medigraphic.com
SPANISH

Revista Mexicana de Cirugía Torácica General

Sociedad Mexicana de Cirujanos Torácicos Genrales S.C.
  • Contents
  • View Archive
  • Information
    • General Information        
    • Directory
  • Publish
    • Instructions for authors        
    • Send manuscript
  • medigraphic.com
    • Home
    • Journals index            
    • Register / Login
  • Mi perfil

2021, Number 1

<< Back Next >>

Rev Mex Cir Torac Gen 2021; 2 (1)

Unusual presentation of an Actinomyces spp. thoracic tumor. A case report

Corrales-Valenzuela JD, Moreno-Benítez MF, Salazar-Otaola GF, Valenzuela-Espinoza A, Torres-Reyes DO, Olivares-Torres CA
Full text How to cite this article 10.35366/107189

DOI

DOI: 10.35366/107189
URL: https://dx.doi.org/10.35366/107189

Language: Spanish
References: 6
Page: 19-22
PDF size: 223.00 Kb.


Key words:

Actinomycosis, Actinomyces spp., chest tumor, rib resection.

ABSTRACT

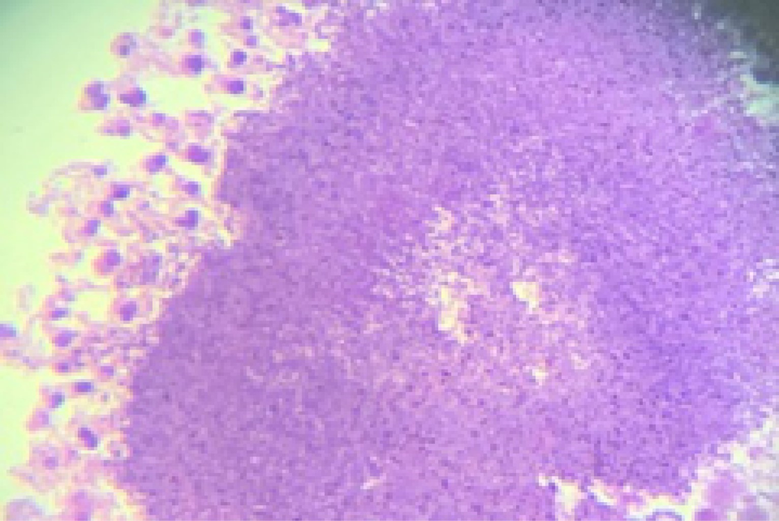
Actinomycosis disease is an infection caused by Gram positive bacteria of the genus Actinomyces spp., it is a rare disease among our environment, being reported as 0.3 cases per 100,000 inhabitants. This bacteria is an habitual colonizer of the oral cavity and gastrointestinal tract. Its pathogenicity depends on the immunocompetent state as well as on the integrity of the mucotegumentary barriers. Its clinical presentation varies, reason why it constitutes a challenge for its diagnosis. This work presents a case of a 42-year-old male admitted to Tijuana's General Hospital for a promptly growing tumor on the left hemithorax, computed tomography showed an infiltrative tumor, therefore a block resection was performed and histopathological evaluation established the diagnosis of actinomycosis. Therefore, it is important that physicians are aware of this disease to provide timely diagnosis and treatment.


REFERENCES

  1. Briones-Lara E, Siller-Aguirre A, Fernández-Díaz H. Actinomicosis en tórax imitando tumor. Rev Mex Patol Clin Med Lab. 2005; 52(4): 257-260.

  2. Tinoco Racero I, Aragón Domínguez V, Gómez Durán M, Sánchez Rodríguez E. Other chronic infections. Actinomycosis. Med [Internet]. 2018; 12(53): 3132-3141. Available in: https://doi.org/10.1016/j.med.2018.03.022

  3. Valour F, Sénéchal A, Dupieux C, Karsenty J, Lustig S, Breton P et al. Actinomycosis: etiology, clinical features, diagnosis, treatment, and management. Infect Drug Resist. 2014; 7: 183-197.

  4. Cruz Choappa R, Vieille Oyarzo P. Histological diagnosis of actinomycosis. Rev Argent Microbiol. 2018; 50(1): 108-110.

  5. Martín-Peral P, González-Moya JE, García-Agudo L, Arnedillo-Muñoz A, García-Martos P, León-Jiménez A. Actinomicosis torácica: una entidad de difícil diagnóstico. Rev Clin Esp. 2012; 212(7): 53-56.

  6. Sanna S, Brandolini J, Pardolesi A, Argnani D, Mengozzi M, Dell'Amore A et al. Materials and techniques in chest wall reconstruction: a review. J Vis Surg. 2017; 3: 95-95.




Figure 1
Figure 2
Figure 3
Figure 4
Figure 5
Figure 6
Figure 7

2020     |     www.medigraphic.com

Mi perfil

C?MO CITAR (Vancouver)

Rev Mex Cir Torac Gen. 2021;2