medigraphic.com
SPANISH

Orthotips AMOT

ISSN 2007-8560 (Print)
Órgano Oficial de Difusión Científica de la Federación Mexicana de Colegios de Ortopedia y Traumatología, A.C. (FEMECOT)
  • Contents
  • View Archive
  • Information
    • General Information        
    • Directory
  • Publish
    • Instructions for authors        
  • medigraphic.com
    • Home
    • Journals index            
    • Register / Login
  • Mi perfil

2022, Number 1

<< Back Next >>

Ortho-tips 2022; 18 (1)

Liposclerosing myxofibroma of the proximal femur: diagnostic and therapeutic controversies. Apropos of 3 clinical cases

Mellado RMÁ, Godoy MMA, Alcalá-Galiano RA, Casas RP, Enguita VAB, Ramos PLR
Full text How to cite this article 10.35366/103731

DOI

DOI: 10.35366/103731
URL: https://dx.doi.org/10.35366/103731

Language: Spanish
References: 15
Page: 41-48
PDF size: 475.04 Kb.


Key words:

Liposclerosing myxofibrous tumor, bone tumor, hip, malignizant transformation.

ABSTRACT

Introduction: The bone liposclerosing myxofibrous tumour (LSMFT) is a rare benign fibro-osseous tumor with characteristic clinical-radiological features, although its diagnosis and treatment are controversial. Material and methods: We present three patients, two women and one man, with a mean age of 46 years, diagnosed with LSMFT. The findings of the complementary imaging tests and the treatment performed are presented: observation in two patients and curettage, and the third patient was treated with curettage, grafting and surgical fixation. Results: The first two patients, after 10 and three years of follow-up, respectively, maintain the same symptoms and no progression of the lesion. Conclusions: The diagnosis of LSMFT can be assumed by clinical and imaging data without biopsy. In the absence of signs that suggest malignancy, observation is justified, limiting the surgical indication to symptomatic cases and/or those with risk of pathological fracture.


REFERENCES

  1. Ragsdale BD, Sweet DE. Bone. In: Henson E, Albores-Saavedra J, eds. Pathology of incipient neoplasia. Philadelphia: WB Saunders; 1986. pp. 381-423.

  2. Beytemür O, Tetikkurt US, Albay C, Kavsut G, Gülec A. Liposclerosing myxofibrous tumor: a rare tumor of proximal femur. Eklem Hast Ve Cerrahisi Jt Dis Relat Surg. 2017; 28 (3): 210-213. doi: 10.5606/ehc.2017.48394.

  3. Gilkey FW. Liposclerosing myxofibrous tumor of bone. Hum Pathol. 1993; 24: 1264. doi: 10.1016/0046-8177(93)90226-7.

  4. Deel C, Hassell L. Liposclerosing myxofibrous tumor: a review. Arch Pathol Lab Med. 2016; 140: 473-476. doi: 10.5858/2014-0503-RS.

  5. Ragsdale BD. Polymorphic fibro-osseous lesions of bone: an almost site-specific diagnostic problem of the proximal femur. Hum Pathol. 1993; 24 (5): 505-512. doi: 10.1016/0046-8177(93)90162-a.

  6. Kransdorf MJ, Murphey MD, Sweet DE. Liposclerosing myxofibrous tumor: a radiologic-pathologic-distinct fibro-osseous lesion of bone with a marked predilection for the intertrochanteric region of the femur. Radiology 1999; 212 (3): 693-698. doi: 10.1148/radiology.212.3.r99se40693.

  7. Matsuba A, Ogose A, Tokunaga K, Kawashima H, Hotta T, Urakawa S, et al. Activating Gs alpha mutation at the Arg201 codon in liposclerosing myxofibrous tumor. Hum Pathol. 2003; 34: 1204-1209. doi: 10.1016/s0046-8177(03)00430-1.

  8. Técualt-Gómez R, Atencio-Chan A, Cario-Méndez AG, Amaya-Zepeda RA, Balderas-Martinez J, González-Valladares JR. Bone liposclerosing myxofibrous tumor. Case presentation and literature review. Acta Ortop Mex. 2015; 29 (3): 191-195.

  9. Regado ER, Garcia PB, Caruso AC, de Almeida AL, Aymoré IL, Meohas W, et al. Liposclerosing myxofibrous tumor: a series of 9 cases and review of the literature. J Orthop. 2016; 13: 136-139. doi: 10.1016/j.jor.2016.03.003.

