medigraphic.com
SPANISH

Cirugía Plástica

ISSN 2992-8559 (Electronic)
ISSN 1405-0625 (Print)
  • Contents
  • View Archive
  • Information
    • General Information        
    • Directory
  • Publish
    • Instructions for authors        
    • Send manuscript
  • Policies
    • Políticas éticas
    • Políticas de acceso abierto
    • Políticas de revisión de manuscritos
    • Políticas editoriales generales
  • medigraphic.com
    • Home
    • Journals index            
    • Register / Login
  • Mi perfil

2021, Number 3

<< Back Next >>

Cir Plast 2021; 31 (3)

Second finger arteriovenous malformation

Pineda-Aldana GB, Armas-Girón LF, Reyes-González KF
Full text How to cite this article 10.35366/103713

DOI

DOI: 10.35366/103713
URL: https://dx.doi.org/10.35366/103713

Language: Spanish
References: 9
Page: 111-115
PDF size: 341.45 Kb.


Key words:

Vascular anomalies, vascular malformation, arteriovenous malformation, vascular dysplasia.

ABSTRACT

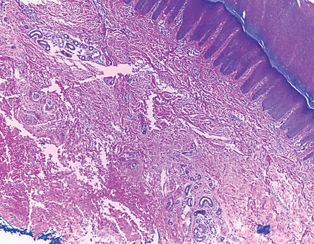
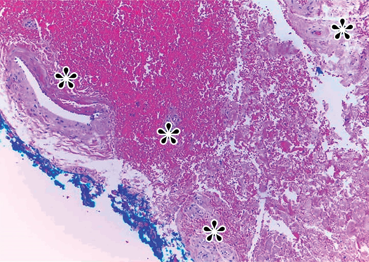
Vascular anomalies are abnormalities that are caused by errors during vascular genesis, which encompass a variety of disorders. They are anomalies that are usually present at birth and may become evident late on in life. Vascular anomalies in the hand, specifically in the fingers, are frequently underdiagnosed; these alterations are confused with congenital malformations in children and a history of trauma or vascular procedures in adults. We present a case of 35-year-old man, with a 1 cm subcutaneous mass in the III extensor zone of the second finger of the right hand, at the proximal interphalangeal joint. The mass that had not caused pain, had been present for three years with no major size changes. Pathology revealed an arteriovenous malformation with no signs of malignancy.


REFERENCES

  1. Carqueja IM, Sousa J, Mansilha A. Vascular malformations: classification, diagnosis and treatment. Int Angiol 2018; 37 (2): 127-142.

  2. Ferguson S, Türker T. A vascular malformation in the Hand with compromised neurologic status. Ann Vasc Surg 2020; 68: 569. e9-569.e11.

  3. Wassef M, Blei F, Adams D, Alomari A, Baselga E, Berenstein A et al. Vascular anomalies classification: recommendations from the international society for the study of vascular anomalies. Pediatrics 2015; 136 (1): e203-214.

  4. Sawani A, Huber K, Zibadi S, Payne WG. Diagnosis of arteriovenous malformation in the finger. Eplasty 2017; 17: ic10.

  5. Garzon MC, Huang JT, Enjolras O, Frieden IJ. Vascular malformations: part I. J Am Acad Dermatol 2007; 56 (3): 353-370; quiz 371-374.

  6. Steiner J, Drolet B. Classification of vascular anomalies: an update. Sem Intervent Radiol 2017; 34 (03): 225-232.

  7. Mulliken JB, Fishman SJ, Burrows PE. Vascular anomalies. Curr Probl Surg 2000; 37 (8): 517-584.

  8. [Internet]. Issva.org. 2021 [cited 30 June 2021]. Available in: https://www.issva.org/UserFiles/file/ISSVA-Classification-2018.pdf

  9. Merrow A, Gupta A, Patel M, Adams D. 2014 Revised classification of vascular lesions from the International Society for the Study of Vascular Anomalies: radiologic-pathologic update. Radio Graphics 2016; 36 (5): 1494-1516.




Figure 1
Figure 2
Figure 3
Figure 4
Figure 5
Figure 6

2020     |     www.medigraphic.com

Mi perfil

C?MO CITAR (Vancouver)

Cir Plast. 2021;31