medigraphic.com
SPANISH

Orthotips AMOT

ISSN 2007-8560 (Print)
Órgano Oficial de Difusión Científica de la Federación Mexicana de Colegios de Ortopedia y Traumatología, A.C. (FEMECOT)
  • Contents
  • View Archive
  • Information
    • General Information        
    • Directory
  • Publish
    • Instructions for authors        
  • medigraphic.com
    • Home
    • Journals index            
    • Register / Login
  • Mi perfil

2022, Number 1

<< Back Next >>

Ortho-tips 2022; 18 (1)

Chronic osteomyelitis of calcaneus: a case report and literature review

Alba GYP, Hernández MM
Full text How to cite this article 10.35366/103736

DOI

DOI: 10.35366/103736
URL: https://dx.doi.org/10.35366/103736

Language: Spanish
References: 11
Page: 72-79
PDF size: 299.59 Kb.


Key words:

Osteomyelitis, calcaneus, polymethylmethacrylate chain.

ABSTRACT

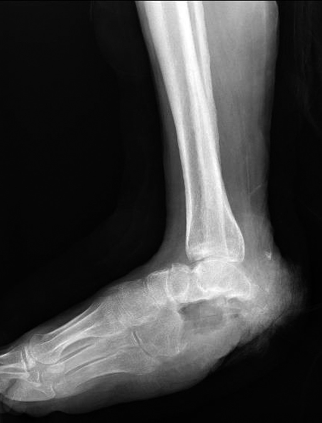
We present the case of a 38-year-old male patient at the Miguel Hidalgo Hospital Centenario, Aguascalientes, Mexico, with a five-year history of chronic ulcer on the right heel after direct trauma with a sharp object to the involved heel, with history of flap advancement five years ago. Clinical examination with 7 × 5 cm skin loss with purulent exudate and radiological examination revealed an image of hypotrophy of the right calcaneus with sclerosed bone remains and data suggestive of chronic osteomyelitis. After a first intervention with a polymethylmethacrylate + gentamicin cement spacer with a chain technique and calcaneal curettage, as well as taking a culture, the diagnosis was confirmed with isolation of the Escherichia coli lesion and Enterococcus faecalis, but the spacer was rejected, he intervenes again for calcaneal resection. When the wound heals, ankle foot orthosis is indicated and walking is started without pain, and without recurrence of osteomyelitis.


REFERENCES

  1. Revenga Giertych C, Carrascosa Cerquero A, Vela Panes T, Gutiérrez Nogueroles M. Osteomielitis crónica de calcáneo. A propósito de un caso. Rev S And Traum y Ort. 2002; 22 (1): 80-85.

  2. Wang EH, Simpson S, Bennet GC. Osteomyelitis of the calcaneum. J Bone Joint Surg Br. 1992; 74 (6): 906-909.

  3. McCann MJ, Wells A. Calcaneal osteomyelitis: current treatment concepts. Int J Low Extrem Wounds. 2020; 19 (3): 230-235.

  4. Fleischer AE, Didyk AA, Woods JB, Burns SE, Wrobel JS, Armstrong DG. Combined clinical and laboratory testing improves diagnostic accuracy for osteomyelitis in the diabetic foot. J Foot Ankle Surg. 2009; 48 (1): 39-46.

  5. Simon L, Gauvin F, Amre DK, Saint-Louis P, Lacroix J. Serum procalcitonin and C-reactive protein levels as markers of bacterial infection: a systematic review and meta-analysis. Clin Infect Dis. 2004; 39 (2): 206-217.

  6. Boffeli TJ, Collier RC. Near total calcanectomy with rotational flap closure of large decubitus heel ulcerations complicated by calcaneal osteomyelitis. J Foot Ankle Surg. 2013; 52 (1): 107-112.

  7. Baravarian B, Menendez MM, Weinheimer DJ, Lowery C, Kosanovich R, Vidt L. Subtotal calcanectomy for the treatment of large heel ulceration and calcaneal osteomyelitis in the diabetic patient. J Foot Ankle Surg. 1999; 38 (3): 194-202.

  8. Dalmau-Coll A, Morales-Montoya A, Ronda-Rivero F, Comellas-Alabern J. Osteomielitis postraumática del calcáneo: resultados de su tratamiento. Rev Esp Cir Ortop Traumatol. 2006; 50 (5): 378-381.

  9. Cervello S, De la Concepción M, Albert L. El uso de las cadenas de PMMA- Gentamicina en el tratamiento de las infecciones en cirugía ortopédica y traumatología. Revista Española de Cirugía Articular. 1979; 14: 417-423.

  10. Bollinger M, Thordarson DB. Partial calcanectomy: an alternative to below knee amputation. Foot Ankle Int. 2002; 23 (10): 927-932.

  11. Baumhauer JF, Fraga CJ, Gould JS, Johnson JE. Total calcanectomy for the treatment of chronic calcaneal osteomyelitis. Foot Ankle Int. 1998; 19 (12): 849-855.




Figure 1
Figure 2
Figure 3
Figure 4
Figure 5
Figure 6
Figure 7
Figure 8
Figure 9
Figure 10
Figure 11
Table 1
Table 2

2020     |     www.medigraphic.com

Mi perfil

C?MO CITAR (Vancouver)

Ortho-tips. 2022;18