medigraphic.com
SPANISH

Revista del Centro Dermatológico Pascua

ISSN 1405-1710 (Print)
  • Contents
  • View Archive
  • Information
    • General Information        
    • Directory
  • Publish
    • Instructions for authors        
  • medigraphic.com
    • Home
    • Journals index            
    • Register / Login
  • Mi perfil

2021, Number 3

<< Back Next >>

Rev Cent Dermatol Pascua 2021; 30 (3)

Acquired reactive perforating collagenosis

Ramos-Garibay JA, Trejo-Acuña JR, Meza-Gaxiola N
Full text How to cite this article 10.35366/103828

DOI

DOI: 10.35366/103828
URL: https://dx.doi.org/10.35366/103828

Language: Spanish
References: 26
Page: 141-147
PDF size: 448.33 Kb.


Key words:

Perforating dermatoses, acquired reactive perforating collagenosis, transepidermal elimination diseases.

ABSTRACT

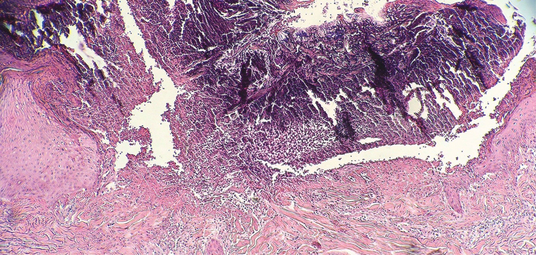
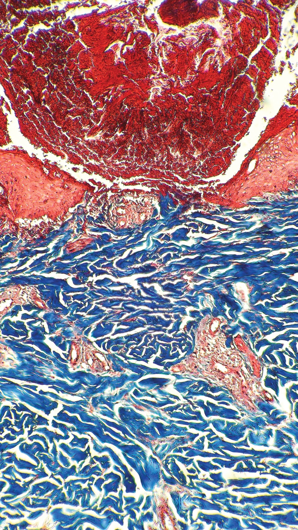
Perforating dermatoses are a group of diseases clinically characterized by transepidermal shedding of various skin materials. Four primary classical forms have been described in which the removal material represents the distinctive clinical picture. In secondary cases, the perforation and elimination of the fibers of the connective tissue constitute a phenomenon that accompanies other dermatoses. Acquired reactive perforating collagenosis belongs to the latter group. The etiology is not clear. It is associated with metabolic disorders and certain neoplasms. Pruritus is considered a key pathogenic factor, since constant scratching generates microtrauma in genetically predisposed patients, causing focal degeneration of collagen fibers. The most frequent topography is in the trunk (77%) and the extremities (64%), of which the extensor areas are involved. It manifests clinically with the presence of erythematous papules with an umbilicus appearance, with a firmly adhered keratin plug in the center. Histopathology shows transepidermal removal of collagen fibers. Because the treatment is not yet well standardized, the management of pruritus is considered one of the bases of it. It is recommended to treat the associated diseases.


REFERENCES

  1. Kawakami T, Akiyama M, Ishida-Yamamoto A, Nakano H, Mitoma C, Yoneda K et al. Clinical practice guide for the treatment of perforating dermatosis. J Dermatol. 2020; 47: 1374-1382. doi: 10.1111/1346-8138.15647.

  2. Wagner G, Sachse MM. Acquired reactive perforating dermatosis. J Dtsch Dermatol Ges. 2013; 11: 723-729. doi: 10.1111/ddg.12131.

  3. Rapini RP, Herbert AA, Drucker CR. Acquired perforating dermatosis. Evidence for combined transepidermal elimination of both collagen and elastic fibers. Arch Dermatol. 1989; 125: 1074-1078.

  4. Kyrle J. Hyperkeratosis follicularis et parafollicularis in cutem penetrans. Arch Dermatol Syphil, 1916; 123: 466-493.

  5. Lutz W. Keratosis follicularis serpiginosa. Dermatologica. 1953; 106: 318-319.

  6. Mehregan AH, Coskey RJ. Perforating folliculitis. Arch Dermatol. 1968; 97: 394-399.

  7. Shakery K, Zimmermann J, Bahmer FA. Erworbene reaktiv perforierende dermatose im patientengut der Dermatologischen Klinik Bremen 2003-2006 [in German]. Akt Dermatol. 2008; 34: 409-413.

