medigraphic.com
SPANISH

Revista Mexicana de Trasplantes

ISSN 3122-3893 (Electronic)
  • Contents
  • View Archive
  • Information
    • General Information        
    • Directory
  • Publish
    • Instructions for authors        
    • Send manuscript
  • Policies
  • medigraphic.com
    • Home
    • Journals index            
    • Register / Login
  • Mi perfil

2022, Number 3

Next >>

Rev Mex Traspl 2022; 11 (3)

Protein expression analysis in patients with renal transplant rejection

Olivares-del MJI, Ocharán-Hernández ME, Reyes-Grajeda JP, Charco-Cruz M, Florez-Zorrilla C, Sánchez-Cedillo IA, Cano-Cervantes JH, Núñez-Venzor A, Lina-López L, Fonseca-González GT
Full text How to cite this article 10.35366/107339

DOI

DOI: 10.35366/107339
URL: https://dx.doi.org/10.35366/107339

Language: Spanish
References: 38
Page: 81-90
PDF size: 562.22 Kb.


Key words:

renal transplantation, antibody-mediated rejection, proteomics, rejection, renal graft.

ABSTRACT

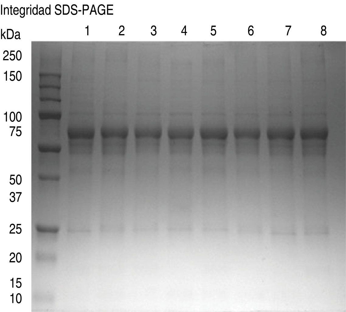
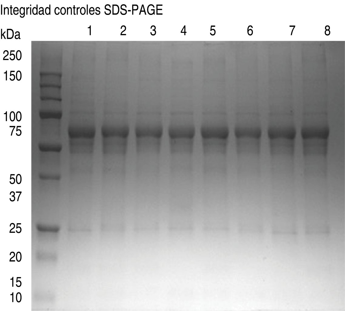
Introduction: renal transplantation is the only treatment that improves the quality of life of patients with chronic kidney disease; at the end of 2021, 1,971 transplants were performed in Mexico. Among the main complications observed after transplantation are infections, alterations associated with immunosuppression, recurrence of the underlying disease and rejection. The incidence of rejection reported worldwide ranges between 12 and 14%. The diagnosis of rejection is histopathological; however, no molecular markers have been reported that allow us to suspect the development of this entity before the onset of structural deterioration of the graft. Current methods to monitor graft rejection are creatinine elevation, the presence of proteinuria and the development of specific anti-donor antibodies (ADES). A renal biopsy implies a risk of hematuria and perirenal hematoma (2 to 4%). Background: there are a large number of new, non-invasive biomarkers in urine and peripheral blood samples under investigation in recent years, most of them with prognostic or diagnostic value, as well as varying degrees of clinical and preclinical success. Some of them, in relation to acute rejection have been investigated miR146a-5p in recipient serum and urine, three-gene panel (CTOT 03 study for T-cell mediated rejection (TCMR), the KALIBRE study (7-gene panel for TCMR), GoCAR study (17-gene panel for TCMR), kSORT (AART study), for T cell-mediated rejection and antibody-mediated rejection, complement fragments for antibody-mediated rejection, CXCL 9 for TCMR and ABMR, CSCL 10, for ABMR to mention some of the work that has been done so far. The development of new technologies to identify proteins associated with a metabolic process has demonstrated the possibility of having a favorable impact in identifying processes such as transplant graft rejection. Proteomics consists of a series of biochemical and analytical techniques to identify differentially expressed proteins that could be used as biomarkers for this purpose. Material and methods: 23 kidney transplanted patients from the Centro Médico Nacional 20 de Noviembre, who underwent renal graft biopsy in a period of four months, were classified in two groups, one group with stable graft function n = 13 and one group with active rejection mediated by antibodies n = 13. Demographic analysis was performed with mode, median and ranges without finding significant differences in both groups. The patients' serum samples were analyzed for integrity, once they were quantified by the 2D-Quant colorimetric method, the most representative samples were chosen for their protein content, i.e., those whose protein concentration was above 20 mg/dL. Subsequently, these were subjected to electrophoretic separation analysis of two-dimensional gels in order to identify differential proteins in both study groups. Results: we systematized the collection, preservation and transport of samples of kidney transplanted patients from the 20 de Noviembre hospital. Protein quantification was standardized for analysis with two-dimensional gels and a preliminary analysis of differential expression patterns was performed, setting the precedents for subsequent analysis and identification of differential proteins by mass spectrometry. Comparing both gels, we found the representation of high abundance proteins such as immunoglobulin, haptoglobin, complement factors, alpha 1 antitrypsin, to mention some that are of greater representation in the gels and denote the adequate preservation and management of tissues, molecules such as CXC 7 and ABMP protein, with greater representation in the master gel of patients with rejection. Conclusions: classical proteomics in the study of differential proteins for the development of protocols for the discovery of proteins in patients receiving a transplant, with the aim of identifying potential molecular markers that could be useful for the diagnosis of rejection is a useful tool that is still under development and requires time and analysis of specific data to achieve objective and transcendental results. Proteins such as CXC 7 and ABMP protein are representative for this study, and validation studies should be performed in addition to mass spectrometry identification to assess the possibility of identifying proteins different from those reported in the literature.


