impreso)
  • Mostrar índice
  • Números disponibles
  • Información
    • Información general        
    • Directorio
  • Publicar
    • Instrucciones para autores        
    • Envío de artículos
  • medigraphic.com
    • Inicio
    • Índice de revistas            
    • Registro / Acceso
  • Mi perfil

2021, Número 1

<< Anterior Siguiente >>

Rev Mex Cir Endoscop 2021; 22 (1)


Manejo endoscópico de adenocarcinoma de vesícula biliar. Presentación de caso

Fernández-González de la Vega, Cristina1; Hernández-Lozada, Víctor Hugo2
Texto completo Cómo citar este artículo 10.35366/102891

DOI

DOI: 10.35366/102891
URL: https://dx.doi.org/10.35366/102891
Artículos similares

Idioma: Español
Referencias bibliográficas: 9
Paginas: 28-33
Archivo PDF: 265.88 Kb.


PALABRAS CLAVE

Adenocarcinoma de vesícula biliar, obstrucción de la vía biliar, prótesis biliares, caso clínico.

RESUMEN

Introducción: El adenocarcinoma de vesícula biliar es una patología poco frecuente, asintomática y de mal pronóstico. Entre los factores de riesgo más asociados se encuentra la inflamación crónica secundaria a litiasis, es por eso que ambas entidades suelen presentarse juntas y hace que el diagnóstico temprano de adenocarcinoma sea difícil. La mayoría de los casos (70%) son hallazgos incidentales reportados por el patólogo y se encuentran en estadios avanzados con un pronóstico de sobrevida a los cinco años menor a 5%. Presentación del caso: Paciente masculino de 75 años con dolor en hipocondrio derecho de un mes de evolución asociado con ictericia generalizada con elevación de bilirrubinas. Se realiza colecistectomía laparoscópica por aparente colecistitis litiásica agudizada más CPRE (colangiopancreatografía retrógrada endoscópica) transoperatoria por probable coledocolitiasis, encontrando sólo dilatación importante de la vía biliar y estenosis de la misma. Se procede a la colocación de prótesis biliar plástica. El servicio de patología reporta días después adenocarcinoma de vesícula biliar. Conclusiones: Este caso ejemplifica cómo el adenocarcinoma de vesícula biliar, una entidad poco frecuente, se diagnostica en la mayoría de los casos en estadios avanzados y que las opciones terapéuticas son limitadas debido a la falta de estudios que comprueben su efectividad. También resalta cómo en la mayoría de los casos el tratamiento principal se debe basar en medidas paliativas para mejorar la sintomatología obstructiva, que suele acompañar este padecimiento, y la calidad de vida.



INTRODUCCIóN

El adenocarcinoma de vesícula biliar es una patología con incidencia de tres por cada 100,000 personas. Es el quinto cáncer más frecuente del tracto digestivo y el más común de la vía biliar.1,2 Hasta 70% de los casos de adenocarcinoma son hallazgos incidentales diagnosticados por el servicio de patología al momento de examinar la pieza posterior a una colecistectomía.

Dentro de los múltiples factores de riesgo que existen para el desarrollo de adenocarcinoma, uno de los más estudiados es la asociación de inflamación crónica de la vesícula biliar secundaria a la existencia de litiasis vesicular. Se ha visto que los cálculos biliares mayores a 3 mm incrementan el riesgo de desarrollar adenocarcinoma hasta en 10%,1-6 por lo que es frecuente encontrar ambas entidades al momento del diagnóstico. Esto, a su vez, dificulta el diagnóstico temprano de adenocarcinoma.

En la mayoría de los casos, es una entidad asintomática que sólo se manifiesta cuando se encuentra en estadios avanzados. Una vez que se asocia la presencia de ictericia (34% de los pacientes), esto determina un indicador de enfermedad avanzada y de peor pronóstico.2 El paciente con adenocarcinoma de vesícula biliar cuenta con una supervivencia a los cinco años del diagnóstico de 5%.1,2

Este caso es un claro ejemplo de una presentación clínica sugestiva de colecistitis litiásica con coledocolitiasis en un paciente de edad avanzada, en donde el diagnóstico final histopatológico confirmó la presencia de adenocarcinoma. Resalta el hecho de que, en estos casos avanzados, las opciones terapéuticas comúnmente se ven limitadas a la paliación por medio de una endoprótesis biliar y que el trabajo conjunto del cirujano y el endoscopista deben ser oportunos.



