medigraphic.com
SPANISH

Cirujano General

ISSN 2594-1518 (Electronic)
ISSN 1405-0099 (Print)
  • Contents
  • View Archive
  • Information
    • General Information        
    • Directory
  • Publish
    • Instructions for authors        
    • Send manuscript
  • medigraphic.com
    • Home
    • Journals index            
    • Register / Login
  • Mi perfil

2021, Number 2

<< Back Next >>

Cir Gen 2021; 43 (2)

Splenic artery aneurysm. Review

Contreras Rojas, Carolina1; Fuentes Reyes, Rodolfo Alejandro2; Maldonado García, Edwin Leopoldo3; De los Ríos Ávila, Hazael1
Full text How to cite this article 10.35366/106723

DOI

DOI: 10.35366/106723
URL: https://dx.doi.org/10.35366/106723

Language: English/Spanish [Versi?n en espa?ol]
References: 14
Page: 119-124
PDF size: 250.09 Kb.


Key words:

Aneurysm, splenic artery, splenectomy.

ABSTRACT

Introduction: Splenic artery aneurysm consists of an abnormal dilation greater than 1 cm in diameter. Is the third most common intra-abdominal aneurysm and the most frequent visceral artery aneurysm. Clinical case: 41-year-old female who, after a motor vehicle accident, presented pain in the left hypochondrium of one year evolution; ultrasound reports splenic artery aneurysm and cholelithiasis, angiotomography confirms splenic artery aneurysm. Selective embolization and coil placement are performed, abdominal pain and leukocytosis developed and new angiotomography suggests splenic artery occlusion and splenic infarction. Splenectomy and cholecystectomy are performed. Discussion: Up to 95% are asymptomatic, the rest may present pain located in epigastrium or left hypochondrium. Generally is an incidental finding on abdominal radiograph, ultrasound or computed tomography. Intervention should be considered in specific cases, being embolization or stent application, by endovascular approach, the treatment of choice conventional surgery should be reserved for complicated aneurysms or in case of rupture. Conclusion: Formerly, the treatment of choice was conventional surgery, but at present endovascular approach is. In this case, we present an aneurysm at the level of splenic hilum, which failed to endovascular treatment, and findings of splenic infarction, so we performed splenoaneurysmectomy.



INTRODUCTION

The splenic artery aneurysm consists of an abnormal dilatation of the splenic artery larger than 1 cm in diameter. The splenic artery is the third most common site of intra-abdominal aneurysms, preceded by the aneurysm of the abdominal aorta and iliac arteries. It is considered the most common visceral artery aneurysm (60%), followed by the hepatic (20%), superior mesenteric (5.9%), and celiac (4%) arteries.1,2

According to studies based on autopsies, its prevalence ranges from 0.2 to 10.4%; It is four times more common in women. However, it is three times more likely to present rupture in men. The exact etiology of this aneurysm is unknown. Still, it has been associated with trauma, hypertension, hormonal and hemodynamic alterations of pregnancy, portal hypertension, cirrhosis, Caroli syndrome, liver transplantation, pancreatitis, arterial degeneration, collagen diseases, and atherosclerosis. 80-99% of splenic artery aneurysms present atherosclerosis on histopathological examination, with or without calcification and mural thrombosis. However, it may be associated with the primary degeneration of the tunica media.1,3

Most splenic aneurysms develop in the main trunk of the splenic artery. Aneurysms distal to the primary bifurcation are rare and occasionally involve small branches of the splenic hilum. True aneurysms of the splenic artery occur in up to 75% of cases in the distal third of the artery and 20% in the middle third. They are usually solitary and saccular. The size at diagnosis is, on average, 2.1 cm, rarely exceeding 3 cm, although splenic aneurysms up to 20 cm have been reported. Mycotic aneurysms are most frequently located at the artery's bifurcation level.1,3,4