  8. Saray Y, Seckin D, Bilezikci B. Acquired perforating dermatosis: clinicopathological features in twenty-two cases. J Eur Acad Dermatol Venereol. 2006; 20: 679-688.

  9. Karpouzis A, Giatromanolaki A, Sivridis E, Kouskoukis C. Acquired reactive perforating collagenosis: current status. J Dermatol. 2010; 37: 585-592.

  10. Faver IR, Daoud MS, Su WP. Acquired reactive perforating collagenosis. Report of six cases and review of the literature. J Am Acad Dermatol. 1994; 30: 575-580.

  11. Poliak SC, Lebwohl MG, Parris A, Prioleau PG. Reactive perforating collagenosis associated with diabetes mellitus. N Engl J Med. 1982; 306: 81-84.

  12. Matthes T, Trost TH, Nilles M. Erworbene reaktive perforierende Dermatose bei Psoriasis vulgaris. Akt Dermatol. 2001; 27: 74-78.

  13. Kim SW, Kim MS, Lee JH, Son SJ, Park KY, Li K et al. A clinicopathologic study of thirty cases of acquired perforating dermatosis in Korea. Ann Dermatol. 2014; 26: 162-171.

  14. Hanifin JM, Thurston M, Omoto M, Cherill R, Tofte SJ, Graeber M. The eczema area and severity index (EASI): assessment of reliability in atopic dermatitis. EASI Evaluator Group. Exp Dermatol. 2001; 10: 11-18.

  15. Yazdi S, Saadat P, Young S, Hamidi R, Vadmal MS. Acquired reactive perforating collagenosis associated with papillary thyroid carcinoma: a paraneoplastic phenomenon? Clin Exp Dermatol. 2010; 35: 152-155.

  16. Kim EJ, Kim MY, Kim HO, Park YM. Acquired reactive perforating collagenosis triggered by insect bite. J Dermatol. 2007; 34: 677-679.

  17. Zanardo L, Stolz W, Landthaler M, Vogt T. Reactive perforating collagenosis after disseminated zoster. Dermatology. 2001; 203: 273-275.

  18. Buchau AS, Lewerenz V, Kruse R, Neumann NJ, Ruzicka T, Reinfenberger J. Reaktive perforierende Kollagenose. Hautarzt. 2005; 56: 963-965.

  19. Calista D, Morri M. Acquired reactive perforating collagenosis induced by indinavir in 2 patients with HIV disease. Eur J Dermatol. 2008; 18: 84-85.

  20. Lübbe J, Sorg O, Malé PJ, Saurat JH, Masouyé I. Sirolimus-induced inflammatory papules with acquired reactive perforating collagenosis. Dermatology. 2008; 216: 239-242.

  21. Calonje JE, Brenn T, Lazar AJ, Billings S. McKee's pathology of the skin with clinical correlations. 5th ed. London: Elsevier; 2020.

  22. Scola N, Gambichler T, Altmeyer P, Stucker M, Kreuter A. Erworbene reaktive perforierende Kollagenose nach Herpes zoster als isotopische Antwort? Hautarzt. 2011; 62: 683-687.

  23. Schlotmann K, Megahed M, Goerz G. Ungewohnlicher Fall einer erworbenen reaktiven perforierenden Kollagenose. HuG. 1996; 71: 786-788.

  24. Cullen SI. Successful treatment of reactive perforating collagenosis with tretinoin. Cutis. 1979; 23: 187-193.

  25. Nebel R, Fiedler E, Danz B, Marsch WC, Kreft B. Erworbene reaktiv perforierende Kollagenose bei Diabetes mellitus und dialysepflichtiger Niereninsuffizienz. Dtsch Med Wochenschr. 2007; 132: 2624-2626.

  26. Wigger-Alberti W, Richter M, Hochheim B, Schreiber G, Elsner P. Erworbene reaktive perforierende Kollagenose bei Diabetes mellitus. Dtsch Med Wochenschr. 1999; 124: 282-284.




Figure 1
Figure 2
Figure 3
Table 1
Table 2

2020     |     www.medigraphic.com

Mi perfil

C?MO CITAR (Vancouver)

Rev Cent Dermatol Pascua. 2021;30