PRESENTACIóN DEL CASO

Paciente masculino de 75 años que acude a valoración al servicio de urgencias por dolor intermitente en hipocondrio derecho de un mes de evolución, agudizándose una semana previa a su internamiento, agregándose al cuadro clínico ictericia generalizada de una semana de evolución, así como astenia, adinamia, náuseas e intolerancia a la vía oral. Como antecedentes de importancia presenta hipertensión arterial sistémica de larga evolución, etilismo y tabaquismo crónico.

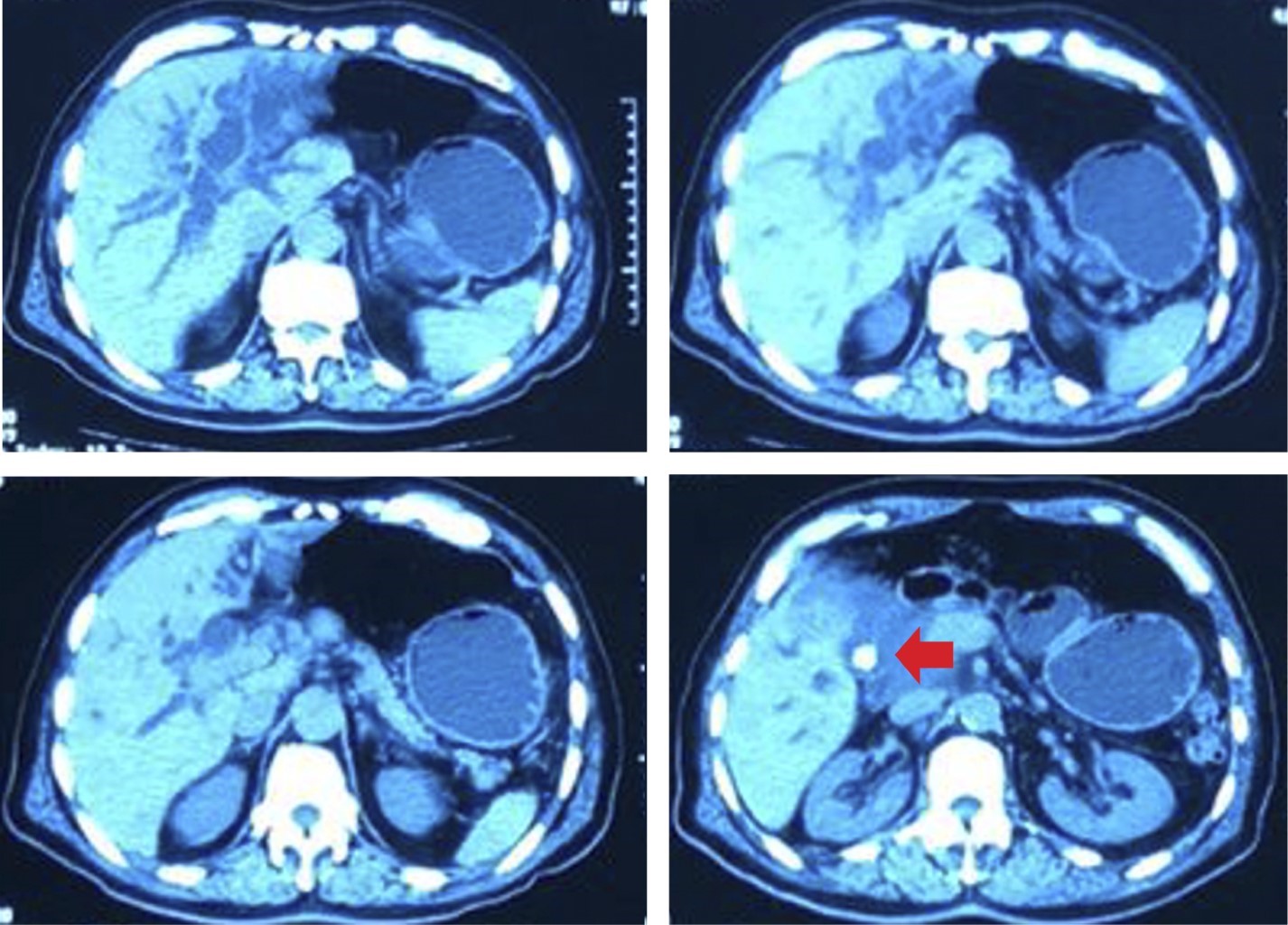
Se realiza tomografía computarizada axial contrastada de abdomen encontrando importante dilatación de la vía biliar intra y extrahepática con colédoco de 19 mm, litiasis vesicular, así como engrosamiento de la porción intramural del colédoco distal, sin observar defectos de llenado. El páncreas se aprecia de contornos regulares sin colecciones ni modificación de la grasa peripancreática. Cabe mencionar la presencia de adenomegalias del segmento retroduodenal no mayores a 8 mm (Figura 1).