CLINICAL CASE

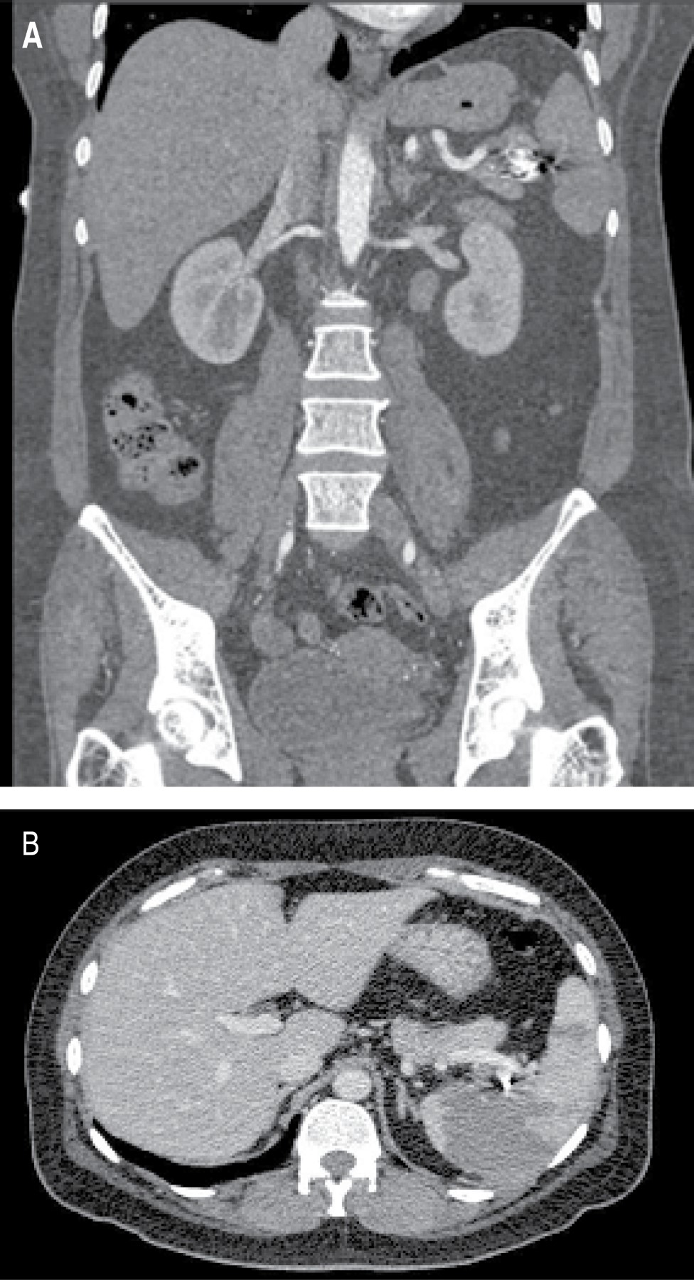
This was a 41-years old female patient with a history of hypothyroidism diagnosed at 21 years old, currently without medical treatment for 40 years old due to apparent control, diagnosis of uterine myomatosis at 40 years old, without treatment; history of two cesarean sections, being the last one at 23 years old, without complications. She suffered a car accident with rollover at age 40, without apparent organic damage. She began her current condition after a car accident one year earlier with intermittent, stabbing, non-radiating pain in the left hypochondrium, with no aggravating or extenuating factors; on physical examination, she presented pain in the left hypochondrium on deep palpation, with no other pathological findings. Ultrasound was performed with results compatible with an aneurysm of the splenic artery and cholelithiasis; the diagnostic approach was complemented with angio-tomography of the abdominal aorta finding a splenic artery of standard caliber, with focal saccular dilatation in distal segment compatible with an aneurysm of 17.7 × 15.9 mm and neck of 5.5 mm, with mural thrombus of 2 mm, with no signs of rupture; vesicular lithiasis and uterine myomatosis were also seen. With no apparent complications, selective embolization with coil placement was performed in conjunction with angiology (Figure 1). In the immediate follow-up, the patient presented abdominal pain and leukocytosis; a new angio-tomography was performed with data suggestive of splenic artery occlusion and splenic infarction (Figure 2). Due to the findings mentioned above, it was decided to perform splenectomy and conventional cholecystectomy using a surgical approach with a midline supraumbilical incision, with the following findings: Thin-walled gallbladder, multiple calculi inside of 5-10 mm approximately, cystic artery of 2 mm, cystic duct of 3 mm, spleen of 13 × 10 cm approximately, with multiple ischemic areas, an aneurysm of the splenic artery at the level of the splenic hilum, posterior to its bifurcation (Figure 3). The postoperative course was without complications, so she was discharged three days after surgery and received the corresponding vaccination for patients with splenectomy. The histopathological report included findings of splenic artery aneurysm with atherosclerosis, splenic parenchyma with congestive vessels, and chronic calculous cholecystitis.



