medigraphic.com
SPANISH

Orthotips AMOT

ISSN 2007-8560 (Print)
Órgano Oficial de Difusión Científica de la Federación Mexicana de Colegios de Ortopedia y Traumatología, A.C. (FEMECOT)
  • Contents
  • View Archive
  • Information
    • General Information        
    • Directory
  • Publish
    • Instructions for authors        
  • medigraphic.com
    • Home
    • Journals index            
    • Register / Login
  • Mi perfil

2022, Number 1

<< Back Next >>

Ortho-tips 2022; 18 (1)

Humeral retrograde nailing: a case report

Hernández-Molina JR, López-Rubio A, Villalobos-Rodríguez A
Full text How to cite this article 10.35366/103735

DOI

DOI: 10.35366/103735
URL: https://dx.doi.org/10.35366/103735

Language: Spanish
References: 20
Page: 68-71
PDF size: 192.31 Kb.


Key words:

Humerus, intramedullary nailing, retrograde.

ABSTRACT

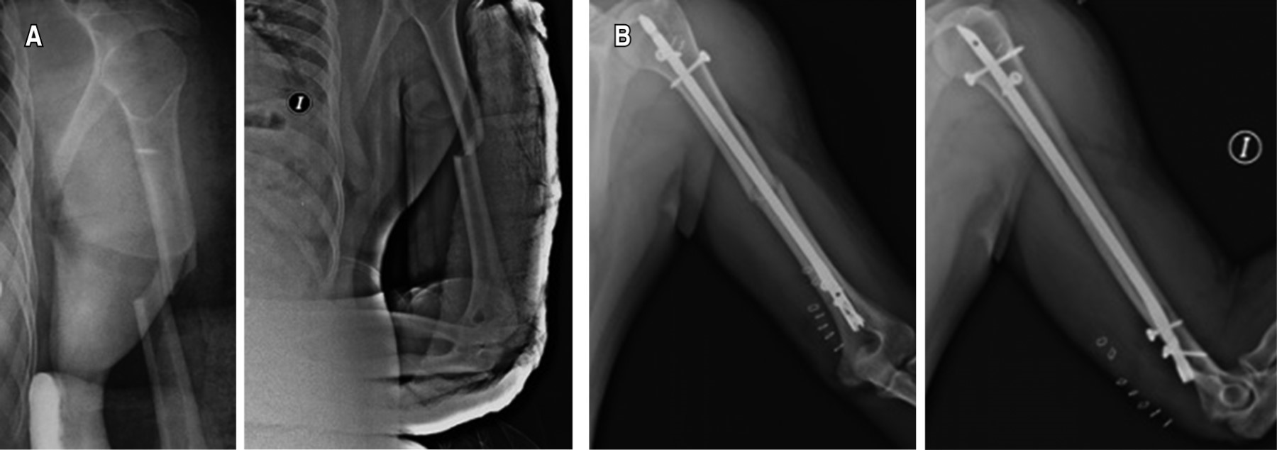
The treatment of shaft fractures of the humerus to this day is still controversial. Humeral intramedullary nailing (HIN) is emerging as the gold standard for the treatment of this type of fracture. In the antegrade technique, the access allows direct entry to the proximal humerus epiphysis, with the disadvantage of involving a healthy joint, generating chronic pain or the need for revision surgeries. The retrograde technique eliminates the risk of postoperative shoulder pain, rotator cuff injury and axillar nerve injury. It is more complex since the entry point is a thin layer of bone, generating an iatrogenic fracture as the main complication. We present a 28-year-old male, run over, with a direct contusion on the left arm. He began with severe pan, deformity, increased volume and loss of function, going to the emergency department at Hospital Ángeles Mocel for evaluation and treatment. Radiographically with a simple transverse fracture in the middle third of the humerus. He undergoes definitive treatment with retrograde HIN. On the seventh postoperative day, he presents full range of motion in shoulders and elbows, with pain in the approach area.


REFERENCES

  1. Yi JW, Lee JS, Cho HJ. Retrograde intramedullary nailing for humerus fracture in a supine position: performing an unfamiliar procedure in a familiar position. Clin Orthop Surg. 2017; 9 (3): 392-395.