A la examinación, se encontró paciente con ictericia en escleras y piel en general con signos vitales estables y con abdomen doloroso a la palpación profunda en hipocondrio derecho, sin datos de irritación peritoneal.

Se efectuaron laboratorios preoperatorios encontrando elevación de la bilirrubina total de 7.0 a expensas de directa y elevación de transaminasas (TGO 165 U/L, TGP 305 U/L, GGT 321 U/L) resto de laboratorios dentro de parámetros normales, sin leucocitosis.

Se decide realizar colecistectomía laparoscópica más CPRE (colangiopancreatografía retrógrada endoscópica) transoperatoria secundaria a obstrucción biliar.

Durante el procedimiento quirúrgico se encuentra vesícula edematosa aumentada de tamaño con contenido purulento, pared engrosada de hasta 8 mm y segmentos de necrosis en su superficie, se observa dilatación del conducto cístico hasta 25 mm (Figura 2). Se procede a introducir duodenoscopio de visión lateral en tiempo transoperatorio hasta la segunda porción del duodeno, observando papila hipertrófica con ausencia de salida de bilis, se canula esfínter de Oddi en el primer intento y se opacifica de manera selectiva la vía biliar con medio de contraste observando dilatación importante de la vía intra y extrahepática, con colédoco tortuoso que llega a medir hasta 25 mm, por debajo de la unión de los conductos hepáticos derecho e izquierdo. En la unión del conducto cístico se observa una estenosis concéntrica de consistencia dura franqueable con la guía (Figura 3). Se realizan tres barridos con balón extractor obteniendo sólo detritus biliares con hemorragia al paso por el sitio de la estenosis. Se realiza cepillado biliar para ser procesado por patología y esfinterotomía de 20 mm, se decide colocar prótesis biliar Cotton-Leung® de 10 × 10 Fr y se retira la vesícula biliar (Figura 4).

Días después, el servicio de patología reporta adenocarcinoma de vesícula biliar moderadamente diferenciado, que invade todo el espesor de la pared con permeación vascular linfática y espacio perineural.

Al mes de seguimiento, se presentó el paciente al servicio de urgencias con datos de choque séptico secundario a colangitis por probable invasión tumoral y con prótesis funcional; sin embargo, por cuestiones económicas, sus familiares deciden el egreso del paciente por malas condiciones generales con mal pronóstico para la vida y la función.



DISCUSIóN

La presentación clínica de nuestro caso corresponde con lo que suele encontrarse en la literatura,2-7 donde el diagnóstico de adenocarcinoma se establece en estadios avanzados, provocando limitaciones importantes en cuanto al manejo terapéutico a seguir, ya que aún hay controversia sobre la efectividad que proporcionan diferentes regímenes de quimioterapia y radioterapia.4

El adenocarcinoma de vesícula biliar sólo en 1/3 de los casos se detecta antes de una colecistectomía, el resto se encuentra de manera incidental por el patólogo al momento de efectuar una inspección rutinaria de las piezas quirúrgicas de las colecistectomías. Es una enfermedad poco estudiada debido a su relativa baja frecuencia y que tiende a encontrarse en estadios avanzados, es por eso que el tratamiento terapéutico, tanto médico como quirúrgico, sigue siendo de controversia. Hay pocos estudios que demuestran su efectividad sobre la supervivencia del paciente, y aquellos que existen cuentan con varias limitantes como una muestra poblacional reducida.3-9

Según guías europeas, se recomienda realizar una segunda cirugía para resección radical hepática en cuña del lecho vesicular y resección de nódulos linfáticos del ligamento hepatoduodenal en aquellos adenocarcinomas que invaden la muscularis propria.5 Sin embargo, esto no siempre es posible, dadas las condiciones del paciente y el riesgo quirúrgico que implica.

En la mayoría de los casos, el manejo principal se debe centrar en mejorar la calidad de vida. Dentro de las medidas de cuidados paliativos que existen, sobre todo para pacientes que padecen estenosis de la vía biliar, está la posibilidad de colocar una prótesis biliar a través de endoscopía para mejorar la sintomatología obstructiva.6 Nuestro caso se presentó con importante dilatación de la vía biliar secundaria a estenosis, razón por la cual se colocó una prótesis biliar plástica, para así poder mejorar su sintomatología y por consiguiente su calidad de vida.

