medigraphic.com
SPANISH

Revista Mexicana de Pediatría

ISSN 0035-0052 (Print)
  • Contents
  • View Archive
  • Information
    • General Information        
    • Directory
  • Publish
    • Instructions for authors        
    • Send manuscript
  • medigraphic.com
    • Home
    • Journals index            
    • Register / Login
  • Mi perfil

2022, Number 1

<< Back Next >>

Rev Mex Pediatr 2022; 89 (1)

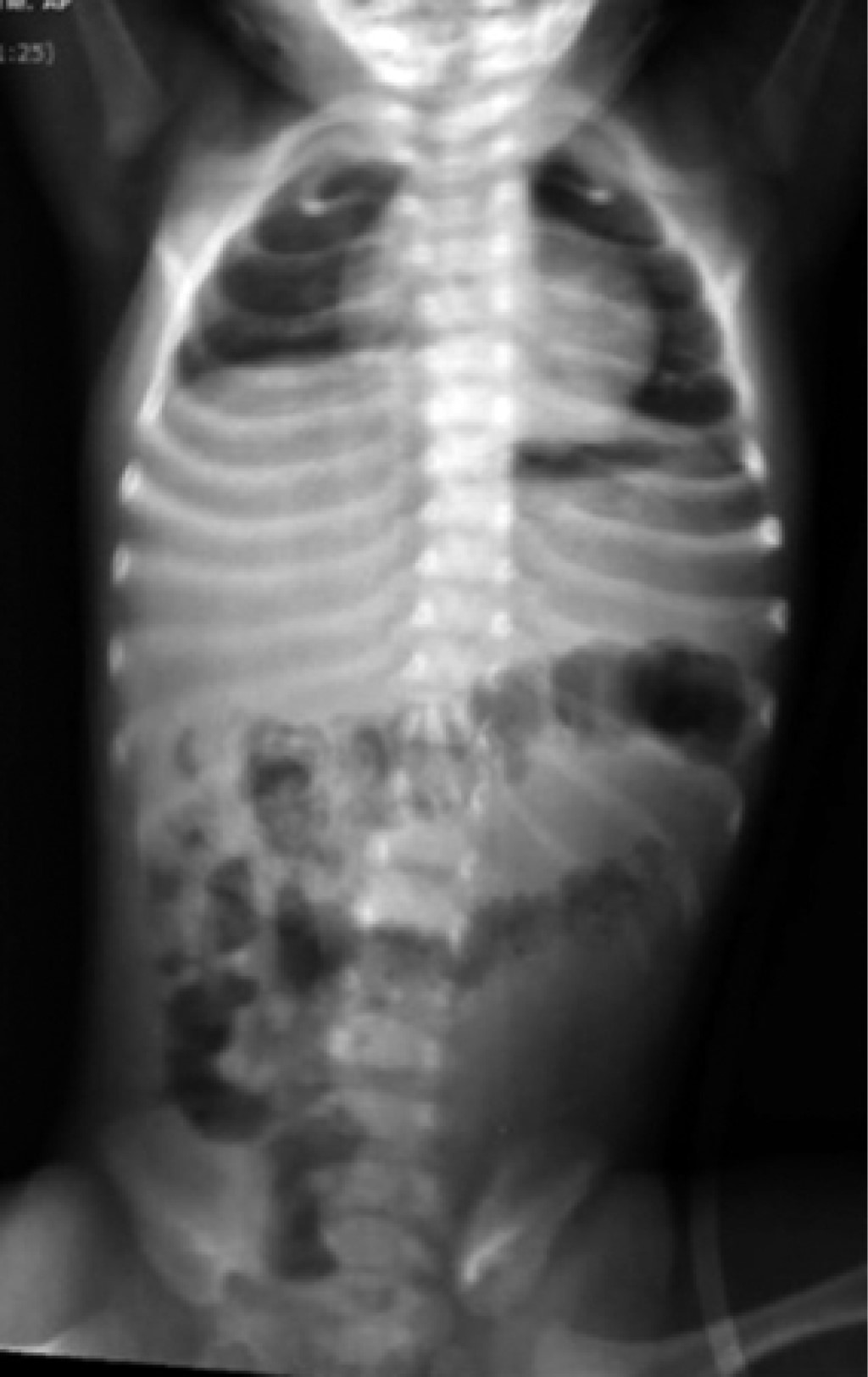
Hypertrophic pylorus stenosis in monozygotic twins

Martínez-Reyes IY, Cervantes-Nava CL, García-Cabello LM, Godoy-Esquivel AH
Full text How to cite this article 10.35366/106855

DOI

DOI: 10.35366/106855
URL: https://dx.doi.org/10.35366/106855

Language: Spanish
References: 14
Page: 19-22
PDF size: 250.97 Kb.