REFERENCES

  1. Plattner BW, Chen P, Cross R, Leavitt MA, Killen PD, Heung M. Complications and adequacy of transplant kidney biopsies: A comparison of techniques. J Vasc Access. 2018; 19 (3): 291-296.

  2. Quaglia M, Merlotti G, Guglielmetti G, Castellano G, Cantaluppi V. Recent advances on biomarkers of early and late kidney graft dysfunction. Int J Mol Sci. 2020; 21 (15): 5404.

  3. Van Loon E, Naesens M. Blood transcriptomics as non-invasive marker for kidney transplant rejection. Nephrol Ther. 2021; 17: S78-S82.

  4. Parajuli S, Swanson KJ, Alstott J, Aziz F, Garg N, Zhong W et al. Transplant kidney biopsy for proteinuria with stable creatinine: findings and outcomes. Clin Transplant. 2021; 35 (10): e14436.

  5. Michon A, Durrbach A, Gautier JC, Benain X, Lunven C, Jagerschmidt A, et al. Investigation of new biomarkers of kidney injury in renal transplant recipients undergoing graft biopsy. Clin Transplant. 2021; 35 (9): e14408.

  6. Patel MD, Young SW, Scott Kriegshauser J, Dahiya N. Ultrasound-guided renal transplant biopsy: practical and pragmatic considerations. Abdom Radiol (NY). 2018; 43(10): 2597-2603.

  7. Peters B, Molne J, Hadimeri H, Hadimeri U, Stegmayr B. Sixteen Gauge biopsy needles are better and safer than 18 Gauge in native and transplant kidney biopsies. Acta Radiol. 2017; 58 (2): 240-248.

  8. Aldrete-Velasco JA, Chiquete E, Rodríguez-García JA, Rincón-Pedrero R, Correa-Rotter R, Peña-García R et al. Chronic kidney disease mortality and its relation to diabetes in Mexico. Med Int Mex. 2018; 34 (4): 536-550.

  9. Alachkar N. Serum and urinary biomarkers in acute kidney transplant rejection. Nephrol Ther. 2012; 8 (1): 13-19.

  10. Gielis EM, Ledeganck KJ, De Winter BY, Del Favero J, Bosmans JL, Claas FHJ et al. Cell-Free DNA: an upcoming biomarker in transplantation. Am J Transplant. 2015; 15 (10): 2541-2551.

  11. Kwek JL, Tey V, Yang L, Kanagalingam D, Kee T. Renal and obstetric outcomes in pregnancy after kidney transplantation: Twelve-year experience in a Singapore transplant center. J Obstet Gynaecol Res. 2015; 41 (9): 1337-1344.

  12. Jacquemont L, Soulillou JP, Degauque N. Blood biomarkers of kidney transplant rejection, an endless search? Expert Rev Mol Diagn. 2017; 17 (7): 687-697.

  13. Bohmig GA, Eskandary F, Doberer K, Halloran PF. The therapeutic challenge of late antibody-mediated kidney allograft rejection. Transpl Int. 2019; 32 (8): 775-788.

  14. Singh N, Samant H, Hawxby A, Samaniego MD. Biomarkers of rejection in kidney transplantation. Curr Opin Organ Transplant. 2019; 24 (1): 103-110.

  15. Mortensen LA, Svane AM, Burton M, Bistrup C, Thiesson HC, Marcussen N et al. Proteomic analysis of renal biomarkers of kidney allograft fibrosis-a study in renal transplant patients. Int J Mol Sci. 2020; 21 (7): 2371.

  16. Sakai K, Oguchi H, Muramatsu M, Shishido S. Protocol graft biopsy in kidney transplantation. Nephrology (Carlton). 2018; 23 Suppl 2: 38-44.

  17. Sellarés J, de Freitas DG, Mengel M, Reeve J, Einecke G, Sis B et al. Understanding the causes of kidney transplant failure: The dominant role of antibody-mediated rejection and nonadherence. Am J Transplant. 2012; 12 (2): 388-399.

  18. Cooper JE. Evaluation and treatment of acute rejection in kidney allografts. Clin J Am Soc Nephrol. 2020; 15 (3): 430-438.

  19. Bloom RD, Augustine JJ. Beyond the biopsy: monitoring immune status in kidney recipients. Clin J Am Soc Nephrol. 2021; 16 (9): 1413-1422.

  20. Goldberg RJ, Weng FL, Kandula P. Acute and chronic allograft dysfunction in kidney transplant recipients. Med Clin North Am. 2016; 100 (3): 487-503.

  21. Williams WW, Taheri D, Tolkoff-Rubin N, Colvin RB. Clinical role of the renal transplant biopsy. Nat Rev Nephrol. 2012; 8 (2): 110-121.

