medigraphic.com
SPANISH

Revista Mexicana de Trasplantes

ISSN 3122-3893 (Electronic)
  • Contents
  • View Archive
  • Information
    • General Information        
    • Directory
  • Publish
    • Instructions for authors        
    • Send manuscript
  • Policies
  • medigraphic.com
    • Home
    • Journals index            
    • Register / Login
  • Mi perfil

2022, Number 3

<< Back Next >>

Rev Mex Traspl 2022; 11 (3)

Polycystic transformation of a transplanted kidney

García-Ramírez CR, Vera-Quintanilla EA
Full text How to cite this article 10.35366/107342

DOI

DOI: 10.35366/107342
URL: https://dx.doi.org/10.35366/107342

Language: Spanish
References: 12
Page: 107-111
PDF size: 265.37 Kb.


Key words:

kidney transplantation, polycystic kidney disease, inadvertent transmission, related living donor.

ABSTRACT

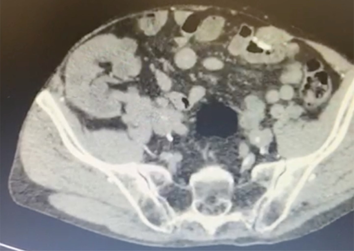
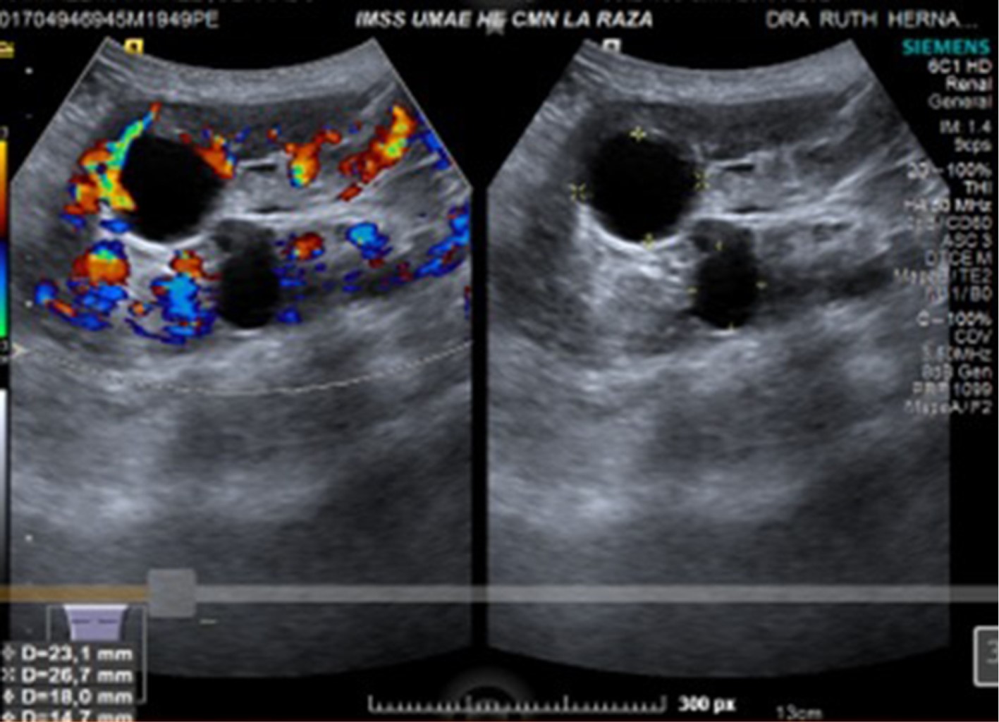
Introduction: currently the finding of polycystic kidney disease in patients candidates for kidney donation is considered a relative contraindication, however, adequate results have been observed in patients with a short life expectation; however, even less frequently, cases have been reported with inadvertent transmission of polycystic kidney disease, only two publications of case reports have been found, both from cadaveric donors. Case presentation: we present a 78-year-old male patient who has history of related living donor kidney transplantation performed in 1992, the donor (brother of patient) had no known macroscopic functional or structural kidney alterations. At the age of 29 years of evolution, the patient was studied for recurrent microscopic hematuria and polycystic kidney disease was diagnosed by image study. Donor genetic study was not accepted. Patient coursed with appropriate clinical evolution, with remission of haematuria and continued with preserved renal function. Conclusion: a clinical case of inadvertent transmission of polycystic kidney disease through apparently healthy living donor kidney graft is presented, without long-term repercussions on kidney graft function and survival. Furthermore despite imaging studies to evaluate the graft anatomy, early stages of the disease cannot be presented.