Diferentes estudios han demostrado que las prótesis metálicas tienen mayor efectividad en cuanto a permeabilidad y supervivencia libre de síntomas, ya que cuentan con permeabilidad durante aproximadamente nueve meses, en comparación con las prótesis plásticas en las que sólo dura tres meses. Sin embargo, a pesar de que las prótesis metálicas tienen mayor efectividad, no se ha logrado demostrar diferencia significativa en cuanto a la mortalidad a los 30 días entre ambos tipos de prótesis.7 En nuestro paciente se decidió la colocación de prótesis plástica debido a los costos, ya que los familiares son de bajos recursos.

Mientras no se cuente con más evidencia, el manejo terapéutico principal en este tipo de casos se debe centrar en la mejoría de la sintomatología y cuidados paliativos. El uso de prótesis biliares en pacientes con obstrucción maligna de la vía biliar juega un papel fundamental como manejo paliativo.8 En la actualidad, la combinación de técnicas laparoendoscópicas nos permite la extirpación de este tipo de tumores y la colocación de prótesis, metálicas o plásticas, en un solo tiempo quirúrgico lo cual mejora la sintomatología y calidad de vida del paciente, posibilitando un regreso rápido a sus actividades.



CONCLUSIONES

El caso presentado demuestra que, en muchas ocasiones, el riesgo de someter a un paciente a otra intervención quirúrgica mucho más agresiva, teniendo una estadificación (T3, N1)5 (Tabla 1) y un mal pronóstico, obliga a tomar decisiones que se enfoquen al tratamiento paliativo como una mejor opción. Poder resolver la obstrucción biliar en un solo tiempo quirúrgico, con la colaboración del servicio de endoscopía, puede representar una gran ayuda para el manejo definitivo.


REFERENCIAS (EN ESTE ARTÍCULO)

  1. Goetze TO. Gallbladder carcinoma: Prognostic factors and therapeutic options. World J Gastroenterol. 2015; 21: 12211-12217. Available in: https://pubmed.ncbi.nlm.nih.gov

  2. Miller G, Jarnagin WR. Gallbladder carcinoma. Eur J Surg Oncol. 2008; 34: 306-312. Available in: https://pubmed.ncbi.nlm.nih.gov

  3. Shukla SK, Singh G, Shahi KS, Bhuvan, Pant P. Staging, treatment, and future approaches of gallbladder carcinoma. J Gastrointest Cancer. 2018; 49: 9-15. Available in: https://pubmed.ncbi.nlm.nih.gov

  4. Furlan A, Ferris JV, Hosseinzadeh K, Borhani AA. Gallbladder carcinoma update: multimodality imaging evaluation, staging, and treatment options. AJR Am J Roentgenol. 2008; 191: 1440-1447. Available in: https://www.ajronline.org

  5. Sung YN, Song M, Lee JH, Song KB, Hwang DW, Ahn CS. Validation of the 8th edition of the American Joint Committee on Cancer staging system for gallbladder cancer and implications for the follow-up of patients without node dissection. Cancer Res Treat. 2020; 52: 455-468. Available in: https://pubmed.ncbi.nlm.nih.gov

  6. Yamaguchi T, Ishihara T, Seza K, Nakagawa A, Sudo K, Tawada K. Long-term outcome of endoscopic metallic stenting for benign biliary stenosis associated with chronic pancreatitis. World J Gastroenterol. 2006; 12: 426-430. Available in: https://www.ncbi.nlm.nih.gov

  7. Domper-Arnal MJ, Simón-Marco MA. Tratamiento endoscópico de las estenosis malignas de la vía biliar: puesta al día y puntos más relevantes para la práctica clínica habitual. Rev Esp Enferm Dig [Internet]. 2016; 108: 568-575. Disponible en: https://scielo.isciii.es/scielo.php

  8. Wolpin BM, Mayer RJ. A step forward in the treatment of advanced biliary tract cancer. N Engl J Med. 2010; 362: 1335-1337. Available in: https://pubmed.ncbi.nlm.nih.gov

  9. Gold DG, Miller RC, Haddock MG, Gunderson LL, Quevedo F, Donohue JH. Adjuvant therapy for gallbladder carcinoma: the Mayo Clinic experience. Int J Radiat Oncol Biol Phys. 2009; 75: 150-155. Available in: https://pubmed.ncbi.nlm.nih.gov



AFILIACIONES

1 Médico General.

2 Departamento de Cirugía General y Laparoscopía del Hospital Multimédica Norte. México.



CORRESPONDENCIA

Víctor Hugo Hernández-Lozada. E-mail: drlozada78@gmail.com




Recibido: 13/07/2021. Aceptado: 17/08/2021.

Figura 1
Figura 2
Figura 3
Figura 4
Tabla 1

2020     |     www.medigraphic.com

Mi perfil

C?MO CITAR (Vancouver)

Rev Mex Cir Endoscop. 2021;22

ARTíCULOS SIMILARES

CARGANDO ...