  10. Dattilo J, McCarthy EF. Liposclerosing myxofibrous tumor (LSMFT), a study of 33 patients: should it be a distinct entity? Iowa Orthop J. 2012; 32: 35-39.

  11. Nieto A, Pérez-Andrés R, Lorenzo JC, Vilanova JC. Diagnostic imaging of liposclerosing myxofibrous tumor of bone. Radiologia. 2010; 52 (3): 251-254. doi: 10.1016/j.rx.2009.12.012.

  12. Heim-Hall JM, Williams RP. Liposclerosing myxofibrous tumour: a traumatized variant of fibrous dysplasia? Report of four cases and review of the literature. Histopathology. 2004; 45: 369-376. doi: 10.1111/j.1365-2559.2004.01951.x.

  13. Murphey MD, Carroll JF, Flemming DJ, Pope TL, Gannon FH, Kransdorf MJ. From the archives of the AFIP: benign musculoskeletal lipomatous lesions. Radiogr Rev Publ Radiol Soc N Am Inc. 2004; 24: 1433-1466. doi: 10.1148/rg.245045120.

  14. Corsi A, De Maio F, Ippolito E, Cherman N, Gehron Robey P, Riminucci M, et al. Monostotic fibrous dysplasia of the proximal femur and liposclerosing myxofibrous tumor: which one is which? J Bone Miner Res. 2006; 21: 1955-1958. doi: 10.1359/jbmr.060818.

  15. Campbell K, Wodajo F. Case report: two-step malignant transformation of a liposclerosing myxofibrous tumor of bone. Clin Orthop. 2008; 466: 2873-2877. doi: 10.1007/s11999-008-0362-9.




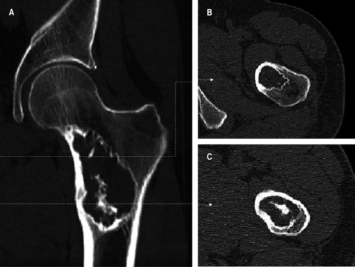
Figure 1
Figure 2
Figure 3
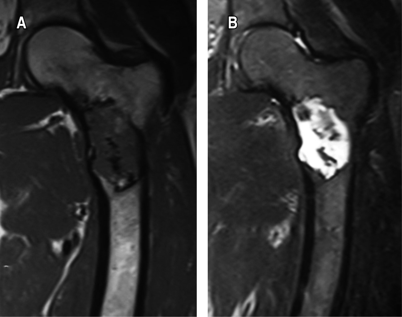
Figure 4
Figure 5
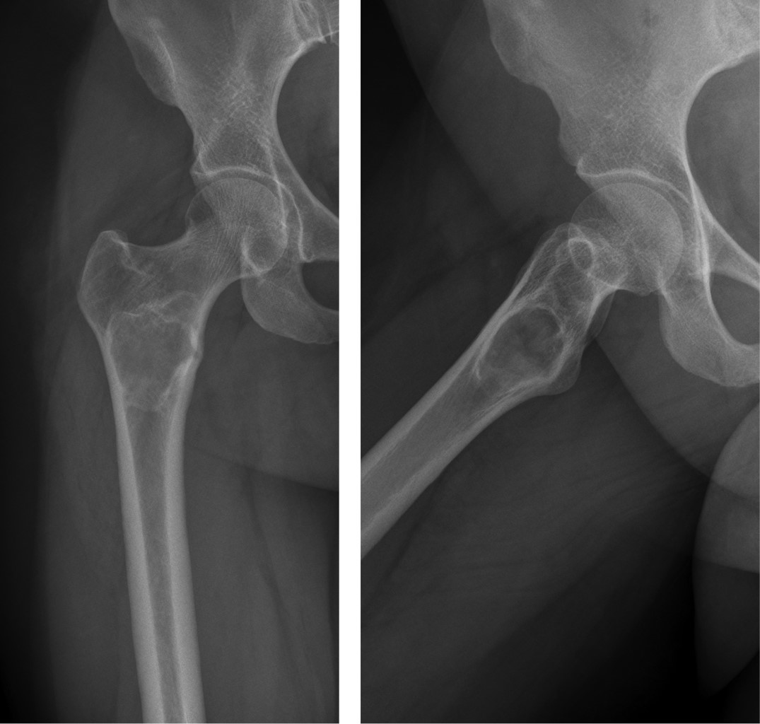
Figure 6
Figure 7
Figure 8
Figure 9
Figure 10
Table 1

2020     |     www.medigraphic.com

Mi perfil

C?MO CITAR (Vancouver)

Ortho-tips. 2022;18