  2. Morales Santos G, Salazar Pacheco R. Tratamiento de fracturas del húmero con clavo centromedular no rimado. Rev Hosp Jua Mex. 2001; 68 (4): 178-186.

  3. Heineman DJ, Poolman RW, Nork SE, Ponsen KJ, Bhandari M. Plate fixation or intramedullary fixation of humeral shaft fractures. Acta Orthop. 2010; 81 (2): 216-223.

  4. Biber R, Zirngibl B, Bail HJ, Stedtfeld HW. An innovative technique of rear entry creation for retrograde humeral nailing: how to avoid iatrogenic comminution. Injury. 2013; 44 (4): 514-517.

  5. Hollister AM, Saulsbery C, Odom JL, Anissian L, Garon MT, Jordan J. New technique for humerus shaft fracture retrograde intramedullary nailing. Tech Hand Up Extrem Surg. 2011; 15 (3): 138-143.

  6. Lanting B, MacDermid J, Drosdowech D, Faber KJ. Proximal humeral fractures: a systematic review of treatment modalities. J Shoulder Elbow Surg. 2008; 17 (1): 42-54.

  7. Pidhorz L. Acute and chronic humeral shaft fractures in adults. Orthop Traumatol Surg Res. 2015; 101 (1 Suppl): S41-S49.

  8. Browner B, Jupiter J, Krettek C, Anderson P. Fracture of the humeral shaft. Skeletal trauma. Philadelphia, PA: Elsevier; 2015. pp. 1389-1405.

  9. Kumar R, Singh P, Chaudhary LJ, Singh S. Humeral shaft fracture management, a prospective study; nailing or plating. J Clin Orthop Trauma. 2012; 3 (1): 37-42.

  10. Strohm PC, Reising K, Hammer T, Sudkamp NP, Jaeger M, Schmal H. Humerus shaft fractures - where are we today? Acta Chir Orthop Traumatol Cech. 2011; 78 (3): 185-189.

  11. Baltov A, Mihail R, Dian E. Complications after interlocking intramedullary nailing of humeral shaft fractures. Injury. 2014; 45 Suppl 1: S9-S15.

  12. Verdano MA, Pellegrini A, Schiavi P, Somenzi L, Concari G, Ceccarelli F. Humeral shaft fractures treated with antegrade intramedullary nailing: what are the consequences for the rotator cuff? Int Orthop. 2013; 37 (10): 2001-2007.

  13. Benegas E, Ferreira Neto A, Oliveira Marchitto G. Humeral shaft fractures. Rev Bras Ortop. 2010; 45 (1): 12-16.

  14. Ruffilli A, Traina F, Pilla F, Fenga D, Faldini C. Marchetti Vicenzi elastic retrograde nail in the treatment of humeral shaft fractures: review of the current literature. Musculoskelet Surg. 2015; 99 (3): 201-209.

  15. Sharma GM, Bhardwaj AR, Shah S. Antegrade versus retrograde nailing in humeral shaft fractures: a prospective study. J Clin Orthop Trauma. 2020; 11 (Suppl 1): S37-S41.

  16. Bencic I, Cengic T, Prenc J, Bulatovic N, Matejcic A. Humeral nail: comparison of the antegrade and retrograde application. Acta Clin Croat. 2016; 55 (1):110-116.

  17. Updegrove GF, Mourad W, Abboud JA. Humeral shaft fractures. J Shoulder Elbow Surg. 2018; 27 (4): e87-e97.

  18. Schoch BS, Padegimas EM, Maltenfort M, Krieg J, Namdari S. Humeral shaft fractures: national trends in management. J Orthop Traumatol. 2017; 18 (3): 259-263.

  19. Westrick E, Hamilton B, Toogood P, Henley B, Firoozabadi R. Humeral shaft fractures: results of operative and non-operative treatment. Int Orthop. 2017; 41 (2): 385-395.

  20. Dilisio MF, Nowinski RJ, Hatzidakis AM, Fehringer EV. Intramedullary nailing of the proximal humerus: evolution, technique, and results. J Shoulder Elbow Surg. 2016; 25 (5): e130-e138.




Figure 1
Figure 2
Figure 3

2020     |     www.medigraphic.com

Mi perfil

C?MO CITAR (Vancouver)

Ortho-tips. 2022;18