medigraphic.com
SPANISH

Revista Mexicana de Ortodoncia

ISSN 2395-9215 (Print)
Órgano Oficial de Difusión de la Facultad de Odontología de la UNAM
  • Contents
  • View Archive
  • Information
    • General Information        
    • Directory
  • Publish
    • Instructions for authors        
  • medigraphic.com
    • Home
    • Journals index            
    • Register / Login
  • Mi perfil

2020, Number 3

<< Back

Rev Mex Ortodon 2020; 8 (3)

Five important advantages of the Tip-Edge system in fixed orthodontics

Medellín Fuentes, Ricardo1; Kesling, Peter C2
Full text How to cite this article

Language: English/Spanish [Versi?n en espa?ol]
References: 18
Page: 201-211
PDF size: 636.22 Kb.


Key words:

Tip-edge, Begg, Edgewise, MBT, Alexander.

ABSTRACT

Now a days the different alternatives to perform an orthodontic treatment are varied, after teaching and treating malocclusions for 30 years with different orthodontic techniques such as Begg, Alexander, MBT, including self-ligating brackets, considering the advantages provide by Tip-edge I could list some of them as speed, comfort for the patient and clinician, the easy bite opening as well as closing of symmetrical and asymmetrical extraction spaces, how to provide individual torque among others, however this work emphasizes five important advantages in daily practice that can be useful for those clinicians who make any other fixed orthodontic technique.



INTRODUCTION

Orthodontics in its different historical cohorts and evolution for over 100 years has gone through the presence and modification of countless brackets, techniques and systems with different proposals in their designs and biomechanical foundation, however as mentioned by Charles Burstone "Of the new appliances only those are retained that support the most complex test and this is the time"1 ie, that the orthodontist adopts the new contributions in appliances and only time will determine if they were really useful remaining in the daily use of clinical practice, it is indisputable to mention that for a bracket system to be accepted by the clinician, On the other hand, although there are studies to determine which technique provides more advantages than others2 it is very complex to determine which one works better and I think that regardless of the time in treatment is a factor that gives some argument and starting from the point that all brackets, systems and techniques work well with proper treatment, systems and techniques work well with proper management, it is important to mention with which system the clinician obtains his treatment objectives in an easier, simpler and more effective way, since in the end it will have an impact on the results, hence the concern of this article to show some of the advantages that the Tip-Edge system provides compared to others.

The Tip-Edge System was developed in the 80's by its creator, Dr. Peter C. Kesling, becoming the best hybrid that combines the two most important philosophies of dental movement in the history of orthodontics,3 and thanks to its ease and biomechanical basis it allows obtaining successful results with simple and effective management.

Among the points to offer at that time, in the 80's it was a proposal that did not use extra anchors, it proposed management from early stages, eliminating the need for the use of functional appliances due to the poor cooperation of the patients as well as the use of the extraoral arch very used at that time, and offering different advantages which will be described below due to the frequency of presentation in the clinical setting.



ANCHORAGE

Anchorage is an issue that should be planned from the diagnosis and generally, in most systems, it is not recommended to proceed with the placement of brackets or extractions when required without proper planning and placement of anchorage devices and then proceeds to the placement of appliances, the first advantage offered by the Tip-Edge system and perhaps one of the most important is the elimination of all auxiliary anchorage devices of high caliber such as lingual arches, Nance buttons, transpalatal bars and of course extraoral arch or more recently the temporary anchorage devices (TAD), because it is a system based on the foundation of differential force4 which is based on the placement of adequate pressure to not break the natural anchorage of the posterior segments and thus close spaces taking the anterior teeth back without endangering the posterior anchorage5 (Figure 1).

In the same way, in those cases where the closing of spaces from posterior to anterior is required, that is to say, where the anchorage is necessary for the anterior sector, it is a system that thanks to its braking mechanics can provide the support for the closing of spaces mesializing the premolars and molars (Figure 2).



RETRACTION OF THE ANTERIOR SEGMENT

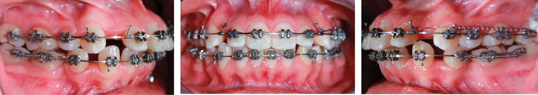
Undoubtedly one of the crux movements in orthodontics that is closely related to the anchorage is the retraction of the anterior segment at the time of space closure in extraction cases. It is very common that for space closure the distalization of the canines is performed first followed by the retraction of the four incisors with different strategies and archwire designs, mostly with rectangular or square wires (Figure 3), different authors such as Wick Alexander recommend the intensive use of the extraoral archwire in these phases6 this type of mechanics is done just to conserve the posterior anchorage since it is not easy to retract six teeth together relying only on the first molars, not to mention the unsightly phase the patient goes through when the canine is retracted first. (Figure 4) in the Tip-Edge system thanks to the design of the bracket (Figure 5) created for space closure, it is possible to bring distally the six anterior teeth together at a considerable speed,7 or even eight teeth when the second premolars are extracted or also to retract ten teeth together, in cases of extraction or absence of the first molars and retract from the second premolar to the second premolar together without the need of additional anchorage (Figure 6), this is a great advantage at a biomechanical and esthetic level.