Key words:

identical twins, hypertrophic pyloric stenosis, genetic predisposition to disease.

ABSTRACT

Introduction: although hypertrophic pyloric stenosis (HPS) is a relatively common condition, it has a certain genetic predisposition. In view of the few similar cases reported recently, we present two monozygotic twins who were diagnosed with this condition. Case presentation: we report monozygotic female twins with a history of their father having HPS at one month of age. HPS was diagnosed in one of the twins at 27 days of age and in the second at 45 days of age. In both, the treatment was surgical, which resolved the clinical picture without complications. Conclusions: given the genetic predisposition, in monozygotic twins, after one of the two is diagnosed with HPS, it is necessary for the parents to be alert in case a compatible clinical picture develops, to detect this same condition in the second twin in a timely manner.


REFERENCES

  1. Peters B, Oomen MW, Bakx R, Benninga MA. Advances in infantile hypertrophic pyloric stenosis. Expert Rev Gastroenterol Hepatol. 2014; 8(5): 533-541.

  2. Pérez E, Ríos C. Estenosis hipertrófica del píloro: mitos y verdades. Pediátr Panamá. 2012; 41(2): 16-21.

  3. Baeza HC, Villalobos A, Arcos A, López C, García C. Estenosis hipertrófica del píloro. Estudio clínico epidemiológico. Acta Pediatr Mex. 2010; 31(2): 50-54.

  4. Krogh C, Fischer TK, Skotte L, Biggar RJ, Oyen N, Skytthe A et al. Familial aggregation and heritability of pyloric stenosis. JAMA. 2010; 303(23): 2393-2399.

  5. Darlene A, Paul D. Pyloric stenosis in preterm identical twins of a triplet birth with a review of pyloric stenosis in premature neonates. RPN. 2018; 2(4): 182-184.

  6. Pandya S, Kurt H. Pyloric stenosis in pediatric surgery: an evidence-based review. Surg Clin North Am. 2012; 92(3): 527-539.

  7. Gezer HO, Oguzkurt P, Temiz A, Hicsonmez A. Hypertrophic pyloric stenosis in twins; genetic or environmental factors. Clin Genet. 2015; 87(4): 388-391.

  8. Ezomike UO, Ekenze SO, Amah CC, Nwankwo EP, Obianyo NE. Infantile hypertrophic pyloric stenosis - Our experience and challenges in a developing country. Afr J Paediatr Surg. 2018; 15(1): 26-30.

  9. Méndez R. Estenosis hipertrófica de píloro. Revista Médica Sinergia. 2018; 3(11): 10-13.

  10. Yang G, Brisseau G, Yanchar NL. Infantile hypertrophic pyloric stenosis: An association in twins? Paediatr Child Health. 2008; 13(5): 383-385.

  11. Kundal VK, Gajdhar M, Shukla AK, Kundal R. Infantile hypertrophic pyloric stenosis in twins. BMJ Case Rep. 2013; 2013: bcr2013008779.

  12. Chugg E. Infantile hypertrophic pyloric stenosis: genes and environment. Arch Dis Child. 2008; 93(12): 1003-1004.

  13. Aymerich O. Estenosis hipertrófica pilórica infantil. Med Leg Costa Rica. 2014; 31(1): 70-78.

  14. Jobson M, Hall N. Contemporary management of pyloric stenosis. Semin Pediatr Surg. 2016; 25(4): 219-224.




Figure 1
Figure 2
Figure 3
Figure 4

2020     |     www.medigraphic.com

Mi perfil

C?MO CITAR (Vancouver)

Rev Mex Pediatr. 2022;89