LITERATURE REVIEW

Visceral artery aneurysms are infrequent, representing 0.1-0.2% of all aneurysms; however, splenic artery aneurysms are the most frequent visceral artery aneurysms (60%) and the third most common intra-abdominal aneurysms.2

This pathology remains asymptomatic in up to 95% of patients. It may go unnoticed in the physical examination due to the location of the splenic artery until the moment of rupture. Only 20% of splenic aneurysms are symptomatic, presenting mainly abdominal pain in the epigastrium or left upper quadrant; other symptoms may include anorexia, nausea, or vomiting, which are often attributed to a coexisting hiatal hernia or other pathologies such as cholelithiasis and peptic ulcer. Rarely a soft pulsatile mass may be detected on physical examination. Splenic aneurysm rupture is rare but is associated with high mortality. The risk of rupture varies from 2-3% in the most recent series and increases with pregnancy, portal hypertension, liver cirrhosis, and liver transplantation.1,2,4

Most cases of rupture are sudden, causing immediate circulatory collapse, and 25% of them will present a double rupture phenomenon, which is characterized by containment of the initial rupture of the aneurysm by the omentum or by clots blocking Winslow's hiatus; this is followed by a rupture into the peritoneal cavity, hours or days later. The second rupture has a high mortality risk and severe hemodynamic collapse. The patient may present with severe pain in the epigastrium, left hypochondrium, left shoulder (Kehr's sign), and hemodynamic instability at the time of the rupture. Sometimes rupture within the splenic vein results in an arteriovenous fistula and portal hypertension. Thus, a high-flow arteriovenous fistula can produce a "mesenteric steal syndrome", resulting in small bowel ischemia.5,6

Generally, the splenic aneurysm is an incidental finding in a simple abdominal radiograph, observing a calcified curvilinear lesion in relation to the splenic artery or during an ultrasound or abdominal tomography. Very small lesions are visualized only by angiography. On ultrasound imaging, splenic aneurysms are visualized as hypoechoic masses in the left upper quadrant of the abdomen. They are visualized on a computerized tomography scan as a well-defined, low-density mass with intense enhancement in the residual lumen after intravenous contrast administration, which confirms the diagnosis. The CT scan allows visualizing the shape and location of the splenic aneurysm directly, completely, and satisfactorily, the extent of the lesion, and its relationship with the associated vascular structures.4,7

Symptomatic splenic artery aneurysms should always be treated. Indications for treatment of an asymptomatic splenic aneurysm are diameter greater than 2 cm, pseudoaneurysms, portal hypertension, portocaval shunt, medial arterial fibrodysplasia, arteriosclerosis, progressive enlargement, preoperative preparation for liver transplantation and in pregnant patients or women of childbearing age.8-10 Non-operative treatment is reserved for critically ill patients when the aneurysms are smaller than 2 cm in diameter and in women who do not plan to become pregnant shortly; however, the latter is not an absolute criterion; it consists of close evolutionary surveillance using periodic controls with computerized tomography, or ultrasound scans every six to 12 months.10,11

There is no agreement on the treatment of choice in cases of asymptomatic patients. In the case of symptomatic splenic aneurysms, treatment should be immediate, either by conventional, laparoscopic, or endovascular surgical techniques. The decision should be based on the clinical condition of the patient, the possible approaches to the abdomen, the situation of the splenic artery, the consent to the procedure, and the available resources.8,12