RE-LEVELING PREMOLARS

During orthodontic treatment is very frequent a phase to re-level the premolars which prolong the treatment time, for this reason, authors like Tweed, Alexander recommends placing bands on the premolars to tolerate the forces of mastication6 that cause the constant fall of the brackets of these teeth either by depression in the arches generated by the treatment, Something similar happens in cases of deep bites, this results in the necessary change or regression to a flexible or smaller archwire that lacks containment and vertical control in the occlusion causing a problem of several appointments to solve it and delay in the treatment (Figure 7). In Tip-Edge this is not necessary since it is possible to continue using the same rigid archwire 0.016" or even the Australian 0.022" thanks to the dual facial slot that the bracket presents, since frequently the premolars are inclined and when placing the bracket the slot will be at 0.028" which allows the easy insertion of the rigid archwire again without problems (Figure 8).



ASYMMETRIC EXTRACTION

For years when the diagnosis in orthodontics indicates extractions it is very common to remove the first 4 premolars, it is like a law that has been imposed by the daily, repeated and comfortable of this decision in fact it is common that the referral of a patient for orthodontics is made without caries without third molars and if it is for extractions it is decided to perform the extraction of the first 4 premolars no matter the state of health in which the second premolars or even the first molars are, However, many times the first premolar of one or more quadrants are in perfect condition and the second one, for example, already has restorations or even endodontic treatments and unfortunately the first one is extracted and the most damaged tooth is left in the mouth, The reason is symmetry and biomechanical preferences, i.e. if we want to preserve our posterior anchorage it is easier to contain it if the second premolar is found that could reinforce it, this is the biggest reason that the orthodontist takes to justify this pattern of extractions, and it is the same reason why in class II cases the most biomechanically comfortable pattern is to extract first premolars above and second below in order to facilitate the closure of spaces, in the same way happens with class III cases where second premolars are extracted above and first below (Figure 9),8 this is when there is dental health and we have the decision to choose which tooth we are going to extract but it is even more complex when the patients already present with asymmetrically absent teeth and we must close the spaces as part of the treatment, a great advantage of the Tip-Edge system in these cases is because either the operator has decided it or because the patient presents these absences, due to the characteristics, permissibility of bracket inclination and ease of sliding without arch flexion in space closure it is relatively easy to retract different anterior and posterior segments without losing the sagittal relationships in this way we can close asymmetric spaces in a symmetric way even without the use of temporary anchorage devices or mini-implants (TAD) (Figure 10).



ANCHORAGE RECOVERY

It is becoming more and more frequent in daily practice the patient who was previously treated with premolar extractions and at the time of space closure was complicated and the results were a class II due to the loss of anchorage in addition to other complications that the patient may present, such as being able to offer another treatment to recover the lost relations such as going from a class II to a class I without devices such as pendulums, extraoral arches or mini implants in a considerable time after the patient has already been treated, this is another of the great advantages that the Tip-Edge system offers because thanks to the vertical control and sagittal direction in group of teeth it is possible to recover the relations under the philosophy of the differential movement9 that is to say, firstly tilting the crowns towards distal in group and later the root verticalization recovering class II towards class I with the use of light intermaxillary elastics that with other systems is difficult to obtain due to the action of its bracket increasing the speed of treatment and obtaining functional and esthetic results in record time compared to traditional and preadjusted systems10 (Figure 11).



DISCUSSION

In orthodontics there are different proposals to move teeth, however, those that use extra anchorage devices such as Tweed, Burstone segmented arches, Edge-Wise, Roth, Ricketts among others start at a disadvantage due to the procedures of elaboration of extra anchorage devices, comfort, and cooperation of the patient,11-15 a characteristic of the philosophy proposed by McLaughlin in the MBT system16 was to decrease the angulation prescription in the upper and lower anterior sector by 10 and 12 degrees respectively, to reduce the demands of anchorage as well as the use of metallic retro-ligatures in the canines to avoid the proinclination of the anterior teeth and thus facilitate their retraction, unlike what happens in the Tip-edge system by having eliminated the contra-opposite corners of the slot (Figure 5). The use of heavy mechanisms in orthodontics invites you to handle greater pressure in biomechanical procedures which could cause tissue damage more easily and the closure of spaces irregularly and arbitrarily producing compromised results and undesirable anchorage losses, The management of high pressures increases the risk of undesirable movements and limited results, in an in vivo comparative study of 3 techniques in orthodontics shows how the Tip-Edge system is far superior to the other two both in time and ineffectiveness to movement as well as in long-term stability,17 today orthodontics offers less time, more comfort, less time in the chair, and the reduction of extra appliances with self-ligation systems, however, in the meta-analysis carried out by Wagner and Benichou, no statistically significant differences were found between self-ligation and conventional ligating systems such as Tip-Edge.18