REFERENCES

  1. Rastogi A, Ameen KM, Al-Baghdadi M, Shaffer K, Nobakht N, Kamgar M et al. Autosomal dominant polycystic kidney disease: updated perspectives. Ther Clin Risk Manag. 2019; 15: 1041-1052. doi: 10.2147/TCRM.S196244.

  2. Igarashi P, Somlo S. Genetics and pathogenesis of polycystic kidney disease. J Am Soc Nephrol. 2002; 13 (9): 2384-2398. doi: 10.1097/01.asn.0000028643.17901.42.

  3. Lanktree MB, Haghighi A, di Bari I, Song X, Pei Y. Insights into autosomal dominant polycystic kidney disease from genetic studies. Clin J Am Soc Nephrol. 2021; 16 (5): 790-799. doi: 10.2215/CJN.02320220.

  4. Colbert GB, Elrggal ME, Gaur L, Lerma EV. Update and review of adult polycystic kidney disease. Dis Mon. 2020; 66 (5): 100887. doi: 10.1016/j.disamonth.2019.100887.

  5. Bergmann C, Guay-Woodford LM, Harris PC, Horie S, Peters DJM, Torres VE. Polycystic kidney disease. Nat Rev Dis Primers. 2018; 4 (1): 50. doi: 10.1038/s41572-018-0047-y.

  6. Hajj P, Ferlicot S, Massoud W, Awad A, Hammoudi Y, Charpentier B et al. Prevalence of renal cell carcinoma in patients with autosomal dominant polycystic kidney disease and chronic renal failure. Urology. 2009; 74 (3): 631-634. doi: 10.1016/j.urology.2009.02.078.

  7. Pei Y, Obaji J, Dupuis A, Paterson AD, Magistroni R, Dicks E et al. Unified criteria for ultrasonographic diagnosis of ADPKD. J Am Soc Nephrol. 2009; 20 (1): 205-212. doi: 10.1681/ASN.2008050507.

  8. Shamali A, Milsom-Mcquillan S, Gibbs P. Outcomes of renal transplant from donors with polycystic kidney disease. Int J Surg. 2018; 51: 229-232. doi: 10.1016/j.ijsu.2018.01.049.

  9. Langote A, Mazarova A, Mahoney J, Blew B, Knoll GA. Inadvertent transmission of polycystic kidney disease in kidney transplantation. Am J Case Rep. 2015; 16: 115-118. doi: 10.12659/AJCR.892456.

  10. Canaud G, Knebelmann B, Harris PC, Vrtovsnik F, Correas JM, Pallet N et al. Therapeutic mTOR inhibition in autosomal dominant polycystic kidney disease: What is the appropriate serum level? Am J Transplant. 2010; 10 (7): 1701-1706. doi: 10.1111/j.1600-6143.2010.03152.x.

  11. Neureiter D, Frank H, Kunzendorf U, Waldherr R, Amann K. Dialysis-associated acquired cystic kidney disease imitating autosomal dominant polycystic kidney disease in a patient receiving long-term peritoneal dialysis. Nephrol Dial Transplant. 2002; 17 (3): 500-503. doi: 10.1093/ndt/17.3.500.

  12. Khatri S, Bajeer I, Lanewala AAA, Farid M, Hashmi S. Acquired cystic kidney disease: a hidden complication in children on chronic hemodialysis. Cureus. 2022; 14 (4): e24365. doi: 10.7759/cureus.24365.




Figure 1
Figure 2
Figure 3

2020     |     www.medigraphic.com

Mi perfil

C?MO CITAR (Vancouver)

Rev Mex Traspl. 2022;11