Endovascular treatment is indicated in high-risk cases, hostile abdomen, and distal lesions. Some options are splenic artery embolization with coils and functional exclusion, placement of a stent covering the neck of the aneurysm, and embolization with locks for hilar aneurysm with spleen preservation. The advantages are minimal invasion, rapid recovery, and preservation of the flow to the spleen, but it requires radiation and the use of contrast. Another alternative is the injection of fibrin glue into the aneurysmal sac. It is essential to consider whether to preserve the spleen since splenic infarction predisposes patients to infection.8 Theoretically, a combination of stenting and coil embolization is more appropriate for these aneurysms than other endovascular methods. Embolization is considered the first line of treatment in asymptomatic aneurysms, in patients difficult to manage surgically or in pseudoaneurysms. It is contraindicated in cases of aneurysms of the splenic hilum or in instances of tortuosity of the artery, in which open surgery is preferred. The objective of an embolization is the occlusion of blood vessels using numerous embolic agents, each with different properties and uses. This is the basis of mechanical obstruction, platelet activation, and activation of the patient's coagulation cascade to obstruct the vessels completely. Coils are among the most widely used embolic agents, varying in diameter from submillimeter to several centimeters; their shape is also very variable (straight, helical, spiral, and three-dimensional), and they also have a thrombogenic coating; they are placed using a guide catheter that accesses the aneurysm. Most coils have small fibers attached to the metal component, which provoke a thrombogenic response with subsequent vessel occlusion. Different series report a 66.7 to 92% success rate with this technique. However, patients should be observed after surgery for possible complications such as infarction due to coil migration, splenic abscess, aneurysm rupture, pancreatitis, and rarely recanalization.10,13,14 Coil embolization of the splenic artery can cause a splenic infarction, mainly after distal embolization or in the splenic hilum, with a reported incidence of 25%. Symptoms vary from abdominal pain and low-grade fever to sepsis, pancreatitis, infection, or abscesses of the splenic parenchyma.14 Open surgery was the gold standard of treatment until the end of the 20th century and is generally indicated in low-risk patients for trunk lesions or when aneurysms are also present in the aorta or intestinal arteries and in patients in whom endovascular treatment has failed. Conventional surgery consists of raffia of the aneurysm, double ligation of the splenic artery with or without splenectomy, aneurysmectomy with arterial reimplantation, or grafts that can also be performed.8 In the proximal third, aneurysmectomy will be performed; in the middle third aneurysmal exclusion is preferred, as well as splenoaneurysmectomy if it is in the distal third.2,10

Although the literature mentions that only 20% of patients with splenic aneurysms have symptoms, the presence of pain in the left hypochondrium of a long evolution led to requests for complementary studies in this patient. An ultrasound was performed as an initial approach, reporting findings compatible with splenic artery aneurysm and cholelithiasis, so, following the study protocol mentioned in the literature, we proceeded to perform an angio-tomography of the abdominal aorta to have a complete picture of the case, visualize the size and location of the lesion and its relationships and thus properly the therapeutic plan.

Being a patient who presented symptoms associated with the pathology, it was decided to initiate treatment in the least invasive way, performing selective embolization and placement of coils by the Angiology Service. However, she presented a torpid post-surgical evolution, requiring a new angio-tomography, in which an extensive area compatible with infarction was visualized, offering a poor response to minimally invasive treatment. So, it was decided to carry out a more invasive treatment and scheduled splenectomy and conventional cholecystectomy. The literature refers to the next step in the treatment of this patient, a laparoscopic intervention secondary to the failure of minimally invasive treatment. However, laparoscopy was unavailable in our unit then, so the treatment was performed by open or conventional surgery.



CONCLUSION

Although splenic artery aneurysms are primarily asymptomatic, up to 95% of patients, in this case, we present a patient whose reason for consultation was chronic pain, up to a year of evolution, in the left hypochondrium. In most cases, these aneurysms are incidental findings in imaging studies performed on patients for various reasons. Once the splenic aneurysm was suspected by ultrasound imaging, the study of the patient was complemented with an angio-tomography so that the best treatment for her specific situation could be decided. The treatment of choice should be by endovascular approach, so it is expected to obtain the highest probability of success in the least invasive way with the resources available in the institution. However, open splenectomy was required due to the lack of minimally invasive equipment available. It is vital to conduct good questioning, physical examination, and complementary studies since the characteristics of the aneurysm and the urgency of treatment will decide the course of action to follow.