  22. Solez K, Colvin RB, Racusen LC, Haas M, Sis B, Mengel M et al. Banff 07 classification of renal allograft pathology: Updates and future directions. Am J Transplant. 2008; 8 (4): 753-760.

  23. Anglicheau D, Naesens M, Essig M, Gwinner W, Marquet P. Establishing biomarkers in transplant medicine: a critical review of current approaches. Transplantation. 2016; 100 (10): 2024-2038.

  24. Hricik DE, Nickerson P, Formica RN, Poggio ED, Rush D, Newell KA et al. Multicenter validation of urinary CXCL9 as a risk-stratifying biomarker for kidney transplant injury. Am J Transplant. 2013; 13 (10): 2634-244.

  25. Faddoul G, Nadkarni GN, Bridges ND, Goebel J, Hricik DE, Formica R et al. Analysis of biomarkers within the initial 2 years posttransplant and 5-year kidney transplant outcomes: results from clinical trials in organ transplantation-17. Transplantation. 2018; 102 (4): 673-680.

  26. Mockler C, Sharma A, Gibson IW, Gao A, Wong A, Ho J et al. The prognostic value of urinary chemokines at 6 months after pediatric kidney transplantation. Pediatric Transplantation. 2018; 22 (5): e13205.

  27. Xu CX, Shi BY, Jin ZK, Hao JJ, Duan WL, Han F et al. Multiple-biomarkers provide powerful prediction of early acute renal allograft rejection by combination of serum fractalkine, IFN-γ and IP-10. Transpl Immunol. 2018; 50: 68-74.

  28. Chen D, Zhang J, Peng W, Weng C, Chen J. Urinary C-X-C motif chemokine 13 is a noninvasive biomarker of antibody-mediated renal allograft rejection. Mol Med Rep. 2018; 18 (2): 2399-2406.

  29. Nielsen MB, Krogstrup NV, Nieuwenhuijs-Moeke GJ, Oltean M, Dor FJMF, Jespersen B et al. P-NGAL Day 1 predicts early but not one year graft function following deceased donor kidney transplantation-The CONTEXT study. PLoS One. 2019; 14 (2): e0212676.

  30. De Holanda MI, Matuck T, de Carvalho DDBM, Domingues EMFL, Curvo R, Glasberg DS et al. Soluble CD30, acute rejection, and graft survival: pre- and 6-month post-transplant determinations-when is the best time to measure? Transplant Proc. 2018; 50 (3): 728-736.

  31. Landsberg A, Sharma A, Gibson IW, Rush D, Wishart DS, Blydt-Hansen TD. Non-invasive staging of chronic kidney allograft damage using urine metabolomic profiling. Pediatr Transplant. 2018; 22 (5): e13226.

  32. Oellerich M, Sherwood K, Keown P, Schütz E, Beck J, Stegbauer J et al. Liquid biopsies: donor-derived cell-free DNA for the detection of kidney allograft injury. Nat Rev Nephrol. 2021; 17 (9): 591-603.

  33. O'Callaghan JM, Knight SR. Noninvasive biomarkers in monitoring kidney allograft health. Curr Opin Organ Transplant. 2019; 24 (4): 411-415.

  34. Meng H, Liang Y, Hao J, Lu J. Comparison of rejection-specific genes in peripheral blood and allograft biopsy from kidney transplant. Transplant Proc. 2018; 50 (1): 115-123.

  35. Marsh CL, Kurian SM, Rice JC, Whisenant TC, David J, Rose S et al. Application of TruGraf v1: A novel molecular biomarker for managing kidney transplant recipients with stable renal function. Transplant Proc. 2019; 51 (3): 722-728. Available in: https://doi.org/10.1016/j.transproceed.2019.01.054

  36. Crespo E, Roedder S, Sigdel T, Hsieh SC, Luque S, Cruzado JM et al. Molecular & functional noninvasive immune monitoring in the ESCAPE study for prediction of subclinical renal allograft rejection. Transplantation. 2017; 101 (6): 1400-1409.

  37. Roedder S, Sigdel T, Salomonis N, Hsieh S, Dai H, Bestard O et al. The kSORT assay to detect renal transplant patients at high risk for acute rejection: results of the multicenter AART study. PLoS Med. 2014; 11 (11): e1001759.

  38. Van Baardwijk M, Cristoferi I, Ju J, Varol H, Minnee RC, Reinders MEJ et al. A decentralized kidney transplant biopsy classifier for transplant rejection developed using genes of the Banff-Human organ transplant panel. Front Immunol. 2022; 13: 841519. Available in: https://www.frontiersin.org/articles/10.3389/fimmu.2022.841519/full




Figure 1
Figure 2
Figure 3
Figure 4
Figure 5
Table 1
Table 2
Table 3
Table 4

2020     |     www.medigraphic.com

Mi perfil

C?MO CITAR (Vancouver)

Rev Mex Traspl. 2022;11