CONCLUSION

The management of a system in orthodontics offers the possibility of its deep understanding and critical analysis to be able to explore the advantages that are immersed in it, after having managed and taught the Tip-Edge system for more years in this article we show some of the advantages that can serve the clinician for its comparative evaluation with any other system including self-ligating brackets, the knowledge of the basics of a system provides the security of clinical application and mastery.


REFERENCES

  1. Galicia-Ramos GA, Killiany DM, Kesling PC. A comparison of standard edgewise, preadjusted edgewise, and Tip-Edge in class extraction treatment. J Clin Orthod. 2001; 35 (3): 145-153.

  2. Burstone C. Orthodontics as a science: the role of biomechanics. Am J Orthod Dentofacial Ortho. 2000; 117 (5): 598-600.

  3. Kesliing PC. Tip-Edge plus guide and the differential straight-arch technique. 6th ed. USA: TP Orthodontics Inc; 2006.

  4. Begg P. Differential force in orthodontic treatment. Am J Orthod Dentofacial Orthop. 1956; 42 (7): 481-510.

  5. Williams R. The diagnosis line. Am J Orthod Dentofacial Orthop. 1969; 55 (5): 458-476.

  6. Alexander RG. The Alexander discipline contemporary concepts and philosophies. Texas: Ormco Corporation; 1986.

  7. X Flores RM. Fifteen months of treatment witth Tip-Edge of class II division 1 malocclusion, open bite and sever crowding. Rev Mex Ortodon. 2015; 3 (2): 92-98.

  8. Proffit W. Contemporary orthodontics. 2nd St Louis: Mosby Co; 1993.

  9. Begg PK, Kesling PC. Ortodoncia de Begg Teoria y técnica. 2ª ed. Madrid, España; 1973.

  10. Medellin R. Técnica de arco recto diferencial tip-edge una alternativa de tratamientoen ortodoncia fija. Rev Esp Cienc Salud. 2000; 3 (1-2): 25-31.

  11. Tweed CH. The Aplication of the principles of the edgewise arch in the treatment of malocclusions. Angle Orthod. 1941; 11 (1): 5-11.

  12. Burstone CJ, Hanley KJ. Modern edgewise mechanics segmented arch technique. USA: Ormco Corporation; 1989.

  13. Thourow RC. Edgewise orthodontics. 2nd ed. United States of America: Mosby Company; 1966.

  14. Graber LW, Vanarsdall RL, Vig KWL. Ortodoncia principios y técnicas actuales. 4th ed. Madrid: Elsevier Mosby; 2006.

  15. Ricketts RM, Bench RW, Gugino CF, Hilgers JJ, Schulhof RJ. Técnica bioprogresiva de ricketts. 3rd ed. México: Editorial Médica Panamericana; 1999.

  16. McLaughlin RP, Bennett JC, Trevisi HJ. Mecánica sistematizada del tratamiento ortodóncico. Madrid: Elsevier Mosby; 2002.

  17. Medellin R. A clinical longitudinal Comparative study of the orthodontic treatments of triplets utilizing three different fixed orthodontic techniques. Int J Orthod Milwaukee. 2012; 23 (4): 39-45.

  18. Wagner D, Lévy-Benichou H, Lefebvre F, Bolender Y. Are self-ligating brackets more efficient than conventional brackets? A meta-analysis of randomized controlled and split-mouth trials. Orthod Fr. 2020; 91 (4): 303-321.



AFFILIATIONS

1 Coordinador de Ortodoncia de la División de Estudios de Posgrado e Investigación. Universidad Nacional Autónoma de México, Ciudad de México.

2 Creador del Sistema Tip-Edge. La Porte Indiana USA.



CORRESPONDENCE

Ricardo Medellín Fuentes. E-mail: medellinricardo65@gmail.com




Received: Abril 2021. Accepted: Agosto 2021.

Figure 1
Figure 2
Figure 3
Figure 4
Figure 5
Figure 6
Figure 7
Figure 8
Figure 9
Figure 10
Figure 11

2020     |     www.medigraphic.com

Mi perfil

C?MO CITAR (Vancouver)

Rev Mex Ortodon. 2020;8