REFERENCES

  1. Agrawal GA, Johnson PT, Fishman EK. Splenic artery aneurysms and pseudoaneurysms: clinical distinctions and CT appearances. AJR Am J Roentgenol. 2007; 188: 992-999.

  2. Sulkowski L, Szura M, Pasternak A, Matyja M, Matyja A. Pathogenesis, diagnosis and treatment of splenic artery aneurysms. Austin J Vasc Med. 2016; 3: 1017.

  3. Al-Habbal Y, Christophi C, Muralidharan V. Aneurysms of the splenic artery - a review. Surgeon. 2010; 8: 223-231.

  4. Gandhi VS, Thakkar GN, Rajput DK, Rajvaidya NP. Splenic artery aneurysm. Ind J Radiol Imag. 2006; 16: 487-489.

  5. Khurana J, Spinello IM. Splenic artery aneurysm rupture: a rare but fatal cause for peripartum collapse. J Intensive Care Med. 2013; 28: 131-133.

  6. De Vries JE, Schattenkerk ME, Malt RA. Complications of splenic artery aneurysm other than intraperitoneal rupture. Surgery 1982; 91(2):200-4.

  7. Sun C, Liu C, Wang XM, Wang DP. The value of MDCT in diagnosis of splenic artery aneurysms. Eur J Radiol. 2008; 65: 498-502.

  8. Moura R, Lima SM, Gibin JR, Bertanha M, de Oliveira MJV, Clayton MFC et al. Splenic artery saccular aneurysm: endovascular approach or open surgery? J Vasc Bras. 2013; 12: 230-233.

  9. Redondo M. Agentes embolizantes. Indicaciones clásicas y novedades. Intervencionismo. 2018; 18: 20-38.

  10. Colsa-Gutiérrez P, Kharazmi-Taghavi M, Sosa-Medina RD, Gutiérrez-Cabezas JM, Ingelmo-Setién A. Aneurisma de arteria esplénica. A propósito de un caso. Cir Cir. 2015; 83: 161-164.

  11. Rockman CB, Maldonado TS. Splanchnic artery aneurysms. In: Cronenwett JL, Johnston KW, editors. Rutherford's vascular surgery. 7th ed. Philadelphia: Saunders; 2010. v. 2, pp. 2140-2155.

  12. Sadat U, Dar O, Walsh S, Varty K. Splenic artery aneurysms in pregnancy--a systematic review. Int J Surg. 2008; 6: 261-265.

  13. Jiang J, Ding X, Su Q, Zhang G, Wang Z, Hu S. Endovascular stent-graft placement and coil embolization for an anomalous splenic artery aneurysm. J Vasc Surg. 2011; 54: 208-211.

  14. Reil TD, Gevorgyan A, Jimenez A et al. Endovascular treatment of visceral artery aneurysms. In: Moore WS, Ahn SS. Endovascular surgery. 4th ed. Philadelphia, PA: Elsevier; 2011. pp. 521-527.



AFFILIATIONS

1 Third-year Resident of General Surgery. High Specialty Medical Unit No. 25, Mexican Institute of Social Security. Monterrey, Nuevo Leon.

2 General Surgery, Hepatopancreatobiliary Surgery. High Specialty Medical Unit No. 25, Mexican Institute of Social Security. Monterrey, Nuevo Leon.

3 Fourth-year Resident in General Surgery. High Specialty Medical Unit No. 25, Mexican Institute of Social Security. Monterrey, Nuevo Leon.



Ethical considerations and responsibility: Data privacy. According to the protocols established in our work center, it is declared that the protocols on patient data privacy have been followed preserving their anonymity.

Funding: No financial support was received for this work.

Disclosure: None of the authors have a conflict of interest in the conduct of this study.



CORRESPONDENCE

Carolina Contreras-Rojas, MD. E-mail: caro_contreras@hotmail.com




Received: 08/15/2019. Accepted: 11/04/2019

Figure 1
Figure 2
Figure 3

2020     |     www.medigraphic.com

Mi perfil

C?MO CITAR (Vancouver)

Cir Gen. 2021;43